Перейти к содержанию
Место для вашей рекламы

 

Опухоль семенников у волнистого попугая


Рекомендуемые сообщения

Опубликовано

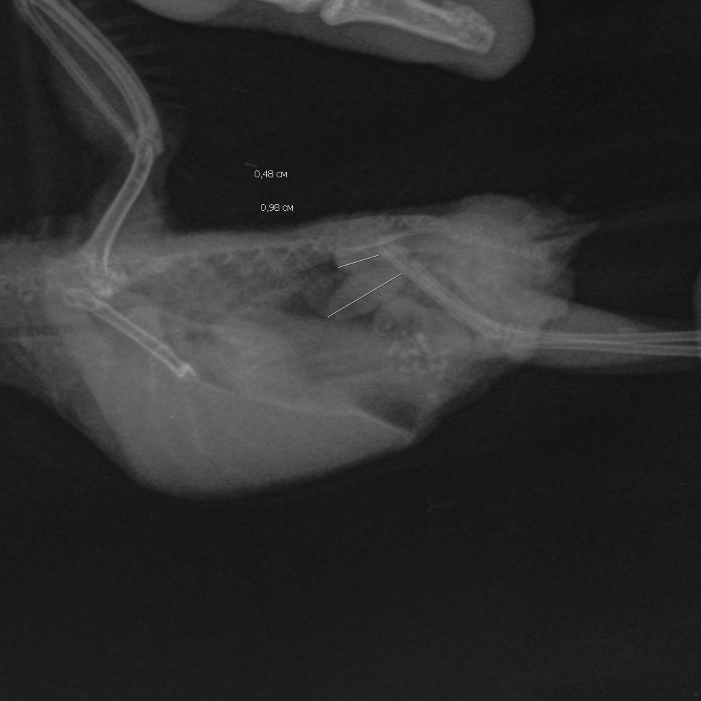
IMG_20200815_132911.thumb.jpg.54ebb03a57fd2eec041e5caa8f9eb4f7.jpg

Добрый день! Подскажите, пжт, лечится ли это заболевание? 

Диагноз вроде как подтвержденный-

вчера были на приеме у орнитолога-

остались противоречивые чувства((( 

был сделан рентген и клинич. анализ помета

Самец , 4года

Корм вака люкс, иногда досыпаю кунжут, чередую с абисс нугом, дополн. салат, фрукты, варен яйцо (уже знаю, что этого была тотальная ошибка?) из запрещенки- редко макароны. 

Содержится в кухне, летает каждый день, активный, аппетит как обычно, 9 мес живет с молодой самочкой. 

Неделю назад восковица поменяла цвет, с синего на коричневый, стал больше пить, мне показалось. 

Знаю из правил форума-не обсуждаются назначения врачей, но все же пробую обратится здесь, пжт,помогите советом?просто из выписанных препаратов при изучение дома не вычитала ничего, относящегося к лечению данной проблемы,все больше поддерживающее микрофлоры кишечника- на 3недели цефалексин, нистатин,3месяца -мелоксидил. 

Получается, это не лечится? 

15974870568708932973678521616638.thumb.jpg.9209403987994d515592bac03c5c37b3.jpg1020074747__-.-15_08.2020-9_48_06-704.thumb.JPEG.57b7af1b597a65a1158fc6ae91579ba0.JPEG

 

 P. S. Рентген без даты и времени почему то, так что не уверена на 100% что наш((... 

В интернете ничего толком не нашла, больше общая информация, пжт, не кидайте тапком, если что не так;) 

Заранее очень благодарна за ответы! 

Опубликовано

Рентген у вас более чем адекватный,даже с выставленными линейными размерами семенников.

Анализ есть, по которому есть воспалительный процесс (что мб. связано с семенниками).

Если увеличение семенников связано в гормональным взрывом- терапия имеется, и наверняка вам ее назначили.

Если  с н/о- так же есть, с различными вариантами исхода, и ваш доктор наверняка это тоже знает.

По вашим назначениям- доктор предполагает восалительный процесс семенников , и как следствие- возможные проблемы с ЖКТ. Назначения даны исходя из этого.

 

Опубликовано

Zosia, спасибо за ваш ответ. 

В том то и дело, что кроме цефалексина, нистатина, мелоксидила,  ничего не назначено...Вот и переживаю(((... 

  • 2 недели спустя...
Опубликовано

@Zosia, подскажите по поводу назначений, пожалуйста.

Для публикации сообщений создайте учётную запись или авторизуйтесь

Вы должны быть пользователем, чтобы оставить комментарий

Создать аккаунт

Зарегистрируйте новый аккаунт в нашем сообществе. Это очень просто!

Регистрация нового пользователя

Войти

Уже есть аккаунт? Войти в систему.

Войти
  • Последние посетители   0 пользователей онлайн

    • Ни одного зарегистрированного пользователя не просматривает данную страницу

×
×
  • Создать...
© MyBirds.ru, 2003 - 2026

Все материалы данного сайта, в том числе структура расположения информации и графическое оформление (дизайн), являются объектами авторского права. Копирование информации на сторонние ресурсы и сайты сети Интернет, а также любое иное использование материалов сайта без предварительного согласия правообладателя НЕ ДОПУСКАЕТСЯ.

При копировании материалов сайта (в случае получения согласия правообладателя), размещение активной индексируемой гиперссылки на сайт обязательно.