Место для вашей рекламы
Активность
- Последний час
-
@OsinoPtenchestvo прям с корой жердочки надо, помыили с мылом и все, а на гладкой он будет скользить, сильнее зажимать и намины пойдут
-
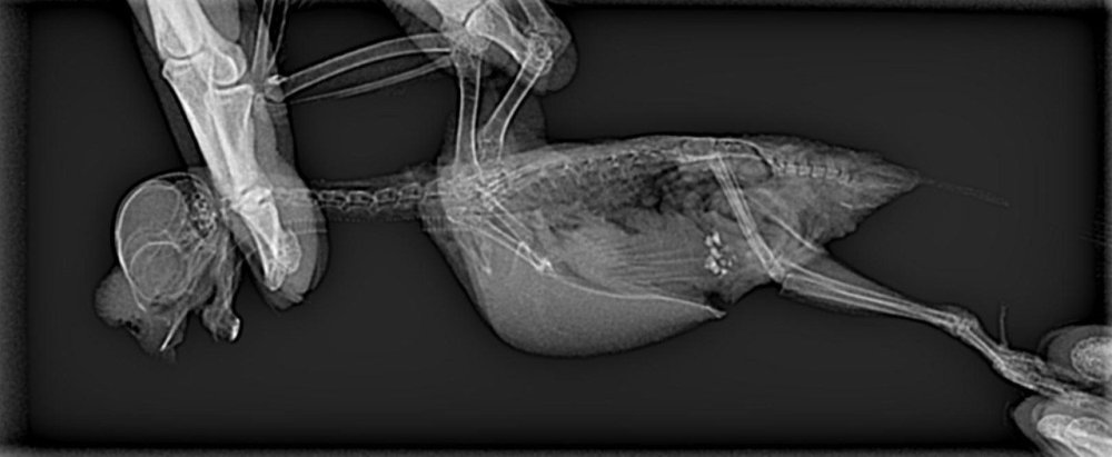
Natali kenchezzz подписался на Воспаление у кореллы, забиты воздушные мешки и легкие
-
Воспаление у кореллы, забиты воздушные мешки и легкие
Natali kenchezzz опубликовал тема в Общий раздел для новичков
Добрый день, прошу помощи, потому что посещение орнитолога в нашем городе не дало нам разъяснения в ситуации. У попугая сначала воспалилась восковица, после этого область между восковицей и глазом начала воспаляться. Мы по рекомендации прокапали ципролетом и мазали воспаленную область гиоксизоном. На фоне этого появились улучшения: ноздря расширилась, воспаление с ноздри ушло, но воспаление с головы не ушло. Спустя 2 недели снова появилось воспаление ноздри, попугай стал часто чихать, слышно что тяжело стало дышать. Фото с состоянием воспаления приложила и подписала даты. Птица чешет место воспаления около основания клюва до крови. Вопрос, нужно ли нам надеть воротник, чтоб он не чесал это место? Сегодня были на приеме, врач взяла пробу с воспаления через шприц. Сделала гистологию и сказала о том, что нет микробов, непонятно почему идет воспаление. Кровь не брали. Гистологию также приложила. На приеме врач начала склоняться к онкообразованию. У птицы хороший аппетит, она активна, могу сказать , что активность снизилось на 10% примерно. Хотелось бы рекомендаций, хорошо ли подобраны подобраны препараты? Может кто сталкивался с такой ситуацией? Что можно сказать по снимку рентгена нашей птички? На фоне чего могут быть повреждены забиты воздушные мешки и легкие? добавлю, дома у нас 2 кореллы. У второй никаких признаков, состояние хорошее. Корм Рио, даем также фрукты и овощи, панцырь каракатицы, уголь. В копошилке всегда сено, высохшие ветки, щепа вишневая, чумиза, канареечное себя. Проросты не всегда даем, запариваем овес -
tasibai подписался на Помет у попугая
-
@Лапуля.ru здравствуйте какой корм, какой попугай, как содержится, как давно у вас птица, фото помета
-
Лапуля.ru подписался на Помет у попугая
-
Здравствуйте.Мальчик 3 года приблизительно,т.к поймали его,точно не знаем.Поменяои корм,т.к прошлый не подходил.Две недели было хорошо,а сегодня птица не очень активная,спит много.Настораживает помет-темного цвета,немного жидковат.
- Сегодня
-
Лапуля.ru присоединился к сообществу
-
Неразлучники снесли 9 яиц. Что делать?
ellarri ответил ellarri тема в Семейная жизнь неразлучников: пары, кладки, птенцы
-
Птенцовые недоразумения Оси
OsinoPtenchestvo ответил OsinoPtenchestvo тема в Истории о волнистых питомцах
Из нового замеченного : - когда менее активно дремлет или ночью помёт нормальный - при активности помёт оформленный но светлеет ( думаю может в качестве профилактике начну давать карсил в корм 1/3- при покупке были немного коричневые пятна на восковице, щас они почти исчезли (для сравнение помёта прикрепляю фото) - по утрам с просони первые 15-30 минут почему -то идёт большая нагрузка на дых систему клюв открывает, хвостом трясет в такт, то ли чего-то боится то ли непонятно, при этом запускается активное прочирикивание(зов). - потом идёт активность начинает прыгать в клетке, и безостановочный чирик, просится летать. Летает лучше приземляется на клетку и на мониторы - начала чесать лысик (раньше не чесала его) - витамины чередую с ромашкой в поилку, вчера пила три раза - хочу сдать помёт на копрограмму и бакпосев , уточняю пока где и как это можно сделать и чтоб с графиком совпадало - в лесу нашла яблоню, ветка была поросшая ягелем, тк буду использовать для жердочки новой кору очистила - после 4-5 (обед) у нас в 5-7 обычно тихичас, потом ещё 1-2 часа активности и начинаем готовится ко сну, отбой в 10-11 -лапы пытаемся грызть всё ещё иногда особенно когда сидим на мониторе - вес 42 г(на голод желудок(пару зёрнышек с утра) на сегодня) Жердочку отшлифовала, ошпарила кипятком, диаметр от 0.9-1.4 -
Мягкий как пластилин Она вроде как активная стала но вот иногда хочется вырвать и пытается рвать, но не чем. Какая то капля воды. Я ей дала уголь, это она после угля так, а вообще после даже каши из шприца. Особенно ее тошнит ночью, несколько раз.
-
Зоб на ощупь какой? Горячий или как пластилин? ВЫЖИТЬ и Здоровья Вашему голубю!
-
Сделайте фото рвоты, если будет
-
Если он набрал свою нормальную упитанность, то 2 ложки не съест, будет значительно меньше. Это нормально. Он у вас дома, а не на улице, где много полетов да температура ниже - на все тратится энергия, значит нужно больше еды.
-
Присмотрелась на фото это картинка на бумаге. Нет раньше не глистогонились.
-
Овёс нечищеный есть в составе? Фото нечёткие, старайтесь в фокусе делать. Вот то что обведено на что похоже? Непереваренные частички корма или гельминты? Голубя глистогонили ранее? @Katz Для понимания, я не консультант. Задаю наводящие вопросы, чтобы у консультанта было больше информации, когда зайдёт в тему. @маленький принц
-
Иногда она чихала и была мокрота в носу, ноздри смазывала ватной палочкой проторголом. Сейчас насморка нет. Аппетита последние 2 дня нет. Кормила до этого кормом Rio, пшеница, перловка, просо, гречка, морковь, зелень салата. Гастролиты стоят всегда в отдельной мисочке. Заметила, до того как давать лекарство черноватый язычок. Фото помета сейчас. Раньше рвоты не было, она появилась два дня назад ночью. Она иногда выгибается и пытается что то срыгнуть с зобика.
-
Неразлучники снесли 9 яиц. Что делать?
Дабб1 ответил ellarri тема в Семейная жизнь неразлучников: пары, кладки, птенцы
@ellarri , оставьте все как есть. Если вылупятся птенцы,под домиком продумайте как их обезопасить от возможного падения. К следующей кладке подготовьте деревянное гнездовой домик для неразлучников. -
На форуме экстрасенсы видимо, из вашего описания сразу определят причину. Пишите подробно были ли ранее проблемы. Болел ли голубь, чем лечили, если болел. Чем кормите, какой аппетит, помёт был до этого случая с рвотой. Мог ли чем то отравиться. Есть ли какие то ещё симптомы помимо рвоты, в том числе налёт, наросты в клюве, слизь. Добить его видимо решили. Откуда такие дозировки? Метронидазол даётся 5 мг/кг/сутки, и не просто так, а если есть показания. Флуконазол 15-20 мг/кг/сутки. Посчитайте сами, во сколько раз вы превысили дозировку. Сейчас дайте сорбент, полисорб (0.5 мл доразбавить водой до 2 мл) или энтеросгель (с горошинку, разбавить водой до жидкой консистенции) или уголь активированный (1/4 таблетки, можно кусочком дать и дать запить, можно растолочь и споить, смешав с водой). февраля
-
Что-то шишка на пальце растет. Так же, обнаружил довольно большую шишку в районе плеча (того крыла, которое не работает) - немного подвижная, с плотным содержимым внутри (шишка на пальце тоже плотная). Помет все такой же не сформированный - серо-зелено-коричневая масса. Я что-то подозреваю, что у него сальмонеллез в суставной форме. Думаю, купить завтра Байтрила и пропоить курс. (Зося так вроде писала: Доза по голубям- 12-15 мг/кг каждые 12 часов, орально, под прикрытием нистатина (500 000 ед на кг в сутки)). Анализы я думаю, что не смогу сдать - у меня есть опасения, что другие птицы могут заразиться - хоть этот голубь и изолирован, но все же.
-
Katz подписался на У Голубя рвота!
-
Голубь 8 лет. Второй день подряд тошнит. Все началось с того, что 4 января ночью, я услышала в клетке как будто падают зерна, она вырвала. Утром открыла клетку у нее как будто дезориентация. Пошла в аптеку и купила Флуконазол и Метронидазол 1/4 таблетки два раза в день. После таблеток дизориентауия прошла. Сегодня тоже стошнило, и подташнивает сейчас. Дала Карсил. Кормлю детскими без молочными кашами со шприца. Пожалуйста, помогите. Не пойму что такого могло случится?
-
tasibai подписался на Срочно! У голубя рвота! и Сильный рецидив вертячки
-
Сильный рецидив вертячки
tasibai ответил Валерия1 тема в Кормление птиц в период болезни и реабилитации
@Валерия1 https://www.mybirds.ru/forums/forum/292-lechenie-golubey/ -
@Katz здравствуйте , напишите в раздел лечение голубей https://www.mybirds.ru/forums/forum/292-lechenie-golubey/
-
Anton2023 присоединился к сообществу
-
Katz подписался на У голубя рвота, помогите пожалуйста. и Срочно! У голубя рвота!
-
Домашний голубь 8 лет. Ночью 4 января вырвало кормом, утром выпустила из клетки была дезориентация. Сегодня ночью 5 января она также рвала. Хотя рвать уже нечем у нее рвотные позывы. Давала метронидазол и Флуконазол 1/4 таблетки 2 раза в день. Где то за два дня до этого, у нее начал пропадать аппетит. Кормлю сейчас детской без молочной кашей. Помогите пожалуйста.
-
Неразлучники снесли 9 яиц. Что делать?
ellarri ответил ellarri тема в Семейная жизнь неразлучников: пары, кладки, птенцы
@Дабб1 Отец - зеленый, который сверху. Мать - постоянно сидит в домике, сложно ее будет сфотографировать. две остальные птички - желтая точно самка, делали в ветклинике тест. -
Неразлучники снесли 9 яиц. Что делать?
Дабб1 ответил ellarri тема в Семейная жизнь неразлучников: пары, кладки, птенцы
@ellarri , фото птиц выложите. И фото домика со стороны входа, общее. Просвечивают чтобы понять есть оплодотворенные яйца или нет и далее действовать исходя из этого. -
Решил закрыть подзаброшенную тему. В целом птица была пропоена Гепатоветом 21 день и дней через 5 выпущена. Из минусов. Птица видимо решила, что отравилась пшеницей и овсом, поэтому больше их не ела. К сожалению, птицу больше так и не видел - надеюсь все у нее с глазом потихоньку нормализовалось. Улучшения шли довольно медленно, но шли.
-
У голубя рвота, помогите пожалуйста.
Katz опубликовал тема в Кормление птиц в период болезни и реабилитации
Моему голубю 8 лет. Все началось с того, что у нее пропал аппетит. Ела 1 раз в день. Из еды она кушает корм Rio, пшеницу, кунжут, морковку, зелень (листья салата), красное просто, зелёную гречку, перловку. Гастролиты всегда в отдельной мисочке. Вчера 4 февраля ночью ее вырвало, утром выпустила ее из клетки и у нее как будто дезориентация, ее качало, ноги разъезжались. Пошла в аптеку и купила метронидазол и Флуконазол. Дали 1/4 таблетки утром. Птичка повеселела. Вечером опять хотела дать капсулу флуконазола ее от него вырвало. Даю со шприца детскую без молочную гречневую кашу. Помогите пожалуйста, мою птичку тошнит уже вторую ночь. Что делать? Как помочь чтоб ее не тошнило? Помет у нее жидковато зеленый. Птичка домашняя. -
Я напомню. 3 дня давал Остеогенон и Артрогликан (с 23 по 25 января), но у птицы появилась сильная полиурия - какала прямо с фонтанчиками воды. Поэтому я давать препараты прекратил. с 27 января птица начала уже стоять на 2 ножках и меньше лежать. В субботу-воскресенье (31 января, 1 февраля) начала залетать на подоконник и ночевала уже на подоконнике, а не на полу. С понедельника 2 февраля уже стала залетать и ночевать на более высокой от пола полке (~160 см). Помет к этому времени нормализовался полностью (за неделю). С понедельника я возобновил Остеогенон и давал его по среду включительно (3 дня). Обратил внимание, что у птицы стал иногда появляется и помет с водой, плюс птица стала меньше есть. Также создалось впечатление, что птица периодически стала нахохливаться-поеживаться. Но в целом большую часть дня стоит на ножках, хотя иногда и лежит. Сегодня Остеогенон решил не давать. Видимо птица его плохо переносит. Кто-то мне что-то может посоветовать?
