Перейти к содержанию
Место для вашей рекламы

 

Рекомендуемые сообщения

Опубликовано

Шишка сегодня

20210728_164207.jpg

Напоминаю. Когда птица была подобрана - был только осколок без некроза, шишки то же не было. Прием к травматологу затянулся на 5 дней(раньше не принимали), за это время появился некроз, при этом ничего не сделали, кроме того, что хотели ампутировать. Далее, у птицы появилась шишка, и я сама удалила торчащий осколок(он легко рассыпался и висел на мясе). Дальше начала колоть по рекомендациям с форума, и место открытого перелома, где торчал осколок заросло. Однако,  шишка осталась, и сейчас с ней начинается что-то неладное.

Я так думаю, пока тянули - началось какое-нибудь внутреннее восполение и пошло в шишку. До цефтриаксона колола неэффективный препарат(сначала давала внутрь его же в капсулах).

ТАКЖЕ. При приеме травматолога, он силтно нажал птице на крыло при ощупывании, после чего она стала его спускать. ДО ЭТОГО так не спускала. Возможно, он ей что-то сместил. Он ощупывал, типо, давил туда палтцами, держа ее в руках и не глядя, а чисто "переминая косточки".

Когда он сильно нажал - птица дернулась.

Сам травматолог и орнитолог изначально были настроены негативно, только на ампутацию. Один раз, мне удалось уговорить их на то, чтобы поставить спицу. Но дальше снова - негативный настрой и "обращайтесь к тем, кто дает вам другие рекомендации". Вот такие ох ененные врачи пошли.

  • Ответов 169
  • Создана
  • Последний ответ

Топ авторов темы

  • алиса573

    92

  • маленький принц

    70

  • Zosia

    5

  • OFA

    2

Опубликовано

Вам надо сделать рентген. В другой клинике. Хотьв  стоматологии- это вопрос денежных купюр...

Опубликовано

фото?

можете осторожно сфотографировать и сустав в макросъёмке и кусок гноя на белой бумаге?

рану обработать хлоргекседином или мирамистином!

если идёт кровь то перекисью водорода

гной который получится осторожно снять снимите

Опубликовано

ВЫЛЕЗЛА ПРЯМ КАПЛЯ. МОЖЕТ ЭТО СУКРОВИЦА - НЕ ПОНЯТНО, НО ПРЯМ КАПЛЯ БЫЛА. НА РЕНТГЕН ПОНЕСУ НА ДНЯХ.

2 минуты назад, маленький принц сказал:

фото?

можете осторожно сфотографировать и сустав в макросъёмке и кусок гноя на белой бумаге?

рану обработать хлоргекседином или мирамистином!

если идёт кровь то перекисью водорода

гной который получится осторожно снять снимите

Гной сфотать невозможно. Птица его размазала. Вытиоая ваткой с хлоргексилином после этого - никакого цвета на ватке нет. Сустав -  уже довольно сильно как бы потемнело это место. Птица ведет себя активно(тфу-тфу-тфу).

Чуть-чуть надавив вылез гной

20210801_224549.jpg

20210801_224439.jpg

По-моему, надо ставить уколы? Можно их начинать ставить?? Прошло достаточно времени?

Опубликовано
2 часа назад, маленький принц сказал:

фото?

можете осторожно сфотографировать и сустав в макросъёмке и кусок гноя на белой бумаге?

рану обработать хлоргекседином или мирамистином!

если идёт кровь то перекисью водорода

гной который получится осторожно снять снимите

Лучше сфотать не выходит.

Screenshot_20210802-005017_Firefox.jpg

Screenshot_20210802-005014_Firefox.jpg

Можно ли начинать ставить уколы????

Опубликовано

написал @Zosia если до обеда не успеет ответить то придётся возобновить уколы

но возможно она назначит другой антибиотик

Опубликовано

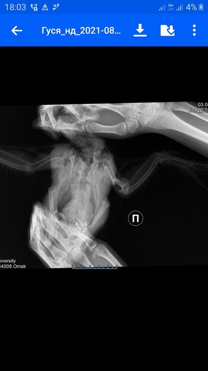
Скажите, какой должен быть рентген? В двух проекциях или какой???

Опубликовано

Рнтген - для начала прямая ВД проекция. Как птицу раскладывать- есть на форуме. В позе Христа. Так быдет возможно визуализировать сустав.

Опубликовано

Как у меня на прямой проекции в начале темы, как я поняла.

Опубликовано

Произошла ужасная ситуация. Короче, в одной клинике отказали под непонятным предлогом. В другой сделали так .... что просто кость вылезла... и вся эта шишка, просто кусок кости отпал... я короче просто в шоке, там теперь просто открытая кость или я даде не знаю как сказать. Надо ставить уколы, чтобы там не пошла чернота. Я короче вообще просто в ауте.

Я не знаю, при снимке уже сместилась шишка или нет. Когда птицу перевернули, кость вылезла, чуть позже просто отпала...

Screenshot_20210803-180353_Mail.jpg

Screenshot_20210803-180350_Mail.jpg

Эта вся шишка отвалилась

20210803_183946.jpg

20210803_184001.jpg

20210803_183956.jpg

Это ВОТ ЭТА ШИШКА ОТПАЛА. Ниже прикреплю свежий снимок этого места.

20210801_224549.jpg

Опубликовано

20210803_190919.jpg

20210803_190900.jpg

20210803_190857.jpg

Там у него инфекция внутри кости?? По обломку это можно понять?

Опубликовано

позвал в тему @Zosia

рану до ответа промывать хлоргекседином

Опубликовано
02.08.2021 в 16:17, Zosia сказал:

Рнтген - для начала прямая ВД проекция. Как птицу раскладывать- есть на форуме. В позе Христа. Так быдет возможно визуализировать сустав.

Сустав отломился, рентген сделан незадолго до отлома

Нужно ли отрезать перо? Там такое место, что может что-нибудь попасть..

Опубликовано

покровные перья вокруг раны очень осторожно остричь щипчиками

b720-001-kusachki-dlya-nogtej-irisk-premium-ko-01-odinarnaya-pruzhina-dlina-lezviya-17-mm-new[1].jpg

маховые перья не трогать

Опубликовано

Рана уже почти затянулась. По осколку кости, можно сказать - что с костью? Кость гниет изнутри?

Помогут ли в таком случае антибиотики?

Опубликовано (изменено)
9 часов назад, алиса573 сказал:

Рана уже почти затянулась.

фото?

9 часов назад, алиса573 сказал:

По осколку кости, можно сказать - что с костью? Кость гниет изнутри?

кусок кости после перелома почему-то отмер и гнил

9 часов назад, алиса573 сказал:

Помогут ли в таком случае антибиотики?

да, должны, но не любые а которые хорошо воздействуют на кость

Изменено пользователем маленький принц
Опубликовано

Цефтриаксон на кость действует. Если он отмер и сгнил, значит там какая-то инфекция или что внутри.

Опубликовано

метронидазол ведь тоже давали?

Опубликовано

Метронидазол нет. Вот фото раны. Она почти затянулась по сравнению с тем, как было.

20210806_153532.jpg

Вот, как было

20210803_190919.jpg

Опубликовано

Блин, надо колоть уколы! Отторгается кость!

20210807_230733.jpg

20210807_230723.jpg

Опубликовано

начинайте СРОЧНО цефтриаксон + метронидазол + флукуназол и для печени

06.08.2021 в 15:37, алиса573 сказал:

Метронидазол нет

метронидазол ОБЯЗАТЕЛЬНО

Цитата

Метронидазол (Metronidazole)

 

Торговые названия: Дефламон, Клион, Метрогил®, Трихопол®, Флагил®.

 

Группа: Нитроимидазолы
Применение: Лечение инвазий некторых простейших (трихомоноз, лямблиоз, амебиаз), инфекций, вызванных анаэробной микрофлорой (Bacteroides spp., Clostridium spp.).
Базовая дозировка и кратность:10-50 мг/кг/сутки, разбить на 1-2 приема в день.

 

Таблетки 200 мг. 1/4 часть таблетки развести в 4 мл воды, давать в клюв по 0,5 мл два раза в день. После растворения допустим осадок балластных веществ. Раствор хранится в холодильнике 3 дня.

 

Таблетки 250 мг. 1/4 часть таблетки развести в 5 мл воды, давать в клюв по 0,5 мл два раза в день. После растворения допустим осадок балластных веществ. Раствор хранится в холодильнике 3 дня.

 

Таблетки 400 мг. 1/4 часть таблетки развести в 8 мл воды, давать в клюв по 0,5 мл два раза в день. После растворения допустим осадок балластных веществ. Раствор хранится в холодильнике 3 дня.

 

Раствор для внутривенного введения (инфузий), 5 мг/1 мл. В клюв без разведения по 1-1,5 мл два раза в день. Подкожно по 1 мл два раза в день или 1,5 мл раз в день (предпочтительно при лямблиозе, анаэробных инфекциях)

 

Суспензия для приема внутрь, 200 мг/5 мл. Без разведения в клюв по 0,12-0,15 мл два раза в день.

 


Примечание. Применение в комбинации с ципрофлоксацином взаимно усиливает противомикробную активность, что можно использовать при лечении сложных комбинированных инфекций.

 

Опубликовано

Можно итразол вместо флуконазола?

Опубликовано
15 минут назад, алиса573 сказал:

Можно итразол вместо флуконазола?

интразол сложнее дозируется

Цитата

Итраконазол (Itraconazole)

 

Торговые названия: Ирунин®, Итразол, Кандитрал, Миконихол, Орунгал®, Орунгамин, Орунит, Румикоз®.

 

Группа: Противогрибковые средства, триазолы.
Применение: Системные микозы, в том числе, аспергиллез.

 

Базовая дозировка и кратность: 5-10 мг/кг/сутки, разбить на два приема.

 

Капсулы 100 мг. Особенность данного препарата в том, что в капсулах содержатся гранулы-пеллеты. В воде они разводятся крайне долго и неравномерно. Вполне подходящим будет подсчитать пеллеты и разделить дозировку капсулы на число этих пеллет. Голубю на один двухкратный прием необходимо 0,75-1,5мг препарата. Получив дозировку одной пеллеты, надо просто поделить на нее необходимую птице дозу препарата, и отсчитать нужное количество пеллет. Давать их можно как прямо в клюв, так и закатав в небольшой кусочек хлебного мякиша или пресного (вода+мука) теста. Эту форму итраконазола необходимо давать либо во время кормления, либо непосредственно перед или после него.

 

Раствор для перорального приема, 10 мг/1мл. Давать в клюв по 2-3 капли раствора два раза в день или 0,15-0,3 мл один раз в день. Спаивать натощак.

нужно считать пеллеты а затем звать в тему @OFA проверить дозировки

 

флукунахол особенно жидкий дозируется легче

Опубликовано (изменено)

В одной капсуле итраконазола 1010 (+-10) шариков,

1010 - 100%

х - 1.5% или 0.75%

х= 10~16 шариков в один прием, ксли я все правильно сделала.

Изменено пользователем алиса573
Опубликовано

а птица сейчас сколько весит?

Опубликовано

Не понятно из-за чего такой шухер... ну отторгся некротизирвоанный участок косточки, при этом сама кость имеется. 

Колется Цеф или Марбофлоксацин. Дефект омывается анисептиками, при глубоком- закладывается губка со смесью №1, затем дефект можно ушить парой узелков... или он сам закроется (как чаще всего происходит)...

Опубликовано
3 минуты назад, Zosia сказал:

закладывается губка со смесью №1,

@алиса573 речь про коллагеновую губку

коллагеновая губка оставшись внутри тела рассосётся и станет основой для роста кости

смесь №1

Цитата

24.07.2019 в 13:35, OFA сказал:

СМЕСИ для различных повреждений от нашего форумского доктора @Zosia:

Смесь №1 

Диоксидин 0.5 % 3 части + новокаин 2% 1 часть- все соединить, в большой объем,хранить в темноте при КОМНАТНОЙ температуре(в хол-ке нельзя). И этой смесью после того как омыли хлоргексидином- омываете, прямо проливаете всю рану,максимально глубоко. Удобно для этого использовать прыскалку (из-под какого-нибудь косметического средства). Обрататывать смесью максимально часто- от 2 раз и хоть до 20. Первый раз когда будете использовать- подождать после обработки минут 20- нет ли аллергии.

Цитата

  26.06.2020 в 17:15, Zosia сказал:

Смесь №1- допустима по живым ранам (а культя свежая- это живая рана). Так же вводится по дренажам в оперативную зону после вскрытий,ампутаций, чисток гнойных, инфицированных, гангренозных участков. Дренаж выполняется из кусочка резиновой перчатки. Смесь можно наносить кистью, капать в окно раны с иглы или из пипетки.

Смесь №1 и №2- хранятся в темноте в непрозрачной таре, при комнатной температуре, в таком виде остаются рабочими год и долее.Удобно иметь часть смесей в баллоне с распылителем.

в.

 

ОБЩЕЕ ПРАВИЛО- при первом применении смесей- наносить немного и ожидать 20 минут- не будет ли развития аллергической реакции. Эти смеси  способны проникать глубоко даже через дерму, и поэтому несколько раз отмечалась аллергическая реакция.

 

Опубликовано

Ого... никогда такое не слышала. Спасибо вам всем большое.

  • 2 недели спустя...
Опубликовано

Здравствуйте. 2 дня так получилось, что было некому ставить уголы. Скажите, можно ли продолжать?

Опубликовано

как сейчас всё выглядит?

коллагеновую губку в рану вложили?

Опубликовано

Нет. Рана закрылась и все. Там в принципе когда писали о губке уже раны не было, чуть-чуть была типо светлая кость видна. Щас все затянулось. Выглядит, как углубление.

Опубликовано

если всё закрыто то имхо если сегодня завтра консультанты не ответят то антибиотик уже можно заканчивать

противогрибковое после окончания антибиотика нужно пропить ещё неделю

 

как самочувствие птицы?

6 минут назад, алиса573 сказал:

Щас все затянулось. Выглядит, как углубление.

фото?

 

регулярно наблюдайте хотя бы раз в три дня проводя осмотр

Опубликовано

Птица летает. Но не надо ли сдавать какие-то анализы периодически, чтобы знать, нетли инфекции в кости? И еще, в чем причина возникновения этой шишки и того, что она отвалилась

Опубликовано
42 минуты назад, алиса573 сказал:

Птица летает

УРАААААААААААА!!!!!!!!!!!!!!!!!!!!!!!!!!! :yahoo:

 

учитывая что с костью непонятно что то ПМЖ или перезимовать до апреля или мая?

Опубликовано
13 часов назад, маленький принц сказал:

УРАААААААААААА!!!!!!!!!!!!!!!!!!!!!!!!!!! :yahoo:

 

учитывая что с костью непонятно что то ПМЖ или перезимовать до апреля или мая?

Честно - отпускать не планировала.

Если только так, чтобы всегда ее видеть. А это нереально, наверное. Еще, она часто бьется этим боком и этим крылом. Оступается и т.д.

  • 2 недели спустя...
Опубликовано

Здравствуйте. Кошка царапнула гулю. Скажите, цефтриаксон можно ставить или он не убивает пастереллу?

Опубликовано

в списке бактерий на которые он действует пастареллы нет

читайте СРОЧНО https://www.mybirds.ru/forums/topic/64870-pasterellyoz-ptits-pasteurella-okazanie-pervoy-pomoschi-posle-raneniya-koshkoy/

 

дозировки Чеширского брать не просто верхние а возьмите на 10% выше

Цитата

Везде подразумевается Ципрофлоксацин таблетки 250 мг, торговых названий масса (см. в ссылке).
Мелкие певчие (синица, воробей, канарейка и т.п., весом около 20 гр): 1/4 таблетки развести в 5 мл воды, давать в клюв по 1 капле.
Волнистые, неразлучки, мелкие дрозды и т.п. весом 40-60 гр.: 1/4 таблетки развести в 5 мл воды и давать в клюв по 2-3 капли.
Дрозды, скворцы, кореллы, другие массой 80-150 гр: 1/4 таблетки развести в 4 мл воды, давать по 2-3 капли.
Галки, мелкие воронята, голубята, попугаи массой 180-250 гр: 1/4 таблетки развести в 2 мл воды, давать в клюв по 0,1-0,15 мл.
Голуби, слетки ворон, сорок, другие птицы массой 280-400 гр: 1/4 таблетки развести в 2 мл воды, давать по 0,15-0,25 мл.
Крупные вороны, грачи, крупные попугаи, весом 450-600 гр: 1/4 таблетки развести в 1 мл воды, давать в клюв по 0,15-0,2 мл.
Для более крупных не пишу, вряд ли кошка будет охотиться на курицу или индюка...
Уже маловероятно, что даже на ворону, грача, жако...

так как были случаи когда стандартная дозировка с пастареллой не справилась :cray:

 

если не найдёте ципрофлоксацина

Цитата

обычно используются фторхинолоны (энрофлоксацин (байтрил, энрофлон), ципрофлоксацин, офлоксацин, норфлоксацин и т.п.), в дозировке 20-40 мг/кг/сутки, для крупных птиц - по низу дозировки, для мелких - по верху (не спутайте, у мелких метаболизм быстрее, и доза нужна выше!) или пенициллины - ампициллин, амосициллин, ампиокс, амоксиклав в дозировке 125-175 мг/кг/сут, принцип для мелких/крупных тот же.
Комбинированные считаются по пенициллину.
Эти антибиотики тем удобны, что у них широкий спектр активности, и они заодно подавляют и прочих возбудителей раневых инфекций - стафилококки, стрептококки и т.п.
Курс, при отсутствии воспаления на месте ранения - 7 дней, при наличии воспаления - на форум.

дозировки Чекширского на прочие антибиотики есть в теме https://www.mybirds.ru/forums/topic/111964-sizarikinarodru/

и лучше взять на 10% выше его верхней дозировки так как были случаи когда стандартная дозировка с пастареллой не справилась :cray:

 

прикрывать как обычно флукуназолом

 

ВЫЖИТЬ и Здоровья Вашему голубю! :fly:

Опубликовано
05.09.2021 в 02:07, маленький принц сказал:

в списке бактерий на которые он действует пастареллы нет

читайте СРОЧНО https://www.mybirds.ru/forums/topic/64870-pasterellyoz-ptits-pasteurella-okazanie-pervoy-pomoschi-posle-raneniya-koshkoy/

 

дозировки Чеширского брать не просто верхние а возьмите на 10% выше

так как были случаи когда стандартная дозировка с пастареллой не справилась :cray:

 

если не найдёте ципрофлоксацина

дозировки Чекширского на прочие антибиотики есть в теме https://www.mybirds.ru/forums/topic/111964-sizarikinarodru/

и лучше взять на 10% выше его верхней дозировки так как были случаи когда стандартная дозировка с пастареллой не справилась :cray:

 

прикрывать как обычно флукуназолом

 

ВЫЖИТЬ и Здоровья Вашему голубю! :fly:

Блин... а я прочитала в инструкции, что действует на пастареллу и колю его... вот блин.... если начну лечение завтра - результат будет? о_о вообще, это смертельно опасная инфекция?

Там одна дырочка от когтя... когда царапнули - даже не знаем... у нас просто коты, но они боятся его, один кот общается с ним, как со своим после тгого, как птиц на него запрыгнул. Может он и царапнул. 

Опубликовано

странно... в той инструкции что я нагуглил Пастареллы нет

15 минут назад, алиса573 сказал:

о_о вообще, это смертельно опасная инфекция?

инфекция смертельно опасная и птица обычно погибает

но смерть не 100% некоторые птицы выживают даже без лечения

Опубликовано

0.25 ципрофлоксацина в сутки норм? Или еще? Флуконазол 2р в день?

Опубликовано

чуть увеличьте до 0.26  мл

флукуназол ОБЯЗАТЕЛЬНО

 

как рана?

Опубликовано

Там нет раны, там точка от когтя одна, маленькая ранка

Для публикации сообщений создайте учётную запись или авторизуйтесь

Вы должны быть пользователем, чтобы оставить комментарий

Создать аккаунт

Зарегистрируйте новый аккаунт в нашем сообществе. Это очень просто!

Регистрация нового пользователя

Войти

Уже есть аккаунт? Войти в систему.

Войти
  • Последние посетители   0 пользователей онлайн

    • Ни одного зарегистрированного пользователя не просматривает данную страницу



×
×
  • Создать...
© MyBirds.ru, 2003 - 2025

Все материалы данного сайта, в том числе структура расположения информации и графическое оформление (дизайн), являются объектами авторского права. Копирование информации на сторонние ресурсы и сайты сети Интернет, а также любое иное использование материалов сайта без предварительного согласия правообладателя НЕ ДОПУСКАЕТСЯ.

При копировании материалов сайта (в случае получения согласия правообладателя), размещение активной индексируемой гиперссылки на сайт обязательно.