Перейти к содержанию
Место для вашей рекламы

 

Рекомендуемые сообщения

Опубликовано

сделали ренген стрижу, только специалистов по птицам в клинике нет.. хотя бы знать нет ли  ничего серьезного.. ехать в москву нет возможности. 

DX000140_1.jpg

DX000140_2.jpg

DX000140_3.jpg

DX000140_4.jpg

Опубликовано (изменено)

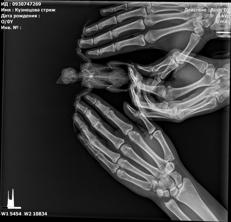
@валена простите, не видела раньше вашу тему. Что-то с оповещениями не то. К сожалению, по данному рентгену можно очень мало чего сказать. Он совершенно бездарен.

Разве что если переделать? Стрижа для снимка кладут на спинку и полностью  раскрывают его крылышки. Нужен только 1 снимок.

20210522_151612_0930747269_10292_13184_22746.jpg

Изменено пользователем Litera

Для публикации сообщений создайте учётную запись или авторизуйтесь

Вы должны быть пользователем, чтобы оставить комментарий

Создать аккаунт

Зарегистрируйте новый аккаунт в нашем сообществе. Это очень просто!

Регистрация нового пользователя

Войти

Уже есть аккаунт? Войти в систему.

Войти
  • Последние посетители   0 пользователей онлайн

    • Ни одного зарегистрированного пользователя не просматривает данную страницу

×
×
  • Создать...
© MyBirds.ru, 2003 - 2026

Все материалы данного сайта, в том числе структура расположения информации и графическое оформление (дизайн), являются объектами авторского права. Копирование информации на сторонние ресурсы и сайты сети Интернет, а также любое иное использование материалов сайта без предварительного согласия правообладателя НЕ ДОПУСКАЕТСЯ.

При копировании материалов сайта (в случае получения согласия правообладателя), размещение активной индексируемой гиперссылки на сайт обязательно.