Перейти к содержанию
Место для вашей рекламы

 

У голубя самопроизвольно портятся перья хвоста


Рекомендуемые сообщения

Опубликовано (изменено)

Голубь подобран в ноябре, дважды был у врача в декабре.

Диагнозы - осколочный перелом крыла, перелом ключицы, вывих плеча, прогнозы на полёт осторожные, остеосинтез неецелесообразен.

Дополнительный диагнозы - глистная инвазия, кокцидии, пероеды.

В целом бодр и агрессивен.

Лечился антибиотиками, нистатином, иммобилизацией больного крыла, глистогонкой и специфичной глистогонкой от кокцидий на "ф".

Летает очень плохо, три метра пока рекорд.

Все лекарства давно пропил, курсы завершил в середине января.

Врач прописал брызгать спрей Больфо на ватную палочку, а затем намазать на темечко от пероедов раз в месяц. Получал это 22 декабря и 22 января.

Перьевые паразиты откровенно бегали по нему в первые дни, даже в миске с водой плавали. Но потом пропали.

 

Ест корм для средних попугаев, сейчас думаю купить корм для средних попугаев в период линьки, есть такой.

Гамарусом подкармливала, пока лечился.

 

Сейчас середина февраля, и у него как будто бы началась линька. Стал терять пух, иногда перья выпадают. 

Беспокоят перья в заду хвоста, они стали портиться, как будто срезаны. На кончиках маховых перьев крыльев - такие же повреждения, но поменьше. Что это может быть? До февраля месяца у него такого не было.

Не наблюдаю даже теоретической возможности для него как-либо вредить перьям чисто физически.

image.thumb.png.4f3ac2edb3fcdb18cc26c41c736a591d.pngimage.thumb.png.fcfaf4240903092269d551bd699ed3ea.pngimage.thumb.png.9950ad206c9b3fdd3ea990c83db72336.png

image.thumb.png.f50de09da17f685da629ca458fe04c6b.png

Изменено пользователем Altarielk
Опубликовано
3 часа назад, Altarielk сказал:

Диагнозы - осколочный перелом крыла, перелом ключицы, вывих плеча, прогнозы на полёт осторожные, остеосинтез неецелесообразен.

рентген есть? если да то выложите пожалуйста снимок

4 часа назад, Altarielk сказал:

Беспокоят перья в заду хвоста, они стали портиться, как будто срезаны. На кончиках маховых перьев крыльев - такие же повреждения, но поменьше. Что это может быть?

содержится ведь не в клетке?

(иногда бывает что птица ломает перья о прутья)

 

а ещё бывает что птица во время роста перьев плохо питалась

 

можно пожалуйста фото маховых перьев тоже?

Опубликовано

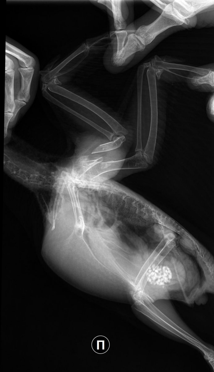
Рентген №1 - 08.121_3011977922r.thumb.jpg.1c03db7fd202f6f6e764bf55e9a4103d.jpg

 

1_3011977922r.thumb.jpg.1c03db7fd202f6f6e764bf55e9a4103d.jpg1_3011993622r.thumb.jpg.7575556377acddc5708415dfcdcf6558.jpg

 

Рентген контрольный - 22.12

1_3131795322r.thumb.jpg.d84909cef2a8ef1a6f8861285e32d1be.jpg1_3131813522r.thumb.jpg.2b83701bfbf4fd71082afc4022d192bd.jpg

 

Врач после второго рентгена говорила, что надежда ещё не потеряна, но скорее нет чем да, а если полетит, то не раньше чем через месяц. Прошло уже два, прогресс крайне мал (

48 минут назад, маленький принц сказал:

содержится ведь не в клетке?

(иногда бывает что птица ломает перья о прутья)

В клетке сидел с самого начала на иммобилизации, потом стал выгуливаться, сейчас днём вне клетки, ночью в ней. Он не особо осваивает комнату, выделил себе зону с едой и водой и редко её покидает, если не согнать.

49 минут назад, маленький принц сказал:

а ещё бывает что птица во время роста перьев плохо питалась

 

Раньше хвост точно не был таким измочаленным, это недавно.

49 минут назад, маленький принц сказал:

можно пожалуйста фото маховых перьев тоже?

Фото повреждений на маховых. Это здоровое крыло.

image.thumb.png.e2b5904b8a0e4d43c39e1e5410910f87.png

Опубликовано

рентген должна посмотреть @Zosia

5 часов назад, Altarielk сказал:

Диагнозы - осколочный перелом крыла, перелом ключицы, вывих плеча, прогнозы на полёт осторожные, остеосинтез неецелесообразен.

про кальций при переломе 

Цитата

 

  02.08.2021 в 16:49, Zosia сказал:

Для строительства костей- Остеогенон. Доза 15 мг/100 гр веса. Для голубя массой 250 гр-37,5 мг.Это примерно /20 таблетки (капсулы) в сутки.

Курс- 3-4 недели.

Крыло- в мягкую фиксацию (сетчатый трубчатый бинт).

Так же можно пропить вет.препарат Артрогликан или Гелабон- для хорошего формирования хрящевых тканей и суставной жидкости, т.к. травмированные дистальные участки кости нагружаются и работают неправильно. Там исходя из дозы 1 таблетка на 5 кг веса. 3-4 недели так же.

 

 

5 часов назад, Altarielk сказал:

Ест корм для средних попугаев, сейчас думаю купить корм для средних попугаев в период линьки, есть такой.

корм для попугаев жирный и потому его для голубей разбавляют пополам крупой

 

поищите в супермаркетах в отделах здорового питания или в веганских пшеницу или полбу (рожь НЕЛЬЗЯ)
основан корма ~50-60% пшеница/полба а остальное смесь круп:
гречка (лучше зелёная), мелкая чечевица, колотый горох, маш, овёс без кожуры (в кожуре и хлопья НЕЛЬЗЯ)

 

5 часов назад, Altarielk сказал:

у него как будто бы началась линька. Стал терять пух, иногда перья выпадают. 

для лучшего роста перьев в корм мелкую чечевицу и колотый горох

так же купите в зоомагазине кормовую серу

1dc6817773cb5c4843d25f74aeb69acd[1].jpg

Цитата

Сера в корм - 1 грам на 3 дня на голубя. 2 недели.

 

ВНОВЬ ЛЕТАТЬ и Здоровья Вашему голубю! :fly:

Опубликовано
2 часа назад, маленький принц сказал:

Для строительства костей- Остеогенон. Доза 15 мг/100 гр веса. Для голубя массой 250 гр-37,5 мг.Это примерно /20 таблетки (капсулы) в сутки.

Курс- 3-4 недели.

А ему стоит пропить это сейчас? Спустя три месяца после травмы, надежда ещё полностью не потеряна?

 

Перья деградируют из-за диеты и придут в норму при её коррекции? Это не паразиты?

Опубликовано
37 минут назад, Altarielk сказал:

А ему стоит пропить это сейчас? Спустя три месяца после травмы, надежда ещё полностью не потеряна?

насколько я понял перелом всё ещё заживает

49 минут назад, Altarielk сказал:

Перья деградируют из-за диеты и придут в норму при её коррекции?

скорее всего они сейчас линяют а ломаются из-за того что птица когда росли эти старые перья плохо питалась

50 минут назад, Altarielk сказал:

Это не паразиты?

если Вы пишете что паразитов больше нет

9 часов назад, Altarielk сказал:

Перьевые паразиты откровенно бегали по нему в первые дни, даже в миске с водой плавали. Но потом пропали

 

Опубликовано

Вот перо моей голубки, пострадавшее от пухопероедов:

1676837691996.thumb.jpg.37912255bec8d9c96035d3eb0828956e.jpg

Опубликовано
10 часов назад, маленький принц сказал:

если Вы пишете что паразитов больше нет

Их больше не видно глазом. Врач сказал, это ещё не означает, что их нет (только обратное верно).

Те, которых было видно, были прямо огромные, размером со среднего жука.

 

Обработки Больфо раз в месяц на темечко достаточно, чтоб быть относительно спокойной и списывать всё на ломку перьев при линьке?

 

11 часов назад, маленький принц сказал:

скорее всего они сейчас линяют а ломаются из-за того что птица когда росли эти старые перья плохо питалась

Здорово, если так. Большое спасибо за советы по диете, скорректирую.

 

 

Опубликовано (изменено)
8 часов назад, Altarielk сказал:

Обработки Больфо раз в месяц на темечко достаточно, чтоб быть относительно спокойной и списывать всё на ломку перьев при линьке?

если он не общается с другими птицами то одной обработки должно хватить

Изменено пользователем маленький принц
Опубликовано

@Altarielk , я приглашу в тему нашего доктора @Zosia в связи с рентгеновскими снимками.

Насколько я понимаю, голубь является Вашим домашним питомцем, которого Вы не собираетесь выпускать?

Опубликовано
11 часов назад, ElizavetaO сказал:

я приглашу в тему нашего доктора @Zosia в связи с рентгеновскими снимками.

Спасибо!

11 часов назад, ElizavetaO сказал:

Насколько я понимаю, голубь является Вашим домашним питомцем, которого Вы не собираетесь выпускать?

Наоборот, выпущу как только так сразу. Но не выпускать же нелетающего, я не убийца. А надежду я уже почти потеряла.

Он людей не любит. На руке сидит только чтоб его в руки не брали, этого терпеть не может ещё больше. А переносить его всё-таки иногда как-то надо.

Опубликовано

Если представленные снимки свежие- то летать он не будет, т.к. за 3 месяца после аварии у него нет даже признаков консолидации или хотя бы образования ложного сустава.

 

Опубликовано

@Zosia а если пропоить Остегно и Артрогликан или Гелабон шансы ведь есть?

@Altarielk источник кальция в отдельной кормушке у него имеется?

Опубликовано

на представленных снимках перелом полный , с чрезвычайно большим смещением всех отломков.  Если не производилась хоть какая-то репозиция отломков, то там нечему и некуда прирастать... там расстояние между частями отломков долее 5 мм, а то и все 8.

Опубликовано
2 часа назад, Zosia сказал:

на представленных снимках перелом полный , с чрезвычайно большим смещением всех отломков. 

 

4 часа назад, Zosia сказал:

Если представленные снимки свежие- то летать он не будет

@Altarielk , вот поэтому я и спрашивала, собираетесь ли Вы выпускать голубя или же готовы оставить его у себя в качестве домашнего питомца.

Правда, рентген контрольный был сделан 22 декабря, - может быть, что-то изменилось в лучшую сторону.

Хорошо было бы дать шанс голубю!!!

Опубликовано

@Altarielk я бы всё таки попробовал Остегнон + Артрогликан или Гелабон

Опубликовано (изменено)
13 часов назад, Zosia сказал:

Если представленные снимки свежие

Снимки датированы - 08.12.22; 22.12.22

12 часов назад, Zosia сказал:

Если не производилась хоть какая-то репозиция отломков,

Мне отказали в остеосинтезе, сказали что тут проще повредить воздухоносные мешки и вообще загубить птицу, чем добиться реального успеха. 

13 часов назад, маленький принц сказал:

источник кальция в отдельной кормушке у него имеется?

Биогрит для зерноядных я поставила, правда не так давно

4 часа назад, маленький принц сказал:

@Altarielk я бы всё таки попробовал Остегнон + Артрогликан или Гелабон

Пропою обязательно, ему же это не навредит.

9 часов назад, ElizavetaO сказал:

@Altarielk , вот поэтому я и спрашивала, собираетесь ли Вы выпускать голубя или же готовы оставить его у себя в качестве домашнего питомца.

Правда, рентген контрольный был сделан 22 декабря, - может быть, что-то изменилось в лучшую сторону.

Хорошо было бы дать шанс голубю!!!

Конечно, хочу выпустить, лишь бы был к этому готов.

Сделать ещё один рентген можно, но я не вижу смысла - он ведь ничего не даст, кроме однозначного ответа, а его я узнаю и так. Операцию по срастанию сейчас уже никто не сделает, я ведь права?

Цитата

готовы оставить его у себя в качестве домашнего питомца?

Я его успела полюбить, он меня нет. Поэтому если не полетит, буду неспешно искать ему условия лучше чем у меня, с сородичами, чтоб ему хоть было с кем пообщаться. Только найти, я так понимаю, не факт что удастся.

Изменено пользователем Altarielk
Опубликовано
7 часов назад, Altarielk сказал:

Биогрит для зерноядных я поставила

:up:

7 часов назад, Altarielk сказал:

Пропою обязательно, ему же это не навредит.

да хуже от них не будет

9 часов назад, Altarielk сказал:

Я его успела полюбить, он меня нет

чтобы подружиться угощайте семечками без кожуры (не более 10 семечек в день чтобы не посадить печень)

 

9 часов назад, Altarielk сказал:

буду неспешно искать ему условия лучше чем у меня, с сородичами, чтоб ему хоть было с кем пообщаться

ВНИМАНИЕ на голубятнях беспородные птицы не нужны!

Опубликовано
15 часов назад, Altarielk сказал:

Я его успела полюбить, он меня нет.

Уверяю, это - исправимо.

Пробуйте.

С птицей всегда можно установить контакт.

Но сначала Вы должны понять, хотите ли Вы этого голубя оставить у себя, действительно ли Вы его успели полюбить.

Опубликовано
9 часов назад, ElizavetaO сказал:

Уверяю, это - исправимо.

Пробуйте.

С птицей всегда можно установить контакт.

Да, я понимаю, но не тороплюсь с этим пока, может полетит ещё...

9 часов назад, ElizavetaO сказал:

Но сначала Вы должны понять, хотите ли Вы этого голубя оставить у себя, действительно ли Вы его успели полюбить.

Это я уже  поняла. Я хочу пристроить его туда, где ему будет лучше, чем у меня. В идеале с товарищами, а то сердце кровью обливается, когда он пытается ворковать с игрушечным голубем дочери или реагирует на друзей на улице. Не получится - оставлю себе, куда деться с подлодки. В условия хуже чем у меня - тоже не отдам.

Опубликовано
9 часов назад, Altarielk сказал:

В условия хуже чем у меня - тоже не отдам.

нужно сначала пропить курс Остегнон + Артрогликан или Гелабон

Опубликовано
14 часов назад, Altarielk сказал:

Это я уже  поняла. Я хочу пристроить его туда, где ему будет лучше, чем у меня. В идеале с товарищами, а то сердце кровью обливается, когда он пытается ворковать с игрушечным голубем дочери или реагирует на друзей на улице. Не получится - оставлю себе, куда деться с подлодки. В условия хуже чем у меня - тоже не отдам.

Может быть, оптимальным вариантом было бы создать ему пару, - многие держат голубей в квартире парами.

Пишу об этом с учетом написанного Вами, что Вам больно на него смотреть, когда он пытается ворковать с игрушечным голубем Вашей дочери...

Опубликовано (изменено)
14 часов назад, маленький принц сказал:

нужно сначала пропить курс Остегнон + Артрогликан или Гелабон

Остеогенон пропадает из аптек. Я заказала, мне должны позвонить сегодня, но с неизвестным результатом ?

 

Ничем он не заменяется?

 

Артрогликан уже купила ему.

 

Передозировать эти препараты невозможно? А то получается доза голубя - 1/17 таблетки

Изменено пользователем Altarielk
Опубликовано
14 часов назад, Altarielk сказал:

Передозировать эти препараты невозможно? А то получается доза голубя - 1/17 таблетки

При применении препарата Остеогенон людьми о случаях передозировки ничего не известно, пока о них не сообщалось. Крайне редко бывает аллергическая реакция, а также, при длительном употреблении,  - гиперкальциемия, гиперкальциурия.  Что отражается на почках.

Артрогликан может индивидуально плохо переноситься, а также в отдельных случаях вызывать аллергические реакции.

Для публикации сообщений создайте учётную запись или авторизуйтесь

Вы должны быть пользователем, чтобы оставить комментарий

Создать аккаунт

Зарегистрируйте новый аккаунт в нашем сообществе. Это очень просто!

Регистрация нового пользователя

Войти

Уже есть аккаунт? Войти в систему.

Войти
  • Последние посетители   0 пользователей онлайн

    • Ни одного зарегистрированного пользователя не просматривает данную страницу

×
×
  • Создать...
промокоды на фрибет без депозита
© MyBirds.ru, 2003 - 2025

Все материалы данного сайта, в том числе структура расположения информации и графическое оформление (дизайн), являются объектами авторского права. Копирование информации на сторонние ресурсы и сайты сети Интернет, а также любое иное использование материалов сайта без предварительного согласия правообладателя НЕ ДОПУСКАЕТСЯ.

При копировании материалов сайта (в случае получения согласия правообладателя), размещение активной индексируемой гиперссылки на сайт обязательно.