Duch Опубликовано 30 марта, 2020 #1 Опубликовано 30 марта, 2020 Здравствуйте! Приютился у нашего офиса, примерно 2 месяца назад, голубь и никак не улетал. Сделали вывод, что проблемы с крылом, т.к. левое он странно прижимал к себе. Положили в коробку, налили воды, насыпали гречи. Отогрелся спустя неделю, но крыло так и прижимал к себе. Предположили перелом крыла. Отвезли к орнитологу, сделали снимок (прикрепили к топику). Общий осмотр весьма позитивен, на снимке перелома нет. Выписали уколы витаминов и обезболивающих. Прокололи курс недели 2 назад - без изменений. На данный момент крыло так и прижимает к себе, огрызается, когда ему сыпят корм или доливают воды. Иногда клюёт и бьёт крылом, но только правым. Пока ждём выхода орнитолога из очередного отпуска, стараемся за ним ухаживать. В прошлую пятницу насыпали ему корм и подлили воды в плошку. Приехал в субботу вечером, дабы проведать. В итоге, он за целый день ничего не съел и не пил. На мои касания никак не реагировал: вжался в себя и стоял напуганный. Взял на руки, дабы осмотреть, как из под него показалась муха/слепень и тут же скрылась. Погуглил - оказывается, это - кровососки. Купил в ветеринарном отделе ампулу с препаратом, которую следовало разбавить 1,6л воды. Опрыскал её под крыльями, напоил водой из шприца и оставил так на день. Судя по корму, начал немного есть и пить. Кормплю гречкой, рисом и разваренным пшеном из шприца. Но сегодня обратил внимание, что он, когда клюёт сухой корм, как бы, промахивается и не может заглотить крупинку - гречка отскакивает в сторону и пытается еще раз захватить другую, но результат тот же. При всем при это, он четко видит мою руку и реагирует на неё соответствующим образом, т.е. слепоты нет Очень рассчитываю на вашу помощь! Ранее не имел опыта ухода за птицами
Виктория М. Опубликовано 30 марта, 2020 #2 Опубликовано 30 марта, 2020 (изменено) Здравствуйте. Нужен точный вес голубя. Помет желательно на листе белой бумаги. Проверьте нет ли наростов во рту , а также неприятныого запаха (кислого, тухлого). Кормить; 1 столовая ложка с горочкой 2 раза в день. Помимо гречи добавьте перловую крупу ,чечевицу или колотый горошек, пшеницу, овес без шелухи. Рис лучше уберите его можно но совсем немного. С каким препаратом ампула была? Все что обнаружил врач и все его назначения нужно выложить сюда на сайт, чтобы понимать чем вы лечили птицу. Какие витамины кололи какой курс и тд. Чтобы голубь начал нормально клевать зерно, в человеческой аптеке купите ноотропил таб или пирацетам . В вет аптеке нужно приобрести Фоспренил. Мух кровососок если вдруг еще обнаружите хорошо в тазике с водой вылавливать. Сажаете птицу в тазик с теплой водой, чтобы только голова на поверхности была, придерживаете аккуратно и так мин 10 -15 сидите с ним они начнут всплывать. Ваша задача не дать им вылететь из воды - передавить. Какое крыло он прижимает если смотреть на ренген? Изменено 30 марта, 2020 пользователем Виктория М.
Welli Опубликовано 31 марта, 2020 #3 Опубликовано 31 марта, 2020 @OFA @Raina перенесите тему в лечение пожалуйста!
KamaRo Опубликовано 31 марта, 2020 #4 Опубликовано 31 марта, 2020 (изменено) @Duch каким препаратом обрабатывали птицу от кровососок? Неостомазан и его аналоги? Только их нужно так разводить? От таких препаратов птицы травятся. От перьевых паразитов можно применять только фронтлайн в спрее (или аналог по форме выпуска и содержанию действующего вещества). Ни одна птица от пероедом и кровососок не умирала, тем более что их вывести можно выбирая вручную. Я сколько голубей подбирала, ни одного не обрабатывала - сами исчезали. Зачем нестись за сомнительными препаратами и обрабатывать птицу? Все паразиты птичьи для человека и других животных не опасны. Напишите все препараты и дозировки, которые были назначены птице и что вы давали. Как зовут орнитолога (если по его рекомендации купили неподходящий для птицы препарат от паразитов, то вызывают сомнения в компетенции ветеринара)? На форуме нашла информацию по вет.орнитологу в г.Владимир (проходила стажировку у Волгиной и Лешковой): г. ВЛАДИМИР Баранова Татьяна Ивановна. Специализация: терапия, лечение экзотических животных и птиц. Принимает в клинике "Артемида", тел. 8(4922)38-65-18 https://artemida33.ru/vrachi/baranova-tatyana-ivanovna/ Изменено 31 марта, 2020 пользователем KamaRo
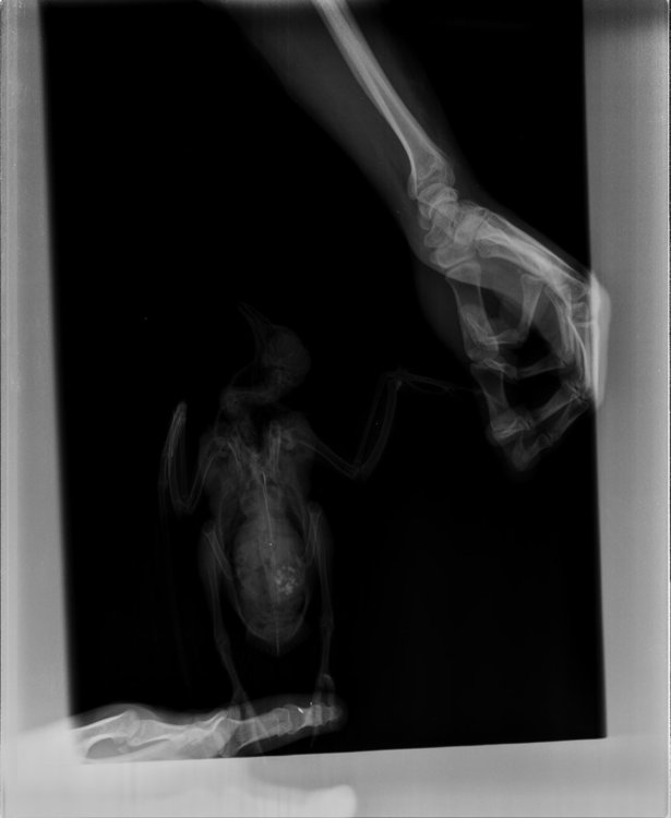
маленький принц Опубликовано 1 апреля, 2020 #5 Опубликовано 1 апреля, 2020 (изменено) а можно рентген более крупный а не мелкий? у Вас на этой мелкой картинке трудно разглядеть подробности ВНОВЬ ЛЕТАТЬ и Здоровья Вашему голубю! чтобы узнавать новые ответы в Вашей теме нажмите пожалуйста наверху Вашей темы "подписаться" Изменено 1 апреля, 2020 пользователем маленький принц
Duch Опубликовано 1 апреля, 2020 Автор #6 Опубликовано 1 апреля, 2020 31.03.2020 в 01:36, Виктория М. сказал: Здравствуйте. Нужен точный вес голубя. Помет желательно на листе белой бумаги. Проверьте нет ли наростов во рту , а также неприятныого запаха (кислого, тухлого). Кормить; 1 столовая ложка с горочкой 2 раза в день. Помимо гречи добавьте перловую крупу ,чечевицу или колотый горошек, пшеницу, овес без шелухи. Рис лучше уберите его можно но совсем немного. С каким препаратом ампула была? Все что обнаружил врач и все его назначения нужно выложить сюда на сайт, чтобы понимать чем вы лечили птицу. Какие витамины кололи какой курс и тд. Чтобы голубь начал нормально клевать зерно, в человеческой аптеке купите ноотропил таб или пирацетам . В вет аптеке нужно приобрести Фоспренил. Мух кровососок если вдруг еще обнаружите хорошо в тазике с водой вылавливать. Сажаете птицу в тазик с теплой водой, чтобы только голова на поверхности была, придерживаете аккуратно и так мин 10 -15 сидите с ним они начнут всплывать. Ваша задача не дать им вылететь из воды - передавить. Какое крыло он прижимает если смотреть на ренген? Прикрепил назначение врача Во рту ничего подозрительного, как и в запахе. Может прозвучать неоднозначно, но он в вцелом, приятно пахнет) Ампула, которую разбавил в воде и опрыскивал 2 дня голубя под перья ( на тело) - "Дельцид" В воду окунали, правда держали минут 5. Ничего не всплыло и мы аккуратно его сушили феном, т.к. он сильно замёрз. Потом на форуме прочел, что насильное купание голубей недопустимо Глядя на рентген то, что раскрыто, т.е. правое. Делали снимок лёжа на спине, соответственно, по факту, это левое крыло
Duch Опубликовано 1 апреля, 2020 Автор #7 Опубликовано 1 апреля, 2020 31.03.2020 в 01:36, Виктория М. сказал: Здравствуйте. Нужен точный вес голубя. Помет желательно на листе белой бумаги. Проверьте нет ли наростов во рту , а также неприятныого запаха (кислого, тухлого). Кормить; 1 столовая ложка с горочкой 2 раза в день. Помимо гречи добавьте перловую крупу ,чечевицу или колотый горошек, пшеницу, овес без шелухи. Рис лучше уберите его можно но совсем немного. С каким препаратом ампула была? Все что обнаружил врач и все его назначения нужно выложить сюда на сайт, чтобы понимать чем вы лечили птицу. Какие витамины кололи какой курс и тд. Чтобы голубь начал нормально клевать зерно, в человеческой аптеке купите ноотропил таб или пирацетам . В вет аптеке нужно приобрести Фоспренил. Мух кровососок если вдруг еще обнаружите хорошо в тазике с водой вылавливать. Сажаете птицу в тазик с теплой водой, чтобы только голова на поверхности была, придерживаете аккуратно и так мин 10 -15 сидите с ним они начнут всплывать. Ваша задача не дать им вылететь из воды - передавить. Какое крыло он прижимает если смотреть на ренген? Прикрепил назначение врача Во рту ничего подозрительного, как и в запахе. Может прозвучать неоднозначно, но он в вцелом, приятно пахнет) Ампула, которую разбавил в воде и опрыскивал 2 дня голубя под перья ( на тело) - "Дельцид" В воду окунали, правда держали минут 5. Ничего не всплыло и мы аккуратно его сушили феном, т.к. он сильно замёрз. Потом на форуме прочел, что насильное купание голубей недопустимо Глядя на рентген то, что раскрыто, т.е. правое. Делали снимок лёжа на спине, соответственно, по факту, это левое крыло @KamaRo Было не по себе, когда увидел муху на теле живого существа. Как человека не опытного за уходом птиц и прочей дикой живности, выстроилась однозначная причинно-следственная связь: появилась муха - пропал аппетит Перед покупкой минут 10 распрашивал продавца о побочных эффектах и актуальности данного препарата при текущих обстоятельствах Орнитолог тот, которого вы упомянули - Баранова Татьяна @маленький принц пришлю сегодня вечером!
KamaRo Опубликовано 1 апреля, 2020 #8 Опубликовано 1 апреля, 2020 @Duch дельцид такой же яд, как и неостомазан и бутокс. Никогда подобные препараты не применяйте на птицах, лучше уточняйте на форуме (много птиц на этих препаратах умерло). От мух не умирают, если только птица не кишит этими мухами и их личинками (такое может быть только очень ослабленной и фактически умирающей птице), к тому же есть безопасные препараты ль внешних паразитов - от пероедов фронтлайн в спрее. В назначениях кроме мильгаммы ничего не разобрала, почерк истинного врача. И еще про белый хлеб (видимо что то в него вмешивать). Нужна помощь в расшифровке. Как сейчас птица?
Виктория М. Опубликовано 1 апреля, 2020 #9 Опубликовано 1 апреля, 2020 (изменено) @KamaRo Каши крупы белый хлеб. юнидокс солютаб таб.100мг 1/6 таблетки 2 раза в день в течении 2х-4х недель. Последнее перед мильгамой не поняла. Изменено 1 апреля, 2020 пользователем Виктория М.
Виктория М. Опубликовано 1 апреля, 2020 #10 Опубликовано 1 апреля, 2020 Мильгамма это витамины комплекс человеческий из которых В12 птицам не всасывается, В6 для птицы передоз в данной форме . Также данные витамины содержат стабилизаторы, которые не проверялись на птицах. Также данное назначение не имеет Нистатина или флуконазола. Если вы их не будете давать, то птица получит Кандидоз . Лечится тяжело. Птица может погибнуть. витамин В12 голубю очень нужен....
KamaRo Опубликовано 1 апреля, 2020 #11 Опубликовано 1 апреля, 2020 @Виктория М. назначение с антибиотиком уже некорректные - 1/6 таблетки никогда не поделить (делят таблетку не более чем на 4 части, а далее разводят водой и выпаивают нужное количество), а во-вторых не много ли? Я сейчас лечу птицу от микоплазмоза и суточное назначение как раз 16 мг суточно на птицу в 300 мг, а тут разово. Да, такая дозировка имеется в формуляре, но возникает вопрос - что лечат. Под третьим номером не пойму что, но противогрибковое не просматривается (нистатин, флуконазол или кетоконазол) - его дают параллельно с антибиотиком и перекрывают весь его курс. Я бы скорректировала назначения, иначе от лечения будут куда более серьезные последствия. Ну и хлеб не давайте (бывает некоторые препараты в мякиш замешивают, но не в данном случае).
Виктория М. Опубликовано 1 апреля, 2020 #12 Опубликовано 1 апреля, 2020 8 минут назад, KamaRo сказал: Я бы скорректировала назначения, иначе от лечения будут куда более серьезные последствия. Ну и хлеб не давайте (бывает некоторые препараты в мякиш замешивают, но не в данном случае). Думаю это будет правильно и надеюсь автор согласится выполнять измененное назначение. Хлеб не нужно тем более если в ходу антибиотик.
Duch Опубликовано 1 апреля, 2020 Автор #13 Опубликовано 1 апреля, 2020 @KamaRo под пунктом 3 в назначении: Кетоквин 0,2мл 1 раз в день 5-10 дней после еды
KamaRo Опубликовано 1 апреля, 2020 #14 Опубликовано 1 апреля, 2020 @Duch кетоквин 1%? или 10%? Тут вопрос чтобы передозировки не было. Если 1%, то дозировка адекватная.
Duch Опубликовано 1 апреля, 2020 Автор #15 Опубликовано 1 апреля, 2020 @KamaRo увы, не могу знать На тот момент мой уровень знаний был на таком уровне, что я просил подписать под названием препарата какой шприц какого цвета, чтобы не перепутать С тех пор немного изменилось ?
Виктория М. Опубликовано 1 апреля, 2020 #16 Опубликовано 1 апреля, 2020 Птица все лечение уже прошла или на аднный момент еще что-то продолжаете ?
Duch Опубликовано 1 апреля, 2020 Автор #17 Опубликовано 1 апреля, 2020 @Виктория М. продолжаем только диету За весь день сегодня ничего не съел и не выпил. Накормил 2мл разваренного пшена и напоил 2мл холодной воды из шприца
Виктория М. Опубликовано 1 апреля, 2020 #18 Опубликовано 1 апреля, 2020 Почему так мало покормили? Нужно больше иначе у него совсем не останется сил. Почему он не кушает обычное зерно? Он сам не может кушать или вы не даете? В списке с назначением первый пункт слово - Диета? Почему он на диете вы знаете?. . У вас дома есть весы? Постарайтесь разбавить рацион; Перловая крупа, гречка, чечевица, горох, очищенный овес, пшеница. Воду он может пить? Вы пишите, что голубь перестал попадать по зерну, поэтому нужно купить в вет аптеке Фоспренил. Если фоспренила не будет можно в чел.аптеке приобрести Ремантадин - это противовирусное средство , а также приобрести Аминалон и Пирацетам - эти препараты способствуют нормализации и восстановлению кровообращения и метаболизма в головном мозге.
KamaRo Опубликовано 2 апреля, 2020 #19 Опубликовано 2 апреля, 2020 @Duch если вы придерживались назначений, что выдала ветеринар, то как минимум у птицы кандидоз зоба, от которого птица не ест. До кучи может быть и медикаметозное отравление - неадекватная дача доксициклина (как вы делили таблетку я даже представить не могу), если кетопрофен (кетоквин) 10% - так вообще у птицы передоз. Как минимум ищите нистатин, гепатовет, пробиотики (споровит и бифидумбактерин) - это для ЖКТ. И кормить птицу не 2 мл каши, а 60 как минимум и в зоб, т.е. через трубочку. Купите безмолочную и без сахара детскую кашу - есть в линейке Хайнц и Нестле.
OFA Опубликовано 2 апреля, 2020 #20 Опубликовано 2 апреля, 2020 2 часа назад, KamaRo сказал: И кормить птицу не 2 мл каши, а 60 как минимум и в зоб, 60мл суточно, разбив на 3-4 приема, т.е. по 15-20мл в одно кормление. Также давать дня два энтеросгель по 1,5мл, разведя до состояния жидкой сметаны, 2 раза в день за час до кормления или через 2 часа после. Выложите обязательно! фото птицы и помета на белой бумаге.
Duch Опубликовано 2 апреля, 2020 Автор #21 Опубликовано 2 апреля, 2020 @OFA фото птицы прикрепил. Киль выражен, но не сильно Весов, увы, нету @Виктория М. Воду наливаю в крышку из под банки и кладу в коробку. Он её чаще опрокидывает и проливает, чем пьёт. Может нужна специальная поилка? @KamaRo не рискну его кормить через трубочку. Кормил 2мл, т.к. потом он перестает глотать, начинает сильно дергаться и разбрасывать кашу из клюва
KamaRo Опубликовано 2 апреля, 2020 #22 Опубликовано 2 апреля, 2020 @Duch с 2 мл каши птица помрет. А через трубочку не так уж и сложно. На носик 10 мл шприца одеваете трубочку от системы (капельница), длина трубочки 12 см. Птицу пеленаете, прижимаете к себе, фиксируете голову левой рукой (если правша). Открываете клюв и стопорите у основания пальцами той же левой рукой, что голову фиксирует. Спускаете трубочку по небу в зоб (минуя дыхательное горло, которое на корне языка). Как трубочка ушла в зоб выдавливаете кашу (в шприце и трубочке не должно быть воздуха). Процесс кормления занимает 20-30 секунд. После кормления трубочку и шприц моете и обдаете кипятком. На форуме есть тема по принудительному кормлению. Если нет наростов в глотке, то опасности нет для птицы.
Виктория М. Опубликовано 2 апреля, 2020 #23 Опубликовано 2 апреля, 2020 (изменено) Поилку можете фиксировать можете нет. Хорошо бы видео с его движениями с его попытками поклевать зерно. Про запах изо рта, вы уверенны что он отсутствует? Запах от помета есть? Пожалуйста выложите несколько фото помета желательно на белой бумаге. Из сказанного вами тяжело понять что именно может происходить с птицей. Из чел. аптеки также необходимо докупить Нистатин, либо - Флуконазол одно из двух и от проблем с печенью на всякий случай Карсил. 15 часов назад, Виктория М. сказал: Вы пишите, что голубь перестал попадать по зерну, поэтому нужно купить в вет аптеке Фоспренил. Если фоспренила не будет можно в чел.аптеке приобрести Ремантадин - это противовирусное средство , а также приобрести Аминалон и Пирацетам - эти препараты способствуют нормализации и восстановлению кровообращения и метаболизма в головном мозге. Изменено 2 апреля, 2020 пользователем Виктория М.
маленький принц Опубликовано 2 апреля, 2020 #24 Опубликовано 2 апреля, 2020 (изменено) 47 минут назад, Duch сказал: Воду наливаю в крышку из под банки и кладу в коробку. Он её чаще опрокидывает и проливает, чем пьёт. Может нужна специальная поилка? некоторые на дно кладут чистый камень (промыть прокалить в духовке) некоторые крепят иным способом можно просто тяжёлую поилку которую не опрокинет - например стеклянную баночку от икры 45 минут назад, Duch сказал: не рискну его кормить через трубочку. Кормил 2мл, т.к. потом он перестает глотать, начинает сильно дергаться и разбрасывать кашу из клюва можно сварив крутую кашу скатать из неё шарики размером ~5мм и кормить ими как кормить насильно https://www.mybirds.ru/forums/topic/34206-prinuditelnoe-kormlenie/ считайте не воду в каше а считайте сухое зерно до варки каши в день нужно примерно полторы столовые ложки с горкой сухого зерна Изменено 2 апреля, 2020 пользователем маленький принц
OFA Опубликовано 2 апреля, 2020 #25 Опубликовано 2 апреля, 2020 @Duch сама доктор смотрела рентген птицы? Что-то сказала? Нужно позвать нашего форумского доктора @Zosia посмотреть рентген. Может так разложена птица, но мне что-то кажется, что плечевой сустав не в порядке, но лучше пусть Зося посмотрит. Птица взрослая, клевать умеет, значит проблема или с жкт, или вертячка в такой форме.
маленький принц Опубликовано 2 апреля, 2020 #26 Опубликовано 2 апреля, 2020 @OFA рентген - в виде мелкой картинки просил автора залить рентген покрупнее
Florflor Опубликовано 2 апреля, 2020 #27 Опубликовано 2 апреля, 2020 (изменено) @Duch Вы его клюв внутри посмотрели? Откройте ему клювик и поглядите нет ли ничего подозрительного, если всё в порядке, то постарайтесь взять себя в руки и использовать трубочку, как описали выше. Во время спасения и ухаживания за птицей, особенно в первый раз бывает неуверенность и боязнь сделать хуже, но нерешительностью можно только навредить птице. Взялись за её спасение, надо держаться! Пару раз попробуете, освоитесь, пойдёт всё проще. То, что брыкается - это ничего, она хочет освободиться от рук, но Вы то понимаете что помогаете ей, по этому не обращайте внимание, цель - кормление должна быть выполнена. Больше самообладания и спасете птицу! Поилку можно найти вот такую, маленькая, не должна быть дорогой. Здоровья гулечке, а Вам сил и терпения! Изменено 2 апреля, 2020 пользователем Florflor
Duch Опубликовано 2 апреля, 2020 Автор #28 Опубликовано 2 апреля, 2020 @KamaRo покормил водянистой пшенной кашей с помощью капельной системы. Правда, не так страшно, как кажется. 10мл вошло легко, потом начал сильно брыкаться. Зоб набух, стал упругим @Виктория М. изо рта запаха точно нет, как и наростов: нёбо, язык, всё гармонично на мой неопытный взгляд. От помета запах есть. Как сказала коллега "курочкой пахнет". Видео снял почти неделю назад, как начали появляться странные симптомы. Прикрепил ссылку: @маленький принц спасибо за лайфхаки! @OFA сказала, что перелома нет и "пазухи чистые". Птица взрослая и сама клевала длительное время. Не ест при людях, но было слышно, как клевала @Florflor спасибо за совет! Прикрепил набор "юного голубятника", снимок помета пока не на белом листке, снимок рентгена поближе и ссылку на рентген в исходном формате https://yadi.sk/d/1-E6dORkKm_l8w
Виктория М. Опубликовано 2 апреля, 2020 #29 Опубликовано 2 апреля, 2020 (изменено) Понятно....Спасибо. Вертячка присутствует. Римантадин по 1/4 таблетки в день, Пирацетам примерно 50мг два раза в день, либо 30 мг три раза в день. Нистатин пока не нужно. Помет он растоптал и поэтому не понятно. По цвету норм. Изменено 2 апреля, 2020 пользователем Виктория М.
маленький принц Опубликовано 2 апреля, 2020 #30 Опубликовано 2 апреля, 2020 (изменено) @Duch вот рентген Вашего пациента Изменено 2 апреля, 2020 пользователем маленький принц
Duch Опубликовано 2 апреля, 2020 Автор #31 Опубликовано 2 апреля, 2020 @Виктория М. а почему она проявилась только сейчас? Длительное время не было ни малейших симптомов Как лучше давать таблетки? Накрошить в порцию каши и давать так же, через трубку? Это заболевание не хроническое? @маленький принц ну да, разве не его я прикрепил в прошлом сообщении?
Виктория М. Опубликовано 3 апреля, 2020 #32 Опубликовано 3 апреля, 2020 Вы могли не заметить ее на стадии развития и к тому же птицам свойственно скрывать свои слабости, чтобы не стать жертвой. Также птица может иметь сильный иммунитет, что чаще всего происходит именно с городскими сизарями. Причиной возникновения вертячки может быть болезнь Ньюкасла, какое -либо другое заболевание способное перейти в нервную форму, либо ЧМТ. Мне кажется что у вашей птицы именно чмт. Давайте таблетки просто в клюв не крошив. Открываете ротик и кладете, следите чтобы проглотила. Смешивать не нужно будет горечь птица начнет кушать с неохотой. Данное заболевание начинает прогрессировать при потери иммунитета например от недоедания, от внутренних паразитов или наслоении др.заболевания.
маленький принц Опубликовано 3 апреля, 2020 #33 Опубликовано 3 апреля, 2020 12 часов назад, Duch сказал: ну да, разве не его я прикрепил в прошлом сообщении? оно почему-то ужалось до мелких размеров если пойти по ссылке https://www.mybirds.ru/forums/uploads/monthly_2020_03/1SXcxYu_0rk.jpg.d7c82758490ddb04a65127b887286e57.jpg.28c0e1b9697a84b0cce71b1ee39e8254.jpg и открыть то видно что оно очень мелкое потому я скачав Ваш архив перезалил фото и увидев что оно ограничено по размерам дважды обрезав перезалил ещё раз
Duch Опубликовано 3 апреля, 2020 Автор #34 Опубликовано 3 апреля, 2020 @Виктория М. понял. То есть, мы его только купируем сейчас? @маленький принц спасибо, аксакал! ??
Виктория М. Опубликовано 3 апреля, 2020 #35 Опубликовано 3 апреля, 2020 8 минут назад, Duch сказал: @Виктория М. понял. То есть, мы его только купируем сейчас? @маленький принц спасибо, аксакал! ?? Купируем это что значит? ))
Виктория М. Опубликовано 3 апреля, 2020 #36 Опубликовано 3 апреля, 2020 Мы начинаем лечить или вернее останавливать вертячку, чтобы вернуть птице возможность самостоятельно кушать, двигаться и надеюсь летать. Примерно так...))
Duch Опубликовано 10 апреля, 2020 Автор #37 Опубликовано 10 апреля, 2020 @Виктория М. да, значит, я Вас правильно понял) Уже неделя и "полёт" нормальный Птицу кормлю указанными лекарствами и пшенной кашей из шприца в зоб Реагирует лучше, злится бодрее, раздувается, когда лезу к нему в коробку, как прежде) Господа и дамы, подскажите пожалуйста, что делать с крылом? По-прежнему, он не поднимает левое (видимо, травмированное крыло), а когда пытаюсь поднять его насильно, то он, как будто бы, выворачивается. Судя по всему, от боли
Виктория М. Опубликовано 10 апреля, 2020 #38 Опубликовано 10 апреля, 2020 (изменено) Он сам не ест? Как держит голову? Если не ест или не попадает по зерну возможно пора переходить на уколы Церебролизина. С крылом если болит то возможно не все потеряно. Нужно крылья зафиксировать на спине, положив больное на здоровое крест на крест. Проверить чтобы "плечики" были ровно относительно друг друга. Фиксировать пластырем, бинтами, вообщем чем получится, но это нужно сделать обязательно. Завтра вышлю фото примерно как это должно выглядеть. Так птица должна жить некоторое время. Изменено 10 апреля, 2020 пользователем Виктория М.
OFA Опубликовано 11 апреля, 2020 #39 Опубликовано 11 апреля, 2020 10 часов назад, Виктория М. сказал: Нужно крылья зафиксировать на спине Да, но если крыло от нарушения цнс не парализовало и оно уже не будет работать, это примерно как при инсульте, когда конечности перестают работать навсегда((
маленький принц Опубликовано 11 апреля, 2020 #40 Опубликовано 11 апреля, 2020 если это результат вертячки то вероятно с выздоровлением и крыло должно работать потому что не все после инсульта превращаются в овощ есть и те кто потом встаёт на ноги
Виктория М. Опубликовано 11 апреля, 2020 #41 Опубликовано 11 апреля, 2020 (изменено) 1 час назад, OFA сказал: Да, но если крыло от нарушения цнс не парализовало и оно уже не будет работать, это примерно как при инсульте, когда конечности перестают работать навсегда(( А я верю, что это поможет. Почему бы не попробовать? У меня у папы был инсульт и рука повисла и только иногда он мог делать ей хаотичные движения. Я массировала руку ровно 2 месяца и она практически полностью восстановилась. Он смог сам держать тарелку с супом например и работать ложкой. Конечно человек не голубь...... Изменено 11 апреля, 2020 пользователем Виктория М.
Виктория М. Опубликовано 11 апреля, 2020 #42 Опубликовано 11 апреля, 2020 (изменено) Вот несколько удачных на мой взгляд вариантов. Пробуйте. Изменено 11 апреля, 2020 пользователем Виктория М.
Duch Опубликовано 30 апреля, 2020 Автор #43 Опубликовано 30 апреля, 2020 Здравствуйте! Прошу прощения за моё отсутствие - был в вынужденной командировке. В это время за птицей следили, выполняли все вышеуказанные рекомендации (корм из шприца, лекарства) 11.04.2020 в 02:33, Виктория М. сказал: Он сам не ест? Как держит голову? Начал есть, попадает, с Вашей помощью, исправно) Заметили: если кормить из шприца дважды в день, то аппетит птицы сильно падает. Поэтому, принудительное двукратное принудительное кормление в день заменили на однократное, а позже и вовсе перестали. На протяжении этого процесса, птица сама клевала больше и больше Иногда, при попытке клюнуть, бросается на руку, будто, подлетает. При этом, приземляется не идеально: спотыкается и заваливается на левую сторону. На наш взгляд, это происходит по причине того, что левое крыло повреждено и отсутствует равновесие. Думаю, это - не симптом "вертячки" 11.04.2020 в 13:01, OFA сказал: Да, но если крыло от нарушения цнс не парализовало и оно уже не будет работать, это примерно как при инсульте, когда конечности перестают работать навсегда(( А как узнать, повреждена ли ЦНС? Помимо небольшой вертячки, не было никаких серьезных симптомов. Или я что-то не заметил? 11.04.2020 в 14:25, Виктория М. сказал: А я верю, что это поможет. Почему бы не попробовать? У меня у папы был инсульт и рука повисла и только иногда он мог делать ей хаотичные движения. Я массировала руку ровно 2 месяца и она практически полностью восстановилась. Он смог сам держать тарелку с супом например и работать ложкой. Конечно человек не голубь...... Вы - золото ???? 11.04.2020 в 13:12, маленький принц сказал: если это результат вертячки то вероятно с выздоровлением и крыло должно работать потому что не все после инсульта превращаются в овощ есть и те кто потом встаёт на ноги По-моему, всё складывалось следующим образом: механическое повреждение крыла - приземление около нашего офиса - стресс и низкий аппетит - падение иммунитета и появление симптомов вертячки - тема на форуме, ваши бесценные советы - лекарства, принудительное кормление - улучшение аппетита и исчезновение симптомов вертячки. В остатке имеем механическое повреждение крыла 11.04.2020 в 02:33, Виктория М. сказал: Он сам не ест? Как держит голову? Если не ест или не попадает по зерну возможно пора переходить на уколы Церебролизина. С крылом если болит то возможно не все потеряно. Нужно крылья зафиксировать на спине, положив больное на здоровое крест на крест. Проверить чтобы "плечики" были ровно относительно друг друга. Фиксировать пластырем, бинтами, вообщем чем получится, но это нужно сделать обязательно. Завтра вышлю фото примерно как это должно выглядеть. Так птица должна жить некоторое время. Спасибо за совет и фото! Как долго ей жить в таком положении? Как убедиться, что это идёт на пользу?
маленький принц Опубликовано 1 мая, 2020 #44 Опубликовано 1 мая, 2020 6 часов назад, Duch сказал: Начал есть УРАААААА!!!!!!!!!! 6 часов назад, Duch сказал: приземляется не идеально: спотыкается и заваливается на левую сторону. На наш взгляд, это происходит по причине того, что левое крыло повреждено и отсутствует равновесие. Думаю, это - не симптом "вертячки" если крыло повреждено то должен тренироваться
Duch Опубликовано 10 мая, 2020 Автор #45 Опубликовано 10 мая, 2020 (изменено) Здравствуйте! За последнее время я многое понял. В частности, что не силён в перевязывании крыльев птиц Действовал я согласно фотографиям @Виктория М. и видео https://www.youtube.com/watch?v=E7_TcoIA_8s Лучший свой результат прикрепил к посту. Остальные попытки были неудачными по причине того, что при перевязки обоих крыльев, птица теряла равновесие и не могла вовсе ходить. Но, боюсь, мой лучший результат не так эффективен, как те, что на фотографиях Проясните, пожалуйста, ситуацию 01.05.2020 в 09:05, маленький принц сказал: если крыло повреждено то должен тренироваться @маленький принц , уточните, о каких именно тренировках идёт речь? С радостью позанимаюсь со своим подопечным Изменено 10 мая, 2020 пользователем Duch
Рекомендуемые сообщения
Для публикации сообщений создайте учётную запись или авторизуйтесь
Вы должны быть пользователем, чтобы оставить комментарий
Создать аккаунт
Зарегистрируйте новый аккаунт в нашем сообществе. Это очень просто!
Регистрация нового пользователяВойти
Уже есть аккаунт? Войти в систему.
Войти