Charlemagne Опубликовано 2 апреля, 2015 #1 Опубликовано 2 апреля, 2015 Здравствуйте, уважаемый специалисты!Обращаюсь к вам, как к последней надежде.У меня волнистый попугай, самец, 3 года. Содержится в просторной клетке (В60, Ш44, Г35), корм Fiory Superpremium, фрукты, разрешенные овощи, со стола ничего не даем, в клетке есть минеральный камень Fiory. Содержание одиночное. Болеет уже несколько месяцев. Сначала при дыхании появился звук, похожий на сопенее (как будто крышечка на ноздре открывается и закрывается), ночью иногда звук переходил в писк. После полета наблюдалась одышка. При этом был бодрый, веселый, игрался, летал, ел, пил..Лечились на другом форуме - сначала лечили кандиду (нистатин, 1/4 таблетки на 3 мл воды, разводила суспензию, давала по 2 капли 3 раза в день, 10 дней, в поилку - несколько капель лимона с водой). Улучшений не наблюдалось. Потом удалось (с очень большим трудом и по очень большому знакомству) сдать анализы на орнитоз и сальмонеллез и сделать бакпосев. Обнаружили сальмонеллез, чувствительный к энрофлоксацину. Лечилиь энрофлоксацином (по рекомендациям все того же форума) - разводила 1 к 1 с водой, давала в клюв по 1 капле 3 раза в день первые 2 дня, оставшиеся 10 - по 2 капли. Прикрывали антибиотик нистатином, линексом и карсилом. Улучшений не было, только ухудшился помет и общее настроение птицы. После окончания лечения дня через 2 начала давать ветом, помет наладился и настроение тоже, но недели через 2 утром обнаружила, что попугай сидит на правой лапке, а левую поджал и бережет, стал хромать при передвижении. На форуме уже не смогли помочь. Искала врачей, в субботу, 28 марта появилась кровь в помете, причем не следы, а большие капли крови (даже без помета). В понедельник все-таки нашли врача, который лечит птиц (вроде бы были хорошие отзывы), поехали. Сказал - невролгия левой конечности (правда, причем тут кровь в помете не объяснил). Назначил Преднизалон 3 капли на 1/2 купалки (он пьет воду только из купалки) 5 раз через день; Траумель - 1/10 таблетки в ту же купалку ежедневно 30 дней); Витам 5 капель в ту же купалку 14-20 дней; глоксизон (мазь) на правую лапу (так как там появилась небольшая гематомка от постоянного упора на нее) 1 раз в день, 10 дней. Назначения (кроме мази) меня смутили дозировкой и отсутствием лечения крови в помете.Дальше смогли дозвонится до зав. орнитологией Ростовского (живу в Ростове-на-Дону) зоопарка. Вчера поехали туда: отменила преднизалон, траумель сказала давать в неразвеленном виде 2-3 капли в клюв 2-3 раза в день, мазать левую лапку траумелем (мазью); викасол (от кровотечения) 1/10 таблетки в небольшом количестве воды дать в клюв 1 раз в день пока есть кровь; флемоксин солютаб - 250 мг, 1/2 таблетки растворить в полстакане воды и налить в поилку (не менее 5 дней). В итоге давала вчера викасол, траумель в клюв и мазала лапку, также правую лапку 3 дня мазала глоксизоном, антибиотик пока не давала, так как врач дала телефон человека, который все-таки может сделать анализ помета - договорилась с ним на понедельник. Сегодня утром птица уже стала плохо наступать на правую лапку. Правда, крови практически нет в помете.Помогите, пожалуйста. Я в отчаянии - что бы ни делала, становится только хуже.Прочитала вчера , что симптомы похожи на суставной сальмонеллез. Может мы все-таки не смогли вылечить сальмонеллу? Сегодня буду собирать помет, может, смогу уговорить маму завтра отвезти анализы (сама заболела гриппом). Но что можно сделать сейчас? стал плохо есть, так как тяжело подбираться к кормушке, хотя я и переставила ее максимально близко к нему. СЕйчас вылетел из клетки и сел сверху на решетку, лежит на ней - так он не падает, а то на жердочках (хоть я и поменяла их на более толстые) его качало, он не мог спать. Жердочки деревянные, спиленные в роще.Очень жду помощи.Фото помета выложу позже (сейчас его практически нет, убирала клетку)
KamaRo Опубликовано 2 апреля, 2015 #2 Опубликовано 2 апреля, 2015 Charlemagne,все результаты анализа выложите, пожалуйста.Напишите как давали энрофлоксацин - какой дозировки препарат исходный (2,5%, 5%, 10%), как препарат дозировали (не понятно такое разведение - "разводила 1 к 1 с водой"). После лечения сдавали анализы (всегда сдают анализы после лечения)? Может и не долечили, кто ж его знает, а там уже может перейти в любую форму. А может и другие причины. Птица залечена до нельзя.То как давали флемоксин солютаб - можно сказать что не давали для действенности результата (хотя бы на форумах спросили дозировку).На простейшие и гельминты сдавали помет? Лапа не действовать может по множествам причинам - недостаток кальция (в биодоступной форме вы ему не даете, мел от фиори только для стачивания клюва подходит, витамины не даете, кальцию не с чего усвоиться), инсульт, опухоль, инфекция (любая), отказ почек. Витами - это витамины? они для птиц не подходят (есть специальные птичьи витамины, которые дают курсом). Судя по всему у птицы времени очень мало, возможно совсем нет. анализ на сальмонеллу будет готов дней через 5. Кроме сальмонеллеза нужно бы и посев сделать, причем тоже давно (на бактерии, в т.ч. условно-патогенные, и грибы)Если помета нет, значит птица голодает - ее кормить хоть через шприц, хоть в зоб. Позвоните Зосе, http://www.mybirds.ru/forums/index.php?showuser=4292либо Марии (Полосатая), http://www.mybirds.ru/forums/index.php?showuser=14161записывайте все что вас скажу и выполняйте. Можно и в личку им написать, но не факт, что сейчас они на форуме и сразу прочтут.
Charlemagne Опубликовано 2 апреля, 2015 Автор #3 Опубликовано 2 апреля, 2015 Charlemagne,все результаты анализа выложите, пожалуйста.Напишите как давали энрофлоксацин - какой дозировки препарат исходный (2,5%, 5%, 10%), как препарат дозировали (не понятно такое разведение - "разводила 1 к 1 с водой"). После лечения сдавали анализы (всегда сдают анализы после лечения)? Может и не долечили, кто ж его знает, а там уже может перейти в любую форму. А может и другие причины. Птица залечена до нельзя.То как давали флемоксин солютаб - можно сказать что не давали для действенности результата (хотя бы на форумах спросили дозировку).На простейшие и гельминты сдавали помет? Лапа не действовать может по множествам причинам - недостаток кальция (в биодоступной форме вы ему не даете, мел от фиори только для стачивания клюва подходит, витамины не даете, кальцию не с чего усвоиться), инсульт, опухоль, инфекция (любая), отказ почек. Витами - это витамины? они для птиц не подходят (есть специальные птичьи витамины, которые дают курсом). Судя по всему у птицы времени очень мало, возможно совсем нет. анализ на сальмонеллу будет готов дней через 5. Кроме сальмонеллеза нужно бы и посев сделать, причем тоже давно (на бактерии, в т.ч. условно-патогенные, и грибы)Если помета нет, значит птица голодает - ее кормить хоть через шприц, хоть в зоб. Позвоните Зосе, http://www.mybirds.ru/forums/index.php?showuser=4292либо Марии (Полосатая), http://www.mybirds.ru/forums/index.php?showuser=14161записывайте все что вас скажу и выполняйте. Можно и в личку им написать, но не факт, что сейчас они на форуме и сразу прочтут. Спасибо большое за оперативный ответ. Зосе уже позвонила. Все записала, сейчас занимаюсь птицуном.
Charlemagne Опубликовано 4 апреля, 2015 Автор #4 Опубликовано 4 апреля, 2015 Добрый день, уважаемые форумчане!Извините, что не писала 2 дня ни о каких результатах - выполняли рекомендации Зоси, а так как еще и сама с гриппом и надо бы и себя полечить, то на общение с компом сил уже не было. Итак, Зося предположила кокцидоз, но нужны анализы. Первые назначения:1. Дицинон – 0,1 мл 1 раз в день 2 дня 2. Через 30–40 мин преднизалон 0,015 мл – 1 раз в день. 03 мл развести в 0,03 мл теплой (38 градусов) воде – это в шприц на 2 дня, давать 6 дней (Со 2 апреля, Чт)3. Траумель (или травматин) 0,1 мл в сутки. Траумель в зависимости от состояния, травматин – 10 дней 4. Мильгамма ампульная разводить в глициновой воде: (со 2 апреля, Чт)– мильгамму в 2 кубовый шприц, хранится 1 месяц– в бутылочке на 100 мл воды 100 мг глицина –сколько хранится?– 0,2 мл мильгаммы + 0,5 мл глициновой воды – выпоить за 20 ч). Давать 8 дней. Разводить в открытой рюмочке, оставить на 30–40 мин, чтобы испарился спирт5. глюконат кальция инъекционный – 0,1 мл в клюв 3 дня (с утра)6. троксевазин, массаж. Потом следить за цветом лап, клюва, языка (на предмет сердечной недостаточности). Все это проделали в первый же день (кроме глюконата, так как его принесли мне поздно вечером, его начали на следующее утро). Массаж птице особенно понравился, изминений цвета клюва и языка нет, лапки становятся розовее и горячее. После массажа заметно лучше бегает на лапах. К вечеру первого дня лечения птиц уже не лежал на жердочке, а сидел, хоть и с креном в правую сторону. Вообщем, правую лапку в чувство привели быстро. Кровь была к вечеру в 2-х порциях помета.На следующий день рано утром родня отвезла помет на анализ - копрограмма, простейшие, гельминты. Сальмонеллез Зося исключила, поэтому не стали сдавать, да и собирать помет для сальмонеллеза нужно было свежий в отдельную баночку, а тогда бы не смогли отвезти помет рано утром, и, соответственно, не получили бы результаты в этот же день по копрограмме и простейшим с гельминтами. Результат анализов:КОПРОГРАММАконсистенция – слизеобразнаяцвет – зелено-белыйреакция – слабощелочнаямышечные волокна – нетсоединительная ткань – нетслизь –большое количествожирные кислоты:– мыла – нет;– иглы – нет;– нейтральные жиры – неткрахмал – незначительное количествоперевариваемая клетчатка – большое количествоиодофильная флора – незначительное количествоэпителий – нетлейкоциты – неткристаллы – нетэритроциты – нет (странно, но, возможно, для копрограммы были взяты порции помета, в которых не было крови; порций с кровью было всего две).Простейшие и гельминты не обнаружены. Позвонила Зосе - соответственно, не кокцидоз. По слабощелочной реакции предположили избыток фосфора и камни (песок) в почках, которые и дали кровотечение, а также болезненные ощущения в почках могут давать болевой синдром в лапках (лапой он двигает, отлично перемещается по решетке клетки, чешет себя болшьной лапой, только старается не переносить на нее вес тела) Назначения:Все оставили. Далее преднизалон после окончания курса заменить на нурофен детский –0,1 мл 5 дней10 дней пить специальную воду – в отстоянную воду (отстаивается в холодильнике) на 1 л добавить 3 г поваренной соли, 2 ч.л. лимонного сока, 0,2 мл метиленового синего.К сожалению, выяснилось, что метиленовый синий готовят только в рецептурных отделах аптек. Такая аптека у нас одна на весь город и работает только по будним дням, соответственно, приготовление воды откладывается до следующей недели. Остальной курс продолжаем.Сегодня птиц начал утро сразу с активного завтрака, генеральной чистки перьев, вовсю поем любовные песни окружающему миру и игрушкам. Крови не было ни ночью, ни сейчас (тьфу-тьфу-тьфу). Левую лапу бережет, но все-таки передвигается по жердочкам быстрее (меньше хромая). Впрочем, левая лапка у него болит гораздо дольше, не может же она восстановится сразу. Дальше буду писать о процессе лечения
KamaRo Опубликовано 4 апреля, 2015 #5 Опубликовано 4 апреля, 2015 Метиленовый синий продается в зоомагазинах, где есть аквариуные товары. Дешевенький препарат.
Charlemagne Опубликовано 4 апреля, 2015 Автор #7 Опубликовано 4 апреля, 2015 Метиленовый синий продается в зоомагазинах, где есть аквариуные товары. Дешевенький препарат. Да, Зося говорила. Но таких магазинов в моем районе города, к сожалению, нет. В виду моего гриппа я не могу ехать в центр, и маму не погоню, она и так и анализы отвозила, и в аптеки ходила. Надеюсь, до понедельника терпит? Можно сейчас сделать просто воду с лимоном.
Charlemagne Опубликовано 9 апреля, 2015 Автор #8 Опубликовано 9 апреля, 2015 Пишу о наших подвижках в лечении. Все делаем по Зосиной схеме. С понедельника даю птице воду с метиленовым синим, лимоном и солью. Он пьет с удовольствием. Преднизалон вчера заменили на нурофен детский, глюконат кальция закончили. Сейчас даем мильгамму, травматин и нурофен, а также воду. В субботу, 4 апреля, к вечеру он начал самостоятельно поворачиваться на жердочке на своих лапках, т.е. переносить вес и на левую лапу. Раньше он поворачивался только с помощью клюва и решетки клетки. Ходит и бегает по жердочкам уверенно, не хромая. Крови в помете нет. Но аолностью вес перенести на левую лапку, чтобы дать отдохнуть правой, он не может. Периодически поджимает левую лапу, не сжимая ее в "кулачок". Просто не опирается на нее. Т.е. левая лапка полностью еще не восстановилась.Зосе большое спасибо за консультации по телефону. Они нам очень помогли. Сейчас нужно знать, что делать дальше. На этой неделе заканчивается срок всех назначений. Зося говорила, что нужно будет проводить профилактику каждый год или полгода (какую?). И левую лапку хотелось бы полностью восстановить.Еще, делая массаж, я обнаружила на правой лапке, видимо, гематому (из-за постоянного упора на нее, я так думаю. Выкладываю ее фото. Что с этим делать?Еще такой момент - после дачи лекарств у попугая начинается жидкий помет. Проходит часа через 2, иногда держится полдня. Это нормально? Возможно, из-за стресса? Выкладываю фото.
Zosia Опубликовано 9 апреля, 2015 #9 Опубликовано 9 апреля, 2015 На фото- натоптыш (пододерматит).Леквомеколь, мажем раз в сутки до исчезновения плюс 2 дня. Жердочки стоит обмотать шпагатом, а еще лучше-заменить на горизонтально положенные лесенки. Курс травматина,милдьгаммы(разведенной) - продолжать еще неделю,потом посмотрим..И ищите мелоксикам(мовалис),в идеале в виде суспензии-её удобнее дозировать. После ибупрофена будете 20-25 дней пить его.
Charlemagne Опубликовано 10 апреля, 2015 Автор #10 Опубликовано 10 апреля, 2015 Большое спасибо! Купила мовалис (суспензию) - в какой дозировке его давать после ибупрофена? Еще вопрос - во вторник закончатся 10 дней, как я даю птице специальную воду (с солью, лимоном и метиленовым синим). Какую воду пить после этого?
Zosia Опубликовано 14 апреля, 2015 #11 Опубликовано 14 апреля, 2015 Большое спасибо! Купила мовалис (суспензию) - в какой дозировке его давать после ибупрофена? Еще вопрос - во вторник закончатся 10 дней, как я даю птице специальную воду (с солью, лимоном и метиленовым синим). Какую воду пить после этого? Можете и эту продолжать,только лимон снимайте. Мои на подготовленной воде круглодично сидят,исключая периоды приема витаминов через поилку...
Charlemagne Опубликовано 20 апреля, 2015 Автор #12 Опубликовано 20 апреля, 2015 Добрый день. У нас опять проблемы – вчера по рекомендациям Зоси отменили мильгамму, а вместо травматина стала давать траумель, также перешли на мовалис. Сегодня попугай опять лег на жердочку и поджимает правую лапку, т.е. опять у него болят обе лапки. Причем не с утра, а гдехто часов в 12.00 после траумеля и массажа лапок. Что теперь делать? Помогите, пожалуйста.
Zosia Опубликовано 20 апреля, 2015 #13 Опубликовано 20 апреля, 2015 Добрый день. У нас опять проблемы – вчера по рекомендациям Зоси отменили мильгамму, а вместо травматина стала давать траумель, также перешли на мовалис. Сегодня попугай опять лег на жердочку и поджимает правую лапку, т.е. опять у него болят обе лапки. Причем не с утра, а гдехто часов в 12.00 после траумеля и массажа лапок. Что теперь делать? Помогите, пожалуйста. Ну в принципе отмена мильгаммы не должна дать симптом отката... это же комплекс витаминов... ну возобновляйте её тогда.Что тарвматин,что траумель(практически аналоги)- просто обезболивающие,основанные на вытяжке арники.Мовалис(мелоксикам)- если дается по дозе (0.1 мг/кг в терапевтическом периоде, 0.2 мг/кг- в остром)- нестероидное противовоспалительное,чуть ли не единственное,которое можно пить ДОЛГО...
Charlemagne Опубликовано 20 апреля, 2015 Автор #14 Опубликовано 20 апреля, 2015 Мильгамму верну, но мне непонятно, как долго он может на ней сидеть. Что мы лечим? Может ли помочь в установлении диагноза рентген? Я договорилась с одной клиникой - они могут сделать.
Zosia Опубликовано 20 апреля, 2015 #15 Опубликовано 20 апреля, 2015 Мильгамму верну, но мне непонятно, как долго он может на ней сидеть. Что мы лечим? Может ли помочь в установлении диагноза рентген? Я договорилась с одной клиникой - они могут сделать. Долго.Месяц,два...у вашей птицы проблема с периферической НС как минимум. и- с периф.кровообращением. В большинстве случаев это бывает завязано на эндокринных и ферментных траблах. но так же бывапет и в результате воздействи нейротоксинов(микотоксинов в первую очередь, фитотоксинов,фтор/хлор/производных,зоокумаринов- т.е. пороки кормления. Однозначно определить источник вашей проблемы не представляется возможным,т.к. вы пришли уже с неработающей конечностью. Частично работоспособность восстановилась. но снятие препаратов группы В (нейротрофиков) дало вам синдром отката.
Charlemagne Опубликовано 20 апреля, 2015 Автор #16 Опубликовано 20 апреля, 2015 Зося! Большое спасибо за Ваши ответы и рекомендации. Мильгамму даю опять. Еще вопрос - в среду договорилась сделать рентген. Может, нужно на что-то обратить особое внимание при рентгене?
KamaRo Опубликовано 21 апреля, 2015 #17 Опубликовано 21 апреля, 2015 Внимание нужно обратить на качество рентгена - правильная раскладка, фиксация (делайте все сами и возьмите помощника, чтобы в 4 руки все сделать, т.к. одному не сделать). Дома потренируйтесь, почитайте вот эту статью http://www.mybirds.ru/health/rentgen.phpнужен цифровой рентген в хорошем разрешении (чтобы увеличить можно было, т.е. не менее 1,5 Мб) и чтобы птица не выглядела микробом на снимке (т.е. настройка аппарата должна быть соответствующей). Качественный цифровой рентген позволяет увидеть многое и подетально.
Charlemagne Опубликовано 21 апреля, 2015 Автор #19 Опубликовано 21 апреля, 2015 Большое спасибо за рекомендации. Попробовала дома - вроде бы не брыкается, должно получиться его "разложить" для рентгена.
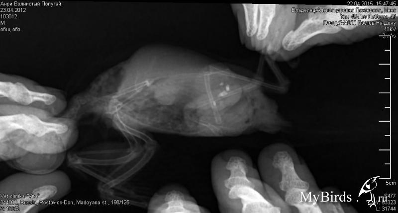
Charlemagne Опубликовано 23 апреля, 2015 Автор #20 Опубликовано 23 апреля, 2015 Добрый день!Вчера сделали рентген. Прикрепляю фото Сказали, что камни, но не смогли определить, где. Должны отправить какому-то светиле-рентгенологу, а на следующей неделе я позвоню - узнаю результат. Но, вообщем, видно, что проблема как раз слева, где и находится проблемная лапка, на которую он не переносит полностью вес тела.Что скажут Ваши специалисты? Четвертый день, как вернула мильгамму - стало получше. Сейчас даю мильгамму, мовалис и траумель (так как мне говорили, что его можно дольше давать, чем травматин, а травматин после 10-12 дней разжижает помет, а у нас итак с этим бывают проблемы).
Charlemagne Опубликовано 24 апреля, 2015 Автор #21 Опубликовано 24 апреля, 2015 Уважаемые консультанты! Откликнитесь, пожалуйста, - что с нашим снимком? Лечится ли это? И как?Пока состояние удовлетворительное у птицы. Двигаться стал получше, но полностью вес на левую лапку так и не переносит. На правой лапе намин. Мажу левомеколью. Вроде бы проходит, но медленно.
Delfin Опубликовано 24 апреля, 2015 #22 Опубликовано 24 апреля, 2015 стукнетесь к Зосе- снимки тут только она и Полосатая читает.ПС: траумель и травматин это одно и тоже гомеапатия на основе АРНИКИ (трава такая, она при доолгом юзании и в больших дозах МОЖЕТ вызывать разжижение помета). И мал. секрет про намин - чобы БЫСТРЕЙ проходил - обматайте жерди джутовой веревкой -я лично опыты проводила. не знаю почему, но имено если обматать веревкой\тряпкой жердь -то быстрей намин проходит. Думаю иза того что жердь - твердая, а канат\ткань ее смягчает. На ткань я вот тоже левомиколь наносила.
Charlemagne Опубликовано 24 апреля, 2015 Автор #23 Опубликовано 24 апреля, 2015 Спасибо за совет про намин. К Зосе я вчера в личку писала. Дождусь вечера, тогда еще раз попробую.
Zosia Опубликовано 25 апреля, 2015 #24 Опубликовано 25 апреля, 2015 Конкременты на фото (а они конечно есть) с успехом могут быть камушками из минеральной добавки- ЕСЛИ ВЫ ЕЁ ДАЕТЕ. Если же вы не даете никаких таких добавок, и птица не могла погрысть стену/утеплитель, то надо подумать... На счет чтения снимков- лучше меня ГОРАЗДО их читает Маша (ЭКВИ), она училась у Волгиной это делать. Пришлите эти снимки на почту мою, а то я не могу увеличить фото нормально. И конечно малочеткие они,да...Если же минеральную подкормку давали- то снимки "ни о чем". zofia68@mail.ru
Charlemagne Опубликовано 30 апреля, 2015 Автор #25 Опубликовано 30 апреля, 2015 Всем добрый день. Фото отправила. Рентгенолог клиники тоже сказал, что камни в желудки и могут быть кусочками минеральной смеси - у него висит сепия. Сказал, что нужно переделать рентген через 3 недели.По его состоянию - я в отчаянии, я вернула мильгамму, даю мовалис, траумель, но ничего не помогает (на 3-й день после возвращения мильгаммы стало лучше - опять сидел, правая лапка нормально работала, а на этой неделе опять лег, хотя ничего не меняла). Не знаю, что делать. Ужасно больно смотреть на все это. Хорошо, хоть, ходит есть.
Charlemagne Опубликовано 7 мая, 2015 Автор #26 Опубликовано 7 мая, 2015 Перед праздниками отправило снимки Зосе по почте. К сожалению, увидели опухоли у него, сказали надежды нет. Давать обезболивающие и противовоспалительные. Противовоспалительные - ибупрофен. Только я не поняла - давать и ибупрофен и какое-то обезболивающее (например, мовалис), или и то, и другое, или чередовать ибупрофен и мовалис (ведь ибупрофен больше 5-6 дней без перерыва давать нельзя)? Сейчас даю детский нурофен по 0,1 мл в день.Еще у нас проблема с намином - мазали мы мазали левомеколью, и вот вчера он отодрал желтую корочку клювом, а там - по-моему кость видна. Вот так это выглядело вчера вечеромК утру он отковырял всю корочку и выглядело это такСейчас обрабатываю 3-4 раза в день хлоргекседином, потом левомеколью. Все жердочки протерла хлоргексидином. Пыталась обвязать жердочки джутовой веревкой, но он в ужасе убежал с жердочек и 3 часа висел на решетки клетки, уцепившись клювом и лапами. Пришлось снять веревку. Подскажите, что делать, чтобы это зажило - может, еще какая ранозаживляющая мазь нужна. Читала, что нужно мазать ретинолом (витамином А), еще попадалась информация, что после мирамистина нужно обрабатывать смесью дицинона (30 мл) и 2 % новакаина (30 мл). Помогите, пожалуйста. Думаю, что он не становится на правую лапу именно из-за намина. Пока опухоли его не очень беспокоят (только проблемы с левой лапкой). Хочется, чтобы то время, которое ему осталось, он прожил без дополнительных проблем, чтобы хоть одна лапка работала. Очень прошу помощи, сама уже плохо сплю и нервничаю.
Delfin Опубликовано 7 мая, 2015 #27 Опубликовано 7 мая, 2015 (изменено) витамином НЕ мазать рану! Позвоните луше Зосе или Полосатой. Изменено 7 мая, 2015 пользователем Delfin
Томашевский А.Л. Опубликовано 8 мая, 2015 #28 Опубликовано 8 мая, 2015 Давать обезболивающие и противовоспалительные. Противовоспалительные - ибупрофен. Только я не поняла - давать и ибупрофен и какое-то обезболивающее (например, мовалис), или и то, и другое, или чередовать ибупрофен и мовалис (ведь ибупрофен больше 5-6 дней без перерыва давать нельзя)? Чего-то я не пойму...зачем 2а нпвс??
Charlemagne Опубликовано 8 мая, 2015 Автор #29 Опубликовано 8 мая, 2015 Чего-то я не пойму...зачем 2а нпвс?? Вопрос в том, как долго можно давать ибупрофен. И что давать потом – мовалис? А после 25–30 дней мовалиса опять вернуться на ибупрофен?
Томашевский А.Л. Опубликовано 8 мая, 2015 #30 Опубликовано 8 мая, 2015 (изменено) давайте мелоксикам.все нпвс обладают нефротоксичностью, мелоксикам меньшее зло из возможного.если у птицы опухоль и простите она на "доживании" то мелоксикам постоянно, либо 2 недели и посмотреть период ремиссии Изменено 8 мая, 2015 пользователем LIL-BUCC
Рекомендуемые сообщения
Для публикации сообщений создайте учётную запись или авторизуйтесь
Вы должны быть пользователем, чтобы оставить комментарий
Создать аккаунт
Зарегистрируйте новый аккаунт в нашем сообществе. Это очень просто!
Регистрация нового пользователяВойти
Уже есть аккаунт? Войти в систему.
Войти