Перейти к содержанию
Место для вашей рекламы

 

Домашний голубь, кашель, отдышка


Рекомендуемые сообщения

Опубликовано

Надеюсь что четыре года достаточный срок

1 минуту назад, Deem сказал:

А это ничего, что 4 года назад был курс Азитромицина? Просто оба препарата – макролиды. И ещё вопрос: а если всё-таки мы ошибаемся, и это Аспергиллёз? Симптомы не похожи? Тилозин есть, но боюсь, что и от Тилозина может становиться хуже.

 

52 минуты назад, Deem сказал:

Теперь после каждой дозы Юнидокса Рыжий начинает очень сильно закашливаться, вся трахея в белой слизи! Значит, Доксициклин отменяю? По стечению обстоятельств утреннюю дозу дать не удалось.

 

Возможно, что-то муколитическое можно ему дать? Сейчас не без помощи откашлял сгусток этой массы. Цвет неоднородный: местами практически белый, а местами с жёлтовато-зеленоватым оттенком. Фото будет позже.

Большинство муколитиков у птиц не работает и может добить птицу из-за воздушных мешков 😞

  • Ответов 674
  • Создана
  • Последний ответ

Топ авторов темы

  • Deem

    263

  • маленький принц

    113

  • ната1805

    64

  • Анна1972

    43

Опубликовано
13 часов назад, ната1805 сказал:

в ваше лечение не лезу-просто написала чтоб вы зря время свое не тратили на БЕСПОЛЕЗНОЕ лечение..

 

50 минут назад, маленький принц сказал:

Да отменяйте и СРОЧНО начинайте тилозин 

Вы что, совсем сдурели такие советы давать?! Какое основание для отмены?

 

@Deem Доксициклин пока продолжайте. Добавим цефтриаксон и тербинафин. Цефтриаксон с доксициклином не лучшее сочетание, но тем не менее при необходимости их тоже назначают вместе. Напишу подробнее чуть позже. 

1 час назад, Deem сказал:

Теперь после каждой дозы Юнидокса Рыжий начинает очень сильно закашливаться

Не может быть такой мгновенной реакции на приём лекарства. Возможно сам процесс дачи лекарства провоцирует кашель. Как Вы даёте?

Утреннюю дозу доксициклина если пропустили дайте сейчас.

48 минут назад, маленький принц сказал:

Сейчас не без помощи откашлял сгусток этой массы. Цвет неоднородный: местами практически белый, а местами с жёлтовато-зеленоватым оттенком

Ее бы очень хорошо собрать и сдать на посев. И на пцр повторно отправить тоже. 

Опубликовано
8 минут назад, Cabrera. сказал:

совсем сдурели

почему то смешно стало...😀

Опубликовано
35 минут назад, Cabrera. сказал:

Вы что, совсем сдурели такие советы давать?! Какое основание для отмены?

@Deem 

 

@Cabrera Доксициклин даётся уже больше месяца но все равно птица задыхается  😞

Либо он не действует либо дозировку нужно повысить 

Опубликовано

мне в больнице цефтриаксон вообще на третий день отменила-поняв что не работает при пневмонии....

32 минуты назад, маленький принц сказал:

птица задыхается

Принц, она может задыхаться от чего угодно кстати...

Опубликовано
5 часов назад, Deem сказал:

Цвет неоднородный: местами практически белый, а местами с жёлтовато-зеленоватым оттенком.

 

4 часа назад, Deem сказал:

Аспергиллёз?

Попробовать сравнить оттенки можно, сделав поиск по картинкам по запросу: pigeon aspergillosis
Из-за того, что ссылки размещать тут нельзя, приведу только названия сайтов, подходящие картинки с которых отображаются: learnbirdcare, avianempire, researchgate.

Опубликовано
7 часов назад, Deem сказал:

если всё-таки мы ошибаемся, и это Аспергиллёз?

напомните пожалуйста рентген лёгких в двух проекциях не делали?

 

и на случай паразитов глистогонку не делали?

Опубликовано (изменено)
2 часа назад, маленький принц сказал:

напомните пожалуйста рентген лёгких в двух проекциях не делали?

и на случай паразитов глистогонку не делали?

Да, рентген был в октябре, уже выкладывал. Ни от паразитов, ни глистогонку не делал.

 

Вот фотографии сгустка белой массы и слизи (в пробирке Эппендорф с физ.раствором, т.к. сразу сдал на ПЦР на аспергиллёз):

IMG_0229.thumb.JPG.4b816a2ac81aad28296da22027c80470.JPGIMG_0266.thumb.JPG.b63d13e2760041851b93fe700ef32e13.JPGIMG_0277.thumb.JPG.1b6463a7fce74a5ade0826aa16f21569.JPGIMG_0274.thumb.JPG.221d77c33ee44991f684a812c95dabd4.JPGIMG_0290.thumb.JPG.1b50d964ae5c8dede85d41eaba9f994b.JPGIMG_0296.thumb.JPG.955a0ac8c560992397ce369843f4cc3a.JPGIMG_0304.thumb.JPG.e88e08985fb597151ebcaa120bb5b333.JPGIMG_0314.thumb.JPG.e216ee18548b662e23cc9297bb05e462.JPG

 

Вот ещё фото маленькой капельки слизи, которую удалось втянуть трубочкой вчера (в воде, т.к. прополоскал там трубочку):

IMG_0012.thumb.JPG.d33a791a0d98f56ed566d1b2d53e1dcc.JPGIMG_0013.thumb.JPG.9fa88d71775a49d9839e1def0796ec4d.JPG

 

9 часов назад, Cabrera. сказал:

Не может быть такой мгновенной реакции на приём лекарства. Возможно сам процесс дачи лекарства провоцирует кашель. Как Вы даёте?

Не совсем так. Доксициклин раздражает слизистые, что вызывает повышенное выделение слизи/слюны во рту - это было видно с самого первого приёма. По этому я всегда заливал дозу практически в пищевод, и незамедлительно давал обильно запить и заесть. В субботу "рука дрогнула" и Рыжий немного поперхнулся, кашлянул, но я сразу дал ему запить и заесть. Пока поил и кормил – всё было нормально, но как только отпустил – Рыжий взахлёб закашлялся не характерным образом, тогда я и обнаружил что вся трахея заполнена сгустками белой массы и слизи. Да, всё это не могло появиться из-за одной неудачной дозы. Скорее всего белая масса в трахее начала нарастать ещё пару недель назад, просто я не заглядывал ему в трахею, а ограничивался обычным общим осмотром в клюве. В субботу этой массы накопилось достаточно много, а раздражение слизистой от неудачной дозы добавило слизи в и так "заросшую" трахею, отчего Рыжий и начал "захлёбываться" в кашле. Теперь часто кашляет, будто давится, даже от небольших манипуляций, особенно от доз Доксициклина, который добавляет слизи/слюны в глотку.

Подоробнее об этом в прошлых сообщениях:

Спойлер

 

Вот фото белой массы и слизи в трахее (видно плохо, но там много этой массы по стенкам; зелёным обведена масса, синим – нечто вроде абсцессов), а так же фото крошечных абсцессов на нёбе:

1.thumb.png.55b652cdec849bb1b41823d3ba0e37e5.png2.thumb.png.1e9638e961537bfa28e2e989f3fe1736.png0.thumb.png.943426b1a097ab31a610ac3e56d71357.png1.thumb.png.f227b4dfc06a78dc9206fb1c0ee18d97.png2.thumb.png.1114b6b9a9660f4e91248127691aeeb0.png3.thumb.png.422a01f1854f7a714717d16414931cb8.png

 

9 часов назад, Cabrera. сказал:

Доксициклин пока продолжайте.

9 часов назад, маленький принц сказал:

Доксициклин даётся уже больше месяца но все равно птица задыхается  😞

8 часов назад, ната1805 сказал:

может задыхаться от чего угодно кстати...

@Cabrera. Вы точно уверены, что хламидиоз ещё не уничтожен, и что эти симптомы вызывает именно он? Что если аспергиллёз, или та-же кишечная палочка? Как понять, что хламидиоз ещё не уничтожен, если эти симптомы могут быть вызваны и другим заболеванием? И как понять, если Доксициклин не действует: сколько должно пройти дней?

 

Поймите, я очень боюсь за Рыжего, ему сейчас очень плохо – хуже, чем было все эти три года болезни. И ухудшение пошло на курсе Доксициклина. До него – состояние было более-менее стабильно. Это не похоже на совпадение. Скорее вего Ципрофлоксацин с Доксициклином подавили конкурирующую с основным (которым Рыжий и болеет эти 3 года) заболеванием бактериальную флору, ослабили организм, и из хорнической формы заболевание перешло в острую.

 

9 часов назад, Cabrera. сказал:

Добавим цефтриаксон и тербинафин.

Я боюсь, Рыжий не выдержит лечение "сразу от всего"... Нужно сузить круг заболеваний, определиться от чего именно лечить. ПЦР на аспергиллёз сдал, помёт на повторный посев сдал, мазок с абсцессов с нёба на посев сдал. Что ещё можно сдать, кроме того что Вы уже перечислили?

 

@Cabrera. На что могут указывать появившиеся в ходе лечения ярко-жёлтые комочки в моче/среди уратов? — Печень? Почки?
Никогда раньше такого не встречал. Их уже больше, чем самих уратов! Вот фото:

IMG_0318.thumb.JPG.9ba98807f4aecd0bf3c5245241f40828.JPGIMG_0322.thumb.JPG.99ed274f8a98904f1e331fca2472877f.JPGIMG_0321.thumb.JPG.3835fbc6559a445293d5c7d12bce350f.JPGIMG_0349.thumb.JPG.de8c4ed381083e95626264ad100b5288.JPGIMG_0201.thumb.JPG.ab412a1d8590704600a45f122f67dd76.JPG

 

IMG_0083.thumb.JPG.b2a767dafd1ec290862e7fa3c3158b69.JPGIMG_0114.thumb.JPG.60657917448f02ff3e2cd7ed1b2392c5.JPGIMG_0341.thumb.JPG.7e12058a125c6bf1684e581bb400e51d.JPGIMG_0347.thumb.JPG.8104d445135e1b3977a107bfdae02ee2.JPG

Изменено пользователем Deem
Опубликовано

Если есть такие возможности быстро заказать ПЦР, можно проверить ПЦР на хламидиоз, не будет ли на этот раз отрицательно.

Опубликовано (изменено)

@Niketan, попробую сдать повторно. Но это не быстро, к сожалению, т.к. все ПЦР только в Москву, а это от 3-х дней. Результат по аспергиллёзу, например, будет не раньше четверга.

Изменено пользователем Deem
Опубликовано (изменено)

@Cabrera. ответьте, пожалуйста, на вопросы – с каждым днём состояние Рыжего усугубляется! Доксициклин пока возобновил... но очень сомневаюсь в целесообразности, по вышеприведённым причинам.

 

Снова сдал ПЦР на хламидиоз (в основном смыв вокруг трахеи и с нёба, т.к. остальная белая масса в трахее почти не откашливается); Снова сдал помёт на копрограмму...

 

Пришёл результат посева мазка с "абсцессов" на нёбе. Пока на словах: высеяны "нормальная флора ротовой полости" и кандида 10² КОЕ, причём без подтитровки к антимикотикам. Результат странный, завтра получу в KDL бланк и уточню.

 

Рыжий похудел уже до ~324 грамм. Помёта сегодня очень мало, и воды/мочи в нём необычно мало – сейчас воды/мочи вообще нет (хотя пил он нормально так), ураты и жёлтые комочки в них – присутствуют. Сейчас у Рыжего явно что-то болит внутри (характерная поза), причём сильно!

IMG_0366.thumb.JPG.ce01340891bf074ce0fd3bee213ba08b.JPGIMG_0377.thumb.JPG.6a1473609e16efdde603637777f7eb6f.JPG

Изменено пользователем Deem
Опубликовано
В 09.12.2024 в 22:52, Deem сказал:

Вы точно уверены, что хламидиоз ещё не уничтожен, и что эти симптомы вызывает именно он?

Я не могу знать уничтожен хламидиоз или нет. Рекомендованный срок лечения хламидиоза - 45 дней, согласно ветеринарному справочнику, на который я ссылалась ранее. И это не единственный источник, где рекомендуется такая длительность курса. При отмене доксициклина раньше времени есть риск хламидиоз недолечить и в последствии остаться вообще без антибиотиков, которые способны справиться с этой инфекцией.
 

В 09.12.2024 в 22:52, Deem сказал:

и что эти симптомы вызывает именно он?

Нет, конечно я не уверена, что эти симптомы вызывает именно хламидиоз. Но хламидиоз подтверждён анализами и его надо убрать. Симптомы может и, скорее всего, вызывает другая инфекция или комплекс инфекций. Именно поэтому невозможно определить работает доксициклин или нет. Он вполне успешно может работать на хламидиоз. Просто этого недостаточно. Эшерихию тоже надо обязательно убирать. Мы с этой целью попробовали ципрофлоксацин, он не сработал. Поэтому я и советую начать цефтриаксон, который мы держали в качестве резервного антибиотика. Если птице все хуже, то начинать его надо как можно скорее. Он должен перекрыть оба штамма эшерихии. Я не считаю, что стоит игнорировать полирезистентный штамм, рассчитывая на то, что это ошибка лаборатории. 

 

В 09.12.2024 в 22:52, Deem сказал:

как понять, если Доксициклин не действует: сколько должно пройти дней?

Как я уже написала доксициклин не действует на бактериальную инфекцию/инфекции. Действует ли он на хламидиоз мы в этой конкретной ситуации понять не сможем.

 

В 09.12.2024 в 22:52, Deem сказал:

Нужно сузить круг заболеваний, определиться от чего именно лечить

У нас есть подтверждённый анализами хламидиоз. У нас есть подтверждённая анализами эшерихия. Даже если придёт положительный ПЦР на аспер эти инфекции надо все равно лечить. 
 

В 09.12.2024 в 22:52, Deem сказал:

ПЦР на аспергиллёз сдал, помёт на повторный посев сдал, мазок с абсцессов с нёба на посев сдал

Немного неправильно Вы сделали. Надо было в первую очередь сдать эту слизь на бакпосев, потому что когда мы сдаём на посев помет или даже мазок из зоба/клюва, всегда есть риск не захватить ту микрофлору, которая вызвала воспаление в дыхательной системе. Надо было извалять в этой слизи тампон из пробирки со средой Эймса, а остатки сдать уже на ПЦР. 
 

8 часов назад, Deem сказал:

Пока на словах: высеяны "нормальная флора ротовой полости"

К сожалению нормальная флора ротовой полости человека не совсем нормальна для голубей. Потому и не рекомендуется «поить» голубей изо рта или давать им воду из бутылки, из горлышка которой Вы пили ранее. Этим и плохи анализы выполненные в человеческой лаборатории, потому что «нормальную» флору они не тестируют на чувствительность к антибиотикам.

 

В 09.12.2024 в 22:52, Deem сказал:

На что могут указывать появившиеся в ходе лечения ярко-жёлтые комочки в моче/среди уратов? — Печень? Почки?
Никогда раньше такого не встречал

Не могу сказать, раньше с таким не сталкивалась. В вет. литературе, в которой рассказывается об интерпретации помета, ничего похожего пока найти так же не удалось.

Опубликовано (изменено)
В 09.12.2024 в 22:52, Deem сказал:

Их уже больше, чем самих уратов

По этим фотографиям теперь логично предположить, что это видоизменённые ураты. Жёлтый цвет в уратах обычно из-за печени, причины могут быть разные, в том числе любые инфекции из обсуждаемых — и бактериальные (эшерихии, хламидии), и грибковые (афлатоксикоз).

Изменено пользователем Niketan
Опубликовано
10 часов назад, Cabrera. сказал:

У нас есть подтверждённый анализами хламидиоз. У нас есть подтверждённая анализами эшерихия. Даже если придёт положительный ПЦР на аспер эти инфекции надо все равно лечить. 

@Cabrera., я имею ввиду, что нужно определить какие инфекции ещё не уничтожены, чтобы сосредоточиться на них. Потому я и сдал повторно помёт на посев, а так-же смыв из зева на хламидиоз. Если этого недостаточно, то подскажите, пожалуйста: что ещё следует сдать?

 

10 часов назад, Cabrera. сказал:

Эшерихию тоже надо обязательно убирать. Мы с этой целью попробовали ципрофлоксацин, он не сработал.

Пока это только предположение. Боль, заставляющая Рыжего так гробиться, не обязательно вызвана кишечной палочкой – это тоже нужно учитывать. Скоро будет результат посева помёта. Если палочка всё же уничтожена, то дополнительное лекарство, тем более плохо сочетающееся с Доксициклином, не потребуется. Как уже присал, – скажите, если этого анализа недостаточно, и нужно сдать что-то ещё.

 

10 часов назад, Cabrera. сказал:

Я не считаю, что стоит игнорировать полирезистентный штамм, рассчитывая на то, что это ошибка лаборатории. 

Дело в том, что я сдавал помёт на посев и в вет. лабораторию "Митрохиной", и в чел. KDL. В KDL я, также, дважды сдавал посев из зоба. Все результаты посевов в KDL из зоба и помёта – идентичны по чувствительности. В "Митрохиной" же результат отличается от KDL. Одна из лабораторий в любом случае ошибается.

 

10 часов назад, Cabrera. сказал:

нормальная флора ротовой полости человека не совсем нормальна для голубей. ... Этим и плохи анализы выполненные в человеческой лаборатории, потому что «нормальную» флору они не тестируют на чувствительность к антибиотикам.

Раньше они перечисляли высеянную "нормальную" флору, но в этот раз почему-то не стали. Оставил им претензию. Думаю сдать повторно, наверное, уже в другую лабораторию, и захватив ещё и слизь из трахеи, если удастся.

 

10 часов назад, Cabrera. сказал:

Симптомы может и, скорее всего, вызывает другая инфекция или комплекс инфекций. Именно поэтому невозможно определить работает доксициклин или нет. Он вполне успешно может работать на хламидиоз. Просто этого недостаточно.

10 часов назад, Cabrera. сказал:

Рекомендованный срок лечения хламидиоза - 45 дней

В 25.11.2024 в 07:23, Cabrera. сказал:

скорее всего, 6-им недель приема будет недостаточно.

10 часов назад, Cabrera. сказал:

Действует ли он на хламидиоз мы в этой конкретной ситуации понять не сможем.

Получается, что для уничтожения хламидиоза и 6 недель (без малого 45 дней) может оказаться недостаточно, и в то же время, что мы не сможем понять уничтожен ли он, и работает ли Доксициклин вообще. Вы же не предлагаете давать Рыжему Доксициклин пожизненно? Граница по срокам всё-же должна быть – когда уже станет очевидно, что хламидиоз либо вообще невосприимчив к Доксициклину, либо уже давно уничтожен. 

 

Выше я писал, что сдал повторный смыв на хламидиоз. Если результат окажется отрицательным, это же не будет случайность, или ошибка лаборатории? Или сколько раз следует сдавать смывы, чтобы сомнений не осталось?

Опубликовано (изменено)
В 10.12.2024 в 19:32, Deem сказал:

Пришёл результат посева мазка с "абсцессов" на нёбе. Пока на словах: высеяны "нормальная флора ротовой полости" и кандида 10² КОЕ, причём без подтитровки к антимикотикам. Результат странный, завтра получу в KDL бланк и уточню.

Собственно,  бланк результата:

.thumb.png.a4e477026c9afb169c0d5f139fa04a1e.png

Сказали, что под "нормофлорой" как раз и подразумевается кандида в низком титре...

 

Рыжий всё ещё закашливается после лекарств и манипуляций, а также кашляет и спонтанно, но белая масса и слизь больше не отходят. В трахее не могу её увидеть, но судя по звуку кашля, в трахее что-то так и мешает; на левой (относительно наблюдателя) стенке трахеи как-будто есть опухлость. Припухше выглядит вся гортань. Живот (или что-то другое внутри) продолжает болеть.

IMG_0393.thumb.JPG.805198513afbd4d2033049cd3c3ee9be.JPGIMG_0383.thumb.JPG.9513e14c2f70152d904b7af2ec8a9bfd.JPGIMG_0385.thumb.JPG.495edb6d4b51c9d6c7932246204c66e9.JPGIMG_0388.thumb.JPG.5a1f3ffba3147879fb5c56ea06ac5473.JPG


@Cabrera., что насчёт дозировки на Тербинафин?

IMG_0399.thumb.JPG.7e449ceacbc74376e698b52a96ea67dd.JPG

К слову, почему именно Тербинафин? Существуют ведь и другие альтернативы Итраконазолу, если его давать нельзя.

 

Помёт утром:

IMG_0380.thumb.JPG.cf3145d56a243184fce00024e830f06f.JPGIMG_0379.thumb.JPG.6ea5d31d53604bcc36fdf09c437ade79.JPGIMG_0381.thumb.JPG.edba5a63d7be68a9143945a692ca03d2.JPGIMG_0378.thumb.JPG.1fccc35dbc7a312829db79a97347905f.JPG

 

И вечером (днём было мало, не сфотографировал):

IMG_0410.thumb.JPG.00dea6f60d7f55ecb5aadc7261921014.JPGIMG_0412.thumb.JPG.70b4e88f08ec8950cd682a62af8edc28.JPG

 

7 часов назад, Niketan сказал:

Жёлтый цвет в уратах обычно из-за печени

@Niketan, да, что-то такое я где-то слышал, и однажды наблюдал у покойной голубки Пятачка. Только там ураты желтели равномерно, и не были прям настолько ярко-жёлтыми. А в данном случае встречаются и белые ураты, и ярко-жёлтые комочки. С таким я никогда раньше не сталкивался – ни вживую, ни на Форуме. Боюсь, что это могут быть почки. Но печень, конечно, исключать нельзя.

Изменено пользователем Deem
Опубликовано (изменено)
2 часа назад, Deem сказал:

Помёт утром:

Уже лучше, возможно из-за прекращения давания ципрофлоксацина и из-за подавления эшерихий (о чём можно говорить с учётом нового результата посева). Недопереваренные кусочки могут быть из-за дисбактериоза, есть смысл давать пробиотик, например, Линекс.
Фото 4 — то, что справа вверху, выглядит точно так же, как то, о чём рассказывал в комментарии 522: https://www.mybirds.ru/forums/topic/178440-domashniy-golub-kashel-otdyshka/?do=findComment&comment=2382303 Похоже, в этом случае удалось увидеть не уже сформировавшийся комочек, а отдельно некоторое количество самого выделения.
 

2 часа назад, Deem сказал:

что-то такое я где-то слышал

Больше об этом можно прочитать на английском, в поиск — pigeon yellow urates, также в общем — bird yellow urates. Есть статьи и комментарии голубеводов в обсуждениях на pigeon biz, в том числе отсылки к книге «Problem Droppings Explained» автора F. D. W. Harper, которая в свободном доступе пока не нашлась.
 

2 часа назад, Deem сказал:

в данном случае встречаются и белые ураты, и ярко-жёлтые комочки. С таким я никогда раньше не сталкивался – ни вживую, ни на Форуме. Боюсь, что это могут быть почки.

Продолжая тему про почки, начатую также в комментарии 522 — началось с того, что ураты стали выходить не общей массой, а мелкими частями, что означало какое-то ухудшение, из-за которого появилось затруднение для выведения общей массой.
Соответственно, версия такая — когда появились такие жёлтые выделения (которые обычно из-за печени), они стали смешиваться с частями. Цитата из одной из найденных статей: «color can leach into the urates as well», leach в данном случае в контексте о веществе, это проникнуть, внедриться.

Изменено пользователем Niketan
Опубликовано
11 часов назад, Deem сказал:

Если палочка всё же уничтожена, то дополнительное лекарство, тем более плохо сочетающееся с Доксициклином, не потребуется

Эшерихия не уничтожена, это исключено, забудьте об этом. Птица не принимала препаратов, которые могли бы уничтожить эшерихию. Рыжий в палочках с головы до ног, они из него просто высыпаются, это было видно ещё по результатам микроскопии помета. По тому как выглядит помет очевидно что есть воспаление в кишечнике, проблемы с почками и печенью, помимо проблем с дыхательной системой. Поскольку эшерихия это палочки, то есть все основания предполагать, что у Рыжего системная инфекция, вызванная эшерихией. Доксициклин на неё не подействовал, что в принципе было ожидаемо. Ципрофлоксацин тоже. Мы не увидели никаких улучшений в состоянии птицы за время приема этих препаратов, наоборот, Вы пишите, что голубю становится все хуже. Это означает, что эшерихия продолжает его есть. Вы писалии ранее сообщение, касаемо сроков лечения в 14-16 дней, которое я не успела прокомментировать, так как появились более насущные вопросы. Так вот. За 14 дней можно уничтожить инфекцию если она локализуется в кишечнике. Системную инфекцию за 14 дней (или 16 - принципиальной разницы нет) Вы не вылечите. Отрицательный результат посевов, к сожалению, не означает, что птица избавилась от патогена. Патоген может быть подавлен антибиотиками в ЖКТ и поэтому не дать роста в условиях лаборатории, но в легких/воздухоносных мешках он при этом останется (как пример).

11 часов назад, Deem сказал:

Получается, что для уничтожения хламидиоза и 6 недель (без малого 45 дней) может оказаться недостаточно, и в то же время, что мы не сможем понять уничтожен ли он, и работает ли Доксициклин вообще

Да.

 

11 часов назад, Deem сказал:

Вы же не предлагаете давать Рыжему Доксициклин пожизненно

В вашем случае нам хотя бы до 42 дней дотянуть. Это ничего не гарантирует, но шансы на уничтожение хламидиоза при этом несколько выше, чем после 35 дней приема.

 

11 часов назад, Deem сказал:

когда уже станет очевидно, что хламидиоз либо вообще невосприимчив к Доксициклину, либо уже давно уничтожен. 

Я не понимаю, откуда Вы взяли это «давно»? С чего ему быть давно уничтоженным? Когда давно? После недели лечения?

 

11 часов назад, Deem сказал:

Выше я писал, что сдал повторный смыв на хламидиоз. Если результат окажется отрицательным, это же не будет случайность, или ошибка лаборатории

Может быть ложноотрицательный результат на фоне приема доксициклина. 
 

11 часов назад, Deem сказал:

Если палочка всё же уничтожена, то дополнительное лекарство, тем более плохо сочетающееся с Доксициклином, не потребуется

Антибиотик широкого спектра действия понадобится в любом случае. Без него птице не обойтись. И начинать его нужно как можно скорее. Как я уже писала нет ни малейшего шанса, что Вы каким-то образом справились с эшерихией. Что бы не показал результат посева. Вы получили по бактериям стерильный результат мазка из клюва, но голубь не может быть стерильным. Поэтому либо приём антибиотиков исказил результат (это возможно) либо это ошибка.

 

4 часа назад, Deem сказал:

К слову, почему именно Тербинафин? Существуют ведь и другие альтернативы Итраконазолу, если его давать нельзя

Какое Вы хотите давать лекарство?

 

11 часов назад, Deem сказал:

Одна из лабораторий в любом случае ошибается

К сожалению, микробиология не настолько однозначна. В КДЛ эшерихия, которую обнаружили в лаборатории Митрохиной, могла по каким-то причинам не дать роста. Например, потому что Вы сдавали помет на фоне приема ципрофлоксацина, если к нему была какая-то минимальная чувствительность.

Опубликовано (изменено)

@Cabrera., по Вашей аргументации видно, что Вы неверно или невнимательно читали тему, в т.ч. мои прошлые сообщения. Например, Вы утверждаете что помёт на посев я сдавал на фоне Ципрофлоксацина, что неверно, демонизируете кишечную палочку, гиперболизируя и сгущая краски, зачем-то оспариваете назначения @Zosia трёхлетней давности на Бесиптол. Кишечная палочка – не основное заболевание, а одно из вторичных – за эти годы их было несколько.

 

Я не спорю, что Рыжему срочно нужно лечение. У меня нет времени спорить, т.к. Рыжему вечером стало ещё хуже. И это явно не связанно с кишечной палочкой. Клокочущий кашель усилился, белая масса и слизь больше не отходят, а значит держатся где-то внутри, иногда при дыхании слышны глухие хлопки.

 

За всю историю болезни Рыжего, ухудшения всегда начинались на антибиотиках, а на антимикотиках их или не было, или будто даже было незначительное улучшение. Системных антимикотиков сейчас ему не даётся. У Рыжего уже давно подозрение на аспергиллёз, но слабое здоровье печени/почек и неоднозначность симптомов распологали медлить в пренятии решения о длительном курсе тяжёлых антимикотиков. 3 года бак.посевов и никаких конкретных результатов. Патоген высеяли – вылечили, высеяли другой... Только недавно появилась возможность сдавать ПЦР. И у меня всё больше уверенности, что основное заболевание именно пневмомикоз.

 

@Cabrera., Вы так и не написали дозировки на Тербинафин, и чем обусловлен выбор.

 

Даже не знаю, как теперь Рыжий выдержит антимикотическую терапию, учитывая очень сильно сдавшие печени/почки на Доксициклине. Этого я и боялся.

 

P.S.

В 12.12.2024 в 04:02, Cabrera. сказал:

Может быть ложноотрицательный результат на фоне приема доксициклина. 

Нет, это крайне маловероятно. ПЦР – это высокоточный метод диагностики инфекций, основанный на анализе генетического материала возбудителя – ДНК или РНК. При помощи ПЦР выявляются даже единичные болезнетворные клетки, в т.ч. уже мёртвые. Если в образце присутствует генетический материал возбудителя – получить ложно-отрицательный результат практически невозможно. Зато, по той же причине, запросто можно получить ложно-положительный результат из-за уже мёртвых клеток.

 

Продублирую здесь фото ярко-жёлтых комочков в уратах, отправленные @Zosia:

IMG_0434.thumb.JPG.e7f6a6c39bee27cd90841ae8e48b7f6d.JPGIMG_0435_crop.thumb.png.26138d830a3f908c4b78511efbd6c6a2.pngIMG_0439_crop.thumb.png.9c30a6bce58ffe7187a5dc7868d6011a.pngIMG_0440_crop.thumb.png.c1441491da8ad730b120bfbb940bddfd.png

Изменено пользователем Deem
Опубликовано

Я даже не буду комментировать Ваше последнее сообщение. Вы, очевидно, не очень хорошо понимаете о чем говорите.


Не согласны со мной - действуйте, как считаете нужным.

 

Опубликовано (изменено)
1 час назад, Cabrera. сказал:

Я даже не буду комментировать Ваше последнее сообщение. Вы, очевидно, не очень хорошо понимаете о чем говорите.


Не согласны со мной - действуйте, как считаете нужным.

 

@Cabrera., поймите меня правильно, я просто хочу вылечить Рыжего. Я очень боюсь за него, и вижу что ему хуже на текущем лечении, о чём и говорю. Прошу прощения, если моё сообщение бестактно, но я действительно не вижу причин считать что это системная инфекция вызванная именно кишечной палочки, а Ваша безапелляционность меня просто поразила. Я писал это на эмоциях, на фоне очередного ухудшения, простите. Не уходите, пожалуйста! Некоторые Ваши атгументы из предыдущего сообщения действительно основаны на предположениях и преувеличении, например:

В 12.12.2024 в 04:02, Cabrera. сказал:

Рыжий в палочках с головы до ног, они из него просто высыпаются,

На что я и указал. Они не могут "высыпаться" и одновременно не быть в анализе. Я просто веду обсуждение, чтобы ничего не упустить. Нельзя лечить по одним предположениям, говоря что результаты анализов ничего не покажут. Не хочу чтобы из-за недопонимания пострадала птица. Простите, пожалуйста. И объясните свои подозрения подробнее и конкретнее, прошу Вас! Боюсь, времени у нас осталось не так много! Ошибиться нельзя, и я не прощу себе, если окажется, что ввиду случайности, мои ранние описания симптомов ввели Вас в заблеждение, и заставили думать, что всему причиной кишечная палочка.

 

Ответьте, пожалуйста, про Тербинафин. Послушайте, Вы так и не написали никаких дозировок, хотя и предлагали и Тербинафин и Цефтриаксон.

 

Сейчас только что пришёл результат посева помёта – там ничего нет. Пусто. После двух системных антибиотиков – ничего не осталось. Если кишечная палочка где-то и затаилась, то она не может вызывать эти симптомы. Просто потому, что это бы значило, что она нечувствительна к Ципрофлоксацину, но тогда она выросла бы и in vitro. Объясните мне, пожалуйста: в чём я, по-Вашему, ошибаюсь?

В горле - пусто, в кишечнике - пусто. Лаборатория уже проверенна массой сданных туда анализов. Я не верю в ошибку.

Я боюсь, что мы идём в неверном направлении, что может повлечь непоправимое... я не хочу терять Рыжего. Не могу. Очень люблю его....

Изменено пользователем Deem
Опубликовано (изменено)

@Cabrera., по моим описаниям симптомов, возможно, кажется что всё просто и очевидно, но вживую всё куда сложнее. Рыжий каждый день у меня перед глазами, и я вижу, что ему плохо, вижу как ему плохо. Но трудно описать всё. Например, я не могу сфотографировать так глубоко в горле/трахее, как могу заглянуть сам, но и то, что я вижу там, может быть интерпретировано по-разному. Я стараюсь свести к минимуму любые неточности. Стараюсь поддерживать обсуждение диагноза. Возможно, если бы Рыжий был у Вас, и Вы бы видели его состояние и симптомы напрямую, то пришли бы к тем же выводам, что и я.

 

Вчера написал @Zosia по поводу жёлтых комочков в уратах. Это очень тривожный симптом: если откажут почки – это конец. Сегодня придёт копрограмма, и, я очень надеюсь, будет понятно печень это или почки. Но в любом случае нужно хорошо обсудить лечение, это может быть последний шанс для Рыжего!

 

Очень переживаю и боюсь за него – это первая птица, что я подобрал и вылечил с помощю Форума, за что я безмерно благодарен каждому, кто помогал мне советом или наставлением, и тем кто просто поддерживал в трудную минуту. Это было ровно 4 года назад. За эти годы мы прошли столько вего, Рыжий стал уже как член семьи, как часть меня самого. Потерять его – как потерять часть своего сердца, своей души...

Простите мне мою сентиментальность... немогу думать о том, что Рыжего может не быть...

Изменено пользователем Deem
Опубликовано
3 часа назад, Cabrera. сказал:

Не согласны со мной - действуйте, как считаете нужным.

 

вы очень хороший консультант, но всегда очень категорично рассуждаете-если с вами кто то в чем хоть немного не согласен, или какие то мнение другое есть-вы сразу в штыки!!!  В РАЗГОВОРАХ И СПОРАХ рождается истина-любой может в чем то ошибиться...

ВОТ ПО ПОВОДУ дозировок на доксициклин вы странно уперлись, что доза в день 15 мг на голубя НЕРАБОЧАЯ!!! почему то...для меня загадка-я такой дозой огромное колл голубей отлечила, огромное...видно что лекарство действует уже на третий день, я не говорю что нет месту дозы в 20 мг в день на голубя-мне странно другое-почему вы дозу в 15 мг отрицаете и считаете ее низкой...загадка...

18 минут назад, Deem сказал:

Вчера написал @Zosia по поводу жёлтых комочков в уратах. Это очень тривожный симптом: если откажут почки – это конец.

я так двух пискунов потеряла-ураты желчутие пошли и привет....эх так жалко было жесть...

19 минут назад, Deem сказал:

Это было ровно 4 года назад. За эти годы мы прошли столько вего, Рыжий стал уже как член семьи, как часть меня самого. Потерять его – как потерять часть своего сердца, своей души...

Простите мне мою сентиментальность... немогу думать о том, что Рыжего может не быть...

прекрасно вас понимаю, к птице, которая давно-ты относишься уже как к члену своей семьи...никак иначе...

Опубликовано

Пришёл результат по смывам на хламидии и аспергиллы. Всё отрицательно:

IMG_0444.thumb.JPG.1e1a2303d83e7bbf27c74238d51e7bf9.JPGIMG_0443.thumb.JPG.e32cb364dc398101227a2487319eb462.JPG

Получается, это не аспергиллёз. Тем не менее это похоже на микоз: тогда в трахее были белые массы с чёткими очертаниями, творожистые на вид, кажется, остальное было в белой слизи. Сейчас – я ничего там не вижу, кроме белой точки с расплывчатыми краями (на правой стороне трахеи, рядом с чёрным пятном, о котором уже много писал за эти годы), но хлюпающий кашель есть и всё чаще, немного белой слизи бывает.

 

Пришла копрограмма:

IMG_0442.thumb.JPG.73cb07854e9fbe3f3d589bb566e3dc83.JPG

Похоже, действительно почки.

Отправил @Zosia

Опубликовано
1 час назад, Deem сказал:

Похоже, действительно почки.

Какие признаки вы разглядели?

Опубликовано

@Физкульт-привет!, это моё предположение. По сравнению с прошлой копрограммой, здесь обнаружено больше кристалов мочевой кислоты. Это наводит меня на определённые мысли. В пробе в тот день было не много жёлтых комочков (всё-же думаю это видоизменённые ураты), по этому только ++.

 

Опять же, это мои соображения. Но я в этом более чем уверен, т.к. у Рыжего на протяжении всего курса наблюдается сильнейшая кристаллурия. Zosia подтвердила связь повышения кристалов кальция с почками, хотя и посчитала что явной патологии нет.

Опубликовано

а разве аспергиллез не ставится по рентгену?

Опубликовано (изменено)

@ната1805, ну, Рыжему уже 3 раза делали рентген, я всё тут выкладывал... Zosia смотрела, но ничего конкретного не сказала про лёгкие и воздушные мешки. Правда, чёткость рентгена не очень, но лучше в моей глуши, к сожалению, не сделать – не тот уровень оснащения.

Результат ПЦР выше – это я сдавал ту откашлившуюся белую слизь.

Изменено пользователем Deem
Опубликовано

@Deem знаете что я подумала-напишите маркиной-или позвоните-она консультирует онлайн, просто покажите эти желтые комочки, вкратце и четко опищите симптомы без лишней воды, рентген, она неплохой доктор, единственно она резка в разговорах-это вы просто терпите ....

Опубликовано

@Deem Вы полтора месяца назад сдавали помет на микроскопию. В помете было обнаружено большое количество палочек и не обнаружено кокков. Это означает, что нормальной микрофлоры на тот момент у Рыжего не было вообще. По посевам была обнаружена эшерихия. Логично предположить, что палочки, находящиеся в помете были эшерихией.


Слизь в помете свидетельствует о воспалении в кишечнике. Воспалённый кишечник болит. Вода в помете свидетельствует о воспалении в кишечнике и/или патологии почек. Патологические кристаллы мочи свидетельствуют о патологии почек. Хромота так же один из симптомов проблем с почками. Очень часто патология почек идёт в связке с патологией сердца. Это все результат инфекции. Эшерихия так же очень часто приводит к пневмонии. Это все в совокупности даёт основания предполагать, что у птицы системная инфекция, вызванная эшерихией. Как правило, инфекции начинаются именно в кишечнике и далее переходят на другие органы. Учитывая, что ЖКТ Рыжего по совокупности анализов был полностью забит эшерихией (эшерихия в зобе это никогда не норма), рассчитывать, что ЖКТ это единственное место, где она находилась особо не приходится.

 

Я никогда не утверждала, что это единственная инфекция которая есть у Рыжего и что она причина кашля. Но ее нельзя недооценивать. Я очень хорошо знаю, что эшерихия может сделать с птицей. Не имеет значения, что это вторичная инфекция Вторичные инфекции называются так не потому что они вторичные по значимости. Огромное количество птиц умирает от вторичных инфекций, потому что владельцы/врачи лечат только основное заболевание и недоумевают почему же птичка не выздоравливает и в конечном итоге умирает.

 

Я всем голубям, которых беру на лечение, сдаю посевы. И результаты этих посевов я обсуждала с врачами огромное количество раз. И я могу Вам сказать абсолютно точно, что стерильный посев можно получить в двух случаях:

1. Если на каком-то этапе с момента забора анализов и до момента получения результатов что-то пошло не так.

2. Если анализы сдаются на фоне приема антибиотиков.


Я сдаю посевы на фоне приема антибиотиков, но никогда не говорю об этом в лаборатории иначе у меня их просто не примут, так как считается, что можно получить недостоверный результат. Обычно если антибиотик не действует на патоген, то патоген высеивается. Но и некорректный результат тоже можно получить. 
 

Эшерихия из лаборатории КДЛ не была чувствительна к ципрофлоксацину. К ципрофлоксацину была чувствительна (по анализам) эшерихия из лаборатории Митрохиной (полирезистентная).Я порекомендовала ципрофлоксацин, потому что полирезистентные инфекции считаются более агрессивными и воздействовать, при отсутствии одного антибиотика перекрывающих оба штамма, лучше было на неё. Никаких улучшений ни по помету ни по поведению мы за время приема не увидели, должно было быть хоть что-то, если бы антибиотик работал (чувствительность в пробирке и в живом организме может быть разная). Воздействовать на второй штамм ципрофлоксацин не мог. Даже если бы ципрофлоксацин работал, за 9 дней он бы не справился с инфекцией. Это слишком маленький срок. Стандартный курс лечения начинается от 30 дней. К доксициклину по анализам чувствительности тоже не было. Никаких изменений в состоянии за время приема плюс свежий результат микроскопии помета хуже чем в прошлый раз. Какие основания думать, что Вы что-то вылечили за это время? Стерильный посев? Посев не может быть стерильным. Хоть что-то там должно было высеяться если бы результат был корректный.

 

Нельзя выбрать какое-то одно лекарство. Антибиотик нужен хотя бы для того, чтобы ничего другого на голубя не село пока он в таком состоянии. 

Я тоже считаю, что имеет смысл обратиться за консультацией к специалисту. Я ещё давно советовала Вам это сделать. Сейчас многие консультируют онлайн, у Вас на руках анализы, рентген. Этого достаточно. Можно заказать консультацию у Литовченко, Вигдорова Елена вроде тоже более или менее ничего, Шевченко Екатерина (не помню консультирует она онлайн или нет, но можно уточнить). У Маркиной, в принципе, тоже можно заказать. Выберите кого-нибудь.
 

Если выберете Маркину, ей не надо звонить. Напишите ей смс, что хотите заказать онлайн консультацию без какой-либо информации по здоровью голубя, и она Вам расскажет что и куда ей отправить из исследований. Ей можно написать прямо сейчас. Но советую не рассказывать, что Вы лечили птицу на форуме, иначе ее может разорвать. )) Прием лекарств, конечно, не скрывайте: доксициклин 40 мг/кг 2 раза в день, ципрофлоксацин 20 мг/кг 2 раза в день. Врачи обычно оперируют разовыми дозировками, поэтому пишу так. И ещё имейте ввиду, что Маркина цефтриаксон птице не выпишет в любом случае. Цефтриаксон запрещён к применению в ветеринарии в ближайшее несколько лет. Не потому, что он опасен для животных, а потому что таким образом пытаются снизить его бесконтрольное применение и снизить появление устойчивых к нему бактерий. Т.е. пытаются сохранить этот антибиотик для людей. Но ветеринары как пользовались им так и продолжают. Однако Маркина предпочтёт дать птице погибнуть, чем назначить цефтриаксон.

 

По дозировкам напишу чуть позже сегодня.

Опубликовано

Дозировка тербинафина 15-30 мг/кг каждые 12 часов. Я бы взяла среднюю из этого диапазона т.е. 22,5 мг/кг.

 

Дозировка цефтриаксона 100 мг/кг веса каждые 12 часов. Здесь на форуме указаны другие дозировки (ниже), но у меня есть подозрения, что человек, который составлял эти рекомендации, перепутал разовую и суточную дозировку. По вет. справочнику дозировка 100 мг/кг каждые 12 часов даже чуть ниже минимальной, но ее достаточно.

Опубликовано

автор, кабрера все правильно про маркину сказала-она резка в разговорах-не говорите смотрите что вы с форума, она даже по телефону может начать вас отчитывать, но потом успокоится-просто она импульсивная очень, это даже видно по ее видео на ютубе, но если прижмет-это все можно стерпеть...

Опубликовано

@Deem Не пропадайте, пожалуйста, пишите о состоянии голубя каждый день.

  • 2 недели спустя...
  • 2 недели спустя...
Опубликовано (изменено)

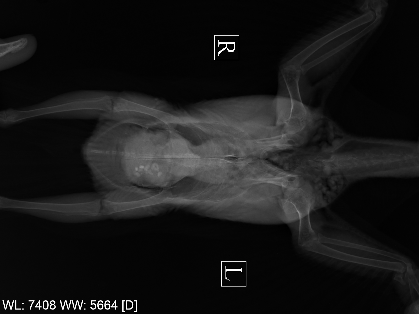
@ната1805 Плохо. Повторный рентген – уже после курса антибиотикотерапии – очень плох:

.thumb.png.b862e04782aadef0209ef50f109bb175.png-.thumb.png.6edb55837bbb4c3f98b19626d986f64f.png

Разительные изменения, по сравнению с октябрьскими снимками: Zosia констатировала злокачественную опухоль правой почки, проблемы с сердцем (в т.ч. расширена левая дуга аорты), множественные гранулёмы в лёгких и новообразование в слизистой зоба. Всего этого не было на октябрьском и более ранних снимках. Может ли патологическое изменение почки на снимке быть не опухолью, а инфекционным воспалением – Zosia отвечать не стала. Видимо, не может.

 

Zosia рекомендовала курсы иммунодепрессивного противовоспалительного препарата Преднизолон, особо подчеркнув крайне широкий спектр опасных побочных эффектов, в сочетании с Деринатом, затем курсы химиотерапии... 

 

Сейчас, по результату бак.посевов помёта и мазка из горла, обнаружена Klebsiella pneumoniae. С текущим состоянием почек и рекомендациями – ситуация выглядит безнадёжно... Любой иммунодепрессант усилит инфекцию, а антибиотик может усугубить состояние почек... собственно, как и Преднизолон... Что теперь делать – не знаю.

 

@ната1805 Очень жалею что не послушал Вас, и не остановился вовремя, хотя видел, что в следствие терапии состояние только усугублялось: усиливались боли и кристаллурия, появлялось множество жёлтыех комов среди уратов, усугублялся кашель...

Изменено пользователем Deem
Опубликовано

@Deem давайте ему дышать чесноком. Раздавить и поставить возле. У меня один голубь полгода сидел не ел не летал. Антибиотики не помогли. Ожил после того как в его комнате убранный чеснок и лук хранила, как заходишь стойкий чесночный запах стоял. Сейчас летает и ест сам, без дополнительных лекарств. Вреда от чеснока в вашем случае вроде не должно быть. 

Опубликовано

:cry:

Опубликовано

да автор...грустная история, что тут скажешь.

Опубликовано

@Deem 

В 07.01.2025 в 11:34, Deem сказал:

Zosia констатировала злокачественную опухоль правой почки, проблемы с сердцем (в т.ч. расширена левая дуга аорты), множественные гранулёмы в лёгких и новообразование в слизистой зоба.

Пожалуйста, не делайте пока никаких окончательных выводов, все может оказаться не совсем так. Зося, при всем уважении, все же не является ветеринарным врачом. Обратитесь за консультацией к специалисту, хотя бы для того, чтобы получить второе мнение прежде чем принимать какие-либо решения. Не пренебрегайте этой возможностью. Это в интересах птицы и это может спасти ей жизнь. У Вас на руках есть вся информация, необходимая для полноценной онлайн консультации. Я писала Вам ранее к кому можно обратиться. Сделать это нужно в срочном порядке, поскольку теряется очень много времени.

 

В 07.01.2025 в 11:34, Deem сказал:

проблемы с сердцем (в т.ч. расширена левая дуга аорты)

У птиц только одна правая дуга.

 

В 07.01.2025 в 11:34, Deem сказал:

Zosia рекомендовала курсы иммунодепрессивного противовоспалительного препарата Преднизолон, особо подчеркнув крайне широкий спектр опасных побочных эффектов, в сочетании с Деринатом, затем курсы химиотерапии... 

Не делайте этого, как минимум пока не получите подтверждение от человека с соответствующей квалификацией.

 

В 07.01.2025 в 11:34, Deem сказал:

Очень жалею что не послушал Вас, и не остановился вовремя, хотя видел, что в следствие терапии состояние только усугублялось

Не надо об этом жалеть, хламидиоз нужно было пролечить в любом случае. Вы провели минимальный курс лечения, рекомендуемый ведущими специалистами. Проблема не в том, что птица принимала доксициклин, проблема в том, что помимо хламидиоза у птицы есть другая инфекция/инфекции, которые пока не взяты под контроль. Я по прежнему считаю, что голубь нуждается в системном антибиотике и системном противогрибковом препарате. Проблемы с почками, сердцем, легкими у молодой птицы вызваны прежде всего инфекцией, которая продолжает развиваться и которая убьёт птицу быстрее, чем онкология, которой возможно нет. Без лечения состояние будет только усугубляться, самостоятельно птица не выздоровеет.

Опубликовано
1 час назад, Cabrera. сказал:

Зося, при всем уважении, все же не является ветеринарным врачом.

А кем тогда является? Бесцеремонный вопрос, конечно, я просто не знаю. Я ей доверяю, многие ждут её, она помогает.

Опубликовано

Я тут недавно была на офруме ветеринаров(не орнитологов), так вот там писали московские, писали про коллег региональных, сказали что 70 проц ветеринаров в регионах ДЕБИЛЫ(простите пишу как есть), половина из них в ветеринарии ничего не понимает ...мол ситуация в москве ПОЛУЧШЕ!!! СЛОВО ПОЛУЧШЕ выделяю....у меня давным давно была серьезная ситуация с собакой-нужна была срочная операция-в итоге из за того-что у меня мозг заточен на верный анализ ситуации-я ее спасла в клинике зоовет, было две операции-все прошло хорошо! НО ДО ЭТОГО СКОЛЬКО Я ТУПЫХ ВЕТЕРИНАРОВ встретила-и после бежала от них сломя голову-так как все таки обладаю и чутьем и какими то знаниями и пониманием ситуации...На канале маркиной САМА МАРКИНА говорит о тех же орнитологов без ВЕТЕРИНАРНОГО ОБРАЗОВАНИЯ В МОСКВЕ!!!!  ситуация почти патова...на всю москву пять врачей...орнитологов...по поводу Зоси, не знаю что и как-ее дозировки РАБОТАЮТ у меня и ми я пользуюсь всегда и ее методы лечения моим птицам помогали-рентген я читать не умею-тут ничего не могу сказать...вроде маркина его читает-смотрите не попадите к ее дружку Куклину..тот ноль...

И еще я тут как то писал что я сто раз все перепроверяю-у меня такая методика-ну не доверяю я сразу никому-это касается и человеческих докторов, я со своим аллергическим альвеолитом только у всех лучших была-чтоб какие то выводы сделать...

ПРИХОЖУ В КЛИНИКУ БЕЛАНТА по советам(хаха), у собаки отдышка дикая и перелом ноги, а мне ветеринар, так-операция на лапе завтра утром... Я спрашиваю-доктор-у собаки отдышка сильная-что то не то!!! А он -ой да откройте окошко посмльнее ДЛЯ СВЕЖЕГО ВОЗДУХА-я отттуда выбежала.... У собаки был пневматорекс легкого-а если бы не ушла-на утро моей собаки не было... все это про принятие верных решений...

потом уже еду в белый клык-там хоть ПОРЯДОЧНЫЙ ветеринар сказал-такую операцию провести не сможем, у собаки отдышка, надо вкрывать брюшину и область легкого-я спросила где самая сильная клиника-сказал честно-зоовет...там и помогли...

Опубликовано

Больно заходить в эту тему уже давно((

 

3 часа назад, Физкульт-привет! сказал:
5 часов назад, Cabrera. сказал:

Зося, при всем уважении, все же не является ветеринарным врачом.

А кем тогда является? Бесцеремонный вопрос, конечно, я просто не знаю. Я ей доверяю, многие ждут её, она помогает.

@Физкульт-привет! что Зося якобы не врач, стало проскальзывать на этом форуме тогда, когда она уехала из РФ после 24 февраля 2022 года. Стало проскальзывать от тех, кто остался. А ранее с Зосиными образованиями всё в порядке было. 

Опубликовано
4 часа назад, Физкульт-привет! сказал:

А кем тогда является?

Я думаю, будет правильно если Вы ей зададите этот вопрос, но квалификации ветеринарный врач у неё нет. 
 

6 минут назад, ГалинаМи сказал:

что Зося якобы не врач, стало проскальзывать на этом форуме тогда, когда она уехала из РФ после 24 февраля 2022 года.

Господи, что за ерунду Вы пишите? При чем здесь это вообще? Ну задайте человеку прямой вопрос какое у неё образование, не думаю, что она будет Вам врать. Вот в данном случае на рентгене «найдена» патология в несуществующей части аорты. Нормально все по Вашему? Автору не надо об этом знать? Нельзя говорить о том, что это заключение и рекомендации не от ветеринарного врача? Не надо советовать их проверить? Пусть даёт птице, которую дожирает инфекция имуносупрессивный препарат а потом подключает химию? Серьезно? 

Опубликовано
7 часов назад, Cabrera. сказал:

У птиц только одна правая дуга.

 

пойду поищу информацию что там за аорты у голубей или на крайний случай голубеобразных...

Опубликовано

37 минут назад, Cabrera. сказал:

Ну задайте человеку прямой вопрос какое у неё образование

@Cabrera. скажите, пожалуйста, каковы Ваши образование и квалификация? 

 

Я вижу, Вы не консультант форума. Проясните, пожалуйста, с каких позиций Вы консультируете? С каких позиций в этой и других темах рекомендуете чуть ли не каждому голубю серьёзные антибиотики инъекционно. 

 

У меня в Беларуси на большинство антибиотиков и на все инъекционные лекарства необходим рецепт, когда-то я считала это несколько неудобным. Но, начитавшись Вас на форуме, теперь считаю однозначно, что рецепты - благо, это хоть какая-то защита хоть  кого-то от советчиков. Углубляться в пререкания с Вами не буду. Про Ваши образование и квалификацию, пожалуйста, ответьте. 

Для публикации сообщений создайте учётную запись или авторизуйтесь

Вы должны быть пользователем, чтобы оставить комментарий

Создать аккаунт

Зарегистрируйте новый аккаунт в нашем сообществе. Это очень просто!

Регистрация нового пользователя

Войти

Уже есть аккаунт? Войти в систему.

Войти
  • Последние посетители   0 пользователей онлайн

    • Ни одного зарегистрированного пользователя не просматривает данную страницу



×
×
  • Создать...
© MyBirds.ru, 2003 - 2025

Все материалы данного сайта, в том числе структура расположения информации и графическое оформление (дизайн), являются объектами авторского права. Копирование информации на сторонние ресурсы и сайты сети Интернет, а также любое иное использование материалов сайта без предварительного согласия правообладателя НЕ ДОПУСКАЕТСЯ.

При копировании материалов сайта (в случае получения согласия правообладателя), размещение активной индексируемой гиперссылки на сайт обязательно.