Перейти к содержанию
Место для вашей рекламы

 

Рекомендуемые сообщения

Опубликовано

Подобрали голубя вчера вечером. У него словно парализована вся правая сторона. Сначала предположила травму. Осмотрела, ушибов, переломов нет. Глаза чистые. Зрачки на свет реагируют. Клюв чистый. Запаха нет. От еды отказывается, пьет много. Слабый, голову держит с трудом. Помет жидкий ярко-зеленый. На суставе правого крыла (которое не работает) небольшая шишка. Утром накормила насильно. К вечеру зоб опустел наполовину. На первом фото помет за день, он его растоптал. Вечером и утром дала нистатин. Из антибиотиков есть амоксиклав и цефтриаксон.

20250115_182240.jpg

20250115_180510.jpg

20250115_174229.jpg

20250115_174225.jpg

Опубликовано

высохший помёт кристаллами не блестит?

27 минут назад, AnterA сказал:

з антибиотиков есть амоксиклав и цефтриаксон.

да начните амоксиклав

Цитата

 В 04.09.2022 в 13:11, Анна1972 сказал:

Амоксициллин + Клавулановая кислота

Торговые названия: Амоксиклав®, Амоксиклав® Квиктаб, Амоксил, Аугментин, Бетаклав, Клавомокс Медоклав, Фемтоклав Солютаб, Панклав, Ранклав, Равиклав, Экоклав, ветеринарный Амоксигард, ветеринарный Амоксибаг, ветеринарный Клавил, ветеринарный Кламоксан, ветеринарный Летамоксиклав, ветеринарный Синулокс

Базовая дозировка и кратность: 250 мг/ кг/ сутки, разбить на 2 приема

 

Таблетки 250+125 мг  
Таблетку развести в 5 мл воды ( 1 мл=50 мг)

 

Таблетки 500+125 мг 
1/2  Таблетки развести в 5 мл воды(1 мл=50 мг)

 

Таблетки диспергируемые 125+31,25 мг Таблетку развести в 2,5 мл воды (1 мл=50 мг)

 

Таблетки диспергируемые 250+62,5 мг Таблетку развести в 5 мл воды (1 мл=50 мг)

 

Таблетки диспергируемые 500+125 мг  1/2 Таблетки развести в 5 мл воды (1 мл=50 мг)

 

Из инсулинового шприца с делением на 100 без иглы споить в клюв дозу маленькими порциями что бы птица не захлебнулась.

 

На вес птицы ( взвесить на электронных весах )

 

150 г. в сутки 0,75 мл, по 0,38 мл два раза в день

 

200 г.  в сутки 1 мл, по 0,5 мл два раза в день

 

250 г.   в сутки 1,25 мл, по 0,63 мл два раза в день

 

300 г.   в сутки 1,5 мл, по 0,75 мл два раза в день

 

Готовый раствор хранить в шприце с закрытым колпачком на дверце холодильника в течении 5 суток. Тщательно взбалтывать перед отбором дозы для спаивания в клюв.

 

ВНОВЬ ХОДИТЬ И БЕГАТЬ и Здоровья Вашему голубю! :fly:

Опубликовано
1 час назад, маленький принц сказал:

высохший помёт кристаллами не блестит?

Надо будет обратить внимание! 

Голубь достаточно крупный 380 граммов - надо 1,9 мл в сутки, верно?

Опубликовано

если с весом не ошиблись то да

11 часов назад, AnterA сказал:

У него словно парализована вся правая сторона

только ножка или крыло тоже?

 

ножку под перьями осмотрели и ощупали?

Цитата

отмывайте бесперьевую часть лапок
хорошее освещение,
смачиваете все перья от тазобедренных суставов до цевки и визуально осматривайте обе лапки
-сравнить
-прощупать суставы и мягкие ткани на предмет отёков,болезненности,повышенной температуры,уплотнений,повреждений кожного покрова,изменения цвета и тд.
- сравнить подвижность в суставах,целостность костного аппарата.
-проверить хватательный рефлекс -(фиксируем птицу лицом к себе одной рукой,лапы свободны) по очерёдности кладёте палец в расправленную лапку,ждёте хватательной реакции(обычно она у голубей не очень быстрая,но есть.сила средняя,по сравнению с попугаями,врановыми,певчими),повторяете то же самое со второй.сравниваете.
-когти (повреждения,травмы,перерост)
- внимательно отнестись к возможным перетяжкам на пальцах (кошачья,собачья шерсть,волосы,нитки и т.д.)
Если никаких изменений нет,патологий не нашли,исключайте вопросы общего характера
-нарушение обмена веществ
-патологии почек
-ушибы внутренних органов.

ВНИМАНИЕ при любых манипуляциях с птицей голову держать ВЫШЕ зоба чтобы случайно не захлебнулся содержимым
(если же нужно например для рентгена уложить птицу на спину то зоб должен быть пуст
для этого за три часа до переворачивания на спину НЕ кормить и НЕ поить)

кости и суствы (включая тазобедренный) которые Вы должны ощупать и осмотреть под перьями

Цитата

20200705_153959.jpg

 

Опубликовано

Ножка и крыло. Повреждений нет. Тонус у ножки слабый, она теплая, немного на прикосновение реагирует, но она не слушается. Если поставить на пол падает на бок и на спину. Крыло не висит, но тоже он им не владеет. 

Подскажите, пожалуйста, когда можно определить работает антибиотик или нет? Сейчас даю амоксиклав, нистатин, карсил. Пока без изменений. Очень слабый, много пьет, кормлю насильно.

Фото утреннего помета.

20250116_053400.jpg

Опубликовано

Работа антибиотика обычно видна примерно ближе к концу первой недели лечения

Осмотрите позвоночник под перьями нет ли где синяка 

Опубликовано

Все-таки скорее всего травма.

Пуля или удар.

Нужен рентген конечно.

Пока к а/б добавляем ибупрофен в сиропе, 0,2 мл на каждые полные 100 гр веса птицы, вместе с кормом. Разбить на 2 приема.

Не долее 6 дней.

Опубликовано

Благодарю! Попробую на выходных в ветлечебницу сходить. Но могут не принять, не жалуют у нас голубей. Может хотя-бы анализы сдадим. Специалистов-орнитологов в городе нет точно.

Опубликовано

Осмотрела еще раз внимательно. Визуально травм нет. Оперение везде целое, синяков, ран нет. Шишка на крыле вроде немного увеличилась. Помет, кажется, немного лучше стал, меньше зелени. Но сам голубь очень слабый. Голову держать не может, закидывает на спину. На здоровой лапе пытается стоять, в коробке я его обложила со всех сторон бумажными полотенцами, чтобы опора была.

20250116_165216.jpg

Опубликовано

рентен нужно в двух проекциях сверху и сбоку и позвоночник и ноги и крыло

ВНИМАНИЕ за три часа до рентгена НЕ поить и НЕ кормить чтобы при манипуляциях не мог захлебнуться содержимым зоба

Опубликовано

Завтра едем на рентген. Заодно хочу сдать помет на анализ. Подскажите, пожалуйста, на какие инфекции, кроме сальмонеллеза стоит сдать?

Еще догадка посетила - не инсульт ли у него? Наткнулась на видео о попугае с инсультом, очень похоже...

Опубликовано

если сдаёте на сальму то лучше указывать не своё ФИО и адрес если Вы не юрист и не ветеринар способный доказать что правила для птицеферм к домашним питомцам не относятся

(амоксиклав если что работает по сальме и я бы на Вашем месте на сальму бы не сдавал)

Опубликовано

Ого, я не знала! Лучше не буду рисковать.

Опубликовано

помёт можно сдать на бакпосев и на посев грибов с определением чувствительности к лекарствам + копрограмма https://www.mybirds.ru/forums/topic/122899-chto-takoe-koprogramma/

Опубликовано

Добрый день! Были на рентгене. Травм не обнаружили. Есть застойные явления в легких, возможно, из-за отсутствия движения. Рентгенолог сказала, судя по симптомам, нельзя исключать менингит.

Анализы сдать не удалось - лаборатория сегодня не работает. И еще надо уточнять, какие анализы они делают, а какие нет, сказали - далеко не все.

 

00072939.jpg

00072938.jpg

00072937.jpg

Опубликовано

Доброе утро! Наш сегодняшний помет выглядит так. Состояние без изменений.

20250119_055715.jpg

При прощупывании зоба появилась "пластилиновость". Грибок? Нистатин не справляется?

Опубликовано
2 часа назад, AnterA сказал:

При прощупывании зоба появилась "пластилиновость". Грибок? Нистатин не справляется?

похоже на то :(

если голубь взрослый (фото лица голубя не показали) начните флукуназол

если малыш то лучше итраконазол

Опубликовано

дозировки на флукуназол помните?

Опубликовано

что для печени к флукуназолу даёте?

Опубликовано

Карсил. Пока все.

Еще гепатовет есть дома. Пока не давала.

Опубликовано

У нас все без изменений. По-прежнему не ест. Жажда, правда, прошла. Теперь он и пить сам не хочет. Вливаю воду из шприца. Мне кажется, лечение не помогает((

20250120_174613.jpg

20250120_052452.jpg

Опубликовано

Рентген никакого качества.

Кроме "матового стекла" в легких и почти полностью не проглядываюшегося целома- сказать ничего не могу.

И как ставят менингит, если нет снимка черепа...

 

Опубликовано

@AnterA какие новости? рентген смогли переделать?

Опубликовано

@маленький принц Добрый день! Без изменений пока. Я в эти выходные работаю, рентген смогу сделать только в следующие. Попробую в другую клинику свозить. Насчет анализов узнала - у нас их не делают. Сказали, можно почтой в Москву отправить. Но есть ли смысл? Лично мне кажется, это вертячка у нас. Почитала темы здесь на форуме, есть похожий на наш случай с частичным параличем. Там именно вертячка. 

Опубликовано

пирацетам и прочее лечение от вертячки не помешает

Опубликовано

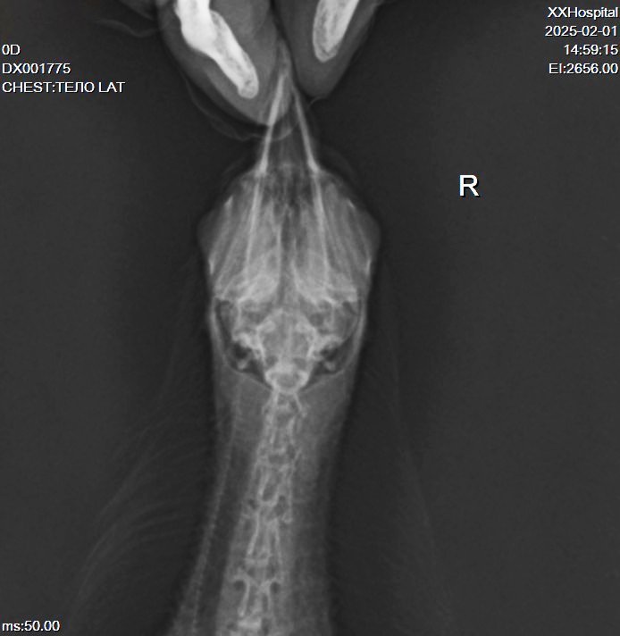
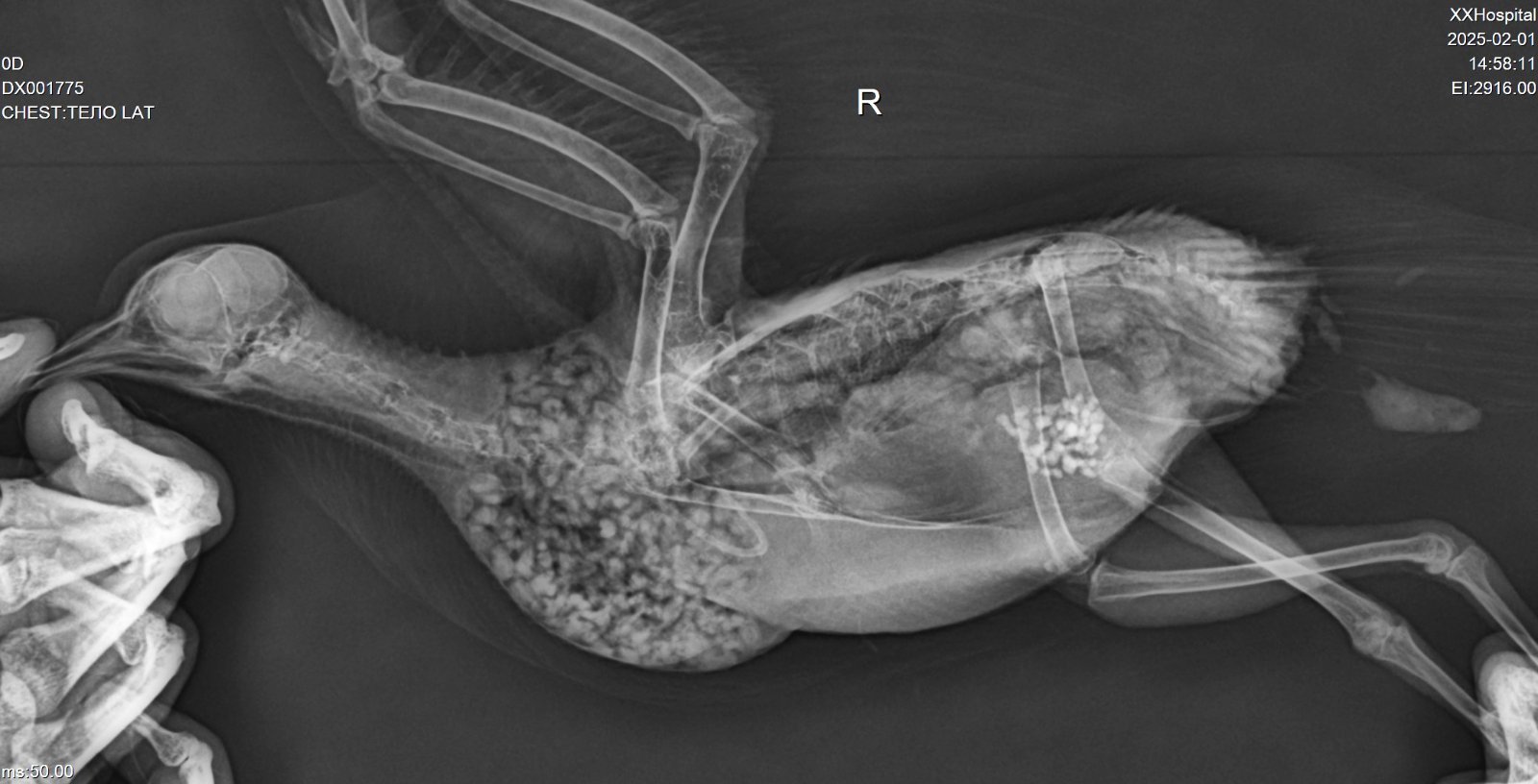
Вечер добрый! Мы наконец повторили рентген. @Zosia не могли бы взглянуть, пожалуйста? 

 

DX001775_1.jpg

DX001775_2.jpg

DX001775_3.jpg

DX001775_4.jpg

Лапа и крыло без изменений. Сам не ест. Помет на сегодняшний день.

photo_2025-02-01_18-39-33.jpg

Опубликовано

На снимке странно выглядит зона,где должен находиться коракоид. Возможно имеем его перелом. Если это так- то понятно отсутствие возможности летать и общая вялость,т.к. это чрезвычайно болезненный перелом и опасный...

Почему на правом крыле вы видите "шишку"- непонятно. Внешне сустав (локтевой) правого крыла без изменений.

 

Вообще все положение тела птицы несколько "скособочено" вправо... возможно был плоский удар (машина), и имеются отечные явления

,посттравматические.

Из-за несколько скривленного положения тела на латеральной проекции (праволатеральная) позвононик странно расположен, "фрагментарно", с S-образным изгибом.

Поэтому вопрос- птица какает нормально? Т.е. стандартно порциями, а не постоянным изливом фекалий?

Череп на ВД снимке без патологий.

 

На лат проекции есть некие объекты, в зоне гонад/яичника, больше похожие на гранулемы яичника .

 

Пока кроме продолжения терапии НПВС, миорелаксантами, витаминами В6 и В12, источниками кальция- нечего добавить (по части преджполагаемой травмы).

Из общей терапии (противомикробной)- вы курс метронидазола наверное уже пропили, не помню- пили ли энтерофурил (если не пили- пропить).

 

 

 

 

Опубликовано

@Zosia Огромное спасибо!!! Какаем нормально, с этим проблем нет! Шишка у на здесь (отметила кружочком) 

Он "бережет" правую лапу, если наступает, то на кулачек. Или держит на весу. На правой стоит нормально. Правое крыло тоже не рабочее. Иногда, если перенервничает, закидывает голову назад, вплоть до кувырков на спину. В спокойном состоянии голову держит ровно. Энтерофурил не пили. Приняла к сведению!

IMG_20250202_152430_968.jpg

Для публикации сообщений создайте учётную запись или авторизуйтесь

Вы должны быть пользователем, чтобы оставить комментарий

Создать аккаунт

Зарегистрируйте новый аккаунт в нашем сообществе. Это очень просто!

Регистрация нового пользователя

Войти

Уже есть аккаунт? Войти в систему.

Войти
  • Последние посетители   0 пользователей онлайн

    • Ни одного зарегистрированного пользователя не просматривает данную страницу

×
×
  • Создать...
промокоды букмекерских контор
© MyBirds.ru, 2003 - 2025

Все материалы данного сайта, в том числе структура расположения информации и графическое оформление (дизайн), являются объектами авторского права. Копирование информации на сторонние ресурсы и сайты сети Интернет, а также любое иное использование материалов сайта без предварительного согласия правообладателя НЕ ДОПУСКАЕТСЯ.

При копировании материалов сайта (в случае получения согласия правообладателя), размещение активной индексируемой гиперссылки на сайт обязательно.