Перейти к содержанию
Место для вашей рекламы

 

Асцит. Как отвести жидкость?


Рекомендуемые сообщения

Опубликовано

Здравствуйте. Птице по словам  удалённого врача надо отвести жидкость из брюшной полости. Дышит тяжело, на лапы уже не становится. Очный приём только завтра в час дня в другом городе. В Ростове на Дону сделать это некому. Единственный врач который принимал меня на больничном с травмой руки. Есть шанс вывести таблетками все-таки ? Может можно в дом условиях отвести? 

иду в аптеку за мочегонным могу видео чуть позже дать ссылку. Но там сто процентов асцит, по рентгену похоже, визуально тоже похоже и со вчерашнего дня объём увеличился.

 

ранее птица две недели получала метронидазол 1,3 мл 2 р д

амоксиклав 250мг 5 мл 0,35 2 р д

нистатин

гептрал инъекционный

мелоксикам 7,5 мг 5 мл 0,1 

 

и так 13 дней. Помет стал желтый отменили.

 

обращалась к врачу с бляшками в горле и выделениями прозрачными из восковиц и желейной прозрачной массой из щели в небе.

 

Опубликовано

приложите рентген, фото, анализы всё что у Вас есть чтобы посмотрела @Zosia

 

ВЫЖИТЬ и Здоровья Вашему голубю! :fly:

 

Опубликовано

Отбой. Птице просто было жарко. Пока я сломя голову бегала в аптеку за диуретиками (уходя я включила кондиционер) птиц ожил. Открываю дверь с мыслями только бы не трупик, а он ходит, перья чистит, увидел меня и сразу есть просить. 
 

у нас конечно все плохо, но шансы дожить до завтрашнего приёма появились. 
 

Прошу прощения за бестолково созданную тему, не думала что у меня птицу может так расколбасить из за жары тем более жарковато, но и похуже бывало, а он не под прямыми солнечными лучами сидел. Удалить бы теперь, да не знаю как.

Только что, маленький принц сказал:

приложите рентген, фото, анализы всё что у Вас есть чтобы посмотрела @Zosia

 

ВЫЖИТЬ и Здоровья Вашему голубю! :fly:

 

Прошу прощения за беспокойство. Ожил, перегрев был. Мы завтра доберёмся до Краснодара там хороший врач в ветклинике Слон Константин Геннадиевич (если отчество не путаю) он очно осмотрит. 

Опубликовано

как вернётесь расскажите как съездили

10 минут назад, imolo сказал:

Открываю дверь с мыслями только бы не трупик, а он ходит, перья чистит, увидел меня и сразу есть просить. 
 

у нас конечно все плохо, но шансы дожить до завтрашнего приёма появились. 

:yahoo:

Опубликовано

@маленький принц съездили вчера, откачали жидкость. Сдали помет и мазок из зоба бакпосев, и пцр на сальмонеллез, хламидиоз, микобактерии и ещё какой-то, забыла. Будем выяснять причину асцита. Из слов врача поняла, что прогноз осторожный. Из-за затруднённого дыхания в следствие асцита пошли изменения в сердечке и с лёгкими не очень, воспаление. Но я смотрю на Чижика и не вижу, что он помирать собрался, после того как жидкость откачали проснулся зверский аппетит и повысилась активность. Буду надеяться, что выживет.
 

Асцит возможен ещё из-за нарушений в работе печени сказал врач, а у Чижика проблемы с печенью есть. Увеличена и помет был желтый.

 

вообще про помет и влияние питания напишу наш случай. Я кормила его кашей 5 злаков, постепенно объём каши у нас стал в сутки 90 мл. Помет так себе, куча слизи, не всегда оформлен, но цвет норм. И вот я раздобыла nutribird a21. Слышала что на нем птицы отлично набирают вес, а мой Чижик был всего 130 грамм, За килевую кость его спокойно можно было брать. Спросила у врача, она подтвердила что nutribird отличный вариант. И вот перешли на него, а он стоит в зобе, за день всего 30 мл скормить удалось, помет сразу желтый. Я пока поняла что это он влияет на цвет помета неделю птицу им кормила. И он не красит помет, он именно по печени бьет, потому что красящего пигмента не заметила в каше, она обычного бежевого цвета. А вот асцит появился при переходе на нутри или раньше не могу сказать, заметила я его примерно в то же время что и на нутри перешла. Покупала нутри на развес на озоне, утверждали что оригинал, запаян был в вакуум, срок годности правда до 3 сентября, но когда я его начала скармливать ещё полторы-две недели оставалось. В общем очень негативный опыт. Либо все таки левый nutribird был, либо на фоне антибиотиков когда и так нагрузка на печень идёт, его нужно с осторожностью. Перешли обратно на 5 злаков, желтизна ушла в ту же ночь. 

Опубликовано
23 часа назад, imolo сказал:

я смотрю на Чижика и не вижу, что он помирать собрался, после того как жидкость откачали проснулся зверский аппетит и повысилась активность. Буду надеяться, что выживет

отлично! :clap:

  • 3 недели спустя...
Опубликовано

@маленький принц 
 

Добрый день. Асцит у нас исчез, но Чижику поставили диагноз микоплазмоз (пцр сдавали) и оспа (визуально по шишишкам)

 

Назначенная схема лечения не помогает, выглядит она так:

 

Суммамед 200мг/5мл суспензия 0,35 1 р д

Ацикловир 200 мг/5 мл со вчерашнего дня 0,5 мл 4 р д (до этого 0,4 р д)

 

Флуконазол 50мг/5 мл 0,3 мл 2 р д

Гептрал (инъекционный) 1 мл 1 р д 

Бетадин смазывать шишки 3 р д

 

Ретинола ацетат 1 капля в кормление 1 р д

Кашу готовлю на отваре эхинацеи

 

Это лечение уже с 13 сентября, но динамика отрицательная( вес стоит, даже  худеть начал -5 г сегодня, шишки растут, правая лапа за сегодняшнюю ночь сильно распухла, лапу поджимает, глаз беспокоить стал сильнее появились какие то выделения с кучей пузырьков, раньше слезился но совсем незначительно). По состоянию малоактивный, особо не ходит и не летает можно сказать совсем)

 

 

На ваш взгляд схема адекватная? Дело в том что диагноз поставили не сразу, я долго не могла добраться в другой город на очный осмотр, то есть может быть такое что я опоздала и уже слишком сильно развилась болезнь. 

 

Питание каша безмолочная 5 злаков 120 мл в сутки.  

 

на фото помет оформленный сегодняшний, неоформленный вчерашний (оформился после повышения ацикловира до 0,5 мл). Первые три фото — сегодня. Остальные — вчера/позавчера.

помет оформился сегодня после увеличения ацикловира до 0,5 мл.

86DDF810-5362-4F3F-A886-DF69632CA29B.jpeg

38B3FFA4-58AF-47AE-B387-8AC955018A7F.jpeg

06B61615-3A78-4980-9E5E-DDCDA7326FB1.jpeg

6B1ECC81-A1C2-4228-BFD0-E16D16A30485.jpeg

D54629CF-EFB2-419E-BE65-235C635FBCC7.jpeg

A3A044DC-1EE0-4ABE-9FFC-223B386E6968.jpeg

977DC62C-793B-42FA-848F-1107B86C28C8.jpeg

14E5185D-4BEA-4888-BEC1-88FC0D3CAB4F.jpeg

8DD405D8-FAE0-40CB-97DA-32243CD27EFC.jpeg

D28E5316-E8A3-484D-B418-06085855BA48.jpeg

Опубликовано

про лечение оспы 

Цитата

 

  В 05.09.2021 в 07:04, voyagyur сказал:

У Вашего малыша птичья оспа.

Для млекопитающих безопасно,а другой Ваш голубочек может заразиться.

Коробку или переноску малыша накрыть марлей медицинской. В аптеках совсем недорого стоит.

Желательно в отдельное помещение,куда Ваш голубь не проникнет . Например кухня,ванная,коридор.

Работаем с малышом в перчатках,можно как в хозотделах для домохозяек,для мытья посуды. Они прочные и прослужат долго.

Как оказалось вирус оспы может попадать в поры кожи рук и мытье рук не всегда спасает.Можете потом другого голубя заразить.Если б один оспенник был,тогда перчатки были бы не нужны,т к. Оспа птичья опасна только для птиц.

Но мыть руки все равно надо.

Работать в одежде с коротким рукавом. Руки мыть до локтя хоз. мылом,т.к. случайно может крыльями дотронуться выше перчаток. И одежду лучше отдельную для работы с малышом,футболку например. Поработали с ним,сняли и в пакет положили до следующего раза.

Возможно я и перестраховываюсь,но как говорят арабы,на Аллаха надейся,а верблюда привязывай.

Лечение.

Ацикловир таблетки.

1/4табл. на два приёма,утром и вечером,разделяем четвертушку примерно на равные части,ну как получится,лишь бы суточную дозу соблюсти.

Мазь ацикловир или герпевир,действ.вещество одно и тоже.

Оспины смазываем мазью попеременно с йоддицирином. Которая возле глазика мазью попеременно с люголем,чтоб не обжечь глазик при возможном попадании,но лучше поосторожней.

Второму Вашему голубочку ацикловир таблетки в тех же дозировках для профилактики.

Это опять для подстраховки. Не переживайте,ацикловир птицами хорошо переносится,побочек не заметил .

Альбувир,до его появления была большая смертность от оспы у птиц.

Бахмут насколько я понимаю в зоне,подконтрольной Украине.

Вам повезло,в Россию этого противовирусного перестали поставлять.На настоящее врем,это самое действенное средство против оспы птиц. Принимать параллельно с ацикловиром.

Даю телефон представителя производителя,у них дешевле,другие ветаптека накручивают цены.

Высылают Новой почтой и если попросить Джастином.

 

050 300 1027

Альбувир.Представителя зовут Наталия.

250мл флакон до недавнего времени стоил 120гривен. Думаю что цена осталась та же. Можно предоплату на карту ПриватБанк делать,так дешевле будет чем наложенным платежом  и они надёжные люди.

1мл альбувира,флакон перед отбором дозы потрясти хорошенько,разводим в 100мл воды.можно все уполовинить для экономии,если хватит на сутки птичке .Разведённый,в клюв птичке 1-1,5 мл сразу после или перед самой едой.

2-3 раза в день.

Неразведенным смачиваем оспины,прижать ватку с лекарством на 2-3 минуты.

До альбувира была большая смертность от оспы.Когда стал применять,был приятно удивлен,столько выживших у меня за все годы не было.

Флакон с альбувиром и бутылочку с разведенным,храним в холодильнике.

Да не написал выше,ацикловир запиваем водой 1мл.

Ещё,Иммуномодулятор Фоспренил 0,3мл в сутки ,в Клювик.

Покупаем в ветаптеках,храним в холодильнике.

Оспа поражает и ВН. Органы. Можно давать карсил,для поддержки печени,по 1/2таблетки утром и вечером.

Витамины чиктоник 1капля в 1мл воды,2раза в сутки. Покупать в ветаптеке. Маленький флакончик совсем дёшево стоит,15-20гривен.

Спасибо,что подобрали малыша Бедолажку,пусть Вам помогает Господь.

 

 

но там что-то ещё помимо оспы

2 часа назад, imolo сказал:

6B1ECC81-A1C2-4228-BFD0-E16D16A30485.jpeg

на левой ноге явные оспенные наросты

а на правой ноге под оспенными наростами совсем иные шишки :shok:

2 часа назад, imolo сказал:

8DD405D8-FAE0-40CB-97DA-32243CD27EFC.jpeg

то что между глазом и клювом выглядит как зреющий абсцесс

2 часа назад, imolo сказал:

38B3FFA4-58AF-47AE-B387-8AC955018A7F.jpeg

впервые такую пену вижу :shok:

2 часа назад, imolo сказал:

диагноз микоплазмоз (пцр сдавали)

результаты анализов покажите пожалуйста

 

нужно позвать @Zosia

3 часа назад, imolo сказал:

Это лечение уже с 13 сентября, но динамика отрицательная( вес стоит, даже  худеть начал -5 г сегодня, шишки растут, правая лапа за сегодняшнюю ночь сильно распухла, лапу поджимает, глаз беспокоить стал сильнее

под оспой как я уже сказал что-то ещё

 

3 часа назад, imolo сказал:

глаз беспокоить стал сильнее появились какие то выделения с кучей пузырьков, раньше слезился но совсем незначительно).

возле глаза абсцесс и что-то ещё

Опубликовано

@маленький принц 

спасибо огромное, ознакомилась, найти бы теперь альбувир, с остальным проблем не должно возникнуть.

 

может быть все же запущенная оспа? 
 

по анализам. В мазках найдена палочка, у меня Гуля уже год живет с этой палочкой, она устойчива ко всем аб кроме резервных, никак не вылечить, но птица в хорошем состоянии, вес отличный, кормление только принудительное неизвестно по какой причине, помет тоже хороший. Не должна эта палочка такое давать.

 

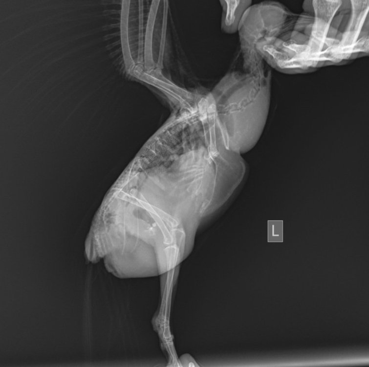
рентген делали когда был асцит, сейчас его нет.

 

Рентген и анализы от 29 августа

 

 

 

 

DDD0D907-9420-44A6-B84C-1F8E61573D45.jpeg

703F9FAB-2771-4D30-BD19-C4430B65D8C2.jpeg

CEF954A0-4ACF-4418-9039-6838AC30B0BC.jpeg

DB0E5E7B-5813-42D9-A6C7-B61846F10DF5.jpeg

F15670FB-CBCB-4300-A2B8-CAEE2CE99123.jpeg

B0FE6CEC-3071-4B51-9B21-272E4DBFEE30.jpeg

Эти шишки которые сейчас с желтой серыми корочками когда начинались были такого же цвета. Потом поменяли цвет и с них стали слазить корочки. 

Я имею в виду что все шишки которые есть на лапах начинались такого же цвета как те, которые Вы подозреваете что они не оспенные. Потом цвет менялся и появлялись корочки.

А вот под глазом да, на шишку совсем не похоже🤔 действительно похоже на абсцесс😭

Опубликовано
9 минут назад, imolo сказал:

может быть все же запущенная оспа? 

то что жёлтое - это точно оспа

но то что не жёлтое - это не оспа

осмотрите и ощупайте все суставы где что ещё опухло

10 минут назад, imolo сказал:

Я имею в виду что все шишки которые есть на лапах начинались такого же цвета как те, которые Вы подозреваете что они не оспенные. Потом цвет менялся и появлялись корочки.

когда оспенный нарост сходит то на его месте такая шишка не остаётся

судя по всему когда осматривали эти шишки были закрыты оспенными наростами и потому их не увидели

Опубликовано

@маленький принц А вы не подскажете микоплазмоз лечат тилозином ведь? 
если да, то подскажите дозировки и длительность, пожалуйста. У меня есть фармазин 50 но схемы не знаю и найти не могу здесь. Попадаются схемы доксициклина но у меня он не сработал.

Опубликовано
4 часа назад, imolo сказал:

Попадаются схемы доксициклина но у меня он не сработал.

можно подробнее что и в каких дозировках было, это для истории, мы очень часто его используем, надо понять применение без результата, проанализировать его, возможные ошибки или в целом наличие устойчивости к нему у некоторых птиц...

Опубликовано
6 часов назад, imolo сказал:

фармазин 50

у Вас инъекционный тилозин который нужно колоть внутримышечно рассчитав на точный вес в граммах на кухонных весах

Цитата

В 04.05.2016 в 21:21, dasha105 сказал:

Примеры расчетов на вес.

 

1. тилозин 50 ветеринарный
55 мг на кг суточная доза.

 

например птица весит 200 грамм
55 мг на 1000грамм
х мг на 200 грамм
х равен11 мг препарата в сутки

 

1мл тилозина содержит 50 мг вещества
х мл -11 мг вещества
х равен0,22 мл= за сутки
разбить на 2 раза - 0,11 мл два раза в день ВНУТРИМЫШЕЧНО

 

колоть внутримышечно примерно вот сюда
8160-250x250[1].jpg
ВНИМАНИЕ в ту часть киля что ближе к попе колоть НЕЛЬЗЯ
ВНИМАНИЕ при любых манипуляциях с птицей голову держать ВЫШЕ зоба чтобы случайно не захлебнулся содержимым
при уколе иглу инсулинового шприца держать поближе к кости киля так чтобы если уколете не так игла упёрлась бы в кость
чтобы не было синяков птицу держать так чтобы не дёрнулась при уколе
для уколов лучше инсулинка с несъёмной тоненькой иглой
после укола дать одну семечку без кожуры чтобы птичка не обижалась :)
(взрослому в день не более 10 семечек чтобы не посадить печень)
image.png

 

к антибиотику ОБЯЗАТЕЛЬНО нистатин четверть таблетки с водой через шприц без иглы в клюв дважды в день желательно за 30-40 минут до еды

 

курс лечения микоплазмоза шесть (6!) недель
(при улучшении переходит в скрытую форму оставаясь смертельно опасным для птицы)
отпишитесь подробно с фото о состоянии пациента через три дня после начала лечения
и отписывайтесь к концу каждой недели лечения
самостоятельно пожалуйста лечение не прекращайте
(после исчезновения симптомов должно пройти не менее 7-10 дней)
в случае каких-либо изменений в здоровье СРОЧНО пишите на форум
после окончания лечения несколько дней продолжать противогрибковое: нистатин, пимафуцин, флукуназол итп
например нистатин продолжают неделю, а флукуназол продолжают три дня
в случае флукуназола продолжать так же гепатопротектор: карсил, слимарин, гепатовет итп

Опубликовано

@Физкульт-привет! @маленький принця позже напишу суть того что с птицей происходило и какие а/б уже назначались. Сегодня тилозин колоть не буду, посоветоваться с вами хочу стоит ли именно его.

Опубликовано
13 минут назад, imolo сказал:

я позже напишу суть того что с птицей происходило и какие а/б уже назначались

нужно Вам Зосе это сообщить

анализы и рентген Зосе уже показали?

Опубликовано
11 минут назад, imolo сказал:

Сегодня тилозин колоть не буду, посоветоваться с вами хочу стоит ли именно его.

при микоплазмозе, если у вас был прием доксициклина, то выбор ограничивается его одноклассниками... вы выбираете лишь форму: уколы, питьевой, таблетки...

Опубликовано
В 19.09.2023 в 19:33, Физкульт-привет! сказал:

при микоплазмозе, если у вас был прием доксициклина, то выбор ограничивается его одноклассниками... вы выбираете лишь форму: уколы, питьевой, таблетки...

Не поняла, это какие препараты например?

 

не теряйте нас. Обратились к Софье, начали лечение. добавился тилозин вм, обработки оспин поменяли, глаз начали закапывать. Дела у нас плохи конечно.

 

по крайней мере внешне развитие симптомов затормозилось пока по крайней мере.

 

подскажите по поводу вм уколов. Я напортачила. Софья назначила 8мг/100 г веса сут дозировку, птица у меня 160 г. Объём фармазин при такой дозировке 0,25 мл. Объём вколола за один раз, образовалась гематома большая. Я нашла тему с моей проблемой и рекомендации. В гематому не колю и гепариносодержащий гель раз в сутки.
 

скажите пожалуйста. Фармазин 50 можно заменить на фармазин 200?

 

я два дня уколола суточную дозу в одно время, вчера только уколола в разные места, гематомы там нет. 
 

Тилозин по инструкции 1 р д колется, не отразится на эффективности если разделить дозу на 2 раза пока нет фармазин 200? Я его в лучшем случае через 2 дня достану.

 

прикрепляю для истории историю лечения. На этом лечении динамика отрицательная была. Но и случай конечно непростой: во первых очень поздно начато лечение (анализы не сразу сданы были, ошибочно приняли оспу за бактериальную гранулему и безуспешно пытались загасить ее а/б, а тем временем она развивалась) и осложняется это все наличием устойчивой ко всему палочки(

D9EDFDC1-6EF2-43D3-85F8-BE5A0EEA3EC5.jpeg

43742486-4BDA-43F9-B309-C27ECA46072C.jpeg

B84F82B9-7FDD-4C59-97AC-096D21E27C3C.jpeg

8E67F20F-890A-493E-B002-6638D119AB5D.jpeg

Опубликовано
47 минут назад, imolo сказал:

Тилозин по инструкции 1 р д колется, не отразится на эффективности если разделить дозу на 2 раза пока нет фармазин 200? Я его в лучшем случае через 2 дня достану.

Тилозин 50 колется 2 раза в день - такие рекомендации встречал. Вам зачем Фармазин 200, с которым надо возиться, считая нужную дозировку, разбавлять его.

Для публикации сообщений создайте учётную запись или авторизуйтесь

Вы должны быть пользователем, чтобы оставить комментарий

Создать аккаунт

Зарегистрируйте новый аккаунт в нашем сообществе. Это очень просто!

Регистрация нового пользователя

Войти

Уже есть аккаунт? Войти в систему.

Войти
  • Последние посетители   0 пользователей онлайн

    • Ни одного зарегистрированного пользователя не просматривает данную страницу

×
×
  • Создать...
https://winrating.ru
© MyBirds.ru, 2003 - 2025

Все материалы данного сайта, в том числе структура расположения информации и графическое оформление (дизайн), являются объектами авторского права. Копирование информации на сторонние ресурсы и сайты сети Интернет, а также любое иное использование материалов сайта без предварительного согласия правообладателя НЕ ДОПУСКАЕТСЯ.

При копировании материалов сайта (в случае получения согласия правообладателя), размещение активной индексируемой гиперссылки на сайт обязательно.