Перейти к содержанию
Место для вашей рекламы

 

Серая ворона. Сломана лапа и вывих? План лечения.


Рекомендуемые сообщения

Опубликовано (изменено)

Выхоженная мною серая ворона живёт уже 2 года с нами. После долгих прогулок в парке она стала улетать туда с балкона и садиться на верхушках деревьев. А когда приходили забирать она завидев хозяина спускалась вниз и важно расхаживала по парку. После очередного такого вылета мы пошли забирать ворону и обнаружили её на земле лежащей плашмя, в шоковом состоянии. Дома обнаружилось что левая лапа неестественно вывернута в сторону. Через пару часов уже были в вет клинике.

 

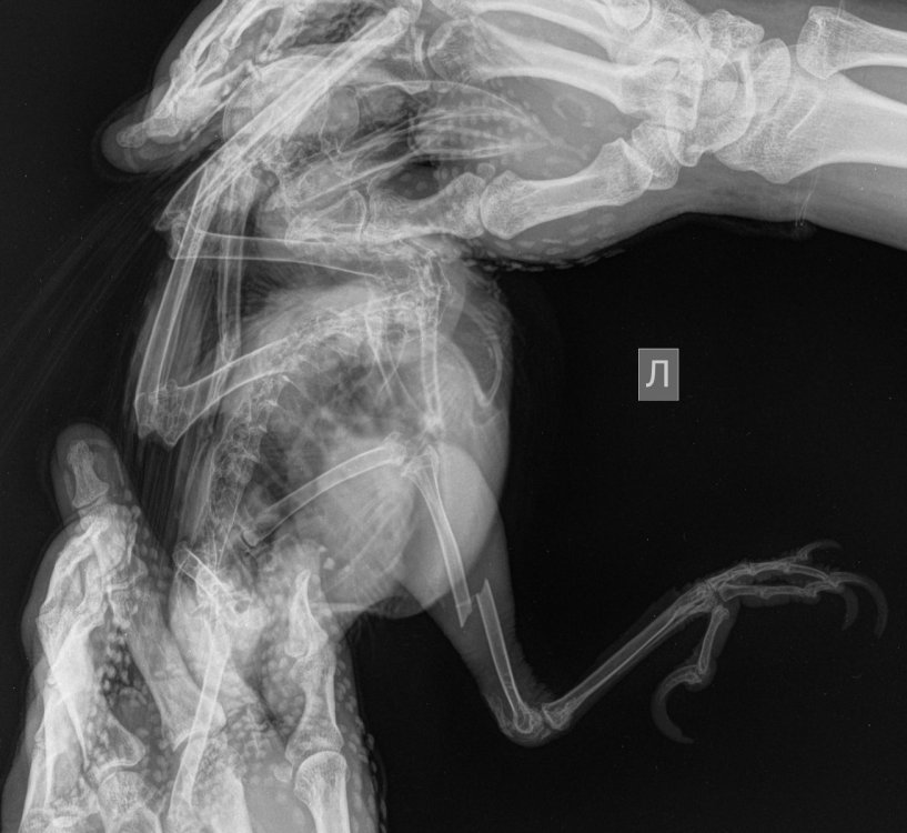
Сделан рентген, обнаружен закрытый перелом берцовой кости и наложена лангетка. На днях будем делать повторно и решать вопрос о необходимости установки спиц (остеосинтез). На шею птице одел защитный ошейник (иначе моментально начинает рвать лангетку на лапке), держится свободно туда даже палец проходит.

 

Есть несколько вопросов (выделил жирным их).

 

  • ветеринар сказал что птицам не рекомендован инъекционный наркоз, а респираторный не всегда действует должным образом. мол бывали случаи когда птица и вовсе не засыпала. так ли это и как проводить операцию если наркоз не подействует?
  • установка спиц в тот же день не рекомендована из-за сильной отечности. выписано НПВС "мелоксикам" 7,5мг 1/8 табл в день (ворона весит 500гр). через неделю спицы можно будет ставить или это много?
  • даже с лангеткой ножка сильно выгибается наружу, подвижность больше чем у здоровой. я подозреваю также вывих сустава тазобедренного. как проверить ножку на вывих? это может сделать врач ощупывая или вывих можно увидть на рентгене?
  • пальцы на ножке совсем не двигаются. обмякли. пишут что при переломе это должно пройти уже через несколько дней при правильной лангетке или спицах. что это может означать?
  • лангетка установлена только на бедренную кость а суставы не иммобилизованы. похоже птице больно опираться на эту ногу. нужно сделать г-образную шину на внешнюю сторону лапки и примотать её пластырем или оставить так?

 

Прикрепляю фото вороны, рентгена и лангетки.

 

Прошу специалистов прокомментировать рентген (есть однозначно видный вывих?).

photo_2024-11-02_17-28-16.jpg

241101 карлуша перелом.jpeg

если что рентген ДО наложения лангеты, сейчас как стоит кость неизвестно...

лангетка вороны.JPG

Изменено пользователем AFenix
Опубликовано

На сегодняшний день ворона пальцами сломанной ноги не двигает совершенно. Также очень похоже что ногу она не чувствует. Ножка мягкая, чуть холоднее здоровой, вялая. На прикосновения, сжатие пальчиков и лёгкий укол иголкой не реагирует - чувствительности нет :( Возможно врач перестарался с бондажом, а может что-то с нервами?

Попасть к врачу могу только в пятницу, но завтра также постараюсь попасть с утра к кому-нибудь. Лангетку снимать, понятное дело, нельзя - процесс заживления только начинается, есть надежда что кость стоит правильно. Узнаю это на рентгене.

 

Также есть вопрос - насколько вреден рентген для птицы и сколько снимков можно сделать? Скажем 2 проекции дважды (4 снимка) не опасно? всё таки, в отличии от человека, тут облчается не участок тела а весь орагнизм полностью.

Для публикации сообщений создайте учётную запись или авторизуйтесь

Вы должны быть пользователем, чтобы оставить комментарий

Создать аккаунт

Зарегистрируйте новый аккаунт в нашем сообществе. Это очень просто!

Регистрация нового пользователя

Войти

Уже есть аккаунт? Войти в систему.

Войти
  • Последние посетители   0 пользователей онлайн

    • Ни одного зарегистрированного пользователя не просматривает данную страницу

×
×
  • Создать...
© MyBirds.ru, 2003 - 2026

Все материалы данного сайта, в том числе структура расположения информации и графическое оформление (дизайн), являются объектами авторского права. Копирование информации на сторонние ресурсы и сайты сети Интернет, а также любое иное использование материалов сайта без предварительного согласия правообладателя НЕ ДОПУСКАЕТСЯ.

При копировании материалов сайта (в случае получения согласия правообладателя), размещение активной индексируемой гиперссылки на сайт обязательно.