Перейти к содержанию
Партнеры
Место для вашей рекламы

 

Корелла очень худая, крылья опущены, летать не может, часто ест и спит, светлый помет.


Рекомендуемые сообщения

  • Ответов 116
  • Создана
  • Последний ответ

Топ авторов темы

  • Mari-maria

    72

  • KamaRo

    23

  • Delfin

    5

  • Zosia

    5

Топ авторов темы

Изображения в теме

Опубликовано

 @KamaRo , пятна на языке почти прошли (на глаз их почти не видно).

 

photo_2020-05-31_16-38-39.jpg

photo_2020-06-03_15-45-24.jpg

photo_2020-06-03_15-45-30.jpg

photo_2020-06-03_15-45-44.jpg

photo_2020-06-03_15-45-47.jpg

й.jpg

Опубликовано

По последним фото- все совсем неплохо. Несколько чересчур слоится клюв... тут банальнео вазелиновое масло,наносить кисточкой, дней 8-10.

По Стаффу- кончено применяйте вытеснительные пробиотики.

По схождению корочек- я в самом начале предположила нечто вроде электротарвмы- может и было, и тогда просто ушли следы ожога.

 

Если нет трихомонад- отлично.

 

Опубликовано

@Zosia , @KamaRo ,большое Вам спасибо за помощь.

Я тут начиталась всяких ужасов про онкологию у попугаев и т.д. Так у Ричи под клювом эти темные твердые наросты - это что? Травма? Такое бывает у попугаев?

Заказала Споровит, завтра будет. Но нашла только порошок. Значит, где-то 2 спичечные головки + пару капель воды (в клюв или на корм - и так 2 раза в день). Правильно?

И что делать, если Ричи часто чешется? И лапки частенько клювиком чухает. (Осматриваю, где дается, регулярно - все чисто). Увлажняю воздух.

По поведению, аппетиту - все нормально.

Давать ли Карсил, Энтерол, еще что-нибудь и в каких дозировках?

Всем спасибо за поддержку и советы!

 

Опубликовано

@Mari-maria если будете давать споровит (да, можно 2 спичечные головки развести в 0,1-0,2 мл воды и выпоить в клюв, 2 р/день, курс 2 недели, на корм не нужно, не дойдет нужное количество до организма), то энтерол не нужен (оба препарата выполняют одну и ту же функцию), а вот бифидумбактерин или линекс можно было бы подавать (по 1/8-1/6 капсулы/порошка/флакона  развести в 0,2 мл воды и выпоить, 2 р/день, курс 14 дней). По анализу вроде проблем с печенью не было, поэтому карсил не нужен.

Выложите фото помета, по анализу крахмала у вас много. Если не исправят ситуацию пробиотики, наверное нужно попробовать ферменты.

Опубликовано

 @KamaRo, сейчас дождусь свежего помета и пришлю.

Давно хотела Вас спросить по самцу. У нас 3 года. Жалоб нет, активный, нахальный. Ричин жених, но пока еще карантин.

У него над клювом все время есть такая "козюлина". Она как будто прилипла на перышках, можно отодрать. Иногда отпадает, но сразу появляется снова. Это уже месяца 4, может больше. Попугай на нее никакого внимания не обращает, не чешет, не пытается содрать.

Пишу сюда, т.к скоро хотим их соединить. Или это надо тему отдельную? 

Это его фото

изображение_viber_2020-06-04_21-32-11.jpg

Опубликовано (изменено)

 @KamaRo, фото 1) свежий помет (стал немного темнее чем раньше, раза в 3 меньше. Раньше был светло-желтый и какой-то вздутый) Черное - грызла ветки

2) помет за день (это не весь)

3) а это огромное "чудо" после ночи, и такое уже не первый раз

изображение_viber_2020-06-04_21-46-47.jpg

изображение_viber_2020-06-04_21-47-04.jpg

изображение_viber_2020-06-04_21-45-49.jpg

Изменено пользователем Mari-maria
Опубликовано

@Zosia , @KamaRo Только что заметила, что у Ричи под клювиком нет черного нароста!!!! Еще вчера он был, большой и некрасивый, а сегодня нет!

Не люблю это выражение, но "я в шоке". Уррра!!!

Есть, правда, маленькое пятнышко с одной стороны язычка, но надеюсь, и эта зараза пройдет.

Получила Споровит, сейчас буду давать в клювик. Подскажите, нельзя ли сыпать на корм (морковь, гарантированно съест с ладони.) Или надо разводить водой?

Ричи весит 90 гр. Когда Зося первый раз спрашивала (14 мая) - она весила 68гр. За 3 недели набрала 22гр. Это хоть не много? А то я тут так радуюсь.

Чешется. Вчера сломала 2 (!) ноготка - сделала фото. Может, чего ей не хватает? Дня за 3 до этого сломалось большое перо из хвоста.

 

 

Опубликовано (изменено)

@Mari-maria если вы проконтролируете потребление споровита с моркови, то можно, но препарат нужно давать в одно и тоже время, чтобы был эффект. Если не получается режим дачи препарат выдерживать (птица не всегда захочет овощ в какой то определенный период времени), то в клюв. Помет не плох. Подавайте споровит и пробиотик типо линекса.

Вес корелл варьирует в широких пределах - от 75 до 120, все от птицы зависит. Нужно ориентироваться по килю - чтобы не торчал острым лезвием и не утоп в подкожном жиру.

Если не видите на пере каких то паразитов (ползают как вши - это пероеды, их не заметить сложно), то и не берите  в голову - скорее всего птица начнет линять (предвестником является пух).

Сепия у птицы есть? Что из минеральных добавок в доступе птиц?

 

Кончики коготков подрежьте, смотрите не заденьте сосуд (на светлых птицах видно где он располагается). Под рукой имейте марганцовку (если заденете сосуд, то прижгите кристалликом, а потом уберите, больше нигде марганцовка не используется - ни в питье, ни для наружных целей - это сильнейший окислитель, вызывающий хим.ожог)

 

Изменено пользователем KamaRo
Опубликовано

 @KamaRo

1) у Ричи в клетке есть сепия и мел. Сепию не трогает вообще, хотя пару следов укусов есть (видно, раз попробовала и не хочет). Самец, кстати, в своей клетке тоже разок попробовал сепию и так она уже месяц и висит.

Мел она тоже не трогает. Перед этим где-то неделю подряд регулярно грызла его, а теперь дней десять снова не подходит. Купила ей новый минеральный камень ("Природа"), чтоб заинтересовать, но прочитала состав (мел, сульфат кальция, обезвоженные цитрусовые) - не знаю, давать ли. 

Взяла еще песок ("Природа"). Состав: промытый и стерилизованный песок и специальная известь для птиц. Если можно давать, то как?

2) Сейчас рацион Ричи такой: корм (Престиж), запаренный овес, морковь, трава, вишневые и иногда ивовые ветки - это то, что она регулярно ест. Остальное предлагаю, но безуспешно. Гречку соглашалась есть жаренную, зеленую - ни в какую. 

3) Можно ли давать в клюв вначале споровит, а потом сразу же бифидум? Можно их смешивать  в одном шприце?

4) Это только у меня не получается толком держать птицу? Перечитала все статьи (и на форуме, и не на форуме), теорию всю знаю.  Держу птичу, дитё держит ей дополнительно голову и лапы... А она все равно как уж извивается...

 

Опубликовано

@Mari-maria сепию когда нибудь распробуют, пусть висит в доступе птиц.

Ест магазинскую гречу, пусть такую и ест, в варенном виде не особо принципиально.

Лучше препараты не смешивать, но друг за другом давать вполне можно (за одно фиксирование).

Птицу в полотенце замотайте (тело уже особо не извивается), останется только голова, которую проще фиксировать.

Опубликовано
04.06.2020 в 21:35, Mari-maria сказал:

У него над клювом все время есть такая "козюлина".

...Возможно, это сопельки, которые попугай время от времени вычихивает. Может, пыль от корма набивается ему в нос, а, может, он линяет и это частички перьев.

Нужно проследить чтоб этот корелла не чихал слишком часто и что нет выделений их носа (по фото нос чистый).

Опубликовано

@Кузяныч , спасибо. 

Часто не чихает, выделений из носа нет. 

Хотя тот еще любитель везде полазить, думала бы про пыль, про что-то прилипшее. Но штука эта всегда на одном месте, может чуть-чуть сместиться. Иногда отпадает, но вскоре снова там.

Попугая она абсолютно не беспокоит. Главное, чтобы Ричи от него эту заразу не подцепила. 

Опубликовано (изменено)

 @KamaRo, почти неделю даю в клювик Споровит и за ним Бифидум (несколько дней). Раньше сыпала на корм Линекс.

1) светлые пятна на языке снова есть, на том же месте. Клювик чистый, слизи, "липкости" как раньше нет. Может, и не стоит обращать внимание на эти пятна, если они птичу не беспокоят? Это не может быть авитаминозом?

2) уже писала, что Ричи иногда посапывает носиком. Очень тихо, нежно. И это не всегда: легкое сопение, потом тихо, потом снова легонько... Только когда грызет что-нибудь. А если просто сидит - то никогда. У нее очень маленькие ноздри; у самца в несколько раз шире...

3) Чешется, просто жуть. Она почти все время чешется! Осматриваем регулярно.

4) Помет хороший, но с водой (может, из за  Споровита). С ночи большие (реально большие) кучки, как будто другой попугай. 

5) Читала на немецких форумах, что их ветеринары часто назначают птицам лекарства через ингалятор (читала как раз про похожий с Ричи случай). У нас так не практикуют? 

 

Изменено пользователем Mari-maria
Опубликовано

@Mari-maria@KamaRo, извините, что влезу.

 

Бифидум, как по мне, лучше разносить со споровитом. Споровит -- вытесняющий, бифидум -- заселяющий пробиотики. Две недели первого, неделю-две перерыв -- 14 дней второго.

 

Сопения носом следует отслеживать, ноздри осматривать. Попробуйте капать в нос по 2 капли мирамистина 4..3 раза в день на протяжении недели и посмотрите, не откроются ли ноздри больше.

 

На счёт ингаляций -- птицы хорошо усваивают большинство препаратов через дыхательную систему (именно поэтому им так опасны угарный газ, запах пригорелой пищи, пары тефлона со сковородок, запахи моющих и лакокрасочных).

 

Вашему попугаю ценен рентген -- сопение носом и заростание ноздрей могут быть симптомам инфекций в воздухоносных мешках, вызывающих образование слизи, которая выходит через нос.

Посмотрите, не бывает такого, чтоб попугай вытягивал шею и открывал клюв, делал сглатывающие движения, плямкал (не шуршал клювом, а плямкал как после питья воды).

 

Опубликовано

@Кузяныч, @KamaRo Ричи шейку не тянет, не сглатывает (было один раз - на видео). Если такое повторится, сразу буду писать; знаю, что это плохо. Буду наблюдать.

Подскажите, есть ли на форуме человек, разбирающийся в психологии корелл. 

Хотим знакомить Ричи с нашим Пузиком. И вдруг он вчера начал агрессивно себя вести. Укусил меня (хотя я его любимица). Сегодня вообще вылетел и начал реально меня отаковать, с пятой попытки покусал до крови. На всех кидается. Дети его боятся. Понимаю, что он не виноват, инстинкты, жениться охота...

Можно ли в таком состоянии их знакомить или переждать? Или это он из-за нее так психует?

 

Опубликовано

 @KamaRo, пятна на языке "процветают". От Споровита в клювике похоже толку никакого, может, не давать его? Только с птицей отношения порчу... И вода в помете (надеюсь, от него).

Хочу на днях еще раз занести анализ из клювика (договорилась в другой, чел.лаборатории). Или пока Споровит - не надо?

Ноздри у Ричи и правда узкие (на фото сравнила с нашим Пузиком). Шейку не тянет. Заметила, что легонько посвистывает, только когда наклоняется и что-то грызет.

Два последних фото - САМЕЦ (для сравнения).

 

 

 

 

IMG-c591969b0594a1e167a6ce58793cca6f-V.jpg

IMG-890e72c90422bce734be4cbbd6898298-V.jpg

IMG-21c314c41c1ff65b5b38556bfe7585f2-V.jpg

IMG-cbcaf6397812523892ebc71d999a77d8-V.jpg

Опубликовано

 @KamaRo, Споровит даем 11 дней.

Только что прочитала, что Зося писала на форуме : "Вытесняющие пробиотики даются 10-12 дневными курсами, потом перерыв(т.к. наступает стадия "плато" в насыщении кишечника), потом по новой- если пат.формы еще сидят "

Мы прекращаем?

Опубликовано

Пожалуйста, подскажите, на какой день после окончания курса приема Споровита можно сдавать мазок из клювика? 

 

Опубликовано

 @KamaRo

Пятна на язычке есть, гной в клювике, под клювиком снова что-то темное. Картина полностью повторяется, все точно как было. Птича ведет себя нормально. Но овес, каши, овощи  есть отказывается. Только смесь. 

Звонила вчера заводчикам, их ветеринар посмотрел фотки, сказал, что может быть стоматит (если трихомонад нет. Но трих он исключает, за это время птица уже бы не выжила). Он советует кормить птицу только мягким кормом, протирать пятна на языке палочкой, смоченной хлоргексидином. Сказал обязательно давать витамины.

Хочу занести мазок Ричи в челов.лабораторию. Уже можно после Споровита? Может, на что-то попросить обратить внимание в анализе? 

Опубликовано

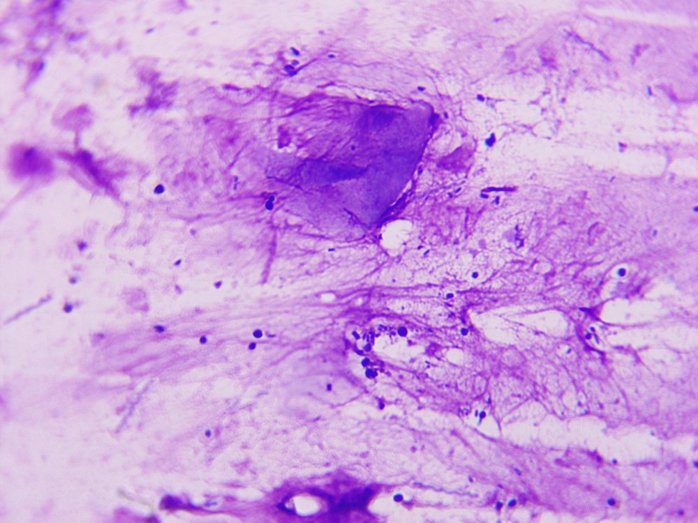
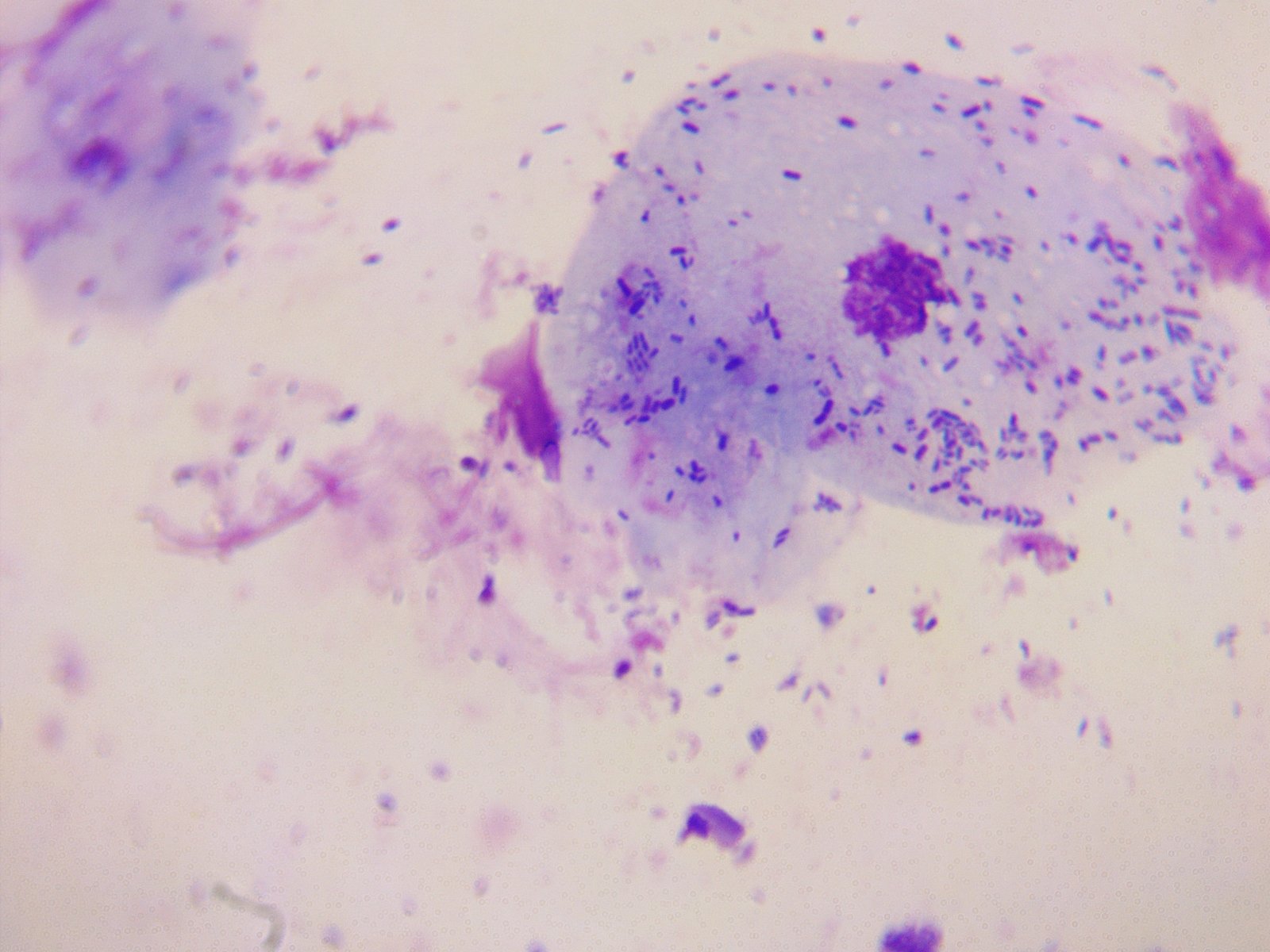
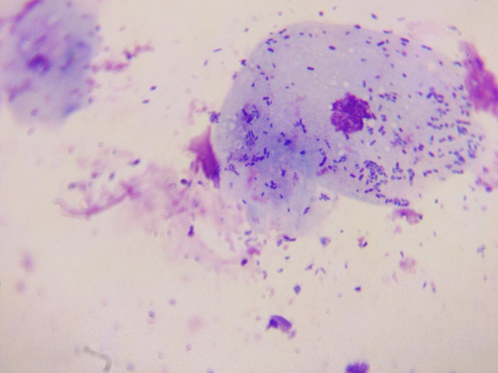
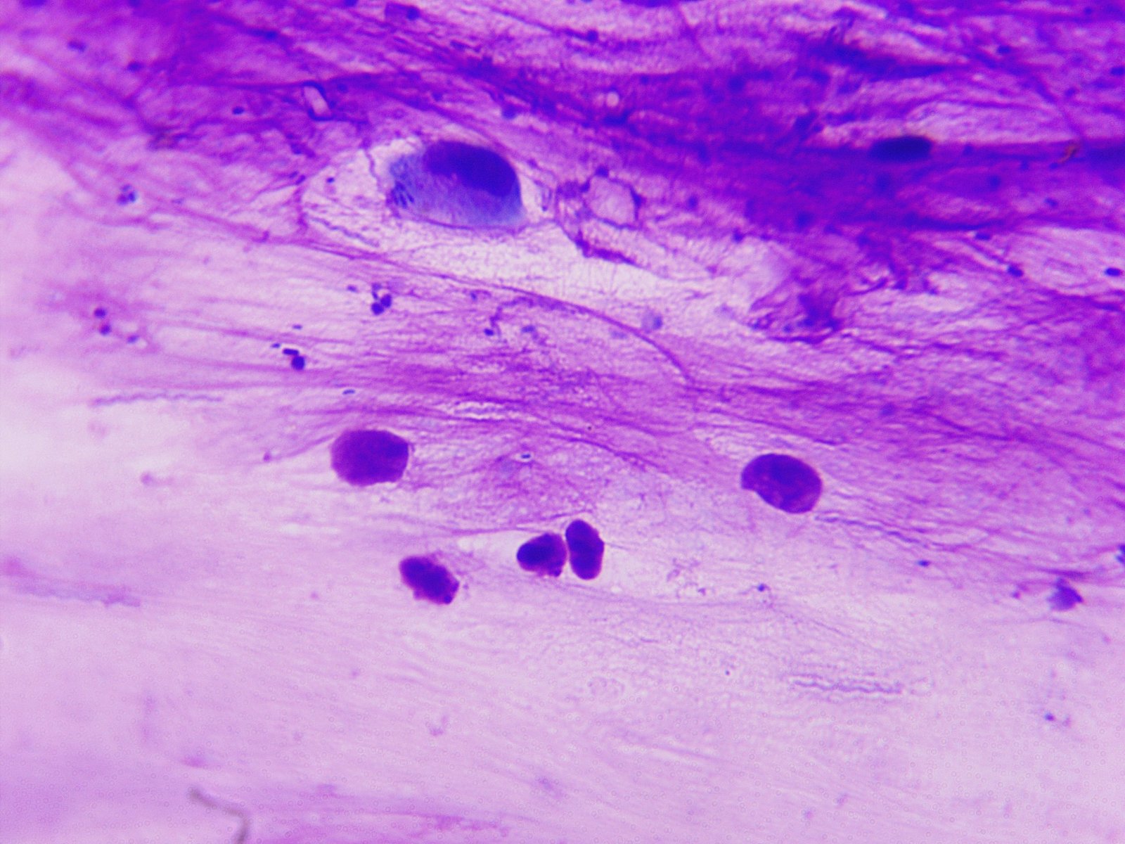
@Zosia , посмотрите, пожалуйста, фото анализа (мазок из клюва). Сдавала цитологию в чел.лаборатории. В заключении написано : "найдено элементы дрожжеподобных грибов, густо кокковую флору (стрептококки, стафилококки)." Лаборанты сказали, что еще что-то есть, но они не знают, что это...Точно, не трихомонады.  Может, Вы по фото увидете.

У птичи снова пятна на языке и наросты под клювом (сейчас пятна снова проходят, почти не видно. Но наросты как на фото выше. Думаю, они тоже скоро отпадут.)

Заводчик говорит, что ничего серьезного нет. Надо витамины.

Не можем понять, лечить птицу или нет. Можно ли ее знакомить с нашим самцом?

изображение_viber_2020-06-23_13-12-23.jpg

Опубликовано

@KamaRo фото помета и клювика (язычок сегодня чистый, под клювом еще есть наросты).

Подскажите, Ричи ест только сухой корм. Любила морковку и запаренный овес - теперь не прикасается. Кладу в кормушку овощи, каши - подходит, смотрит и даже не пробует. Переживаю, что ничего полезного не получает. Даже мелок не грызет. Может, ей в поилку добавлять витамины? Купила сегодня маш, хочу попробовать замачивать или проращивать. 

Помет бывает с водой (фото), бывает без.

изображение_viber_2020-06-24_19-33-06.jpg

изображение_viber_2020-06-24_19-33-07.jpg

photo_2020-06-24_18-58-05.jpg

photo_2020-06-24_18-57-57.jpg

изображение_viber_2020-06-24_16-23-45.jpg

изображение_viber_2020-06-24_16-23-43.jpg

Опубликовано
12.06.2020 в 13:03, Mari-maria сказал:

Подскажите, есть ли на форуме человек, разбирающийся в психологии корелл. 

Хотим знакомить Ричи с нашим Пузиком. И вдруг он вчера начал агрессивно себя вести. Укусил меня (хотя я его любимица). Сегодня вообще вылетел и начал реально меня отаковать, с пятой попытки покусал до крови. На всех кидается. Дети его боятся. Понимаю, что он не виноват, инстинкты, жениться охота...

Можно ли в таком состоянии их знакомить или переждать? Или это он из-за нее так психует?

В отношениях у корелл "патриархат". Вероятно, самец пытается утвердиться на территории, которую считает своей. Сначала он воспринимал вас как свою стаю, но после появления самки его вида природа берёт своё. Не обязательно, к слову, они поладят. Просто он так показывает, что он главный.

Птиц знакомить ещё не скоро -- нужно разобраться что с самочкой.

 

15.06.2020 в 14:49, Mari-maria сказал:

От Споровита в клювике похоже толку никакого, может, не давать его? Только с птицей отношения порчу... И вода в помете (надеюсь, от него).

Споровит на каждой птице работает по-разному и наиболее эффективен в кишечнике.

От чего вода в помёте доподлинно может показать только широкая копрограмма.

Кишечник плохо впитывает воду. Причиной может быть недостаток пищеварительной флоры, воспаление, инфекция, невозможно предположить точно.

 

24.06.2020 в 12:14, Mari-maria сказал:

Сдавала цитологию в чел.лаборатории. В заключении написано : "найдено элементы дрожжеподобных грибов, густо кокковую флору (стрептококки, стафилококки)." Лаборанты сказали, что еще что-то есть, но они не знают, что это...Точно, не трихомонады.

Это исследования помёта или мазка из зёва?

По этому материалу необходим бак.посев чтобы конкретизировать бактерии и определить к каким препаратам они чувствительны.

 

24.06.2020 в 12:14, Mari-maria сказал:

Заводчик говорит, что ничего серьезного нет. Надо витамины.

Плюньте ему в глаз.

 

24.06.2020 в 12:14, Mari-maria сказал:

Не можем понять, лечить птицу или нет. Можно ли ее знакомить с нашим самцом?

Птицу нужно дополнительно обследовать. Тогда появиться конкретика и возможность лечить. Знакомить сейчас нельзя -- зачем вам вторая больная птица?

 

24.06.2020 в 19:44, Mari-maria сказал:

Подскажите, Ричи ест только сухой корм. Любила морковку и запаренный овес - теперь не прикасается. Кладу в кормушку овощи, каши - подходит, смотрит и даже не пробует. Переживаю, что ничего полезного не получает. Даже мелок не грызет. Может, ей в поилку добавлять витамины? Купила сегодня маш, хочу попробовать замачивать или проращивать. 

Помет бывает с водой (фото), бывает без.

Кормите птицу дробно -- не более чайной ложки без горки за присест. Или даже чуть более половины чайной ложки сухого корма.

Определите количество приёмов пищи.

После этого раз в сутки вместо сухой зерносмеси предлагайте запаеренные злаки. Должна начать есть. Каша не должна лежать дольше 2х часов, иначе может испортиться и отравить птицу. На подобную пищу удобно добавлять пробиотики и некоторые другие лекарства.

 

Сколько сейчас весит ваша корелла?

  • 3 недели спустя...
Опубликовано

Спасибо за советы, жалко, что не сразу. Но, наверное, ничего не изменилось бы. Уезжали на несколько недель, поэтому купили для птиц большую клетку. Ричи одна не смогла бы так долго в одиночестве. 

Сейчас птицы вместе. Вроде бы, внешне все норм. Помет хороший, у Ричи пятен на языке нет. Поют, активничают. 

Пока так....

  • 2 недели спустя...
Опубликовано

Пожалуйста, ещё раз перечитайте свою тему. Там выше вам давали рекомендации, вспомните, может, забыли чего.

 

20.07.2020 в 22:11, Mari-maria сказал:

Уезжали на несколько недель, поэтому купили для птиц большую клетку. Ричи одна не смогла бы так долго в одиночестве.

Смогла бы, главное чтоб была свежая вода и нормальный корм. Ну, уж есть как есть...

 

20.07.2020 в 22:11, Mari-maria сказал:

Вроде бы, внешне все норм. Помет хороший, у Ричи пятен на языке нет. Поют, активничают. 

Повторюсь, не знаю, говорил конкретно вам или нет, но у того, кто не сталкивается с болезнями птиц регулярно, мало шансов заметить проблемы со здоровьем своих подопечных своевременно.

 

Не помню, как у вас с анализами (есть где их сделать с достаточной вероятностью на достоверность).

 

Чтобы птицы не болели следует следить за рационом и условиями содержания.

Проводить курсы отваров и пробиотиков.

 

В виду отсутствия в ваших краях толковых специалистов по птицам и оборудования, необходимого для проведения обследований, необходимо соблюдать строгие санитарно-карантинные меры.

Новых птиц держать в одиночных клетках 45 дней, при содержании, регулярно отмывать поддоны и решётчатые части отдельной новой мочалкой для посуды, используя хоз.мыло, не жалея пены, смывать большим количеством горячей воды, открутив распылитель с душевого шланга.

 

Кормушки и поилку необходимо располагать на средней высоте, так, чтоб в них не попадал помёт.

Доступ к поддону (если птицы лазят там и подбирают какашки или зёрна) нужно перекрыть, установив на высоте 15..40мм от пола решётку.

 

Птиц нужно регулярно взвешивать на точных весах, отслеживать их помёт и самочувствие.

 

Птицы должны как можно больше летать.

Для этого нужно подготовить помещение: удалить острые предметы, закрыть щели между стенами и мебелью, завешивать на время выгула окна, стёкла на полках и зеркала, чтобы птица не ударилась в них.

Регулярно протирать места пребывания попугайчиков на выгуле специальной отдельной тряпочкой, обильно смоченной хлоргексидином.

 

Щёлкните полосу ниже. Там как готовить "кашу".

  Скрыть содержимое

Купите ситечко из нержавеющей стали и термос с широким корлышком чтобы можно было запаривать в нём зёрна и сцеживать через сито воду.

Термос ни в коем случае не б/у! В нём обязательно живут грибы и бактерии, смертельно опасные для ваших птиц.

Только новый!

Который будет использоваться только для приготовления паренок попугаю.

 

Купите так же в магазине очищенный овёс, нежаренную зелёную гречку и нешлифованный бурый рис.

Купите три плотно закрывающихся контейнера для хранения этих злаков. Чтоб не пролезли моль и жуки.

В предварительно протёртый ватой с хлоргексидином на палочке или вязальном крючке и прополощеный питьевой водой термос насыпайте овёс, гречку и бурый рис в пропорциях 5:3:1 соответственно (риса меньше всего) и заливайте кипятком так, чтобы вода покрыла зёрна на 1,5..2см.

Закрывайте термос на 10..15мин.

Приготовьте чистую пиалку и сложите на её дно в четверо новую чистую бумажную салфетку.

Сливайте воду через сито, чтоб в нём осталось зерно и ставьте сито в пиалку на салфетку чтобы ушла вода.

Чистой чайной ложкой перемешайте злаки и насыпьте смесь с заранее отмытые с хлоргексидином кормушки.

 

После этого через минуту каша остынет до 35..40градусов и сверху можно будет насыпать / капать пробиотики, например, споровит / энтерол или заселяющие типа лакто-бифида, по ситуации.

Эта пища должна попасть птицам при указанной выше температуре.

Выше 40град. бактерии споровита могут погибнуть, а попугай обжечься.

Слишком холодная влажная пища может остановиться в птиц, поэтому предлагайте им тёплые паренки.

Готовая смесь не должна находиться в кормушках долее 2х часов, потому что возникает вероятность развития на ней инфекции.

Кормушка перед каждым наполнением должна протираться новой бумажной салфеткой, смоченной хлоргексидином, удаляя остатки шелухи, пыль и нечистоты.

 

Вода для питья, купания и разведения лекарств -- только негазированная бутылированная минеральная столовая (которая для регулярного употребления) из магазина или детская для грудных младенцев.

Кипячёную, сырую или фильтрованную из крана, развозную из цистерн нель?зя.

 

Заварки (чабрец, шалфей, подорожник, спорыш) -- 2 чайные ложки без горки на 200мл кипятку, варить на водяной бане 15мин, отстаивать до остывания и наполнять поилку. Остаток можно заморозить в морозилке. Можно каждый раз заваривать свежий отвар, если есть возможность.

Менять отвар летом следует не реже чем дважды в сутки, начиная с утра, когда птица ещё не начала активничать и не пила. На ночь можно наливать воду, иногда ночью птицы тоже пьют.

Курс -- 14 дней, потом перерыв недлели три.

 

Поилку (даже при использовании чистой воды) каждое утро оттрать с хлоргексидином китайской бамбуковой палочкой или толстым нержавеющим вязальным крючком, наматывая на него ватку. 1,5..2мл антисептика наливается в колбу и растирается по стенкам ваткой. Особое внимание следует уделять "клювику" поилки, где откладывается слизь и отложения отваров.

 

  • 1 месяц спустя...
Опубликовано

Кузяныч, большое спасибо. Кормлю, пою, чищу, наблюдаю. Со взвешиванием проблемы, т.к. птицы стали совсем дикими после соединения. Не хочу их травмировать. Но по виду они в меру упитанные, клетка у них больше чем надо, гуляют каждый день, чирикают, активные, помет хороший

Для публикации сообщений создайте учётную запись или авторизуйтесь

Вы должны быть пользователем, чтобы оставить комментарий

Создать аккаунт

Зарегистрируйте новый аккаунт в нашем сообществе. Это очень просто!

Регистрация нового пользователя

Войти

Уже есть аккаунт? Войти в систему.

Войти
  • Последние посетители   0 пользователей онлайн

    • Ни одного зарегистрированного пользователя не просматривает данную страницу

×
×
  • Создать...
© MyBirds.ru, 2003 - 2026

Все материалы данного сайта, в том числе структура расположения информации и графическое оформление (дизайн), являются объектами авторского права. Копирование информации на сторонние ресурсы и сайты сети Интернет, а также любое иное использование материалов сайта без предварительного согласия правообладателя НЕ ДОПУСКАЕТСЯ.

При копировании материалов сайта (в случае получения согласия правообладателя), размещение активной индексируемой гиперссылки на сайт обязательно.