Место для вашей рекламы
Поиск
Показаны результаты для тегов 'перелом крыла'.
Найдено 13 результатов
-
Добрый день! В конце февраля подобрала галку, крыло сломано (у основания, грубо говоря «плечо»), перелом открытый, видно кость, но она не травмирует остальные ткани. Аппетит хороший, на контакт идет, при внешнем осмотре не найдено каких либо заболеваний (был прочитан не один форум, так как помимо нового жильца дома есть коты, было страшно за них). В целом, птица за это все время стала выглядеть лучше, очень активная, но есть проблема: ни одна ветеринарка в городе не взяла галку ДАЖЕ на осмотр/консультацию.Сейчас подрезаю перья, чтобы не зацепил их и закрепляю здоровую часть крыла, место перелома не закрываю. Оставить птицу на пмж не проблема, все условия для этого есть, но совершенно непонятно, что дальше делать с крылом. Даю витаминные и минеральные добавки, страшно давать антибиотики без врача. Какие могут быть прогнозы, что будет с крылом, птицей?
- 5 ответов
-
- перелом
- перелом крыла
-
(и ещё 3 )
C тегом:
-
Здравствуйте, вчера нашла голубя, не летает, крыло одно свисает, плечевой сустав увеличен примерно в два раза. Пока зафиксировала примотав к туловищу, потому что при фиксации на хвост оно все ровно оттопырено и он снимает повязку. Еще помет зелеными колбасками, это нормально? Я вообще голубя второй раз в жизни лечу, поэтому нуждаюсь в помощи… к сожалению, денег нет на орнитолога, а обычные ветеринары все отказали в приеме. Помогите пожалуйста советом. Особенно в правилах фиксации крыла и, может, как-то вправить его надо?
- 8 ответов
-
- вывих крыла
- зелёный помёт
-
(и ещё 1 )
C тегом:
-
Здравствуйте. Утром 26 числа был найден на улице щегол. Лежа на спине, весь промерзший, в состоянии уже близкому к концу. Я спешил, но он никаких движений не делал: сидел на ладони, только открывал глаза. Дома, получив теплое питье сразу оживился и поскокал по столу. Тут выявились проблемы с правым крылом. Позвонил в одну из ветеринарных клиник, где мне сказали, что примут, но с рентгеном. Сделал рентген, там же сказали, что это плечевой вывих и птичка-инвалид. С этими данными поехал в ту клинику, в которую звонил. Там подтвердили ситуацию: сломан плечевой и нужно проводить лечение. Прописали: Синупокс 0.02 мл в рот 1 раз, в течение 5 дней, Комбилипен по 0.1 в поилку, а так же обрабатывать рану хлоргиксидином 2-3 раза и левомиколь на ночь. Подсказали по корму, сказали купить маленькую клетку, чтобы не было возможности летать, точнее пытаться это сделать. Первый день провел процедуры и наблюдал за птичкой очень часто: она падала на спину хватаясь за больное крыло, крыло гнулось, она делала много нежилательных движений. На 2-ой день заметили уже больше крови из раны и белую шишку на плече, возле шеи. Совершенно не знаю, что делать! Помогите, кто может! Подскажите, кто чем может. Как содержать? Стоит ли держать в клетке или поместить в коробку? Что делать с болтающимся крылом?.. Очень хочу сохранить жизнь птичке, ведь она даже в первый день немного насвистывала песни, несмотря на боль… Сообщили, что рана давняя. Не знаю, какая была у птички судьба до меня, но сейчас это моя ответственность и я прошу максимальную помощь! -"Извините если создал не в той теме"
- 10 ответов
-
СРОЧНО!!! Открытый перелом крыла у стрижа!!! (Самара)
yulia_bird опубликовал тема в Найден взрослый стриж
Нашли стрижа с открытым переломом крыла, пока что обработали рану мирамистином. Подскажите, пожалуйста, нужно ли накладывать повязку, какие лекарства покупать. К сожалению, в вет клинике нам отказали. Если знаете хорошего орнитолога в Самаре, напишите, пожалуйста! В первый раз с таким сталкиваемся -
Стриж, открытый перелом крыла, торчит кость
Karpinsky опубликовал тема в Содержание стрижей в домашних условиях
Был найден на тротуаре поздно вечером, чуть ниже локтя кровоточащая рана, кость торчит наружу. При взмахах крылом "кисть" свободно болтается, - видно, что держится только на мягких тканях. Птица паникует, машет крыльями и вопит от ,автоматически этими действиями расковыривает рану. Я прикладывала к ране марлевый тампон, смоченный в дициноне, влила с пальца пару капель воды в клюв, позже на рану положила немного Левомеколя. Подскажите, как ещё помочь птице, тем более "на ночь глядя". Сложно с ней, как бы не умерла от болевого шока прежде, чем я смогу организовать ей толковое лечение. Не лучше ли отрезать болтающуюся часть крыла - всё равно обездвижить его невозможно, да и срастить оторванные части кости вряд ли получится. Чем кормить - ловить мух и комаров и, зажав в пинцете, подносить к клюву? Есть ли какие-то подходящие корма в зоомагазинах? Сколько птица (если выживет) должна съедать в день и как часто? Как лучше поить,чтобы не попасть в дыхательное горло? Надо птицу держать в тепле, или наоборот, в прохладе, чтобы кровотечение не возобновлялось? Заранее спасибо.- 3 ответа
-
- перелом крыла
- кость наружу
-
(и ещё 2 )
C тегом:
-
Здравствуйте, у меня живет грач месяца 3, не лётный, думаю скорее ушиб, чем перелом, крыло слегка подвисает Нету возможности/бюджета к орнитологу поехать, простите. Наш местный говорил будет летать, все норм. После купания, пока он мокрый и хорошо видно сфоткала его крылышко. По самочувствию и поведению все хорошо, а вот если присмотреться на крылышко кажется, что там все ужасно. Возможно кто-то разбирается и сможет что-то об этом сказать.. Насколько плохо, не смертельно ли .. Спасибо большое!
- 3 ответа
-
- грач
- крыло не летает
- (и ещё 4 )
-
Здравствуйте! Недавно наша знакомая завела острохвостых амадин, и у одной из них что-то не так с крылом. Скорее всего крыло сломано или это врождённый дефект. Посоветуйте, пожалуйста, что можно сделать в данном случае. Заранее спасибо за помощь! Вот фотографии птички (к сожалению, не очень хорошие).
- 5 ответов
-
- острохвостые амадины
- перелом крыла
-
(и ещё 1 )
C тегом:
-
Несколько дней назад нашла голубя с переломом крыла в плечевой кости. Как правильно подвязать, чтобы нормально срослось? Но потом я заметила ещё зелёный понос и немного красноты по периметру глаза(самого глаза), не знаю нормально ли это или нет. Аппетит у него очень плохой, зерно не ест, из-за этого кормлю его детским пюре(фрукты и злаки с овсянкой) через шприц. о чем может говорить такой цвет помета? И что мне делать?
-
Здравствуйте, мне принесли голубя, у него вертячка. Обнаружила перелом крыла ниже лучезапястного сустава, открытый перелом, рана сильно загрязнена запекшейся кровью, грязью. Фото сделаю позже. Надо бы антибиотик - какой можно колоть 1 раз в сутки?
-
у голубя открытый перелом крыла, торчит косточка, что делать
Тузя опубликовал тема в Лечение голубей
Здравствуйте, с месяц назад нашли голубенка подросшего, крыло волочилось по земле, я осмотрела, вроде торчащих костей не было, был сильный отек. Крыло зафиксировала, даже оба крыла, почти 3 недели была фиксация, затем я сняла повязку и обнаружила, что торчит косточка, как я могла не заметить не знаю, видимо из-за сильного отека. Голубь находился все это время у знакомых, я забрала когда уже сняла повязку. Когда пришла к ним забирать, увидела, что повязка сползла, а они даже не сказали ничего, я бы пришла поправила. Плюс он у них вывалился из клетки ( забыли закрыть), и почти сутки был во дворе, они не могли найти его...Во так оставлять кому-то...А у себя уже негде, места нет. Крыло срослось, птичка активно машет двумя крыльями, только сидит она у меня пока в коробке, больше негде. Косточка торчит наружу, я брызгаю мирамистином, хлоргексидином, немного смазала левомеколем для размягчения но сомневаюсь можно ли левомеколем. Я жду что этот торчащий кусочек сам отвалится и кожа затянется, у меня так было у голубей с переломами. Или отрезать этот кусочек? -
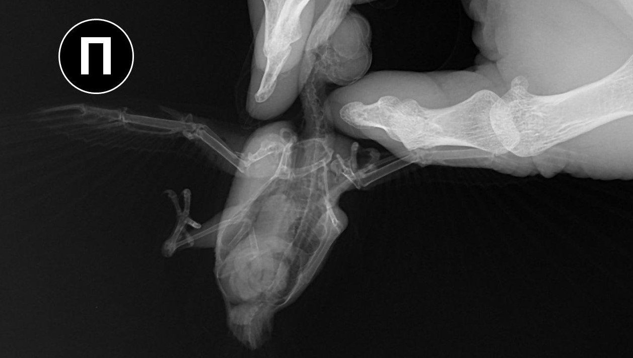
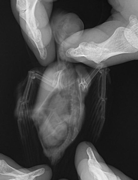
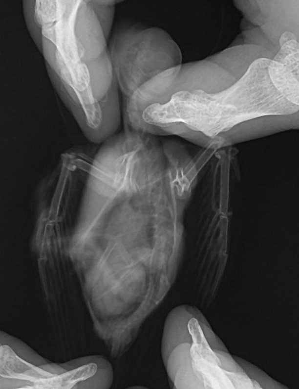
Добрый день. Три дня назад подобрал на улице птицу с неестественным положением правого крыла (о том, что это стриж узнал от ветеринарного врача). Занес в ближайшую ветеринарную клинику, где врач, осмотрев и ощупав птицу (рентгена в клинике не было), сказал, что перелома нет, скорее всего стриж ударился о провод и ему необходимо несколько дней для восстановления. Никогда не имел дел не только со стрижами, но и с птицами вообще, но решил попробовать его спасти. Живет в коробке примерно 30х30х30, кормлю опарышами, так как пока не нашел других насекомых, этот вопрос решу в ближайшее время. Вопрос с питанием отдельная проблема. Больше всего меня беспокоит его крыло. Сегодня свозил птичку на рентген. Врач хотя и увидел перелом, но о лечении птиц знает примерно столько же сколько и я. Даже не знал, как называется сломанная кость (называл её маленькой) Я потом посмотрел в интернете, что это лучевая кость. А локтевую кость называл маховой. Предложил зафиксировать крыло и, прижав крылья к телу, замотал его эластичным бинтом. Приехав домой, я снял эту повязку. Не знаю смогу ли найти ветеринара по птицам, а пока прошу совета и помощи у знающих людей. Есть ли шанс вылечить птицу с таким переломом? Нужно ли её пеленать, как сделал этот врач? Может быть поместить стрижа в маленькую коробочку, чтобы у него не было возможности махать сломанным крылом? В общем, что сейчас делать с птичкой? Спасибо за советы PS На последнем снимке стрижик завернут в эластичный бинт
-
Как помочь голубю? Как содержать? Что-то с крылом,летать не может. Прошу помощи в лечении и содержании голубя! Буду очень благодарна любой помощи.
- 13 ответов
-
- голубь уличный
- лечение крыла голубя
- (и ещё 8 )
-
Доброго времени суток. Нашли дрозда с перебитым крылом. Хирург сказал что можно либо на спицах собрать но не известно выживет ли после наркоза, либо ампутировать крыло, либо усыпить, либо наложить шину. Решили просто наложить шину и зафиксировать на корпусе с соответствующей чисткой и всем что написано в струкции. Вопросов много, но для начала, стоит ли собирать на спицах? Врач говорит что даже если срастется то летать нормально не сможет так как это будет слабое место.
