Штольц Опубликовано 9 января, 2021 Автор #46 Опубликовано 9 января, 2021 Спасибо всем за неравнодушие. Мой птень сегодня умер. Очень неожиданно. Всё шло на поправку, и вот такое....
маленький принц Опубликовано 9 января, 2021 #47 Опубликовано 9 января, 2021 что случилось?! как же жалко красивого!
Штольц Опубликовано 9 января, 2021 Автор #50 Опубликовано 9 января, 2021 @Welli да.... очень переживаю...
рябчик Опубликовано 9 января, 2021 #51 Опубликовано 9 января, 2021 1 час назад, Штольц сказал: Ушёл в позе сна. Сочувствую всей душой, но видимо ушел без мучений и хотя бы в тепле, а не на холодном снегу.
Штольц Опубликовано 9 января, 2021 Автор #52 Опубликовано 9 января, 2021 @рябчик как хотелось , чтобы он жил! Я его «папку» кормила 5 лет - прилетал ко мне бакинский голубь из разрушенной голубятни с голубкой-сизаркой. 5 лет он приводил своих птенцов мне напоказ, мол, вон какие у меня детки, пару раз с него снимала опутки (кто-то, видимо, хотел поймать).. В канун моего ДР мой бакинец прилетел, задыхаясь, долго сидел... и я подумала невзначай, что прощается. Поговорила с ним... И как же я была рада, что прилетел он на второй день. И я подумала: «Ошиблась, что прощался.» Больше он не вернулся. Я голову сломала, где, что, как... А этот птень был из его последнего помёта. Поэтому когда бакинца не стало, я этого наблюдала и кормила каждый день... и вот месяца не прошло с момента гибели «папки», как случилась беда с го птенцом.... Да ещё и так знаково: «папка» в канун моего ДР не вернулся, а птень 1 января получил травмы. И ушел после Рождества... Никак не привыкнуть к смерти...ни к чьей...
OFA Опубликовано 10 января, 2021 #53 Опубликовано 10 января, 2021 20 часов назад, Штольц сказал: Никак не привыкнуть к смерти...ни к чьей... Да, очень трудно прощаться...думала за столько лет привыкну, не получается... думала, что такое количество сотрется, нет, помню каждого... сочувствую всем сердцем((
Штольц Опубликовано 14 июня, 2021 Автор #54 Опубликовано 14 июня, 2021 ??ДРУЗЬЯ! НИЖАЙШИЙ ПОКЛОН ВАМ! ?НУЖНА ВАША ПОМОЩЬ! Опять травмированный голубь. Висит крыло. Поймали, посадили в клетку. Во дворе ел. Перепархивал и ходил. Сейчас в клетке стрессует. Дала Медокалм раствор 0,1 на 1 мл воды в разведении и дала 0,3 мл раствора. Ибупрофен тоже есть. Скажите дозировку. Голубь на вид здоров. Не тощий. Питается в стае, которую регулярно кормим. Сейчас не до рентгена в связи с моей онкологией. Пока жду консультативной помощи с птенем. Буду признательна за все советы.
маленький принц Опубликовано 14 июня, 2021 #55 Опубликовано 14 июня, 2021 фото? ВНОВЬ ЛЕТАТЬ и Здоровья Вашему новому голубю!
OFA Опубликовано 14 июня, 2021 #56 Опубликовано 14 июня, 2021 @Штольц не нужно мидокалм, это миорелаксант и в составе лидокаин( Ибупрофен в какой форме и дозировке? Если в суспензии детской, то по можно дать по 0,2мл 2 р/день
Штольц Опубликовано 14 июня, 2021 Автор #57 Опубликовано 14 июня, 2021 (изменено) ??ДРУЗЬЯ! НИЖАЙШИЙ ПОКЛОН ВАМ! ?НУЖНА ВАША ПОМОЩЬ! Опять травмированный голубь. Висит крыло. Поймали, посадили в клетку. Во дворе ел. Перепархивал и ходил. Сейчас в клетке стрессует. Дала МЕЛОКСИКАМ раствор 0,1 на 1 мл воды в разведении и дала 0,3 мл раствора. Ибупрофен тоже есть. Скажите дозировку. Голубь на вид здоров. Не тощий. Питается в стае, которую регулярно кормим. Сейчас не до рентгена в связи с моей онкологией. Пока жду консультативной помощи с птенем. Буду признательна за все советы. Изменено 14 июня, 2021 пользователем Штольц
OFA Опубликовано 14 июня, 2021 #58 Опубликовано 14 июня, 2021 Позже выделю эту птицу в отдельную тему, а данную закрою Название придумайте сами или я как-то назову Осмотрите, ощупайте на предмет перелома и нужно подвязать к хвосту Открытая рана есть на крыле?
Штольц Опубликовано 14 июня, 2021 Автор #59 Опубликовано 14 июня, 2021 (изменено) Ибупрофен только таблетки 400 Неправильно написала: ДАЛА МЕЛОКСИКАМ 5 минут назад, OFA сказал: отдельную Назовите по усмотрению. Я до сих пор плохо разбираюсь в интерфейсе сайта. С трудом ориентируюсь. Изменено 14 июня, 2021 пользователем Штольц
OFA Опубликовано 14 июня, 2021 #60 Опубликовано 14 июня, 2021 4 минуты назад, Штольц сказал: Неправильно написала: ДАЛА МЕЛОКСИКАМ Тогда оставьте мелоксикам, он тоже хорошо обезболивает и снимает воспаление 7 минут назад, Штольц сказал: Назовите по усмотрению Хорошо
Штольц Опубликовано 14 июня, 2021 Автор #61 Опубликовано 14 июня, 2021 10 минут назад, OFA сказал: @Штольц не нужно мидокалм, это миорелаксант и в составе лидокаин( Ибупрофен в какой форме и дозировке? Если в суспензии детской, то по можно дать по 0,2мл 2 р/день Мелоксикам дала. Ошиблась в написании. Раны открытой нет. Как правильно и чем зафиксировать крыло к хвосту?
маленький принц Опубликовано 14 июня, 2021 #62 Опубликовано 14 июня, 2021 конец раненного крыла над концом здорового крыла медицинским лейкопластырем
Штольц Опубликовано 14 июня, 2021 Автор #63 Опубликовано 14 июня, 2021 1 минуту назад, маленький принц сказал: конец раненного крыла над концом здорового крыла медицинским лейкопластырем То есть оба крыла связать?
Штольц Опубликовано 14 июня, 2021 Автор #64 Опубликовано 14 июня, 2021 (изменено) Пластырем связала конец травмированного крыла и хвост. Не знаю, насколько правильно. Изменено 14 июня, 2021 пользователем Штольц
OFA Опубликовано 15 июня, 2021 #65 Опубликовано 15 июня, 2021 @Штольц на фото выглядит правильно, главное, чтобы крыло было сложено в анатомически правильное положение, как здоровое. Клетку занавесьте сверху и с трех сторон тканью, только 1 сторону оставьте открытой, тк птице будет спокойнее и не будет биться и травмировать больное крыло
Штольц Опубликовано 15 июня, 2021 Автор #66 Опубликовано 15 июня, 2021 (изменено) 32 минуты назад, OFA сказал: @Штольц на фото выглядит правильно, главное, чтобы крыло было сложено в анатомически правильное положение, как здоровое. Клетку занавесьте сверху и с трех сторон тканью, только 1 сторону оставьте открытой, тк птице будет спокойнее и не будет биться и травмировать больное крыло На ночь так и сделала: закрыла клетку. Но к утру отклеилась повязка. Пришлось снова фиксировать. Анатомически крыло не совсем правильно лежит, видимо, из-за травмы. Но сегодня записались на рентген и осмотр. Надеюсь очень, что повезёт с врачом. Беда прямо-таки с записью к врачам, к которым обращаются с птицами - у всех график, как будто они все на льготных отпускных условиях. — поражаемся не только нашей медицине, но и ветеринарии. При таких ценах на услуги могли бы составлять графики гораздо более адекватные запросу клиентов. Но это уже к делу не относится. Хочется птеню здоровья и лётности. Аппетита у него нет, конечно. Стресс. Ведь в клетке, хоть и в безопасности. Да и травма. Плюс толкутся голуби на отливе: друзья , группа поддержки. Это тоже повод для стресса. Очень надеемся на удачу. Изменено 15 июня, 2021 пользователем Штольц
Штольц Опубликовано 15 июня, 2021 Автор #67 Опубликовано 15 июня, 2021 (изменено) Были у врача. Перелом без фиксации. Крыло опущено из-за воспалительного процесса в суставе. Сдали микроскопию помёта. Есть грибы, есть глисты. Причиной перелома, считают инфекционное поражение кости, но это одна из их предположений. Назначена терапия и противовоспалительная, и обесболивающая, и антимикотическая. Для поддержки хочу Карсил давать. Если не будет сложно: подскажите дозировку. У птеня нет аппетита. @маленький принц Для поддержки хочу Карсил давать. Если не будет сложно: подскажите дозировку. У птеня нет аппетита. Назначили гепатовет. Но дома есть составляющие этого препарата. Может, возможно их дать? Изменено 15 июня, 2021 пользователем Штольц
Штольц Опубликовано 15 июня, 2021 Автор #68 Опубликовано 15 июня, 2021 @маленький принц Вот дала все препараты. Прошел час. Голубя вытошнило. Что делать?
маленький принц Опубликовано 15 июня, 2021 #69 Опубликовано 15 июня, 2021 после какого препарата вытошнило? 55 минут назад, Штольц сказал: Для поддержки хочу Карсил давать. Если не будет сложно: подскажите дозировку. по пол таблетки смыв оболочку дважды в день 6 часов назад, Штольц сказал: Стресс. Ведь в клетке, хоть и в безопасности поставьте ему в клетке коробку в качестве домика чтобы мог прятаться и успокаиваться 5 минут назад, Штольц сказал: @маленький принц Вот дала все препараты. Прошел час. Голубя вытошнило. Что делать? перечислите что дали и в какой дозировке а сейчас дайте сорбент (уголь, энтеросгель, смекту итп) фото рвоты? 58 минут назад, Штольц сказал: Были у врача. Перелом без фиксации. Крыло опущено из-за воспалительного процесса в суставе. Сдали микроскопию помёта. Есть грибы, есть глисты. покажите анализы рентген делали? фото сустава размочив и раздвинув перья чтобы была видна кожа?
Штольц Опубликовано 15 июня, 2021 Автор #70 Опубликовано 15 июня, 2021 (изменено) @маленький принц Сначала дала Синулокс, далее Байтрил, далее Тербинафил. Тербинфил дала спустя час после антибиотиков. Дала Карсил 1/4 таблетки. Спустя 20 минут его вытошнило. Сейчас дала Энтеросгель - 1 величину с булавочную головку на 1 мл воды. Синулокс-суспензия 0,3 мли Байтрил 2,5% 0,1 мл с Тербинафилом 0,3 мл раствора (раствор: 250 мг 1/2 табл. в разведении 0,5 водки + 2,5 мл воды ) дала в птичьих дозировках по предписанию. Дозировки и приготовление раствора указаны врачом. @маленький принц Запись на диске рентгена. Нет возможности перенести сюда. Анализы делали в режиме он-лайн. Поэтому заключение в карточке. Изменено 15 июня, 2021 пользователем Штольц
OFA Опубликовано 15 июня, 2021 #71 Опубликовано 15 июня, 2021 45 минут назад, Штольц сказал: Сначала дала Синулокс, далее Байтрил, далее Тербинафил. А зачем 2 антибиотика, тем более без бакпосева?
Штольц Опубликовано 15 июня, 2021 Автор #72 Опубликовано 15 июня, 2021 @OFA Тут я вам ничего пояснить не могу. Назначения делала врач Беломытцева.
Штольц Опубликовано 16 июня, 2021 Автор #73 Опубликовано 16 июня, 2021 15 часов назад, маленький принц сказал: фото сустава размочив и раздвинув перья чтобы была видна кожа? Доброе утро! Не стала его тревожить, учитывая, что он крайне тревожный. Поэтому всяческие манипуляции откладываю. Сегодня птень поел немножко самостоятельно, немного утром я его покормила насильно, чтобы дать препараты. Помёт стал получше. Решила добавить в схему Энтеросгель и подавать ему с недельку, учитывая такой обширный приём препаратов и его уличную жизнь. Судя по всему, он не одинок. Прилетает на оконный отлив голубь и караулит его вторые сутки до позднего вечера, пока не стемнеет. Хочется, конечно,птицу вернуть в «семью». Огромнейшее спасибо вам за участие и неравнодушие к нашей проблеме!?
OFA Опубликовано 16 июня, 2021 #74 Опубликовано 16 июня, 2021 @Штольц если Беломытцева, то тогда вопрос снимаю) 19 минут назад, Штольц сказал: Решила добавить в схему Энтеросгель и подавать ему с недельку Энтеросгель выводит все лекарства и полезные вещества впридачу к токсинам, поэтому или разносите с едой и лекарствами на 2 часа минимум, или совсем не начинайте. Доктор ведь не назначила
Штольц Опубликовано 16 июня, 2021 Автор #75 Опубликовано 16 июня, 2021 (изменено) @OFA Я его вчера давала после лекарств спустя 2,5 часа , сегодня дам в середине дня - это спустя 5 часов после приёма и за 5 до приёма. Предыдущая схема лечения птицы включала в себя 7-дневный приём Энтеросгеля на фоне приёма Тербинафила. Учитывая, что раствор готовится на водке, хотя и разбавляя водой, всё равно есть токсичность. Поэтому лучше снизить сейчас нагрузку. Что касается Энтеросгеля, то я знаю по себе: при противоопухолевой терапии (а она богата на крайне агрессивные антибиотики в дополнение к ряду противовирусных и антибактериальных — это традиционные схемы лечения) он назначается для очищения организма от токсинов, и он не влияет на действие препаратов, если его не принимать одновременно, плюс он не вымывает питательные вещества. Изменено 16 июня, 2021 пользователем Штольц
Штольц Опубликовано 23 июня, 2021 Автор #76 Опубликовано 23 июня, 2021 @маленький принц Доброе утро! Подскажите, стоит ли в клетку положить для голубя палочку-жердочку? Или , учитывая перелом без фиксации и остеолизис, всё стоит ограничивать движение? Птень сам не ест. Возможно, потому, что жарко, возможно, это связано с его состоянием. Пока у него всё без существенной динамики: предплечье утолщено, аппетита нет. Слизистые также землистого оттенка. Чем можно его подкормить вкусненьким?
Штольц Опубликовано 23 июня, 2021 Автор #77 Опубликовано 23 июня, 2021 @маленький принц @OFA @рябчик Добрый день. Ещё вопрос: клетка у меня застлана пеленками. Поверх пеленки кладу бумажные полотенца, чтобы можно было вовремя убирать помёт в целях избежания самозаражения. Не могу понять: голубь в клочья рвёт полотенца. Причем зафиксировать как он это делает, не могу. Как вы думаете, с чем это может быть связано? Стоит ли этого «сигнала» опасаться, что-либо предпринять? заранее спасибо.
рябчик Опубликовано 23 июня, 2021 #78 Опубликовано 23 июня, 2021 @Штольц Здравствуйте! Может голубочку лучше дощечку- полочку или какую-либо подставку в виде маленькой коробки или камня вместо жердочки, если у него проблема с лапками? Они любят сидеть на возвышении. То, что голубок рвет полотенца скорее всего связано с тем, что он готовит строительный материал для гнезда. Может ему какие-нибудь веточки предложить - пусть перебирает и строит из них. Тогда и полотенца будут в сохранности.
Штольц Опубликовано 23 июня, 2021 Автор #79 Опубликовано 23 июня, 2021 @рябчик у него с лапками сейчас нормально. Поэтому опасаюсь лишь за его перепархивание на жердочку из-за травмы крыла. Спасибо Вам. Сегодня вечерком схожу ему за веточками, а то ему коротать время со мной на лечении точно недели три ещё. 1
Штольц Опубликовано 19 июля, 2021 Автор #80 Опубликовано 19 июля, 2021 Форумчане, добрый день. Откликнетесь, кто может. Ситуация такая: были на повторном осмотре после первой схемы лечения. Поменяли антибиотики на Линкомицин - инфекция в кости. Оставили Тербинафил, Гепатовет. При микроскопии помёта обнаружили единичные дрожжеподобные грибы, скудную микрофлору. По состоянию перелома крыла: образовывается костная мозоль, но из-за инфекционного процесса дело идёт гораздо медленнее. Наростов нигде нет, налётов в клюве тоже, дыхание нормальное. По килю: средней упитанности (можно было бы и побольше). Проблема следующая: голубь совсем не ест самостоятельно. Кормлю его насильно уже второй месяц. Это совсем не нормальный процесс. Но причину не пойму. Помет , если не накормить - зеленоватый голодный. А когда накормлю, то в помёте много воды. Учитывая, что погода адская - жара 32-34 в помещении, вентиляторы не спасают, птица пьёт много. Но не ест! Видимых изменений нет. Но и упитанность не приходит, несмотря на витаминный комплекс и разнообразные крупы. Клюв мы ему аккуратно подравняли, следуя рекомендациям - ничего не травмировали. Подскажите варианты, в чём кроется причина отсутствия самостоятельного потребления корма?
Штольц Опубликовано 19 июля, 2021 Автор #81 Опубликовано 19 июля, 2021 @маленький принц Может быть, вы что-нибудь посоветуете? Проблема следующая: голубь совсем не ест самостоятельно. Кормлю его насильно уже второй месяц.
маленький принц Опубликовано 19 июля, 2021 #82 Опубликовано 19 июля, 2021 5 часов назад, Штольц сказал: Клюв мы ему аккуратно подравняли, следуя рекомендациям - ничего не травмировали. фото клюва крупно? 5 часов назад, Штольц сказал: в помёте много воды. Учитывая, что погода адская - жара 32-34 в помещении, вентиляторы не спасают, птица пьёт много. в поилку две части воды и одну часть Боржоми БЕЗ газа 13 минут назад, Штольц сказал: Проблема следующая: голубь совсем не ест самостоятельно. Кормлю его насильно уже второй месяц. попробуйте утром насыпать на лист бумаги лакомства: пяток семечек без кожуры, щепотку кунжута, щепотку льна и щепотку риса и постучав по лакомствам клюющими движениями пальца оставьте птице на весь день можно ещё перед клеванием положить в клюв пару семечек чтобы он видел что ему даёте
Штольц Опубликовано 19 июля, 2021 Автор #83 Опубликовано 19 июля, 2021 @маленький принц вот, только так удалось сфотографировать. Напыщенный/ая сидит, недоволен тем, что в клетку лезу.
маленький принц Опубликовано 19 июля, 2021 #84 Опубликовано 19 июля, 2021 1 минуту назад, Штольц сказал: Напыщенный/ая сидит, недоволен тем, что в клетку лезу. угостите семечкой без кожуры 1
Штольц Опубликовано 19 июля, 2021 Автор #85 Опубликовано 19 июля, 2021 @маленький принц спасибо Вам большое!
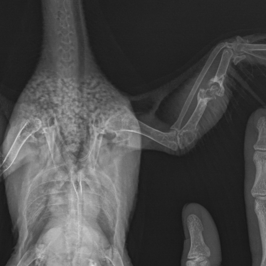
Штольц Опубликовано 30 июля, 2021 Автор #86 Опубликовано 30 июля, 2021 Друзья, я в замешательстве! Необходима ваша помощь в решении, что предпринять. Прошло 1,5 месяца с момента лечения. Перелом не затягивается. Три недели назад меняли схему лечения. Но, боюсь угробить птицу. Вчера сделали рентген, микроскопию помета и анализ сдали на бакпосев, так как дрожжи присутствуют в умеренном количестве, капиллярии есть и палочковая микрофлора. До этого лечили линкомицином, тербинафином, гепатоветом. В первичной схеме был синулокс, байтрил, тербинафин, флуконазол, дирофен, карсил. После первой схемы спустя три недели начала образовываться костная мозоль, схему поменяли, отменив синулокс, байтрил, флуконазол, назначили линкомицин, терфинафин. Сейчас отменили линкомицин, оставили гепатовет и терфинафин, и дирофен в схеме на три приёма. Сказали, что ждёт ампутация крыла. Что делать? Если есть дрожжевые грибы в умеренном количестве, то, может, необходимо поменять антимикотик? Добавить что-то для флоры? Даю гепатовет. Птица активна, но самостоятельно не ест - однозначный признак нездоровья. Ждём результат посева на микрофлору. Помёт имеет оформленность, но много влаги. Пока ждём результатов, чем помочь птице восстановиться. Верю в то, что ампутацию делать не будем, хочу верить, можно от неправильного лечения всю птицу искромсать... @OFA @маленький принц если есть возможность, помогите! @Welli @рябчик
Штольц Опубликовано 30 июля, 2021 Автор #88 Опубликовано 30 июля, 2021 @Welli хотя бы кто откликнулся.... боюсь загубить птицу. Такая славная голубка. Хотелось бы ее вылечить и выпустить , пока погоды стоят в Питере хорошие.
Welli Опубликовано 30 июля, 2021 #89 Опубликовано 30 июля, 2021 @Штольц просто возьмите и позвоните Зосе! Телефон у нее в подписи!
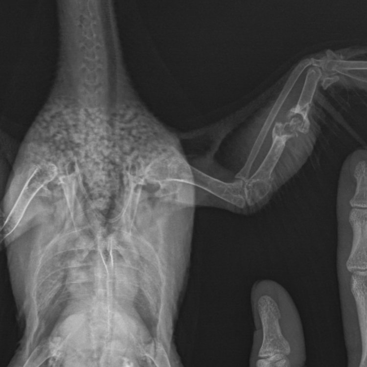
маленький принц Опубликовано 30 июля, 2021 #90 Опубликовано 30 июля, 2021 11 часов назад, Штольц сказал: Сказали, что ждёт ампутация крыла. с чего это?! покажите как там кожа крыла выглядит гангрены ведь нет? НИ В КОЕМ СЛУЧАЕ НЕ СОГЛАШАЙТЕСЬ на ампутацию 11 часов назад, Штольц сказал: После первой схемы спустя три недели начала образовываться костная мозоль так ведь значит начало срастаться!
Рекомендуемые сообщения
Для публикации сообщений создайте учётную запись или авторизуйтесь
Вы должны быть пользователем, чтобы оставить комментарий
Создать аккаунт
Зарегистрируйте новый аккаунт в нашем сообществе. Это очень просто!
Регистрация нового пользователяВойти
Уже есть аккаунт? Войти в систему.
Войти