Koalla88 Опубликовано 27 января, 2016 #1 Опубликовано 27 января, 2016 Здравствуйте. Жако краснохвостый, возраст 5 лет (точно не известно), природник. Проблемы с дыханием начались в ноябре, было видно, как птица дышит, мы проделали ингаляции и у Жоры все прошло. С недавних пор заметила, что после полётов он дышит с сипами, так же замечены глотательные движения с щелчками перед сном. Осенью мы пролечились у Зоси, спасибо ей огромное, от стаффилакока. Сейчас принимаем карсил и серу, т.к. есть проблемы с печенью, а так же Жора время от времени ест свои перья. С поведением пока все в порядке, попугай активный, часто и много поёт. Корм "Рио" для крупных попугаев+фрукты. Сразу скажу, что врачу показать не могу, я бы и рада свозить его на ренген и на прослушивание к доктору, но у попугая повреждена психика, он очень боится людей, поездка в клинику чревата сердечным приступом Мазок из зоба у нас сдать негде, 2 месяца назад сдавали помет на бак.посев и копрологию, тогда ничего не нашли. Помогите, пожалуйста, советом, чем лечить пернатого друга? Вес птицы 550 грамм.
KamaRo Опубликовано 27 января, 2016 #2 Опубликовано 27 января, 2016 Koalla88, почитайте в прикрепленных темах тему АСПЕРГИЛЛЕЗ - это как раз характерно для жако.Кроме аспера может быть и микоплазма и туберкулез, и орнитоз, и бог знает что.Рентген как минимум, в 2-х проекциях (боковой и ан спине), делать с правильной фиксацией и раскладкой (чтобы он был читабельным). Далее смыв на микоплазмоз, исключать орнитоз, с туберкулезом сложнее, но птичьего типа делают в областных лабораториях (при вет.Департаменте) методом ПЦР, даже люди в Англию отправляют материал на исследование.Отговорка что птица неручная, псих и прочее, чтобы не везти на рентген - это всего лишь отговорка. Чтобы поставить диагноз нужна диагностика, иначе будет борьба с симптомами, которые могут быть для многих болезней. Чтобы лечит - нужен диагноз.Вероятность тубера и аспера высока.
Koalla88 Опубликовано 27 января, 2016 Автор #3 Опубликовано 27 января, 2016 KamaRo, если я повезу птицу на ренген и она там умрёт от остановки сердца, лучше будет? Это не отговорка, вы не видели этого жако. Про аспер читала, у птиц, помимо хрипов, из симптомов так же слабость и потеря аппетита, у моей птицы с этим все в порядке, тьфу 3 раза. Аспер, конечно, я не исключаю, для орнитоза тоже слабость характерна.
KamaRo Опубликовано 27 января, 2016 #4 Опубликовано 27 января, 2016 Koalla88, в начальной стадии у аспера/туберкулеза/микоплазмоза/орнитоза в начальной стадии вообще может не быть симптомов. Когда появятся симптомы "слабость и потеря аппетита", то птицу уже не спасти.Птицу нужно лечить, а не залечивать.Зося вам серьезной терапии не назначит, т.к. диагноз поставить не с чего. А очередные ингаляции только симптомы заглушат, а болезнь никуда не денется.
Koalla88 Опубликовано 27 января, 2016 Автор #5 Опубликовано 27 января, 2016 (изменено) KamaRo, спасибо за ответ. А если доктора на дом вызвать и хотя бы прослушать птицу? Или это совсем бесполезно? Он очень сильно кричит, прячется под диван, если пытаться взять его полотенцем или перчатками. Я ему лекарство в клюв заливала, пока на меня ругался в клетке, по-другому просто никак не получалось. Ещё момент, сипит он, только когда носом дышит, одновременно после полёта сипит и чирикает. Изменено 27 января, 2016 пользователем Koalla88
KamaRo Опубликовано 27 января, 2016 #6 Опубликовано 27 января, 2016 Бесполезно звать ветеринара, который не имеет специализации по птицам и нет опыта с ними. Если и проведет ветеринар аускультацию у птицы, то мало что скажет путного.
Olya_3 Опубликовано 27 января, 2016 #7 Опубликовано 27 января, 2016 Вам, как хозяйке, надо решить, что важнее психика или жизнь птицы. Для начала самостоятельно можете попробовать исключить инвазии в трахее (сингамоз) - хорошо промочите перья на шее, зафиксируйте голову и попробуйте на ярком свете осмотреть шею на предмет инородных тел и их передвижения. Если есть истечения из ноздрей - возможно Вам повезло и это всего лишь простуда, тогда под лампу греть.Все, что перечислили Вам выше очень серьезно и требует диагностики и лечения
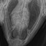
Koalla88 Опубликовано 23 февраля, 2016 Автор #8 Опубликовано 23 февраля, 2016 С огромным трудом сделали рентген, птицу расположить в позе Христа не получилось, к сожалению. Так же в клинике предложили переделать под ингаляционным наркозом, насколько он опасен для птиц? Файлы рентгена прилагаю.
Anysya Опубликовано 23 февраля, 2016 #9 Опубликовано 23 февраля, 2016 если имеют опыт в таком наркозе для птицы - то это оптимальный вариант для рентгена. и птица не в стрессе.
Koalla88 Опубликовано 23 февраля, 2016 Автор #10 Опубликовано 23 февраля, 2016 Anysya, говорили, что делали рентген другому жако, было подозрение на перелом крыла. Птица ненадолго засыпает, минуты на 2-3. И все же я немного боюсь, т.к. моя сестра кастрировала кота в этой клинике, для одобрения такого наркоза нужна была консультация с кардиологом. Так же у жако забита левая ноздря, т.к. на левой лапке отсутствует коготь. Фото прикрепляю. Безусловно, пыталась почистить, но у него голова, как пропеллер, крутится и он очень сильно кричит и боится.
KamaRo Опубликовано 23 февраля, 2016 #11 Опубликовано 23 февраля, 2016 Рентген сможет прочитать Зося при условии если он читабельный,напишите ей в личку http://www.mybirds.ru/forums/index.php?showuser=4292 Вы анализы какие нибудь сдавали? рентген - это хорошо, но и анализы нужны.
Koalla88 Опубликовано 23 февраля, 2016 Автор #12 Опубликовано 23 февраля, 2016 (изменено) KamaRo, Зосе в соц.сети написала пару дней назад, жду ответа. Анализы никакие не сдавали, на аспер у нас только уже трупики принимают. В человеческое лабе на тубер и на микоплазмоз сдать можно, но только если умолчать, что это птица. Но взять у этого жако анализы очень сложно, т.к. он очень боится людей, до меня у него был плохой хозяин, птица, спустя 8 месяцев пребывания у меня, до сих пор рычит. Поэтому хочу сначала разобраться с рентгеном, а потом, если нужно, продолжу его ''мучить''. Что скажете про ингаляционный наркоз? Тогда и мазок из зоба сразу я бы взять смогла, и рентген нормальный сделать. Изменено 23 февраля, 2016 пользователем Koalla88
KamaRo Опубликовано 23 февраля, 2016 #13 Опубликовано 23 февраля, 2016 На счет наркоза почитайте вот в этом дневнике (ведет его вет.орнитолог), http://www.mybirds.ru/forums/index.php?aut...blogid=827&
KamaRo Опубликовано 23 февраля, 2016 #15 Опубликовано 23 февраля, 2016 По наркозу вы можете либо в личку, либо в дневнике задать вопрос вет.орнитологу, возможно подскажет нюансы по вводу птицу в наркоз или наоборот предостережет.
Рекомендуемые сообщения
Для публикации сообщений создайте учётную запись или авторизуйтесь
Вы должны быть пользователем, чтобы оставить комментарий
Создать аккаунт
Зарегистрируйте новый аккаунт в нашем сообществе. Это очень просто!
Регистрация нового пользователяВойти
Уже есть аккаунт? Войти в систему.
Войти