Перейти к содержанию
Место для вашей рекламы

 

Рекомендуемые сообщения

Опубликовано

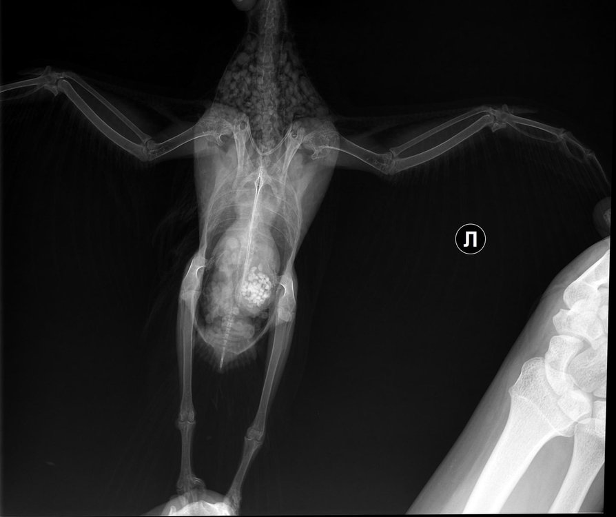
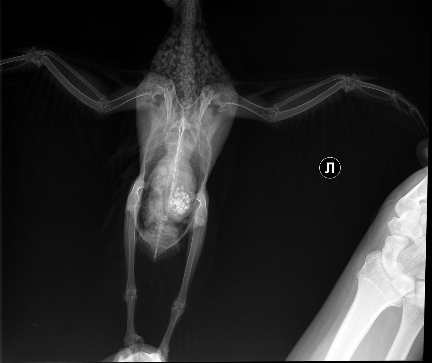
Добрый вечер, друзья. Вот, в очередной раз я к вам за помощью.

Очень нужен хороший хирург, который бы взялся за эту операцию по перелому бедра.
Наш врач сказал, что максимум сутки у нас. Хирург из клиники отказался.
Помогите, пожалуйста!
П.С.: Птичку хотим оставить себе, чтобы любить. С такими травмами на улицу не надеемся.

1_3022479121r.jpg

1_3022508121r.jpg

photo_2021-12-09_21-54-52.jpg

Опубликовано (изменено)

Добрый день!

10 часов назад, fishka сказал:

Томашевский?

 

По этой ссылке прошла в первую очередь. Она у меня в закладках как раз на такие случаи.
Лешкова теперь принимает только повторников. 
Томашевский уже не работает в Клыке. Личный номер выключен.
У Волгиной запись только через неделю (не доживем)
Вообщем мы в отчаянии уже...

Слышала еще от врача, что есть хирурги, которые берутся за любые операции, просто, чтобы деньги выкачать. Не хотелось бы попасть на таких. Хотим реально помочь птице. Хотя бы понять, есть ли шансы у нас. 

Изменено пользователем brebbia
Опубликовано

Поэтому очень хотим попасть к врачу, на которого уже есть хорошие рекоммендации

Опубликовано

Очень буду просить. Если у вас есть кто из знакомых врач, показать ему эти снимки. Может, действительно зря птицу мучаем и операция здесь не поможет...
У него вечером заканчивается обезболивающее, нужно уже понять, что делать дальше к тому моменту...

Опубликовано

У Zosia можно попробовать спросить, что делать. Если не ошибаюсь, у нее завтра прием.

Опубликовано

@brebbia , здравствуйте!

Попробуйте обратиться к Маркиной Марии. Ведёт приём в вет.клинике "Золотое Руно"

https://vk.com/redtabby

Опубликовано (изменено)

 

11 минут назад, Irinkaa сказал:

@brebbia , здравствуйте!

Попробуйте обратиться к Маркиной Марии. Ведёт приём в вет.клинике "Золотое Руно"

https://vk.com/redtabby

Ирина, здравствуйте! Как раз сейчас разговаривала с ней. Завтра уже после обеда она сможет (нам прям позновато), и нужно ехать только, чтобы снимки показать... Если не найду других вариантов, этот пока единственный наш шанс. И то, после суток уже вариантов мало, как нам объяснили... только мучение без обезболивания...

1 час назад, fishka сказал:

У Zosia можно попробовать спросить, что делать. Если не ошибаюсь, у нее завтра прием.

Написала ей в ЛС. Других контактов у меня нет

Изменено пользователем brebbia
  • 4 недели спустя...
Опубликовано (изменено)

Друзья, добрый день! Очень благодарна за вашу помощь и контакты.

Оказалось, что переломы действительно неоперабельны (как и написала нам Zosia). Но и поводов для усыпления это, оказывается, не дает, вопреки мнению первого врача, у которого наблюдались.

Прошли мы конечно через многое: и с лапой беда, и двухсторонняя разлитая пневмония. И, плюс ко всему, когда отек тканей спал, оказалось, что еще и позвоночник был поврежден рядом со сломанным бедром (на 1м рентгене из-за отека не было видно). Вообщем прошли мы с Тосей огонь, воду и медные трубы. Вопрос об усыплении стоял несколько раз, но подруга наша сдаваться не собиралась.

Теперь победили пневмонию, позвоночник наш зажил на отлично, как показал последний рентген. Осталось разобраться с ногой: есть маленькая надежда, что все-таки будет хотя бы опираться на нее. В любом случае будем просто хромать или прыгать, покажет время. Главное, что жить будем и болевой синдром сходит на нет. Тося (судя по рентгену, девочка) у нас просто потрясающая: не знала, что гульки могут быть такими умными и послушными. Быстро привыкла к нам и уже не боится, не смотря на то, что мучаем ее лекарствами по 6 раз в день. Теперь будем думать, как обеспечить ей счастливую жизнь в квартирных условиях... чую, это будет не просто...
Наша вторая врач уезжает, хотим наблюдаться теперь у Кузнецова, если получится.

Спасибо вам огромное, друзья, что поддерживали и были рядом в трудную минуту. С праздниками вас и пусть с каждым из вас тоже случится новогоднее чудо, которое случается, когда уходит надежда!

Изменено пользователем brebbia

Для публикации сообщений создайте учётную запись или авторизуйтесь

Вы должны быть пользователем, чтобы оставить комментарий

Создать аккаунт

Зарегистрируйте новый аккаунт в нашем сообществе. Это очень просто!

Регистрация нового пользователя

Войти

Уже есть аккаунт? Войти в систему.

Войти
  • Последние посетители   0 пользователей онлайн

    • Ни одного зарегистрированного пользователя не просматривает данную страницу

×
×
  • Создать...
букмекеры с бездепозитным бонусом за регистрацию
© MyBirds.ru, 2003 - 2025

Все материалы данного сайта, в том числе структура расположения информации и графическое оформление (дизайн), являются объектами авторского права. Копирование информации на сторонние ресурсы и сайты сети Интернет, а также любое иное использование материалов сайта без предварительного согласия правообладателя НЕ ДОПУСКАЕТСЯ.

При копировании материалов сайта (в случае получения согласия правообладателя), размещение активной индексируемой гиперссылки на сайт обязательно.