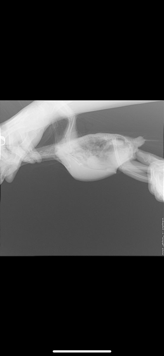
Жора жако Опубликовано 24 февраля, 2020 #1 Опубликовано 24 февраля, 2020 Здравствуйте, вот столкнулись впервые с этим диагнозом. 2. Жако дикарь 3. Предположительно 7-9 лет, мальчик 4. Утро каша (рис, пшено, гречка). фрукты и овощи в течении дня (банан, ананас, гранат, груша, яблоко, морковь, перец сладкий, помидор, огурец) всё помытое очищенное без семян. Вечером сухой корм (prestige для крупных (НА НЕГО И ДУМАЮ, так как содержит арахис в скорлупе) + padovan parrocchetti для средних +rio мин смесь) иногда мел и панцирь каракатицы). Также раз в неделю могу дать яйцо со скорлупой. 5. Содержится в клетке 2 м высота, 0,7 м на 0,5 м, внутри лазелка (липа, яблоня). Но в основном днем находится вне клетки. Влажность в среднем 50%, температура 21-22. 6, 7. Где-то 3 недели назад показалось, что незначительно увеличился зоб, не предала этому значение. Затем постепенно птица стала просто менее активной и вот неделю назад птица начала тяжело дышать, особенно с левой стороны стала раздуваться грудная клетка и активности стало совсем мало. В основном сидит на одном месте, хохлится, пару тройку раз перелетает просто на другое место или покушать. 8. Вчера были на приеме у орнитолога (принимал за неделю только в субботу и воскресенье). У нас орнитолог Ольга Валерьевна единственная в городе осталась, которая понимает по крупным птицам. Сделали рентген, взяли кровь и анализ кала. Рентген на фото, анализ кала будет только во вторник, анализ крови, я как поняла, около недели будут готовить( попросила побыстрей насколько возможно. Так как нам объяснили, от анализа крови зависит нужны ли антибиотики. Предварительно оценив его кал и рентген, орнитолог практически уверенна, что это аспергиллез. Единственный препарат вориконазол очень большая редкость у нас в городе. Под заказ в районе 18тр. Прошу вас, кто сталкивался, помочь в поиске препарата, надеюсь заказать с Москвы дешевле. И не могу разобраться, орнитолог нам сказала взять вориконазол канон. Можно ли вифенд или вориконазол сандоз. Последний в Москве гараздо дешевле, около 2-3 тр. Но в наличии его также нет. Орнитолог нам сказала, что вориконазола 14 таблеток хватит на месяц- полтора, давать лекарство раз в день. Но на форумах я встречаю, что нужно дважды в день. Помогите разобраться, пожалуйста, вес птицы 440 гр.
Жора жако Опубликовано 24 февраля, 2020 Автор #2 Опубликовано 24 февраля, 2020 (изменено) В пятницу снимала видео Изменено 24 февраля, 2020 пользователем Жора жако
Жора жако Опубликовано 24 февраля, 2020 Автор #3 Опубликовано 24 февраля, 2020 В предверии вопросов, всю полностью тему про аспергиллез, созданную Зосей, я прочла, но к сожалению, ответы на свои вопросы не нашла. И забыла написать, что живет с нами Жора около 5 лет, умеет разговаривать, но последнее время стал гораздо меньше
Mari-na Опубликовано 24 февраля, 2020 #4 Опубликовано 24 февраля, 2020 (изменено) @Жора жако странно, сталкивалась со схемой лечения аспергиллеза у жако в 500 грамм. Упаковки вифенда 200 мг (действующее вещество вариконазол) хватило бы на 140 дней Изменено 24 февраля, 2020 пользователем Mari-na
Жора жако Опубликовано 24 февраля, 2020 Автор #5 Опубликовано 24 февраля, 2020 9 минут назад, Mari-na сказал: @Жора жако странно, сталкивалась со схемой лечения аспергиллеза у жако в 500 грамм. Упаковки вифенда 200 мг (действующее вещество вариконазол) хватило бы на 140 дней Вот и я поэтому не совсем понимаю, почему орнитолог нам сказала, что упаковки в 14 таблеток хватит на месяц-полтора. Может откликнутся орнитологи по дозировкам, чтобы я завтра на приеме была готова по лечению предметно поговорить
Славаа Опубликовано 24 февраля, 2020 #6 Опубликовано 24 февраля, 2020 позвоните тимерину и снимки ему скиньте.
SilverDrein Опубликовано 25 февраля, 2020 #7 Опубликовано 25 февраля, 2020 24.02.2020 в 07:36, Жора жако сказал: НА НЕГО И ДУМАЮ, так как содержит арахис в скорлупе Это лишнее. Аспер вылезает не потому что птицу им откуда-то заразили. Просто птицы сами по себе очень склонны к развитию системных микозов (к коему относится аспергиллез). Их температура тела выше нашей, внутри птицы - теплая влажная среда. Практически вся внутренняя полость птицы обрамлена воздухоносными мешками. Проветрить эти мешки птица может только сделав полный, широкий взмах крыльями. Проще говоря, чтобы качественно вентилировать себя изнутри, птица должна летать. Домашние попугаи чаще всего ведут малоподвижный (а то и неподвижный) образ жизни и всегда находятся в зоне риска развития микоза. Аспер в норме регулярно летает в воздухе вокруг нас, просто иммунитет здорового активного организма без труда справляется с ним. А вот у ослабленной гиподинамией птицы, у которой внутри тепло, влажно и нет тока воздуха, такого иммунитета нет.
Жора жако Опубликовано 26 февраля, 2020 Автор #8 Опубликовано 26 февраля, 2020 Здравствуйте ещё раз, спасибо, всем за рекомендации и советы, поверьте, мне это очень важно. Получили вчера результаты анализов, их прекрепляю, также вчера назналила Ольга Валерьевна с Хабаровска лечение (также в прекрепленном). На форуме девочки мне подсказали, что лучше перепроверить диагноз, я обратилась к некоторым орнитологам, откликнулась Литовченко Анастасия, спасибо ей, по рентгену подтвердила этот диагноз( Мы до сих пор ждем заказанный нами ворикоз, как оказалось, в Хабаровске этот препарат только под заказ, а в связи с праздничными днями такая вот задержка образовалась( Но вчера меня нашла наша форумончанка с Хабаровска и абсолютно безвозмездно поделилась 1 таблеткой, поэтому мы сразу вчера начали лечение. Вот такие вот добрые люди у нас в городе) Теперь к вопросам: у меня большие сомнения по поводу гептрала, дозировки и вообще его необходимости. Встречала много негативных отзывов, но как я понимаю поддержка печени всё равно необходима. Есть ли отзывы по гепатовету как замены. Также меня очень сильно пугают по поводу интоксикации от лечением вориконазолом, может кто-то сталкивался, что можно предпринять, так как поражение грибами у нас существенное, боюсь выдержит ли птиц. Буду рада любым комментариям
Koalla88 Опубликовано 26 февраля, 2020 #9 Опубликовано 26 февраля, 2020 @Жора жако гепатовет для кошек дают попугаям, это очень не плохой гепапротектор. Жако лечат вифендом, т.к. они этот препарат более-менее нормально переносят. Боятся выдержит ли птиц не стоит, тут два варианта - либо лечитесь и смотрите на динамику, либо просто наблюдайте, как птиц медленно умирает. Не будете лечить, птица однозначно погибнет. Поэтому пробуйте, в случае чего потом себя вам хотя бы будет не в чем упрекнуть.
Жора жако Опубликовано 26 февраля, 2020 Автор #10 Опубликовано 26 февраля, 2020 17 минут назад, Koalla88 сказал: Жако лечат вифендом, т.к. они этот препарат более-менее нормально переносят. Боятся выдержит ли птиц не стоит, тут два варианта - либо лечитесь и смотрите на динамику, либо просто наблюдайте, как птиц медленно умирает. Не будете лечить, птица однозначно погибнет. Поэтому пробуйте, в случае чего потом себя вам хотя бы будет не в чем упрекнуть. Сейчас уже первый звоночек после ворикоза, Жорик сегодня целый день ничего не ест, пришлось кормить насильно. Эту процедуру он не легко переносит. Если честно вообще не знаю, сколько его так раз в день кормить, чтобы приц не стрессовал лишний раз
Alexandra_mak Опубликовано 26 февраля, 2020 #11 Опубликовано 26 февраля, 2020 Пусть меня поправят специалисты,если я не права.У вифенда,вориконазола,ворикоза одно действующие вещество-вориконазол.Да разные производители и ,наверное разная эффективность.По этим препаратам уже писали,что могут быть подделки.
Koalla88 Опубликовано 26 февраля, 2020 #12 Опубликовано 26 февраля, 2020 30 минут назад, Жора жако сказал: Сейчас уже первый звоночек после ворикоза, Жорик сегодня целый день ничего не ест, пришлось кормить насильно. Эту процедуру он не легко переносит. Если честно вообще не знаю, сколько его так раз в день кормить, чтобы приц не стрессовал лишний раз Думаю, что мл 10-15 за раз надо скармливать, 5-6 раз в день. Более знающие поправят, если я ошибаюсь. На то, что стрессует, старайтесь не обращать внимания, птице нужно поддерживать вес, иначе это грозит истощением. 22 минуты назад, Alexandra_mak сказал: Пусть меня поправят специалисты,если я не права.У вифенда,вориконазола,ворикоза одно действующие вещество-вориконазол.Да разные производители и ,наверное разная эффективность.По этим препаратам уже писали,что могут быть подделки. Вы правы, во всех препаратах одно и тоже действующее вещество - вориконазол.
Katrix Опубликовано 26 февраля, 2020 #13 Опубликовано 26 февраля, 2020 Птицу надо взвешивать каждый день, чтобы отслеживать динамику. Нельзя допустить, чтобы попугай начал худеть. Мы сначала заворачивали в полотенце и кормили насильно 3-4 раза в день. Пока я не попробовала просто на свободе давать кашу из шприца. Птица сама стала подставлять рот и жадно заглатывать пищу. Дальше таким образом удавалось скормить и лекарства.
Жора жако Опубликовано 26 февраля, 2020 Автор #14 Опубликовано 26 февраля, 2020 Сама его сейчас выкармливаю вареным рисом с водой (консистенция очень жидкой каши). Что ещё можно ему предложить? 4 минуты назад, Katrix сказал: Птицу надо взвешивать каждый день, чтобы отслеживать динамику. Нельзя допустить, чтобы попугай начал худеть. Мы сначала заворачивали в полотенце и кормили насильно 3-4 раза в день. Пока я не попробовала просто на свободе давать кашу из шприца. Птица сама стала подставлять рот и жадно заглатывать пищу. Дальше таким образом удавалось скормить и лекарства. Спасибо за совет
Грозный серый попугай Опубликовано 26 февраля, 2020 #15 Опубликовано 26 февраля, 2020 (изменено) Здравствуйте, Вам предстоит долгое и нелегкое лечение, если придется птицу докармливать, закажите в интернетмагазине нутриберд-19, смесь для птенцов, там есть и витамины и усваивается хорошо, сбалансированный, от состояния птицы можно делать погуще, пожиже-подваривать немного гречки, добавлять яблочный, морковный, тыквенный сок, или яблоко и тыкву, приготовленную на пару и измельченное до однородной консистенции в блендере. По поводу "брать в руки" -заведите одно "птичье" полотенце. Птиц его быстро выучит и будет знать, если вы идете с ним и еще говорите "лечиться пойдем", впереди дача лекарств-первое время будет напрягаться, со временем привыкнет, радости конечно не будет, но и паники такой, как первое время тоже не будет. В остальное время, когда Вы без страшного полотенца, птица не будет вас бояться. Изменено 26 февраля, 2020 пользователем Грозный серый попугай
Грозный серый попугай Опубликовано 26 февраля, 2020 #16 Опубликовано 26 февраля, 2020 (изменено) Рис пустой, его и здоровой птице мало будет, а Вам нужны силы. Гречку, рис, овес очищенный ( не хлопья)-хорошо отваренные и перемолотые, тыква, яблоко, немного моркови на пару, или припущенные в малом количестве воды, в блендре. Начинайте докармливать жиденьким, потом погуще, пробуйте, чтобы на вкус было приятно и камочки не попадались. Если все будет хорошо, можно будет добавлять и сок свежевыжатый мандаринчика, гранатика сладкого. Изменено 26 февраля, 2020 пользователем Грозный серый попугай
Koalla88 Опубликовано 26 февраля, 2020 #17 Опубликовано 26 февраля, 2020 2 минуты назад, Грозный серый попугай сказал: Здравствуйте, Вам предстоит долгое и нелегкое лечение, если придется птицу докармливать, закажите в интернетмагазине нутриберд-19, смесь для птенцов, там есть и витамины и усваивается хорошо, сбалансированный, от состояния птицы можно делать погуще, пожиже-подваривать немного гречки, добавлять яблочный, морковный, тыквенный сок, или яблоко и тыкву, приготовленную на пару и измельченное до однородной консистенции в блендере. По поводу "брать вруки" -заведите одно "птичье" полотенце. Птиц его быстро выучит и будет знать, если вы идете с ним и еще говорите "лечиться пойдем", впереди дача лекарств-первое время будет напрягаться, со временем привыкнет, радости конечно не будет, но и паники такой, как первое время тоже не будет. В остальное время, когда Вы без страшного полотенца, птица не будет вас бояться. К полотенцу ещё можно добавить одежду - кофту или халат, одевать эту одежду только перед дачей лекарств. Я так с дикарем делала, когда от стафилококка лечила, он сразу понимал, что сейчас будут давать лекарства. В другое одежде меня не боялся особо. После лечения отдала дикаря в пару к самцу, птица живёт и здравствует по сей день. Сейчас выкормыш, вы правильно написали, что после отловов они начинают сами клюв открывать при виде шприца, недавно его пропаивала энтеролом со споровитом, пил сам без заворачивания в полотенце. Нутрибед поддерживаю, хорошая каша.
Mari-na Опубликовано 26 февраля, 2020 #18 Опубликовано 26 февраля, 2020 (изменено) @Жора жако да, как вам написали, кашу нутрибёрд было бы прекрасно Изменено 26 февраля, 2020 пользователем Mari-na
Грозный серый попугай Опубликовано 26 февраля, 2020 #19 Опубликовано 26 февраля, 2020 Не бойтесь-первое время трудно настроиться самому, нужно ловить, заворачивать, держать, давать лекарство, уже за полчаса до этого портится настроение и руки дрожать начинают, посмотрите, как правильно фиксировать голову-это сильно облегчит задачу. Птица чувствует ваш страх и начинает паниковать сама, первую неделю сложно и тяжело морально, с каждым днем ваши движения станут точнее и увереннее и дача лекарств и докорм будут занимать меньше времени и приносить меньше отрицательных эмоций, чем спркойнее и увереннее будете Вы, тем спокойнее будет птица. Жакоши-бойцы. Вам сил, терпения , ребенку Вашему -сил выкорабкаться и здоровья.
SilverDrein Опубликовано 26 февраля, 2020 #20 Опубликовано 26 февраля, 2020 3 часа назад, Alexandra_mak сказал: У вифенда,вориконазола,ворикоза одно действующие вещество-вориконазол. Да. И от того же орунгала он отличается тем, что концентрация препарата повышается очень быстро. 10 часов назад, Жора жако сказал: Теперь к вопросам: у меня большие сомнения по поводу гептрала, дозировки и вообще его необходимости. Что именно вас смущает? Это один из мощнейших гепатопротекторов, Гепатовет значительно слабее. Беда в том, что Гептрал очень кислый, и попугаев с него часто тошнит. Поэтому разводить его лучше не в воде, а в соке или фруктовом пюре. Хотя дозировка у вас какая-то сильно суровая.
Mari-na Опубликовано 26 февраля, 2020 #21 Опубликовано 26 февраля, 2020 @SilverDrein я встречала такую дозировку гептрала у рекомендованного на форуме врача. Тут другое дело, в России назначается в основном при патологии печении, под другими торговыми названиями заоегистрирован в Европе и АзииМ в США считается пищевой добавкой
SilverDrein Опубликовано 26 февраля, 2020 #22 Опубликовано 26 февраля, 2020 @Mari-na Корелле (вес 90 гр) мне просто назначали 1/8 в день. А тут что-то прям аж целая таблетка на жако (~500 гр).
Mari-na Опубликовано 26 февраля, 2020 #23 Опубликовано 26 февраля, 2020 @SilverDrein хоть и говорю, что встречала такую дозировку, но согласна с Вами
Жора жако Опубликовано 27 февраля, 2020 Автор #24 Опубликовано 27 февраля, 2020 Буду писать здесь полностью мою историю, может кому-то она будет полезной. Сегодня съездили в ветеринарную клинику снова, послушали Жору, у него усилились хрипы, нам назначили дополнительно антибиотик сумамед, смутило меня, что антибиотик не бывает этот без примесей, тоесть продается только с разными вкусами, пришлось купить клубничный. Гептрал по моей просьбе мы заменили на гепатовет для кошек (позвонила в аптеки города, мне объяснили, что сейчас сделали новую форму и объединили кошек и собак, хотя в некоторых аптеках остались чисто кошачий. Пока улучшений не наблюдаю совсем, выкармливаю детскими кашами, пюрешками фруктовыми и соком фруктов. Выложу назначения орнитолога, если кто знает и разбирается в дозировках, посмотрите пожалуйста
Koalla88 Опубликовано 27 февраля, 2020 #25 Опубликовано 27 февраля, 2020 @Жора жако Зося назначала нам гепатовет в дозировке 0.3мл 1 раз в день на жако весом 560гр., заводчица моего выкормыша назначает в таких случаях 0.5мл. На мой взгляд у вас дозировка завышена. Дозировка дюфликана тоже на мой взгляд высоковата, заводчица 0.5мл назначает на 500гр веса птицы. Более знающие по дозировкам поправят.
Жора жако Опубликовано 27 февраля, 2020 Автор #26 Опубликовано 27 февраля, 2020 Спасибо за подсказки по кормлению, мне они очень помогли, не всегда успеваю отвечать, но всё читаю
Жора жако Опубликовано 27 февраля, 2020 Автор #27 Опубликовано 27 февраля, 2020 30 минут назад, Koalla88 сказал: Зося назначала нам гепатовет в дозировке 0.3мл 1 раз в день на жако весом 560гр., заводчица моего выкормыша назначает в таких случаях 0.5мл. На мой взгляд у вас дозировка завышена. Дозировка дюфликана тоже на мой взгляд высоковата, заводчица 0.5мл назначает на 500гр веса птицы. У меня тоже есть небольшие сомнения по поводу дозировки гепатовета, но я это объясняю, что мы принимаем и антибиотик и противогрибковые, сильная нагрузка на печень. А вот дюфликан нам не назначали
Koalla88 Опубликовано 27 февраля, 2020 #28 Опубликовано 27 февраля, 2020 (изменено) @Жора жако простите, у вас там Дюфалак написано, спутала. Антибиотик нужно в любом случае прикрывать или нистатином, или дифлюканом. Только вот как противогрибковые ведут себя в купе с вориконазолом, я не знаю. Нистатин действует местно, омывает зоб, а Дифлюкан, насколько я знаю, проходит через печень. Дюфалак с какой целью назначили? Изменено 27 февраля, 2020 пользователем Koalla88
Жора жако Опубликовано 27 февраля, 2020 Автор #29 Опубликовано 27 февраля, 2020 38 минут назад, Koalla88 сказал: Дюфалак с какой целью назначили? Дюфалак идет к вориконазолу. Препарат очень и очень дорогой, поэтому, чтобы его сохранить в раскрытом виде, добавляют дюфалак.
SilverDrein Опубликовано 27 февраля, 2020 #30 Опубликовано 27 февраля, 2020 @Жора жако Гепатовет можно давать 0,5-0,6 два раза в день. Можно и больше, по идее, учитывая вес птицы. Сколько ваш жако весит вообще?
Жора жако Опубликовано 27 февраля, 2020 Автор #31 Опубликовано 27 февраля, 2020 21 минуту назад, SilverDrein сказал: @Жора жако Гепатовет можно давать 0,5-0,6 два раза в день. Можно и больше, по идее, учитывая вес птицы. Сколько ваш жако весит вообще? 440 грамм, сегодня 432, немного потерял в весе
Грозный серый попугай Опубликовано 27 февраля, 2020 #32 Опубликовано 27 февраля, 2020 Вам бы в комнате температуру поднять хотя бы до 25-27 градусов, для нездоровой птицы 20-21 холодно.
Жора жако Опубликовано 27 февраля, 2020 Автор #33 Опубликовано 27 февраля, 2020 35 минут назад, Грозный серый попугай сказал: Вам бы в комнате температуру поднять хотя бы до 25-27 градусов, для нездоровой птицы 20-21 холодно. Да, мы ему сегодня поставили лампу
Жора жако Опубликовано 27 февраля, 2020 Автор #34 Опубликовано 27 февраля, 2020 26.02.2020 в 19:42, Грозный серый попугай сказал: закажите в интернетмагазине нутриберд-19, смесь для птенцов, там есть и витамины и усваивается хорошо, сбалансированный Подскажите пожалуйста какой лучше, high energy или обычный? Фирма versele laga?
Грозный серый попугай Опубликовано 27 февраля, 2020 #35 Опубликовано 27 февраля, 2020 @Жора жако Мне кажется нужно начать с обычного, они отличаются составом в хай энерджи есть водоросли, а в обычном нет. Для здоровой птицы может это лучше, Вам сейчас лишние аллергены не нужны, будете выздоравливать можно хайэнерджи взять, если я не права пусть меня поправят. Да, версале лага..
Mari-na Опубликовано 27 февраля, 2020 #36 Опубликовано 27 февраля, 2020 @Koalla88 Вот не скажите, что в любом случае надо антибиотик прикрывать нистатином. В 2017 году нашему попугаю назначала суммамед Кузнецова Мария Андреева (ведущий ветеринарный врач Мос.зоопарка). Я конкретно ее спрашивала про нистатин к антибиотику, она сказала не нужно. Я, к сожалению, смутно помню дословно, но по-моему, причина была именно потому, что суммамед
Mari-na Опубликовано 27 февраля, 2020 #37 Опубликовано 27 февраля, 2020 @Грозный серый попугай состав у них вообще идентичный, просто производитель пишет, что high energi для птенцов с выскими энергетическими потребностями, в нем жиров 15%, а в обычном 12%. По сути, одно и тоже
Грозный серый попугай Опубликовано 27 февраля, 2020 #38 Опубликовано 27 февраля, 2020 @Koalla88 Вориконазол серьезный противогрибковый препарат, которым у людей помимо аспер-за лечат тяжелые формы кандидоза, зачем к нему нистатин? 3 часа назад, Koalla88 сказал: @Жора жако простите, у вас там Дюфалак написано, спутала. Антибиотик нужно в любом случае прикрывать или нистатином, или дифлюканом. Только вот как противогрибковые ведут себя в купе с вориконазолом, я не знаю. Нистатин действует местно, омывает зоб,
Грозный серый попугай Опубликовано 27 февраля, 2020 #39 Опубликовано 27 февраля, 2020 @Mari-na Точно, сейчас состав смотрела, практически один к одному.
Koalla88 Опубликовано 27 февраля, 2020 #40 Опубликовано 27 февраля, 2020 @Mari-na сколько форум не читаю, практически всегда при приеме антибиотика назначают нистатин. Отсюда и вывод, что вроде как нужен. Нам даже назначали его при приеме бактериофага. @Грозный серый попугай верно написал, что раз принимают вориконазол, то в данном случае нистатин или дюфлюкан, это уже лишнее. Тоже глянула показания вориконазола, кандиду тоже успешно убивает, а не только апспергиллез.
SilverDrein Опубликовано 2 марта, 2020 #41 Опубликовано 2 марта, 2020 Одновременно с приемом вориконазола ни нистатин, ни другие противогрибковые не нужны.
Zosia Опубликовано 2 марта, 2020 #42 Опубликовано 2 марта, 2020 Обсудите с вашим врачом ингаляционное применение Энилконазола (торговые наименования и формы м.б. разные). Это- параллельно с вориконазолом. И нет ли у птицы "синдрома исчезающего легкого"... какой-то мне рентген привиделся...тревожный.
Жора жако Опубликовано 7 марта, 2020 Автор #43 Опубликовано 7 марта, 2020 03.03.2020 в 07:57, Zosia сказал: Обсудите с вашим врачом ингаляционное применение Энилконазола (торговые наименования и формы м.б. разные). Это- параллельно с вориконазолом. И нет ли у птицы "синдрома исчезающего легкого"... какой-то мне рентген привиделся...тревожный. Здравствуйте) Не увидели такого синдрома, симптомов никто из орнитологов не нашли Про энилконазол мне ответили, что Жако такого не назначают, так как не переносимость его???? Мы сдали биохимию и результаты не утешительны, к сожалению, особенно, что касается печени( боюсь, что может не выдержать лечение. @Zosia как специалист по Жако и по лечением травами, прошу вас посоветовать нашему птенцу ещё какую-нибудь поддержку, кроме гептрала ? (принимаем 1 таблетку в сутки, разделенную на 2 приема) Жорушка всё также не активный, сама его кормлю, так как не хочет есть (максимум подходит 1 раз к кормушке и 3-5 семечек может съесть), грудная клетка всё также увеличивается при дыхании, как на видео выше, практически не летает, ощипал себе шею, так как из-за постоянных кормлений, не всегда оперение супер чистое (стараюсь мыть после каждого кормления/дачи препаратов), контролируем анализ кала на наличие дрожжей, их нет. Из назначений: принимаем ворикоз , сумамед, гептрал, также с понедельника будут инъекции кальция внутримышечно ежедневно.
Мария Шарман Опубликовано 7 марта, 2020 #44 Опубликовано 7 марта, 2020 @Жора жако Опубликовано: 2 минуты назад Здравствуйте,помогите,пожалуйста. месяца 2 назад купила ожерелового попугая,2 года где-то . все было хорошо,спустя некоторое время стал чихать,потом нахохливался ,помет жидкий. Стал голову прятать под крыло и очень часто такое стало проявляться. Очень переживаю за него. Отвезла к ветеринару ,нам сказали,что у него КОХЛАЗОМОЗ лечить метрогил 10мг на 100мл 10 дней витамины винка что ли. меня пугает,что он без движения сидит так. а потом может бегать,прыгать,играться,кушать :семечки,орешки,морковь,яблоко,банан
Грозный серый попугай Опубликовано 7 марта, 2020 #45 Опубликовано 7 марта, 2020 @Жора жако К сожалению, шею Жора ощипал не от кормлений, не переживайте за это, ощипал, скорее всего от дискомфорта, возможно испытывает болевые ощущения...Держитесь, не пропадайте, переживаем за Вас. Вам, и особенно Жоре - сил на лечение.
Рекомендуемые сообщения
Для публикации сообщений создайте учётную запись или авторизуйтесь
Вы должны быть пользователем, чтобы оставить комментарий
Создать аккаунт
Зарегистрируйте новый аккаунт в нашем сообществе. Это очень просто!
Регистрация нового пользователяВойти
Уже есть аккаунт? Войти в систему.
Войти