Dukemc Опубликовано 11 января, 2020 #1 Опубликовано 11 января, 2020 (изменено) 2. Корелла 3. Самец, 4-5лет 4. Престиж бельгия, сепия, мин камень, фрукты почти не ест, при линьке давали витамины "витакрафт линька", вода - осмос 5. 20-22град. Клетка на окне без сквозняков 6. После появления ребенка стал менее подвижен, очень мало летает уже больше как полутора лет, аппетит хороший, но 4мес назат появилась опухоль лапки, мазали траумелем но опухоль увеличилась, раньше вроде неудобств у попугая небыло, на лапе спал. Опухоль твердая, на вид круглая но как будто набита бугорками фото с сентября Изменено 11 января, 2020 пользователем Dukemc
Dukemc Опубликовано 11 января, 2020 Автор #2 Опубликовано 11 января, 2020 фото сейчас, лапа в щиколотке стала толще, на подушке появилися натоптыш
Dukemc Опубликовано 11 января, 2020 Автор #3 Опубликовано 11 января, 2020 буду очень признателен за помощь
SilverDrein Опубликовано 17 января, 2020 #5 Опубликовано 17 января, 2020 @Dukemc Здравия. Беда у вас с лапами, и беда серьезная. Что ж вы так запустили? Укажите, пожалуйста, город, чтобы я могла посмотреть, к какому ветеринару вам стоит обратиться.
Dukemc Опубликовано 17 января, 2020 Автор #6 Опубликовано 17 января, 2020 Тернополь, у нас ветеринаторов нет(
Linka Опубликовано 19 января, 2020 #7 Опубликовано 19 января, 2020 @Dukemc но есть хоть какие-то ветеренары? Как сейчас птичка?
Zosia Опубликовано 20 января, 2020 #8 Опубликовано 20 января, 2020 Вам обязательно надо выполнить рентген, с оттянутой лапкой, в двух как минимум вариантах. Для дифференциации перелома,осложнившегося воспалением остеомиелита остеосаркомы
Dukemc Опубликовано 20 января, 2020 Автор #9 Опубликовано 20 января, 2020 (изменено) Большое спасибо за ответ. Жена доктор (детский), поэтому воспалительный процесс мы изначально исключили т.к. попугай активен, с аппетитом, без температуры, опухоль ему не мешала и пока не сорвал корку с натоптыша спал на больной лапе. Чесно говоря думали что это липома. Завтра обзвоню клиники за рентгеном. Изменено 20 января, 2020 пользователем Dukemc
Dukemc Опубликовано 21 января, 2020 Автор #10 Опубликовано 21 января, 2020 К сожалению в ветклиниках говорять что рентген большой, не для птиц. Есть ли смисл везти попугая за 200км в таком состояние?
Dukemc Опубликовано 25 января, 2020 Автор #11 Опубликовано 25 января, 2020 К сожалению рентген сделать не возможно у нас в городе, у птички как и раньше хороший аппетит , но лапка болить, очень слегка на нее встает. Читали по форумах лечение препаратом асд и трамавит, есть ли смисл давать? Чтоб иметь хоть какую то возможность помочь? Спасибо
Zosia Опубликовано 28 января, 2020 #12 Опубликовано 28 января, 2020 Автор, ищите рентген. Стоматологчиеский,деттский... вопрос купюр оператору установки,дело на 5 минут... Пока кроме узких НПВС- целекоксиб или нимесулид (удобен в детской суспензии) и, возможно, преднизолона (инъекционный) ничего не могу сказать. Травматин (фитопрепарат на основе арники) давать можно для уменьшения боелй, но с серьезным боелвым симптомом он не справится,тут именно НПВС нужны. Воспралительный процесс как абсцесс (отгарниченный) или остеомиелитный, или лобный сустав- как можно исключить?
Dukemc Опубликовано 30 января, 2020 Автор #13 Опубликовано 30 января, 2020 28.01.2020 в 17:17, Zosia сказал: Автор, ищите рентген. Стоматологчиеский,деттский... вопрос купюр оператору установки,дело на 5 минут... Пока кроме узких НПВС- целекоксиб или нимесулид (удобен в детской суспензии) и, возможно, преднизолона (инъекционный) ничего не могу сказать. Травматин (фитопрепарат на основе арники) давать можно для уменьшения боелй, но с серьезным боелвым симптомом он не справится,тут именно НПВС нужны. Воспралительный процесс как абсцесс (отгарниченный) или остеомиелитный, или лобный сустав- как можно исключить?
SilverDrein Опубликовано 30 января, 2020 #14 Опубликовано 30 января, 2020 @Dukemc А всю целиком птицу рентгенили? Нужен рентген ВСЕЙ птицы. Проблемы у нее не в лапе могут быть, а в органах.
Dukemc Опубликовано 30 января, 2020 Автор #15 Опубликовано 30 января, 2020 Педиатрические аппараты что у нас есть делают слишком большие снимки, спасибо за совет, нашли денталтный и это макс размер. Два дня назат птица двигалась совсем плохо, не мог зацепиться за жердь, спустили вниз, дали нурофен детский по 0.1 2 раза, тк детского нимесила у нас нет. Ходить стал уверенней Не заваливаеться, но кажеться что два пальца не двигаються, немного оттопырены, опираеться на суглоб
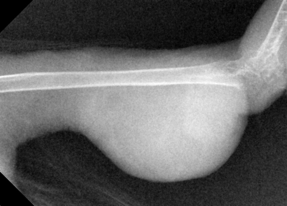
Zosia Опубликовано 30 января, 2020 #16 Опубликовано 30 января, 2020 Кость целая,без патологических изменений, без зон распада или абсцессов Броди. Возможно есть какие-то проблемы в суставе (кажется низковатой плотность, возможно след старой травмы СУСТАВА). Я сделала инверсию снимка, видится некое образование,кистоподобное, на латеральной проекции. Возможно исходит из суставной сумки (цифра 1). Это м.б. абсцессом, гигромой- но связано скорее всего с соедигнительной тканью. На склеродермию или подагрическое образование непохоже. На ВД проекции в нижней четверти кости есть (возможно это артефакт) некое нарушение четкой границы кости (цифра 2)... но параметры снимка не позволяют с уверенностью эту неровность оценить. Вопросы: Есть ли проблемы с дыханием Есть ли проблемы с пищеварением (рвота напрмиер) И нужен рентген "всей птицы", хотя бы один...
Dukemc Опубликовано 30 января, 2020 Автор #17 Опубликовано 30 января, 2020 (изменено) спасибо, что ответили. Рентген будем искать еще. Можно попробовать менее точный уже когда есть снимок лапки в ветклинике (ранее нам говорили все что есть у нас в городе - для попугаев не подходит, собакам, кошкам делают)?Педиатрический делает только крупные снимки, то есть наверняка будет то же самое что и в ветклинике. Срыгивания никаких нет , аппетит если не нормальный, то даже возможно повышенный, корм даем до 2.5 столовых ложек, но выедает в основном только просо, может активно просить еще (сколько ему давать?). Изменено 30 января, 2020 пользователем Dukemc
Dukemc Опубликовано 30 января, 2020 Автор #18 Опубликовано 30 января, 2020 (изменено) Фрукты, зелень, пророщенные зерна, вареные кашы не ест, даже если голодный и требует еще.Прошлой недели вес был 95 гр, сейчас 86 (возможно тогда было после еды).Кал как всегда. Летом был как бы с увеличенным количеством жидкости при обычном количестве твердых примесей, почитали, что может быть дефициты вит Д, подмешивали в корм кальций с вит Д, кал пришел в норму. Изменено 30 января, 2020 пользователем Dukemc
Dukemc Опубликовано 30 января, 2020 Автор #19 Опубликовано 30 января, 2020 (изменено) С диханием проблем вроди нету , чд 35-40 за мин,вчера было легкое посвистивание где то 2 эпизода, сегодня- не слишно. Иногда дрожжит. Сейчас ослаб. Летать не может. Ходит по подоконнику. Больная лапка не двигается от колена,он опирается на сустав и так ходит на 2 лапах. Кожа на пальцах больной лапи с желтоватыи оттенком сегодня. И раньше было пуху много, часто линял, а тперь пух практически отсутствует Изменено 30 января, 2020 пользователем Dukemc
Dukemc Опубликовано 30 января, 2020 Автор #20 Опубликовано 30 января, 2020 Продолжать нурофен до рентгена?
Dukemc Опубликовано 31 января, 2020 Автор #21 Опубликовано 31 января, 2020 (изменено) опухоль за последнее время увеличелась, на лапке ранка появилась(пролежень нверное), мажем траумелем Изменено 31 января, 2020 пользователем Dukemc
Delfin Опубликовано 31 января, 2020 #22 Опубликовано 31 января, 2020 для справки-ибупрофен в клюв дается максимум 5 дней,потом менять на др нпвс нужно
Delfin Опубликовано 31 января, 2020 #23 Опубликовано 31 января, 2020 дайте фото раны. Пока омывать рану антисептиком (хлоргекседин или мирамистин,а потом уже наносить мази)
Dukemc Опубликовано 31 января, 2020 Автор #24 Опубликовано 31 января, 2020 если рентген не цифрофой в ветклинике, есть смысл делать?
Dukemc Опубликовано 31 января, 2020 Автор #25 Опубликовано 31 января, 2020 спапсибо, так и делаем 4 часа назад, Delfin сказал: дайте фото раны. Пока омывать рану антисептиком (хлоргекседин или мирамистин,а потом уже наносить мази) спасибо, так и делаем
Dukemc Опубликовано 31 января, 2020 Автор #26 Опубликовано 31 января, 2020 23 часа назад, Zosia сказал: Кость целая,без патологических изменений, без зон распада или абсцессов Броди. Возможно есть какие-то проблемы в суставе (кажется низковатой плотность, возможно след старой травмы СУСТАВА). Я сделала инверсию снимка, видится некое образование,кистоподобное, на латеральной проекции. Возможно исходит из суставной сумки (цифра 1). Это м.б. абсцессом, гигромой- но связано скорее всего с соедигнительной тканью. На склеродермию или подагрическое образование непохоже. На ВД проекции в нижней четверти кости есть (возможно это артефакт) некое нарушение четкой границы кости (цифра 2)... но параметры снимка не позволяют с уверенностью эту неровность оценить. Вопросы: Есть ли проблемы с дыханием Есть ли проблемы с пищеварением (рвота напрмиер) И нужен рентген "всей птицы", хотя бы один...
Zosia Опубликовано 1 февраля, 2020 #27 Опубликовано 1 февраля, 2020 На второй лапе- зона артроза или подагрических отложений (четкости никакой).
Zosia Опубликовано 1 февраля, 2020 #29 Опубликовано 1 февраля, 2020 Вторую лапу осмотреть,особенно снизу.Прощупать,сфотогарфировать все дефекты и проблемные зоны.
Dukemc Опубликовано 1 февраля, 2020 Автор #30 Опубликовано 1 февраля, 2020 На второй лапе был натоптыш, но появился после того, как опухоль начала интенсивнее рости и вследствие изменилась посадка птицы на жердочке. Он больше стал сидеть на здоровой стороне. Когда опухоль увеличелась еще больше(неделю назад) и он не смог цеплятся больной лапой за жердь и перешел на горизонтальнуюю поверхность. Изменилось положение тела, опираться стал на всю цевку и фаланги. Фаланги на больной лапе не двигаются и приподнятые вверх передние пальцы. За здоровую лапу сказать трудно, вроде пальцы двигаються и сгибаються но после разрастания опухоли суглоб на здоровой лапе стал толще (опухлее). По уклону передвигаеться сложно, при помощи клюва получается, натоптыш отпал. Опухоль изменила цвет.
Dukemc Опубликовано 4 февраля, 2020 Автор #32 Опубликовано 4 февраля, 2020 (изменено) Нурофен с воскресенья не даем(5 день), вчера начал щадить другую лапку, опухлость вокруг суглоба увеличелась Изменено 4 февраля, 2020 пользователем Dukemc
Dukemc Опубликовано 4 февраля, 2020 Автор #34 Опубликовано 4 февраля, 2020 еще неделю назад сломал на другой от опухоли лапе ноготь, било кровотечение небольшое
Zosia Опубликовано 7 февраля, 2020 #35 Опубликовано 7 февраля, 2020 Рассмотриет возможность вскрытия образования (предположительно абсцесса) , у вас был вроде врач который об этом говорил. Обезболивание покровное (спреем). Вскрытие и очистка стандартные Недопустимо применение перекиси (у млеков при панарициях ее применяют) Извлеченный материал- по возможности- хотя бы на цитологию (а еще лучше на гисту). По второй лапе- с натоптышем- на форуме есть темы. Применять смеси (жидкие и порошкообразные). НПВС обязательно, С учетом крайней запущенности - имеет смысл в качестве НПВС взять даже Налгезин (напроксен), для того чтобы не было побочек с ЖКТ,т.к. предполагается очень длительное его использование. Доза допустима (максимальная суточная) 3 мг на 100 гр веса, в таком кол-ве- до 2 недель, далее снизить до 2 мг/100 гр веса.
Dukemc Опубликовано 7 февраля, 2020 Автор #36 Опубликовано 7 февраля, 2020 Спасибо большое за ответ. Фото сегодня
Dukemc Опубликовано 7 февраля, 2020 Автор #37 Опубликовано 7 февраля, 2020 Будем искать возможность вскрыть абсцес
Dukemc Опубликовано 8 февраля, 2020 Автор #38 Опубликовано 8 февраля, 2020 Здраствуйте,во вторник обещали помочь ветеринары. Сегодня появился жидкий помет с неперетравленым зерном...Дать бифидум?
Delfin Опубликовано 8 февраля, 2020 #40 Опубликовано 8 февраля, 2020 пробиотики типа линекса (с лакто и бифидо бактериями) и по уму помет сдать на полную капрограму с указанием также йодофилной флоры,кристалы солей,грибы,инвазии,все за час делают где лечат собак,упросите,им всеравно чей помет делать. Нужно узнать куда полезная флора делась.
Dukemc Опубликовано 8 февраля, 2020 Автор #41 Опубликовано 8 февраля, 2020 спасибо,проблемы с пометом начались на фоне НПВС
Рекомендуемые сообщения
Для публикации сообщений создайте учётную запись или авторизуйтесь
Вы должны быть пользователем, чтобы оставить комментарий
Создать аккаунт
Зарегистрируйте новый аккаунт в нашем сообществе. Это очень просто!
Регистрация нового пользователяВойти
Уже есть аккаунт? Войти в систему.
Войти