olinca Опубликовано 3 июня, 2016 #1 Опубликовано 3 июня, 2016 (изменено) Поймала голубя, на лапу не вставал, по прощупыванию похоже на околосуставной перелом цевки, закрытый. Летает отлично - улетел от меня на фонарный столб и деревья, метров на 5 над землёй). Планирую зафиксировать лапу, дать срастись, затем позволить голубю разлетаться (как это лучше сделать?) и выпустить обратно. На сколько важно сделать ему рентген и анализы, можно ли самостоятельно зафиксировать лапу и как? Ещё у него сильно выдран хвост. Фото прикреплю, когда до дома с ним доберусь. Изменено 25 июня, 2016 пользователем Zosia
olinca Опубликовано 3 июня, 2016 Автор #2 Опубликовано 3 июня, 2016 Перелом не цевки, а голени, сейчас лучше рассмотрела. Но всё равно околосуставной. Пойдём делать рентген. Лапа тёплая, но после перелома ничего не шевелится. Можно ли надеяться на восстановление чувствительности? Голубь активный, пришлось замотать в бинт, чтобы осмотреть. Также фото помёта прилагаю.
olinca Опубликовано 3 июня, 2016 Автор #3 Опубликовано 3 июня, 2016 Позвонила в клинику, где хотела делать рентген, они мне дали врача, который у них специализируется на птицах, этот врач и говорит, что если перелом голени близко к цевке, то операцию смысла делать нет, и это место можно только бинтиком зафиксировать (т.е. не гипсовать и ничего подобного не использовать), т.к. на этом месте часто образуются некрозы. Зафиксировать я и сама могу. Т.о. что всё-таки мне делать? Фиксировать лапу, давать кальций, ограничивать подвижность?
Zosia Опубликовано 3 июня, 2016 #4 Опубликовано 3 июня, 2016 Фиксировать лапу, давать кальций, ограничивать подвижность? Именно. На 3 недели.Делать шину "с заходом", над местом перелома- "окно", чтобы контролировоть цвет тканей. И еще на 5 дней ибупрофен ему, сиропом детским (из расчета 1 мг на 100 гр веса раз в 8 часов).Шоб не так болело...
olinca Опубликовано 3 июня, 2016 Автор #5 Опубликовано 3 июня, 2016 Именно. На 3 недели.Делать шину "с заходом", над местом перелома- "окно", чтобы контролировоть цвет тканей. И еще на 5 дней ибупрофен ему, сиропом детским (из расчета 1 мг на 100 гр веса раз в 8 часов).Шоб не так болело... Спасибо за советы!Я думала про обезболивание, но в Дно Болота мне ответили, цитирую "Очень желательно подавать кальций и НЕжелательно обезболивающее. Пусть бережёт лапку." Всё-таки давать или нет? И подойдёт ли детский нурофен? Сколько давать кальция? В Орландо дали рекомендацию 1/4 таблетки глюконата кальция в день, выполнять? И я не совсем поняла, что такое шина с "заходом" Можно подробнее про это или ссылочки, где почитать? И как проконтролировать, что перелом сросся? Ещё очень волнует, что сейчас пальчики совсем не работают, боюсь, что не заработают совсем
Zosia Опубликовано 3 июня, 2016 #6 Опубликовано 3 июня, 2016 Спасибо за советы!Я думала про обезболивание, но в Дно Болота мне ответили, цитирую "Очень желательно подавать кальций и НЕжелательно обезболивающее. Пусть бережёт лапку." Всё-таки давать или нет? И подойдёт ли детский нурофен? Сколько давать кальция? В Орландо дали рекомендацию 1/4 таблетки глюконата кальция в день, выполнять? И я не совсем поняла, что такое шина с "заходом" Можно подробнее про это или ссылочки, где почитать? И как проконтролировать, что перелом сросся? Ещё очень волнует, что сейчас пальчики совсем не работают, боюсь, что не заработают совсем Обезболивать обязательно.Зачем излишние страдания птице?Конечно нурофен пойдет. Шина "с заходом"- значит несколько длиннее косточки,вдоль которой она наложена. С выходом впере и назад на несколько миллиметров. Я шины на гулей делала из прутков клетки(взрослым), из игл от 6-10 кубовых шприцев. Предварительно обматывала тканевым пластырем.
olinca Опубликовано 3 июня, 2016 Автор #7 Опубликовано 3 июня, 2016 Обезболивать обязательно.Зачем излишние страдания птице?Конечно нурофен пойдет. Шина "с заходом"- значит несколько длиннее косточки,вдоль которой она наложена. С выходом впере и назад на несколько миллиметров. Я шины на гулей делала из прутков клетки(взрослым), из игл от 6-10 кубовых шприцев. Предварительно обматывала тканевым пластырем. Мне бы посмотреть какие-нибудь фотографии, как это должно выглядеть, буду очень благодарна, если такие есть.
KamaRo Опубликовано 4 июня, 2016 #8 Опубликовано 4 июня, 2016 olinca, лучше бы все таки сделать рентген, чтобы не только знать место перелома, но в каком состоянии перелом, как кости лежат. Если кости отошли друг от друга, то наверняка операция нужна, но опять же нужен хороший хирург, да еще и вет.орнитолог. (Полосатая делала операции такие, показывала фото "до", в "процессе" и "после", там спицы вставляли)где то на форуме были фото наложения шин, сейчас уже не найти, наверное, но наложение шины похоже на наложение шины человеку (образуется некий карман, который позволяет видеть что в глубине. По поводу кальция, то лучше в жидкой форме, для усвоения нужен витамин Д3 (подойдет в комплексных птичьих).
olinca Опубликовано 4 июня, 2016 Автор #9 Опубликовано 4 июня, 2016 olinca, лучше бы все таки сделать рентген, чтобы не только знать место перелома, но в каком состоянии перелом, как кости лежат. Если кости отошли друг от друга, то наверняка операция нужна, но опять же нужен хороший хирург, да еще и вет.орнитолог. (Полосатая делала операции такие, показывала фото "до", в "процессе" и "после", там спицы вставляли)где то на форуме были фото наложения шин, сейчас уже не найти, наверное, но наложение шины похоже на наложение шины человеку (образуется некий карман, который позволяет видеть что в глубине.По поводу кальция, то лучше в жидкой форме, для усвоения нужен витамин Д3 (подойдет в комплексных птичьих). Веторнитологов у нас нет. Хирурги есть, но по млекопитающим. Я уже давно работаю с птицами и знаю этот расклад - мы птицу не будем оперировать, у нас есть 100500 причин вчера общалась по телефону с врачом, которая могла бы это сделать, но она, узнав где перелом находится сразу сказала, что это оперировать нельзя и зачем нам рентген. Так что на наших врачей надежды нет. Но я попробую договорится.Есть ли какие-то указания по поводу операции? Какой нужен наркоз, какие-то особенности? А то мне этот врач, которая пытается птицами заниматься, как-то сказала, что кости полностью обезболить нельзя, и у них птицы под наркозом умирали от болевого шока.
KamaRo Опубликовано 4 июня, 2016 #10 Опубликовано 4 июня, 2016 olinca, Рентген нужен хотя бы для понимания, информации и принятия решений. Людям же делают хотя и ежу ясно, что банально лангету наложить или гипс, а птица чем хуже.Я по некоторым темам видела, что в Москву птицы переправляются (правда из разряда хищей), но если перелом сложный, то почему бы и эту не переправить (ваша врач, думаю, не сможет сделать нормальную операцию из-за специфики птиц). У нас в городе один "опытный" хирург-вет.орнитолог делал операцию на крыле у вОрона, в итоге часть крыла удаляли (не правильно спицу подобрали, не правильно поставили и она болталась).На счет операции указаний не может быть никаких - либо вет.орнитолог знает, умеет работать и оперировать птиц, либо не браться вообще. Пока рентген нужен, если перелом без смещения и кости хорошо лежат, то шина справится с проблемой. На форуме несколько лет назад был случай с волнушкой - перелом бедра, причем кость не срасталась, птицу привезли в Москву к Колотову, но люди не состыковались с доктором, т.к. он ехал, а ждать долго времени не было. В итоге все печально закончилось, птица погибла.
olinca Опубликовано 4 июня, 2016 Автор #11 Опубликовано 4 июня, 2016 olinca, Рентген нужен хотя бы для понимания, информации и принятия решений. Людям же делают хотя и ежу ясно, что банально лангету наложить или гипс, а птица чем хуже.Я по некоторым темам видела, что в Москву птицы переправляются (правда из разряда хищей), но если перелом сложный, то почему бы и эту не переправить (ваша врач, думаю, не сможет сделать нормальную операцию из-за специфики птиц). У нас в городе один "опытный" хирург-вет.орнитолог делал операцию на крыле у вОрона, в итоге часть крыла удаляли (не правильно спицу подобрали, не правильно поставили и она болталась).На счет операции указаний не может быть никаких - либо вет.орнитолог знает, умеет работать и оперировать птиц, либо не браться вообще. Пока рентген нужен, если перелом без смещения и кости хорошо лежат, то шина справится с проблемой. На форуме несколько лет назад был случай с волнушкой - перелом бедра, причем кость не срасталась, птицу привезли в Москву к Колотову, но люди не состыковались с доктором, т.к. он ехал, а ждать долго времени не было. В итоге все печально закончилось, птица погибла. Да, хищей переправляла в Москву, но это всегда сопряжено с определёнными трудностями и в первую очередь финансовыми. В данный момент я не могу себе позволить оплатить такую операцию в Москве (а также пересылку и послеоперационный уход).А уже наложенная шина помешает сделать рентген?
KamaRo Опубликовано 4 июня, 2016 #12 Опубликовано 4 июня, 2016 Помешает, т.к. птицу нужно правильно уложить и лапку растянуть, в общем лишние предметы на рентгене не нужны.
olinca Опубликовано 4 июня, 2016 Автор #13 Опубликовано 4 июня, 2016 Ох. Не знаю, что делать. Шину наложили по рекомендациям Зоси с заходом, в результате чего лапа оказалась выпрямлена в области голени и цевки, пальцы птицы под её хвостом. В таком положении он скачет на одной лапке, сам кушает. Я читала тему, схожую с моим случаем (там был закрытый перелом голени у вороны, застарелый), именно такое положение лапы и шины там рекомендовал сделать Чеширский. Таким образом, лапа вытянута и нормально получится на рентгене (если материал шины не затемнит снимок, а материал там 2 зубочистки, обмотанные тканевым лейкопластырем, самофиксирующийся бинт и поверх него ещё для фиксации лейкопластырь). Но нормально ли птице с такой лапой? Ведь это на 3 (!) недели!В общем, завтра пойду рентгенить всё-таки... И вот фото шины. Правильно ли вообще, или я всё напутала?
KamaRo Опубликовано 5 июня, 2016 #14 Опубликовано 5 июня, 2016 Внешне шина выглядит прилично, другой вопрос на сколько кости чувствуют себя хорошо.Лапа теплая? Птица как то реагирует на раздражители пальцами?
olinca Опубликовано 5 июня, 2016 Автор #15 Опубликовано 5 июня, 2016 Сегодня утром обе лапы холодные, вчера были тёплые. Пальцы больной лапы не реагируют на касания, но как-то дрожжат, задний пальчик особенно. Рентген сделала, выложу как только смогу.
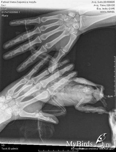
olinca Опубликовано 5 июня, 2016 Автор #16 Опубликовано 5 июня, 2016 (изменено) Меня беспокоит эта агломерация белых точек, это не раздавленное яйцо? Ну и кости на фронтальной проекции видно, что разошлись довольно сильно На рентгене довольно хорошо видно шину Шина состоит из 2-х зубочисток, одну, сбоку лапы особенно хорошо видно, а вот вторая лишь чуть чуть выставляется и идёт ЗА костью. Надеюсь, не сильно мешает обзору. Изменено 5 июня, 2016 пользователем olinca
KamaRo Опубликовано 5 июня, 2016 #17 Опубликовано 5 июня, 2016 olinca, напишите Зосе, на втором фото мне видится перелом с сильным смещением (на первом фото как то не понятно). нужно было снять шину для рентгена.
olinca Опубликовано 5 июня, 2016 Автор #18 Опубликовано 5 июня, 2016 Первые 2 фото - это увеличенные фрагменты рентгена (вторые 2 фото). Само первое - боковая проекция, на ней действительно плохо видно, второе - фронтальная.
olinca Опубликовано 6 июня, 2016 Автор #19 Опубликовано 6 июня, 2016 (изменено) В день наложения шины лапа голубя была выпрямлена назад, во второй день он стал подтягивать цевку, в результате пальцы, безвольно висящие горсточкой стали опираться на дно коробки, а сегодня они уже опираются в правильном положении. Но всё такие же бесчувственные. Лапа ниже перелома тёплая, но пальцы холодные и на второй лапе также. Изменено 6 июня, 2016 пользователем olinca
KamaRo Опубликовано 6 июня, 2016 #20 Опубликовано 6 июня, 2016 Я бы перед наложением шины сделала рентген и уже от него плясала - если кости лежат нормально, птица лапу бережет, то я бы фиксирвоать не стала, чтобы не сместить кости (контроль вела бы за состоянием тканей).У меня сейчас голубь на выхаживании - перелом цевки, со смещением, но фиксировать не стали, т.к. птица лапу берегла и скакала на одной, ну и перелом уже начал срастаться. Сейчас лапа полностью восстановилась, а по началу казалось, что лапа не восстановится.
Delfin Опубликовано 6 июня, 2016 #21 Опубликовано 6 июня, 2016 имхо перелом со смешением, тут хирург нужен...может кто есть у вас кто хотыбя мелких млеков оперирует? спицу бы поставить...
KamaRo Опубликовано 6 июня, 2016 #22 Опубликовано 6 июня, 2016 Delfin, не надо спицу, потом по самое нехочу ампутировать лапу. Имеет смысл делать операцию, если птицу доставят в Москву, а так консультирвоаться у Зоси, вроде с таким переломом вроде лапа срастается, другой вопрос выпускной ли будет.
olinca Опубликовано 6 июня, 2016 Автор #23 Опубликовано 6 июня, 2016 Расклад у меня такой. Цифровой рентген есть только в 2х ветклиниках города, но с дикими птицами работает только одна из них. В этой ветклинике есть ветеринар, специализирующийся на птицах. И каждый раз, когда я звоню им записаться и произношу волшебное слово "птица" - меня сразу соединяют с этим врачом. В отношении голубя она сказала, что оперировать в таком месте они не будут, а без операции и рентген ни к чему. Хотя уговорить то на операцию можно, но я боюсь, птицу угробят или до ампутации доведут. Сейчас я договорилась с клиникой, меня будут принимать с птицами на рентген со скидкой и не будут навязывать своего врача, но я буду делиться с ней информацией о лечении своих птиц. И если честно, если бы рентген показал, что нужен остеосинтез - сомневаюсь, что я смогла бы отправить его в Москву. А с шиной, я надеюсь, он хотя бы не усугубляется. Потому что птицу приходится брать в руки и он трепыхается и отпинывается как может.
Zosia Опубликовано 6 июня, 2016 #24 Опубликовано 6 июня, 2016 Гм.1.Я-не хирург. То что знаю- по части костей- эмпирический опыт(неи всегда удачный), не только свой.2.Если не сделана репозиция отломков сразу при постановке шины- сейчас поздно пить боржоми. В принципе если фиксация не причинает птице неудобства, иннервация сохранена, то пусть ходит себе 3 недели с шине.3.Ему надо нестероидные противовспалительные пить,препараты кальция (Бене-бак ),покой и хороший корм. И знач живучесть гулей- если не случится катастроФИЧЕСКОГО СМЕЩЕНИЯ (БЫЛО ТАКОЕ ОДНАЖДЫ С ВОЛНИСТИКОМ, АЖ ПОД 45 % ВСТАЛИ КОСТОЧКИ,ПТИЧЕК ПОГИБ)- ТО ВСЕ У НЕГО ЮУДЕТ НОРМАЛЬНО. Сорри,капс лок заело, лень перепечатывать.
olinca Опубликовано 7 июня, 2016 Автор #25 Опубликовано 7 июня, 2016 На месте перолома вздулось нечто типа мозоли, причём только с одной стороны. Кожа там сильно надута, внутри будто прозрачная жидкость. Что это, и как с этим поступить? Может помазать чем-нибудь? Есть раствор бетадина, террамицин-спрей...Ещё мне кажется, что голубь произвольно шевелит пальцами на сломанной лапе. А ещё он весь покрылся трубочками в тех местах, где перья были выдраны
Delfin Опубликовано 7 июня, 2016 #26 Опубликовано 7 июня, 2016 срочно дайте фото этого места и стукнитесь к Зосе. Может прокалывать придется (не зря же вседа дренаж ставят при операциях нпр) или еще что делать -со слов НЕЯСНО что у вас, фото нужны! и опишите какая эта штука на ощупь -твердая? мягкая? есть ощущение словно там жидкость?
olinca Опубликовано 8 июня, 2016 Автор #27 Опубликовано 8 июня, 2016 Не получается на фотках попробую сфотографировать получше. Да, мягкая на ощупь и есть ощущение, что там жидкость.
KamaRo Опубликовано 8 июня, 2016 #28 Опубликовано 8 июня, 2016 Это не может быть типо мозоли? Шина не могла натереть?
olinca Опубликовано 8 июня, 2016 Автор #29 Опубликовано 8 июня, 2016 Это похоже именно на мозоль, но в этом месте шины нет, она крепится выше и ниже, а зубочистки с другой стороны. Но "мозоль" с внешней стороны, в теориии он мог натереть её об стенку коробки.
olinca Опубликовано 8 июня, 2016 Автор #30 Опубликовано 8 июня, 2016 Припухлость распространилась на всю область перелома, под тонкой кожицей жидкость.
Delfin Опубликовано 8 июня, 2016 #31 Опубликовано 8 июня, 2016 мне это дело ОЧ ненра звоните Зосе!! (у брата был перелом стопы - всех костей - упал спец.мотоцикл на ногу, так нога стопа и там была жидкость - прокалывали и она стекала.... пока 5 дней ждали пока хирург приедит, дело было в канаде)
olinca Опубликовано 8 июня, 2016 Автор #32 Опубликовано 8 июня, 2016 Я могу проколоть. Думаю, нужно делать это в разных местах. Может проколоть иглой от шприца и шприцом выкачать жидкость? А после снаружи запшикать террамицином - он как раз для подобных случаев должен подходить.
Delfin Опубликовано 8 июня, 2016 #33 Опубликовано 8 июня, 2016 пока ничего самой не делать! пишу же - позвоните Зосе и она все скажет- что как и чем, может можно без прокола обойтись -тут нужно чтобы ОНА фото глянула.+7 906 773 92 95, в подписи сказано что она ВНЕ инэта, но вы же звонить будете.
olinca Опубликовано 8 июня, 2016 Автор #34 Опубликовано 8 июня, 2016 Позвонила Зосе, получила рекомендации, буду оперировать
Delfin Опубликовано 8 июня, 2016 #35 Опубликовано 8 июня, 2016 оперировать??- не прокалывать, а резать чтоли?? что сказала Зося - что вообще с лапой происходит?УДАЧИ! пусть все получится и птичек поправится!
olinca Опубликовано 9 июня, 2016 Автор #36 Опубликовано 9 июня, 2016 (изменено) Да, Зося сказала резать и дала все рекомендации. Но в итоге вышло не так, как планировалось. Часть жидкости не вышла через надрезы и дренаж я не смогла поставить. Голубь бодр, кушает, обороняется от меня.А ещё я выяснила, что в аптеках города практически нигде нет 2% новокаина - пол города обошла в его поисках, в результате начала операцию гораздо позже, чем планировала. И ещё узнала, что фурациллин у нас продаётся в шипучих таблетках для приготовления раствора, а обычного нигде нет.Ну фото того, что было под шиной. Изменено 9 июня, 2016 пользователем olinca
Gela Опубликовано 9 июня, 2016 #37 Опубликовано 9 июня, 2016 Желтое на фото похоже на гной, он у голубей не жидкий. И именно такого цвета. Вы Зосе показывали фото до операции ?
olinca Опубликовано 9 июня, 2016 Автор #38 Опубликовано 9 июня, 2016 Я разговаривала с ней по телефону и не могла показать фото. Только если она вечером видела фото в теме. Вечером я ей ещё раз звонила, уточняла по лекарствам, рекомендации были прежние.Значит, всё-таки гной. Он похоже в разных полостях, потому что я разрезала по центру гнойника, но часть гноя всё равно не вышла, хотя я дополнительно ножницами раздвигала края раны и пыталась пальцами гной переместить.И что сейчас делать? Новые надрезы?
olinca Опубликовано 9 июня, 2016 Автор #39 Опубликовано 9 июня, 2016 Хотя... Внутри жёлтого именно жидкость была, она под пальцами перекатывалась и турундочкой я её промакивала - впитывалась жёлтым пятнышком. Наверно всё-таки не гной, а лимфа это.
Delfin Опубликовано 9 июня, 2016 #40 Опубликовано 9 июня, 2016 ГНОЙ у птиц - твердый, творожестый типа, только засторелный более жидкий становится.
olinca Опубликовано 9 июня, 2016 Автор #41 Опубликовано 9 июня, 2016 Таким образом приходим кивыводу, что это не гной. После операции вот ещё осталось. Чтобы это убрать надо было ещё 1 а то и больше надрезов делать и я побоялась
olinca Опубликовано 9 июня, 2016 Автор #42 Опубликовано 9 июня, 2016 Сегодня сняла шину, обработала всю лапку смесью №1 и снова наложила шину. Вот так выглядит лапа - жёлтого немного есть ещё, но часть его вышла самостоятельно, похоже. Помёт посветлел, это нормально?
olinca Опубликовано 14 июня, 2016 Автор #44 Опубликовано 14 июня, 2016 Лапа выглядит хорошо, но шину он с неё начал стаскивать и я решила её совсем снять. На больную лапу голубь опирается при ходьбе, причём уверенно, лишь слегка прихрамывает, пальчики тёплые, но по прежнему практически не работают, сжимаются только все вместе, как бы у основания, а дальше пока не шевелятся.Помёт снова потемнел, как только ибупрофен перестала давать. И хвост у него шикарный отрастает. Сейчас я беспокою его только разв день - на время уборки и кормёжки. В корм даю глюконат кальция и кормовую серу.Как думаете, можно ли будет его выпустить и как скоро?
Zosia Опубликовано 15 июня, 2016 #45 Опубликовано 15 июня, 2016 Не ранее чем через 3 недели после аварии.
Рекомендуемые сообщения
Для публикации сообщений создайте учётную запись или авторизуйтесь
Вы должны быть пользователем, чтобы оставить комментарий
Создать аккаунт
Зарегистрируйте новый аккаунт в нашем сообществе. Это очень просто!
Регистрация нового пользователяВойти
Уже есть аккаунт? Войти в систему.
Войти