Arkasha18 Опубликовано 12 марта, 2023 #1 Опубликовано 12 марта, 2023 Подскажите это нормально или нет что стул такой у птицы. Купил попугая недели 2-3 назад. Возраст 3 мес. Неделю докармливал смесью A19, но птица уже начала самостоятельно есть фрукты и сухой корм (Versele-Laga Prestige Premium African Parrot Loro Parque Mix). Думал в начале что возможно такой кал из-за стресса, смены обстановки, фруктов и смены питания. Попытался не чего не давать кроме сухого корма и вот дня 4-5 уже ест только сухой корм, но стул не меняется. Вопрос стоит ли переживать начинать? Добавлю что птица с виду здоровая, активная ни каких признаков болезни нет. пытается разговаривать. Я до этого разводил только Корелл, сравнивать могу только с ними.
Arkasha18 Опубликовано 13 марта, 2023 Автор #3 Опубликовано 13 марта, 2023 посоветуйте ветеринарку, советуемый на форуме ветеринар Беломытцева Наталия Владимировна больше недоступен ( нашел ее в контакте, она посоветовала след врачей > Наталия 15:13 Здравствуйте! Я больше не веду приём птиц. Можете обратиться на приём к доктору Спиридоновой Анне Владимировне (клиника Сотникова на Бухарестской 122 к2) или доктору Носовой Анне Павловне (клиники Челси и Котова) записался на четверг
амазон Опубликовано 15 марта, 2023 #4 Опубликовано 15 марта, 2023 (изменено) 12.03.2023 в 19:39, Arkasha18 сказал: птица с виду здоровая, активная ни каких признаков болезни нет. 12.03.2023 в 19:39, Arkasha18 сказал: это нормально или нет что стул такой у птицы. Думаю что все нормально. Что бы не переживать сдайте помет на анализы. Консистенция и цвет помета меняется от того чем кормите ... Изменено 15 марта, 2023 пользователем амазон 1
Arkasha18 Опубликовано 6 апреля, 2023 Автор #5 Опубликовано 6 апреля, 2023 в общем по итогу стул , то нормальный, то нет, прием доктора я тогда отменил, но тут он сильно заболеле и пришлось все таки отвезти, сделали рентген , взяли все анализы, не чего супер серьезного не нашли, но есть какие то на рентгене не пятна, сказали что это может быть ошибка ...нашли каието в помете грибы ...или что то там такое...в общем прописали всякого + антибиотик...и смотреть динамику надо сказали.
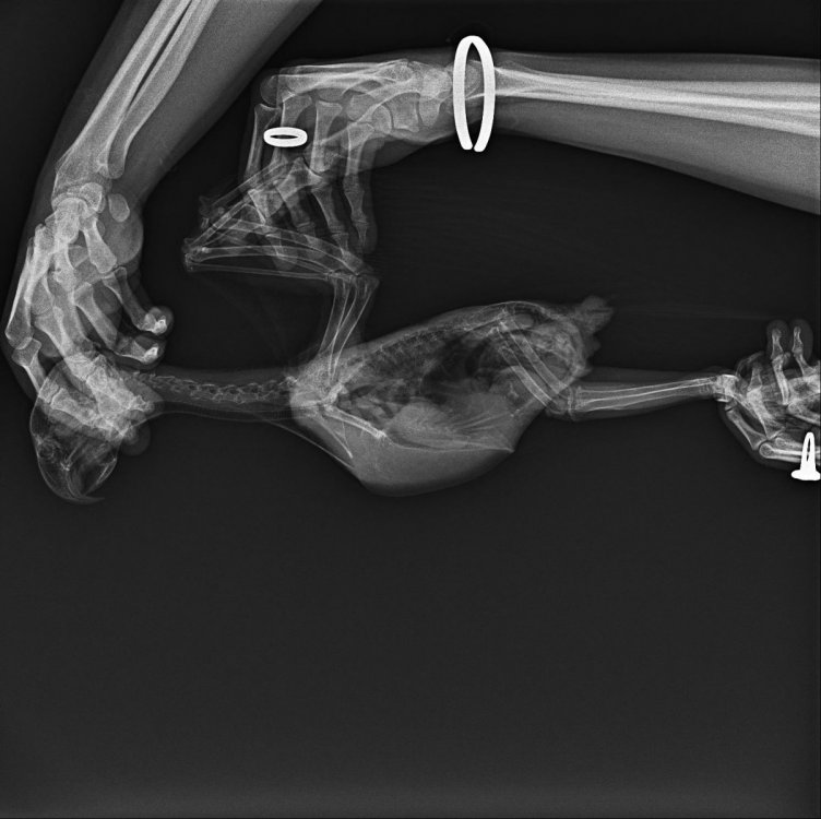
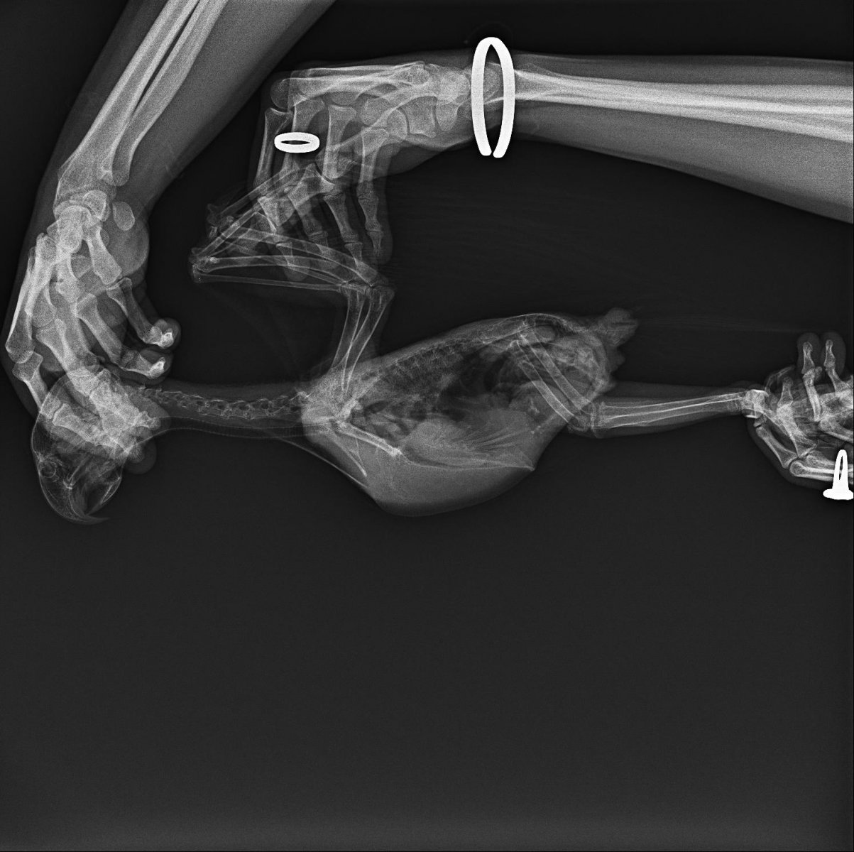
Arkasha18 Опубликовано 20 апреля, 2023 Автор #6 Опубликовано 20 апреля, 2023 Птица умерла ( только смог отойти от истории этой что бы что то написать. Куплена была птица у Андрея Михайлова возрастом 3 мес, на вторую неделю вот тут я писал что стул не нравится. но признаков болезни не была. птица была активная. Заводчик отговорил нести к доктору мотивировав что там его заколят, будет только хуже. через неделю птица простыла. я купил лампу ИК и черз два дня все прошло. Примерно через месяц после покупки попугая он опять заболел. пытались под лампой держать в отдельной комнате с теплыми полами. на третий день было понятно что что то серьезное. Он перестал кушать. сидел в низу клетки. понесли к доктору. были сделаны анализы. снимки. выписаны антибиотики. вечером мы его по поили антибиотиками. утром он был очень слаб уже. решили немного его покормить кашей 7 злаков без добавок со шприца. 5 кубов где то скормил. в 12 дня птица умерла. Вес был нормальный 500г. когда заболел скинул до 450 не уследил за какой период. Во всей этой истории очень грустно отношение ветеринаров. не хочу вдаваться в подробности но столько гадости в наш адрес было сказано что я в шоке. что нам птицу доверять нельзя и т/п/ я если честно в шоке. Заводчик отказался от компенсаций и отрекнулся тоже от происходящего. История ужасная еще тем что у меня жена беременная сильно все это переживала. я очень хочу купить еще одного птенца. теперь уже с анализами всеми и карантином как положено. но очень боюсь что повториться ситуация. это просто будет невыносимо. мы очень сильно горевали и до сих пор слезы наворачиваются. на видео последние минуты жизни ( вскрытие мы отказались делать потому что это и так было все сложно очень для нас. Посоветуйте как покупать новую птицу? где покупать. как обезопасить себя от таких ситуаций. рентген
Какаду Гала Опубликовано 20 апреля, 2023 #7 Опубликовано 20 апреля, 2023 Сочувствую Вам.Обвинять кого-то без доказательств не стоит. Я тоже лечила свою птицу .Очень сложно это всё.Кормила через зонд,давала лекарства со шприца,понимая,что малейшая моя ошибка и ее может не стать у меня на руках.Попадет не туда и птица может погибнуть сразу или через время.И при ухудшении ее самочувствия ехала к врачу,каждый раз.Это её и спасло. Пусть пройдет время,потом решите.
Какаду Гала Опубликовано 20 апреля, 2023 #8 Опубликовано 20 апреля, 2023 4 часа назад, Arkasha18 сказал: Посоветуйте как покупать новую птицу? где покупать. как обезопасить себя от таких ситуаций. И ещё я бы очень не советовала заводить попугая к маленькому ребенку.Даже опустив то,что один и другой требует всё ваше внимание и уход,я при всей моей огромной любви к животным,узнав ,что беременна в своё время,не стала никого заводить после смерти моей старой собаки,потому что мои знакомые отдавали кошек и собак по причине действительно сильной аллергии у детей.И правильно сделала, ту породу,которую я хотела взять, пришлось бы отдать в любом случае.А у жако очень много пудры.
Irinkaa Опубликовано 20 апреля, 2023 #9 Опубликовано 20 апреля, 2023 5 часов назад, Arkasha18 сказал: Птица умерла ( только смог отойти от истории этой что бы что то написать. Посоветуйте как покупать новую птицу? где покупать. как обезопасить себя от таких ситуаций. @Arkasha18 , здравствуйте! Сочувствую. Если готовы приехать в Москву за попугаем, вернее в ближайшее Подмосковье, Пушкинский район, то можете связаться (созвониться) с Евгением Шенцовым. Питомник крупных и средних попугаев Toucan https://toucan.ru/. Владельцы Евгений и Марина Шенцовы. Собственное разведение. Питомник зарегистрирован ГосВетСлужбой, и находится под ее контролем. Жако, эклектусы, амазоны, сенегальские, конголезские, александрийские, пирруры, сливоголовые и другие виды. (495) или (985) 222 22 три шесть, 2222236@mail.ru Подросли птенцы: - краснохвостых жако, - пирруры. Профиль на Форуме: https://www.mybirds.ru/forums/profile/14822-marinas/
Arkasha18 Опубликовано 20 апреля, 2023 Автор #10 Опубликовано 20 апреля, 2023 Спасибо, подумаю..надо дезинфицировать старую клетку еще
Arkasha18 Опубликовано 27 апреля, 2023 Автор #11 Опубликовано 27 апреля, 2023 купили девочку в питомнике Toucan. новая клетка. новые игрушки. второй день птица не может прийти в себя. не кушает. переживаем. пытаемся ее не тревожить
EugenyS Опубликовано 27 апреля, 2023 #12 Опубликовано 27 апреля, 2023 10 минут назад, Arkasha18 сказал: купили девочку в питомнике Toucan. новая клетка. новые игрушки. второй день птица не может прийти в себя. не кушает. переживаем. пытаемся ее не тревожить Создайте нормальные комфортные условия. Нужно не переживать, а делать.
Arkasha18 Опубликовано 27 апреля, 2023 Автор #13 Опубликовано 27 апреля, 2023 так создаем, с предыдущим попугаем просто таких проблем не было, вот и переживаем
Arkasha18 Опубликовано 27 апреля, 2023 Автор #14 Опубликовано 27 апреля, 2023 (изменено) мне кажется она просто не умеет кушать сухой корм...потому что я если сажусь с ней грысть эти семечки, она с удовольствием есть очищенные, но сама не может додуматься как их чистить. фрукты немного совсем ест с рук, но видно что ей они не заходят, мандарины и яблоки , возможно она просто привыкла к другим сортам, попробуем сегодня купить другой сорт. гречка такая же история, кушает пару крупинок с рук и все, когда подносишь блюдце, отворачивается, но с рук что то клюет не много Изменено 27 апреля, 2023 пользователем Arkasha18
EugenyS Опубликовано 27 апреля, 2023 #15 Опубликовано 27 апреля, 2023 22 минуты назад, Arkasha18 сказал: мне кажется она просто не умеет кушать сухой корм... Неправда. 22 минуты назад, Arkasha18 сказал: потому что я если сажусь с ней грысть эти семечки, Зачем? 23 минуты назад, Arkasha18 сказал: но сама не может додуматься как их чистить. Неверно, мы НЕ отдаем несамостоятельных птенцов, тем более что ребенку почти 5 мес. 24 минуты назад, Arkasha18 сказал: фрукты немного совсем ест с рук Зачем? Мы разве говорили, что НУЖНО кормить с рук? 25 минут назад, Arkasha18 сказал: мандарины и яблоки , А где овощи? Почему только яблоки и мандарины? 25 минут назад, Arkasha18 сказал: гречка такая же история, кушает пару крупинок с рук и все, когда подносишь блюдце, отворачивается, но с рук что то клюет не много ЗАчем? подносить блюдце? Аркадий, вы были не готовы забрать птенца – клетка не оборудована, место не подготовлено. Ребенок целый день просидел без нормальных жердочек, после переезда, в новом месте, в низко поставленной клетке, а вы переживаете, что она не ест… Вы не справляетесь с птенцом, вы не чувствуете малышку. Вы с трудом воспринимаете советы. Вы делаете совсем не то, о чем мы говорили при передаче птенца. Поэтому еще раз публично предлагаю вернуть птенца. Перевозку из Тихвина к нам и переноску, в которой она приедет, мы оплатим. Можно отправить на поезде Архангельск-Москва, попросив проводника, или через Бла-бла-кар (в пределах Москвы и северо-восточной части Московской области встречу). 1
Arkasha18 Опубликовано 27 апреля, 2023 Автор #16 Опубликовано 27 апреля, 2023 2 минуты назад, EugenyS сказал: Зачем? затем что она вообще не ест уже третий день. а так есть. 2 минуты назад, EugenyS сказал: Зачем? Мы разве говорили, что НУЖНО кормить с рук? печеньки с рук кормим же, вы говорили так кормить...фрукры не ест если лежат, соот-но либо она их не ест либо вот немного с рук ест. не кормить вообще ? только печеньками кормить ? да это жесть 4 минуты назад, EugenyS сказал: А где овощи? Почему только яблоки и мандарины? напишите пжл еще раз рекомендации чем кормить будет полезно думаю всем. 4 минуты назад, EugenyS сказал: ЗАчем? подносить блюдце? ну потому что сама она вообще к нему не подходит, не кормить ?
EugenyS Опубликовано 27 апреля, 2023 #17 Опубликовано 27 апреля, 2023 11 минут назад, Arkasha18 сказал: напишите пжл еще раз рекомендации чем кормить будет полезно думаю всем. Такие рекомендации у вас есть в памятке, об этом говорили при передаче, и много раз написано на этом форуме Мариной (MarinaS). Форум, вы видимо - не читали. Возвращайте птенца пожалуйста, не мучьте ее.
Arkasha18 Опубликовано 27 апреля, 2023 Автор #18 Опубликовано 27 апреля, 2023 (изменено) 1 час назад, EugenyS сказал: Возвращайте птенца пожалуйста, не мучьте ее. мы выполняем все ваши рекомендации..перестаньте писать не правду , кто ее мучает , с вами постоянно на связи моя жена на сколько я знаю 8 часов в дороге это не самое лучшее решение, не lzk моей беременной жены, не для меня не для птицы Изменено 27 апреля, 2023 пользователем Arkasha18
EugenyS Опубликовано 27 апреля, 2023 #19 Опубликовано 27 апреля, 2023 Аркадий, за день до вас птенец жако (сидели вместе с вашей девочкой) уехал в Симферополь, 2000 км, 2-е суток в пути. Новая семья пишет - "... потихоньку осваивается. Кушает хорошо, хотя от каши отказался. Фрукты, овощи, смесь - нормально. Особенно смесь. Вчера ближе к вечеру разыгрался, бегал по клетке, ползал по стенкам. Выпускали, немного полетал. На ручки пока не дается, начинает шуметь, поэтому мы не настаиваем." Вот они выполняют наши рекомендации, поэтому проблем нет.
Arkasha18 Опубликовано 27 апреля, 2023 Автор #20 Опубликовано 27 апреля, 2023 вот что бы было все прозрачно и не говорили что мы не выполняем ваши рекомендации , давайте общаться тут прозрачно, я сегодня подготовлю фотки, и текст того что вы рекомендовали, а вы скажете что не так делаем
EugenyS Опубликовано 27 апреля, 2023 #21 Опубликовано 27 апреля, 2023 Хорошо, давайте начнем с вечера 25 апреля, как вы привезли ребенка домой.
MarinaS Опубликовано 27 апреля, 2023 #22 Опубликовано 27 апреля, 2023 (изменено) Имейте в виду, что частную переписку нельзя выкладывать на этом форуме, все равно модераторы удалят. Изменено 27 апреля, 2023 пользователем MarinaS Евгений и Марина Шенцовы. Крупные и средние попугаи. Собственное разведение. Питомник зарегистрирован ГосВетСлужбой, и находится под ее контролем. Жако, эклектусы, амазоны, сенегальские, конголезские, александрийские, пирруры, сливоголовые и другие виды. (495) или (985) 222 22 три шесть, 2222236@mail.ru Подросли птенцы: - краснохвостых жако, - пирруры.
Arkasha18 Опубликовано 27 апреля, 2023 Автор #23 Опубликовано 27 апреля, 2023 6 минут назад, MarinaS сказал: имейте в виду, что частную переписку нельзя выкладывать на этом форуме, все равно модераторы удалят пожалуйста не надо негатива только, у меян есть ум и лишнего я не выложу, я тут преследую только одну идею - это навести порядок с попугаем, я тоже очень волнуюсь по этому поводу, и не только из-за тех 400к которые я вложил в птиц. у меня нет задачи кого то опорочить ,у меян есть задача справиться с ситуацией, разобраться, нам не повезло или что то мы делаем не так. Мы не можем на 100% воссоздать такие же условия как у вас, считаю это нормально, соот-но надо всем вместе сесть и подумать что можно сделать что бы не допустить непоправимого. и так что мы имеем, мы ехали 9 часов дороги с попугаем, проблем не было, в пути как и рекомендовали вы покормили его печеньками 3-4 штуки, привезли его домой в 9 вечера, начали собрать клетку которую вы рекомендовали купить кредо 074, к 10 , так как от старого попугая мы все жердочки выкинули, осталась только одна матерчатая которая кипятилась пол часа, ее и повесили , вы сказали что клетка не должна стоять на полу, для нас это было неожиданностью так как у нас нет мебели в квартире в связи с переездом, нашли какие то колонки под нее и поставили на них (вы тоже их заброковали но к сожалению альтернатив на данный момент нет, только старая клетка поноценная MONTANA Cages "Finca Dome", от старого попугая), вы так же забраковали , но альтернатив нет. Так же поилки и кормушка, которые вы заброковали, и сказали на дно блюдце положить, мы положили тарелку , но она стала переворачиваться, положили в итоге стеклянную тяжелую тарелку. Ну и пошли с вашей стороны обвинения что мы не можем создать подходящие условия, возвращать попугая и т.п.. Я на след день пошел спилил жердочки березовые и положил крест на крест как вы рекомендовали, предварительно их ошпарив и почистив счеткой. как и писал выше из фруктов даем яблоки и мандарины. до магазина еще не доехать было, так как вчера было плохо жене и не до этого было. вот сейчас собираюсь поехать в магазин за фруктами. но ни один кусочек она не скушала, бегает только как бешеная по клетке и кричит на нас. (если спать не хочет) и так есть только печеньки ваши, что мне не нравиться, но я делаю как вы говорите, утром 2-3 штуки, в обет 2-3 шутки и вечером так же, перестаёт есть сама, отворачивается. Накрыта полотенцем по вашей рекомендации так же.. сегодня 27 число, мы перенесли клетку из изолированной комнаты где ее не чего не тревожило, в мой кабинет, решили провести эксперимент может ей не хватает компании. Теперь соот-но все вот описал от фотографировал, жду ваших рекомендаций что делать, вы рекомендуете мне делать точно так же как у вас, но у нас нет точно таких же поилок и кормушек это надо понимать и заказать их если то это неделя минимум. кормить печеньками весь день мне кажется тоже не правильно, но тем не менее жена кормит, потому что меня она просто кусает.
EugenyS Опубликовано 27 апреля, 2023 #24 Опубликовано 27 апреля, 2023 (изменено) 1) Т.е. вы поехали за птенцом жако, не подготовившись, т.к. ребенка было высаживать по приезду некуда. 2) Для вас было новостью, что клетка не должна стоять на полу? У вас же были попугаи, по вашим словам … 3) Не «забраковали», а слишком низко. 4) Ребенок провел ночь в переноске … скорее всего – отсюда все и пошло (потому что у вас не было жердочек), стресс, волнение и пр. И так далее. Если я буду комментировать каждой ваше предложение, мне потребуется несколько часов, а их у меня нет. «бегает только как бешеная по клетке и кричит на нас. (если спать не хочет)» - ребенок в стрессе, что-то не так. Неудобно, некомфортно как минимум. Все рекомендации по установке и оборудованию клетки неоднократно написаны в Вотсап. Я вижу только фото, по нему сложно понять, что тревожит малышку. Вам предложено вернуть птенца, потому что вы не понимаете и не чувствуете малышку жако. Главная причина происходящего имхо - неготовность вашего дома к приезду ребенка жако, куда нужно было спешить? Изменено 27 апреля, 2023 пользователем EugenyS 2
Arkasha18 Опубликовано 27 апреля, 2023 Автор #25 Опубликовано 27 апреля, 2023 (изменено) с вашей стороны не конструктивный диалог, точно такое же как и в вацап, не имеющий не чего общего с помощью. поэтому вацап общение ограничено. 11 минут назад, EugenyS сказал: 1) Т.е. вы поехали за птенцом жако, не подготовившись, т.к. ребенка было высаживать по приезду некуда. не правда, я написал что ночь проведена была в клетке на колонках , была жердочка матерчатая, вы же не видете мои сообщения или не слышите, а только эмоциональный понос , простите. 11 минут назад, EugenyS сказал: 2) Для вас было новостью, что клетка не должна стоять на полу? У вас же были попугаи, по вашим словам … да, было новостью. так как клетка была куплена по вашей рекомендации...тем не менее не вижу смысла тут что то обсуждать, клетка была поднята сразу же в первый день на колонки, высота не на столько сильно разница с тем что мы видели у вас, 10-20 см не сильно играют роль, во всяком слуе не на столько что бы говорить что мы издеваемся над попугаем. 11 минут назад, EugenyS сказал: Неудобно, некомфортно как минимум. не не комфортно , а сравниваю с другими аналогичными попугаями, на много агрессивнее. простите за фразу если она не не уместная. 11 минут назад, EugenyS сказал: Вам предложено вернуть птенца, потому что вы не понимаете и не чувствуете ребенка жако. ни кто птенца не будет возвращать я вам не однократно говорил, у нас есть занятость своя, нам проще его продать будет, хотите помочь начинайте конструктивно помогать и не в вацапе где вы нас грязью поливаете, а тут конструктивно так что бы было прозрачно. Если через неделю не чего не поменяется и мы решим продавать. у вас будет возможность его выкупить обратно если так угодно, но везти я его не повезу. Еще раз повторяю у меня нет задачи кого то опорочить, у меня есть задача справиться ситуацией без эмоций и в правильном ключе, а не выслушивать эмоциональный негатив в нашу сторону. если не будет конструктивных советов, что я буду делать. 1 - дезинфицирую старую клетку , она хорошая, с прошлым попугаем проблем не было и точно в таком же виде только с новыми игрушками, кормушками перевезу туда попугая, я считаю причина в клетке на сегодняшний момент. 2 - если все это не поможет, попугай будет продан. Изменено 27 апреля, 2023 пользователем Arkasha18
EugenyS Опубликовано 27 апреля, 2023 #26 Опубликовано 27 апреля, 2023 (изменено) 3 минуты назад, Arkasha18 сказал: не в вацапе где вы нас грязью поливаете, Я вам разрешаю выложить скрин, где мы "вас поливаем грязью". 12 минут назад, Arkasha18 сказал: ни кто птенца не будет возвращать я вам не однократно говорил, у нас есть занятость своя, нам проще его продать будет Я готов найти кого-нибудь, чтобы забрать птенца как можно быстрее. Изменено 27 апреля, 2023 пользователем EugenyS 1
Arkasha18 Опубликовано 27 апреля, 2023 Автор #27 Опубликовано 27 апреля, 2023 разговаривали с Евгением по телефону, был поставлен ультиматум забрать попугая сейчас либо ни когда, мотивировав что характер поменяется у него и будет поздно даже через 2 дня. Я если честно не очень понимаю что происходит. Какие то странные ситуации у нас в жизни происходят. Еще раз я спросил в чем наша вина - нам сказали что мы не готовы, без аргументов. Ну что делать, остаться с проблемами один на один я не рассчитывал. Отдаем.
fishka Опубликовано 27 апреля, 2023 #28 Опубликовано 27 апреля, 2023 1 час назад, Arkasha18 сказал: Отдаем Это правильное решение. Что со стороны вижу - у Вас планируется пополнение в семействе и двух детей, требующих внимания, тем более конкурирующих, и не один год, Вам не потянуть. Сейчас не лучшее время, чтобы брать птицу. 1
Arkasha18 Опубликовано 27 апреля, 2023 Автор #29 Опубликовано 27 апреля, 2023 (изменено) 14 минут назад, fishka сказал: Это правильное решение. Что со стороны вижу - у Вас планируется пополнение в семействе и двух детей, требующих внимания, тем более конкурирующих, и не один год, Вам не потянуть. Сейчас не лучшее время, чтобы брать птицу. вот почему то людям свойственно ярлыки вешать не разбираясь в ситуации, вы же не знаете кто детьми будет заниматься, меня туда даже и не подпустят думаю первые пол года точно. там достаточно кому заниматься и без меня. тоже самое с питомника какой то мнение построили не понятное ...я предлагал докармливать со шприца, или смесями или нутрибердом, он тоже у меня есть, я не могу просто кормить без согласования. что бы потом говорили что это я виноват во всем , думаю что поменяю ник в след раз что бы не тянулась история негатива Изменено 27 апреля, 2023 пользователем Arkasha18
MarinaS Опубликовано 29 апреля, 2023 #30 Опубликовано 29 апреля, 2023 Ребенок вернулся домой. И сразу же отправился жратеньки..... 2 Евгений и Марина Шенцовы. Крупные и средние попугаи. Собственное разведение. Питомник зарегистрирован ГосВетСлужбой, и находится под ее контролем. Жако, эклектусы, амазоны, сенегальские, конголезские, александрийские, пирруры, сливоголовые и другие виды. (495) или (985) 222 22 три шесть, 2222236@mail.ru Подросли птенцы: - краснохвостых жако, - пирруры.
Рекомендуемые сообщения
Для публикации сообщений создайте учётную запись или авторизуйтесь
Вы должны быть пользователем, чтобы оставить комментарий
Создать аккаунт
Зарегистрируйте новый аккаунт в нашем сообществе. Это очень просто!
Регистрация нового пользователяВойти
Уже есть аккаунт? Войти в систему.
Войти