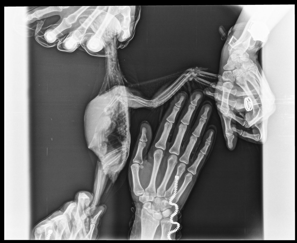
Nadea Опубликовано 4 ноября, 2018 #1 Опубликовано 4 ноября, 2018 (изменено) Добрый вечер! Нужна дополнительная консультация, возможно лечение. Врач в декрете. 1. Амазон Венесуэльский; 2. Предположительно 7 лет, при покупке сказали, что ему 5, у нас почти 2 года (с декабря 2016); возможно значительно старше. 3. Питание: корм бельгийский престиж в замоченном и пророщенном виде. Утром оставляю высушенную на воздухе в течение ночи замочку, вечером замочка + иногда пророщенку, добавляю семена расторопши, конопли, амаранта и дыни. Не привередничает, съедает практически все из замочки, посыпаю шротом расторопши только вечером. Из сухой замочки выбирает только любимое: тыкв. и дынные семечки, сафлор, расторопшу. Сухой корм в принципе плохо ест. Вода из фильтра, пьет не часто из-за наличия фруктов. Из фруктов: гранат, яблоки, айва и груши. Овощи не ест, иногда подмешиваю в корм тертые на мелкой терке морковь и свеклу в надежде, что что-то попадет. По возможности приношу ветки деревьев из деревни, любит грызть, зелень не ест. К остальному равнодушен, предлагалось много всего, но увы.; 4. Температура дома 24-28 градусов, влажность от 35, чаще от 40 до 45%, имеется увлажнитель. Попугай на свободном выгуле, когда все дома. В клетке с 6.45 до 16.30 по будням. В выходные вне клетки. 5. Чихает чаще обычного, но не каждый день, после долгого молчания покрикивает охрипшим голосом, когда прокричится, хрип проходит, бывает одышка, когда выпускаем из клетки слышится тяжелое дыхание, будто оно сбилось. Чаще подремывает с опущенным перпендикулярно хвостом. Днем, когда никого нет, помет с водой; вечером (если не поел фруктов) и с утра более-менее, оформленный. Проблемы с оперением, погрызано сильно одно крыло. При мне не грызет, скорее когда в клетке пока никого дома нет. Имеет дурную привычку махать крыльями о прутья клетки, держась клювом за прутья, что также повреждает сильно оперение, заметили совершенно случайно, когда позже вышла на работу. Попугай-привычка, у него все по расписанию, при этом я его к этому не приручала. Доступ к этим прутьям преградила. Но т.к. в будни на работе, проследить сложно, может полюбилось другое место в клетке и также ломает перья. Плохо линяет, с мая этого года до сих пор не перелинял: неделю линяет, пару - нет. На крыле, где сильно повреждено оперение за лето было около 7 вросшихся перьев. В прошлом году только одно. Вскрывала сразу, пока не образовался гной. Перелинял полностью только в прошлом году, несмотря на долгое отсутствие полетов, неплохо летал, правда с одышкой, пока снова не повредил крыло, в этом году летал очень мало. 6. Явные симптомы стали проявляться через 2 месяца нахождения у нас: сопел, часто и сильно чихал, падал с жердочки, плохое оперение. Сколько хозяев поменял неизвестно, знаю, что у тех, у кого купили ел корм Вака с добавлением большого количества семечек, с их слов у предыдущих хозяев ел все стола: супы, макароны и т.п., что отразилось на печени; 7. если птицу уже лечили то, пишите: Первое обращение к орнитологу - февраль 2017, в помете яйца глист и нейтральный жир, назначено противоглистное лечение + 3 месяца карсил. Делали анализ на цирковирус - отрицательный, сдавался в Москве. Март 2017 - рентген. Врач консультировался с Волгиной. На основании этого было назначено: орунгал+имунофан+гептрал+сумамед. В течение апреля пропили только орунгал+имунофан+гептрал, вместо сумамеда - бактериофаг синегнойный на основании бакпосева. Повторный рентген, лечение отменили. Май 2017 - креон 10000 3 недели. Повторили бак посев, высеялась клебсиелла. Пропили 3 недели цефалексин (июнь 2017) + нистатин + карсил.. Август 2017 - снова рентген. Лечение в течение 1,5 месяцев (сентябрь - октябрь 2017) орунгал+имунофан+гептрал+АЦЦ. Выявилась реакция на гептрал (очень сильно чихал с пеной, один раз всю ночь, плохо спал), дозу уменьшили, но не помогало. по совету Зоси, заменила на урсосан. Еще делала ингаляции вместо АЦЦ так же по совету Зоси. Октябрь рентген, лечение отменили. До мая 2018 чувствовал себя более-менее. Но потом стал часто чихать, воды очень много в помете. Сделали бак посев, снова клебсиелла 10^8. В помете кристаллы +++, нейтральный жир ++, что еще не знаю, т.к. врач все держал у себя в голове, на бумаге не отражалось. Пропили 4 недели ципрофлоксацин+нистатин+гептрал+бактериофаг. На этот раз на гептрал реакция была всего один раз, в целом перенесли хорошо. Пока действовал антибиотик попугая было не узнать: активный, веселый, набрал вес с 330 до 350. Сделали повторный бакпосев - enterobacter aerogenes 1x10^8 снова с той же чувствительностью к ципрофлоксацину. Почему так для меня загадка, вроде пролечили 4 недели. Было решено лечение не проводить до следующих проявлений симптомов, т.к. в целом стало лучше, кристаллов больше не обнаружено, перестал чихать. Через пару недель эффект антибиотика прошел, попугай стал больше дремать, но в целом лучше, чем раньше. Для оперения был прописан цамакс, проходили 2 курса в прошлом и в этом году по месяцу, эффект незаметен. В связи с тем, что наш врач ушел в декрет, другим довериться не могу, имея хронические заболевания (печень, возможно поджелудка), поддерживающего ничего не назначено. Я понимаю, что клебсиелла трудновыводимая, но прошу помощи хотя бы в оценке нынешнего состояния попугая и какие меры помимо лечения нужно предпринять, чтобы избавиться от клебсиеллы (многое прочла на форуме: кипятила миски каждый день, клетку и комплекс мыла пароочистителем, но бактерия до сих пор имеется). Нужна дополнительная консультация. Бак посев из зева пересдала в Инвитро. Не совсем поняла про бактериофаги. До этого сдавали в нижегородской лаборатории. В целом чувствительность и устойчивость совпадает.Имеем ту же чувствительность к ципрофлоксацину. Все же для меня загадка, почему он не вывел клебсиеллу. Рентген выкладываю годичной давности и сегодняшний для сравнения. Год назад: Сегодня Общий анализ помета. Были небольшие трудности, т.к. приемщица материала "плавала" в анализах. Оказывается копрология в обл. лаборатории - это паразитологическое исследование, а остальное общий анализ. К сожалению, я уже после узнала, попросила бы еще и на простейших, и глистов проверить (на них смотрела наш врач в июле, не обнаружила). Помет выложен, какой бывает в течение дня. Воды бывает очень много. Самого попугая сфотографирую позже, одной сложно фиксировать крыло. Заранее спасибо за любые советы. Изменено 4 ноября, 2018 пользователем Nadea Корректировка расположения изображений
Zosia Опубликовано 4 ноября, 2018 #2 Опубликовано 4 ноября, 2018 Меняйте на Офлоксацин, доза 18 мг/кг, суточно, в 2 приема. 3 недели (!) Прикрываетесь нистатином. По фагам- странно... т.к. есть и клебсиелльный, и секстафаг.... Так же я бы назначила ингаляции эуфиллином и корвалолом,стандартные дозы (1,5 мл Эуфа и 0,8 мл корвалола на литр,по 20 минут 2-3 раза в сутки). И антигистаминные препараты долговременного действия,кетотифен (в суспензии детской), 0,4 мл в сутки, не менее месяца.
Nadea Опубликовано 4 ноября, 2018 Автор #3 Опубликовано 4 ноября, 2018 @Zosia, спасибо! Подскажите, пожалуйста, о чем может говорить присутствие скрытой крови в анализе? По рентгену можете что-то сказать, есть изменения?
Nadea Опубликовано 4 ноября, 2018 Автор #4 Опубликовано 4 ноября, 2018 @Zosia ещё уточнить хочу: правильно ли я поняла, что 18 мг - это суточная доза, а не 2 раза по 18 мг?
Nadea Опубликовано 28 ноября, 2018 Автор #5 Опубликовано 28 ноября, 2018 (изменено) Закончили антибиотики, осталось допить кетотифен. Явного эффекта, как от ципрофлоксацина, нет. Но практически перестал хрипеть. Почихивает, но это возможно из-за сухого воздуха, увлажнитель не справляется. Днем помет так и остался водянистым. В течение дня плохо ест, зато вечером "нажирается", по-другому не назовёшь. Какие посоветуете пробиотики давать? Изменено 28 ноября, 2018 пользователем Nadea
KamaRo Опубликовано 28 ноября, 2018 #6 Опубликовано 28 ноября, 2018 @Nadea нам в свое время советовали примадофилус детский в порошке, но он дорогой очень. А так пробиотик в общем то можно любой и подбирается опытным путем, т.к. что то может работать, а что то нет. Не плохо работает фортифлора кошачья в паре с каким нибудь лакто- и бифидосодержащим препаратом, но фортифлора воняет мясом. Печень продолжаете поддерживать? Вы раньше у Ароновой наблюдались? Уточняю, т.к. стоит ее рекомендовать или нет. Вы не подключали в лечение бактериофаг? В паре с антибиотиком хорошо работают. Видела, что Зося о нем написала, но добавили и лечение или нет не поняла. Посмотрела, что антибиотики принимались долго, возможно в работе ЖКТ произошли сильные нарушения и хорошего помета не добиться. Попробуйте включить в рацион сложную кашу, туда и пробиотики можно подмешивать может на них помет будет более хорошим.
Nadea Опубликовано 28 ноября, 2018 Автор #7 Опубликовано 28 ноября, 2018 (изменено) @KamaRo, спасибо за ответ. К сожалению, бактериофаг не давала, чувствительность не определили, теперь после Вашего сообщения думаю, что зря. При лечении ципрофлоксацином я самостоятельно решила давать клебсиелльный, здесь на форуме прочла, что антибиотик с фагами лучше работает. Может поэтому и эффект был значительнее. Для печени даю на постоянной основе шрот и семена расторопши, что невероятно любит. На время лечения подключила гептрал. Переносит неплохо сейчас, без реакций каких-нибудь. Насчёт Ароновой сложно сказать. Она нам помогла что касается дыхания, по сравнению с тем, что было раньше, сейчас дышит значительно лучше. Но у меня сложилось впечатление хаотичного назначения лечения, некоторые вопросы оставались без ответа. Но это может только в нашем случае, моё солнышко - ходячее хроническое заболевание из-за предыдущего содержания. В целом, многие ею довольны. Думаю, её стоит рекомендовать. Но сейчас она в декрете, кто сейчас за неё, я не знаю. На приеме обучала студентов. Форти-флору давали, плохо с ней ел. Давали Аципол после первого приёма антибиотиков (цефалексин), тогда помет был с пузырями, помог, хотя изредка пузыри появлялись. Сейчас тоже бывает. После второго курса антибиотиков (ципрофлоксацина) Аронова пробиотики не назначила, микрофлора была в пределах нормы. А как понять, что пробиотики работают? Я думаю, на помет больше повлиял орунгал, после него стал водянистым. Очень переживаю, что мы его залечиваем, болезнь все равно возвращается. Сложные каши не ест, пыталась приучить в течение нескольких месяцев, одно время давала киноа+гречку, хорошо ел, пока не стала давать замочку+пророщенку, крупы есть совсем перестал. Изменено 28 ноября, 2018 пользователем Nadea
KamaRo Опубликовано 28 ноября, 2018 #8 Опубликовано 28 ноября, 2018 @Nadea про Аронову спросила, т.к. подумала, что она в декрете и сейчас прием не ведет. Аронова стажируется у Волгиной, что говорит о стремлении доктора постоянно расти. А с птицами всегда тяжело, много чего остается за нашим пониманием (не все виды исследований доступны, как у кошек/собак). Если вы у другого врача наблюдались, то о нем тоже хорошие отзывы не помешали, чтобы владельцев птиц направлять к специалисту. При сильном нарушении в работе органов, в т.ч. ЖКТ нужно препараты давать в клюв, с едой мало попадает по назначению. У вас и антибиотики были и довольно тяжелый для печени препарат - орунгал, поэтому лечить уже в комплексе нужно (и гепатопротекторы принимать, и про-пребиотики). Не плохо работают при нарушении микрофолоры - споровит+бифидо-и лактобактерии, фортифлора+бифидо-и лактобактерии, были не плохие результаты на энтероле+пробиотик. Просто какой то метод выбирают и дают в клюв. Споровит (в жидком виде) по 0,3 мл 2 раза в день, методом подбора лакто-и бифидосодержащий пробиотик (мне всегда нравился бифидумбактерин - там 5 доз, на волнушку на глаз флакон делила на 8 приемов, шпажкой откалывала, разводила водой и выпаивала), на амазона наверное 1/2 флакона на 2 приема (утро-вечер). Что касается гепатопроткторов, то их еще с месяц дают после противомикробных препаратов и тоже в клюв. Шрот расторопши в данном случае не особо помогут - это полезная добавка, но в качестве самостоятельного компонента не справится. Гептрал может быть на гепатовет заменить, но он жутко вонючий, но птицы его вполне не плохо переносят, особенно если на 2 приема разделить (но его нужно разводить, т..к суспензия густая и тяжело выпоить). Сейчас вам нужно восстанавливать птицу.
Nadea Опубликовано 28 ноября, 2018 Автор #9 Опубликовано 28 ноября, 2018 (изменено) @KamaRo, огромное спасибо! Буду восстанавливать. Бифидум давать каждый приём по 1/2 или это на два приёма? сколько по времени давать? Месяц достаточно или дольше? Нистатин стоит ещё подавать? Не знала про гепатопротекторы, что их ещё столько дают. Заменю на гепатовет, дозы знаю.. Изменено 28 ноября, 2018 пользователем Nadea
KamaRo Опубликовано 28 ноября, 2018 #10 Опубликовано 28 ноября, 2018 @Nadea за 1 раз получается 1/4 флакона. По курсу - если сильных нарушений нет, то стандартный курс 2 недели, в вашем случае, т.к. нагрузка препаратами была большой 3-4 недели, более уже будет не особо эффективно. Нистатином обычно перекрывают антибиотик 3 днями, при условии, если птицу на фоне приема антибиотика не развился кандидоз (это сразу видно по рвоте).Гепатопротекторы на фоне приема тяжелых препаратов поддерживают печень, а после завершения их курса уже начинают работать в части восстановления, поэтому гепатопротекторы продолжают давать курс от 2-х недель (вам наверное нужно не менее 3 недель, а лучше 4)
Nadea Опубликовано 28 ноября, 2018 Автор #11 Опубликовано 28 ноября, 2018 @KamaRo, спасибо, завтра начнём восстановление, хоть уже у попугая паника при виде шприца
Nadea Опубликовано 29 ноября, 2018 Автор #12 Опубликовано 29 ноября, 2018 @KamaRo еще вопросик возник: если не получится купить споровит, как давать фортифлору либо энтерол? В прошлый раз форти посыпали корм, ел плоховато.
KamaRo Опубликовано 29 ноября, 2018 #13 Опубликовано 29 ноября, 2018 Я в фортифлору добавляла бифидумбактерин мешала с водой (около 0,5 мл) и выпаивала в клюв. На птицу в 300 грамм фортифлору я добавляла на кончике чайно ложки. Амазон вроде вроде в районе 450 грамм. А вот если брать энтерол, то для птицы весом 400-500 грамм по 1/4 капсуле 2 раза в день (помню Зося для жако данную дозировку рекомендовала, амазон не сильном меньше жако). На корм можно сыпать, если птица все под чистую съедает, но если нет, то однозначно в клюв, чтобы потерь не было.
Nadea Опубликовано 30 ноября, 2018 Автор #14 Опубликовано 30 ноября, 2018 @KamaRo, спасибо. Споровита нигде нет.. Куплю фортифлору или энтерол. Думала про споробактерин, но что-то сомневаюсь давать. Наш худенький (сейчас 330 гр) + за время лечения схуднул на 10-15 гр, т.к. очень плохо днем ест. 350 гр для него оптимальный вес. Надеюсь, восстановится вес после налаживания работы ЖКТ.
Delfin Опубликовано 30 ноября, 2018 #15 Опубликовано 30 ноября, 2018 споробактерин -это сенная палка на физрастворе - т.е. если у птицы поджелудка - то при даче в клюв (1 капля!) будет рвота сразу же (у меня 2 волны и у обеих рвота начинается на нем. Но я его довала в клюв по 0,1мл 2 р в день воробью- все было ОК, хотя у него ТОЖЕ поджел, но правда печень более невпорядке чем оная....) 1
KamaRo Опубликовано 30 ноября, 2018 #16 Опубликовано 30 ноября, 2018 @Delfin Лена, ну здесь может быть индивидуальная непереносимость, хотя не должно, т.к. физраствором много чего разбавляют, в частности инъекционные препараты. @Nadea попробуйте энетрол, довольно хорошие результаты показал, раз вес всего 350 грамм, то разово берите по 1/6 капсуле 2 раза в день. Споровит - это вет.препарат и искать его лучше в каких нибудь крупных вет.аптеках, либо каких нибудь животноводческих или птицеводческих станциях (у нас такая станция есть и там можно много чего приобрести). Я периодически много чего заказываю вот в этой аптеке (от споровита, до антибиотиков и витаминов), https://www.vetlek.ru/shop/?gid=1316&id=1760, но думаю у вас точно в городе этот препарат купить можно (эта суспензия на воде, ничего лишнего). Споробактерин можно, но на сколько помню он дороже споровита выходит, и раз не на воде, то может вызвать индивидуальную непереносимость, хотя я думала,что он в капсулах (споробактерин). 1
Nadea Опубликовано 30 ноября, 2018 Автор #17 Опубликовано 30 ноября, 2018 @Delfin, спасибо, учту. @KamaRo, я обзвонила крупные ветаптеки и ветстанции, ветклиники, нигде нет. Несмотря на то, что город большой, имеются проблемы как с товарами, так и с лекарствами. Транспортировать споровит в мороз не рекомендуют. Сегодня, тьфу-тьфу, появился интерес к еде днем, встретил нас радостно. Пока дала 2 раза гепатовет и бифидумбактерин. Вечером добавлю энтерол.
KamaRo Опубликовано 30 ноября, 2018 #18 Опубликовано 30 ноября, 2018 @Nadea ну с ветлека точно не будет по морозу - я заказывала почтой России (даже зимой) и содержимое было более чем нормальной температуры. У нас в городе тоже много чего нет, все с Москвы заказываю (и корма, и препараты), но вот по вет.препаратам наша птицеводческая станция очень богата на препараты (там все кто может закупается, поэтому у них есть резон возить разные препараты). Сразу положительных результатов не ждите, они не так быстро появятся. Кстати, можно курсами давать минеральную воду по типу боржоми, курс зависит от состояния птицы (здоровой дают 5-ти дневными курсами 1 раз в 1,5 месяца), при проблемах с поджелудочной курсы могут быть и 3 недели. Из минералки выпускают газ, затем разбавляют в 3-5 раза водой и дают в поилке. Попробуйте на дней 5.
Nadea Опубликовано 30 ноября, 2018 Автор #19 Опубликовано 30 ноября, 2018 @KamaRo, спасибо! Оо, я и не жду, что птица быстро оклемается, просто любое хоть временное улучшение радует. Препарат тогда закажу.
Nadea Опубликовано 2 декабря, 2018 Автор #20 Опубликовано 2 декабря, 2018 К вечеру помет меняет цвет, скорее после гепатовета. Стоит ли поменять лекарство?
KamaRo Опубликовано 2 декабря, 2018 #21 Опубликовано 2 декабря, 2018 @Nadea а в какой дозировке даете разово и сколько раз в день? когда даете (до еды, после еды)?
Nadea Опубликовано 2 декабря, 2018 Автор #22 Опубликовано 2 декабря, 2018 @KamaRo, Зося в прошлом году давала дозировку 0,2 мл на 100 гр, даю по 0,4 утром и вечером, смешивая с гранатовым соком, до еды.
KamaRo Опубликовано 2 декабря, 2018 #23 Опубликовано 2 декабря, 2018 А Зося точно не суточную дозировку дала? ну, 0,4 мл в сутки? Попробуйте начать по 0,2 мл 2 раза в день и далее по переносимости смотрите.
Nadea Опубликовано 2 декабря, 2018 Автор #24 Опубликовано 2 декабря, 2018 (изменено) @KamaRo, дозировку точно давала по граммам, я перепроверяла. Попробую с уменьшенной дозой. Спасибо! Изменено 2 декабря, 2018 пользователем Nadea
KamaRo Опубликовано 3 декабря, 2018 #25 Опубликовано 3 декабря, 2018 @Nadea я не к тому что вы ошиблись с дозировкой, просто в такой дозировке дают суточно, т.е. 0,1 мл на 100 грамм птицы суточно, а не на 12 часов. Пока уменьшите дозировку и смотрите переносимость.
Nadea Опубликовано 6 декабря, 2018 Автор #26 Опубликовано 6 декабря, 2018 (изменено) Дозировку на гепатовет уменьшила, помет все равно неважный, сегодня решила поменять очередность и сначала дала бифидум + энтерол. В результате после него такая лужа. Утром такого не видно. Получается на гепатовет реакции никакой нет, а на энтерол вот. Бифидумбактерин отдельно давала, все нормально. Пропили лекарства неделю. Изменено 6 декабря, 2018 пользователем Nadea
KamaRo Опубликовано 6 декабря, 2018 #27 Опубликовано 6 декабря, 2018 @Nadea вы препараты на голодный зоб даете или на сытый? Такой помет когда? Всегда или по утрам? В вечерний прием какой помет? В промежутке между дачами препаратов? В принципе данные препараты хорошо идут на сытый желудок, гепатовет лучше немного погодя после еды. После чего нибудь существенного (паренка, прорст). На энтероле не должно такого помета быть, возможно на что то вспомогательно такая реакция. Додавайте энтерол до 10 дней.
Nadea Опубликовано 6 декабря, 2018 Автор #28 Опубликовано 6 декабря, 2018 @KamaRo, с утра такого помета нет. Даю утром после ночного "жора". А вечером даю на голодный зоб, и именно вечером после дачи лекарства такой помет. Стараюсь давать с промежутком в 12 часов. Мы рано с мужем встаем (в 7 уже на работе и до 16.45 попугай один), поэтому в 6/18 гепатовет, 6.30/18.30 энтерол+бифидум, в 19 кетотифен (осталось 4 дня, Зося прописала, думала на него реакция при совместной даче с гепатовет, но так же ничего ). Ничего дополнительно не даю. Вечером не получается на сытый зоб. Он не ест ничего, даю гранат, съест 2-3 зерна и все, еда всегда в доступе, при чем его любимая. Попугай днем то ест, то нет... Ужин у него в 20.30-21.00. Он сам даёт знать, что хочет есть. Тогда попробую с жидкой кашей давать (гречка+киноа). Может лучше перенесет. Спасибо!
KamaRo Опубликовано 6 декабря, 2018 #29 Опубликовано 6 декабря, 2018 @Nadea поэкспериментируйте с едой, как нибудь обманите, может соблазнится с вами за компанию поесть свой корм. У моих такой помет был при утренней даче и тоже на голодный желудок, при вечерней даче вполне себе ничего.
Nadea Опубликовано 6 декабря, 2018 Автор #30 Опубликовано 6 декабря, 2018 @KamaRo, спасибо, попробую, столько нюансов. Но подвижки незначительные уже есть. Позавчера очень хорошо днем поел, в помете воды поменьше стало.
Nadea Опубликовано 31 декабря, 2018 Автор #31 Опубликовано 31 декабря, 2018 @Zosia, @KamaRo, спасибо огромное за помощь моей птице. Все курсы лекарств полностью на днях окончили. Чувствует себя хорошо. Последнюю неделю было сложно давать гепатовет, убегал с большой скоростью на верхушку при виде шприца, значит сил много. Поправился до 350 гр +/-, сложно взвесить на пустой желудок, т.к. кушает часто: и днем, и когда приходим с работы, и перед сном. Более активный. Жаль, что вылечить до здоровой птицы не получится, дневной помет все также с водой, но в выходные, когда все дома, помет в течение дня неплохой, воды практически нет, изредка бывает с желтоватый мочой вечером одна какашка, но в целом неплохо. Проявляет любопытство, и в то же время вреднючий характер . Спасибо ещё раз и с наступающими праздниками!
Zosia Опубликовано 31 декабря, 2018 #32 Опубликовано 31 декабря, 2018 Вылечитесь.Только не очень быстро. С наступающим вас Новым Годом!
Nadea Опубликовано 14 января, 2019 Автор #33 Опубликовано 14 января, 2019 Добрый вечер! У нас снова проблемы. Началось пару дней назад. Сначала с утра пару кучек помета с серой плёнкой, здесь на форуме прочитала, что похоже на панкреатит. Такой диагноз был поставлен с момента приобретения попугая на основе нейтральной жира. Вчера плохо ел, только поклевал немного в течение дня. А сегодня целый день такой помет. Чтобы целый день такие кучки никогда не было. Такого цвета имели только после гептрала и орунгала. Каковы могут быть причины такого помета? Переживаю, что печень даёт о себе знать, завтра все же записалась к врачу, заменяющий Аронову, перешагнув через недоверие, понимаю, что лучше очного осмотра ничего нет. Заодно и отзыв оставлю. Так как врача не знаю, хочу быть вооружена, чтобы не упустить важное. Снова переживаю, что вопросы останутся без ответов. Вроде лечимся уже 2 года разными курсами, а постоянно что-то вылезет, диагноза толком нет. Неужели нет ничего поддерживающего для попугаев с хроническими болезнями?!
Nadea Опубликовано 15 января, 2019 Автор #34 Опубликовано 15 января, 2019 (изменено) Были сегодня у ветврача. Сложно пока что-то сказать, создаёт впечатление компетентного специалиста. Только смутило то, что прописала гептрал давать с дюфалаком. Изменено 15 января, 2019 пользователем Nadea
Кузяныч Опубликовано 8 февраля, 2019 #35 Опубликовано 8 февраля, 2019 ...Есть что нового, как у вас дела?
Nadea Опубликовано 8 февраля, 2019 Автор #36 Опубликовано 8 февраля, 2019 @Кузяныч, вроде все хорошо, тьфу-тьфу-тьфу. Посев помета выявил только недостаточность микрофлоры. Заканчиваем курс гептрала и пробиотиков. Зелёный помет скорее следствие отравления, грешу на шрот расторопши и новую пачку корма. Не сразу поняла, что с ними что-то не так, запах у обоих был необычный. Через неделю на повторные анализы. Жаль только, что после последнего приёма антибиотиков стал менее доверчивым, из рук уже не берет любимые лакомства. Новый врач Рупасова Дарья Николаевна, пришедший на смену ушедшего в декрет (рекомендованный на форуме), создал хорошее впечатление, единственное хотелось бы более лёгкой обстановки, на все время приёма чувствовала, что я все делаю не так для попугая. Можно рекомендовать на время отсутствия Ароновой. Кабинет тот же "Белая Ворона".
Кузяныч Опубликовано 11 февраля, 2019 #37 Опубликовано 11 февраля, 2019 А копрологическое исследование помёта проводили? По копрограмме сразу будет заметно, если имело место отравление, ударившее по печени.
Nadea Опубликовано 11 февраля, 2019 Автор #38 Опубликовано 11 февраля, 2019 @Кузяныч, да, проводили, как раз печеночные показатели были сзавышены по сравнению с предыдущими. У птицы печень увеличена с момента приобретения, но всегда было + или ++, а последний раз +++
Nadea Опубликовано 16 апреля, 2019 Автор #39 Опубликовано 16 апреля, 2019 На сегодняшний день клебсиелла не выведена, после очередного курса антибиотиков осталась на том же высоком уровне, к сожалению, по всей вероятности вновь развивается аспергиллез.
Кузяныч Опубликовано 17 апреля, 2019 #40 Опубликовано 17 апреля, 2019 Вот, дьявол... Думаю, вам нужно созвониться с Зосей: она подскажет как точно диагностировать аспергиллёз, какие ещё меры предпринять по поводу клебсиеллы с учётом того, что вы уже сделали. Свяжитесь с Зосей.
Nadea Опубликовано 17 апреля, 2019 Автор #41 Опубликовано 17 апреля, 2019 (изменено) @кузяныч, спасибо, я ей уже написала. Изменено 17 апреля, 2019 пользователем Nadea
KamaRo Опубликовано 18 апреля, 2019 #42 Опубликовано 18 апреля, 2019 @Nadea а к чему чувствительна клебсиелла (в предыдущем анализе и сейчас)?
Nadea Опубликовано 19 апреля, 2019 Автор #43 Опубликовано 19 апреля, 2019 @KamaRo, последний пока не видела, но судя по предыдущим устойчивость/чувствительность не меняется, делаем в разных лабораториях, препараты различаются. Чувствительность только к фторхинолонам, пропили уже 3 вида...
Кузяныч Опубликовано 26 апреля, 2019 #44 Опубликовано 26 апреля, 2019 (изменено) Попробуйте позвонить Зосе -- у неё ящик быстро переполняется письмами, да и, к сожалению, на форуме она появляется не так уж часто сейчас. Изменено 26 апреля, 2019 пользователем Кузяныч
Nadea Опубликовано 9 июня, 2019 Автор #45 Опубликовано 9 июня, 2019 Всем доброго дня! Клебсиеллу вывели, не знаю, что помогло, в этот раз добавила к антибиотику помимо клебсиелльного бактериофага, ещё и секстафаг. Аспергиллы потихоньку выводим, после 1,5 мес лечения затемнения значительно уменьшились, остались только в задних (если я правильно поняла) воздушных мешках. Надеюсь, полностью сможем вывести. Но, к сожалению, имея хронические заболевания, иммунитет слабенький, не факт, что снова не заболеет. Будем стараться поддерживать здоровье.
Рекомендуемые сообщения
Для публикации сообщений создайте учётную запись или авторизуйтесь
Вы должны быть пользователем, чтобы оставить комментарий
Создать аккаунт
Зарегистрируйте новый аккаунт в нашем сообществе. Это очень просто!
Регистрация нового пользователяВойти
Уже есть аккаунт? Войти в систему.
Войти