Место для вашей рекламы
Активность
- Последний час
-
annabar подписался на Последствия мегабактериоза?
-
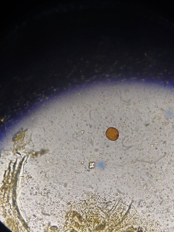
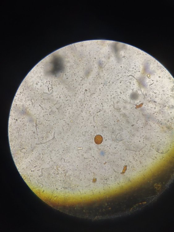
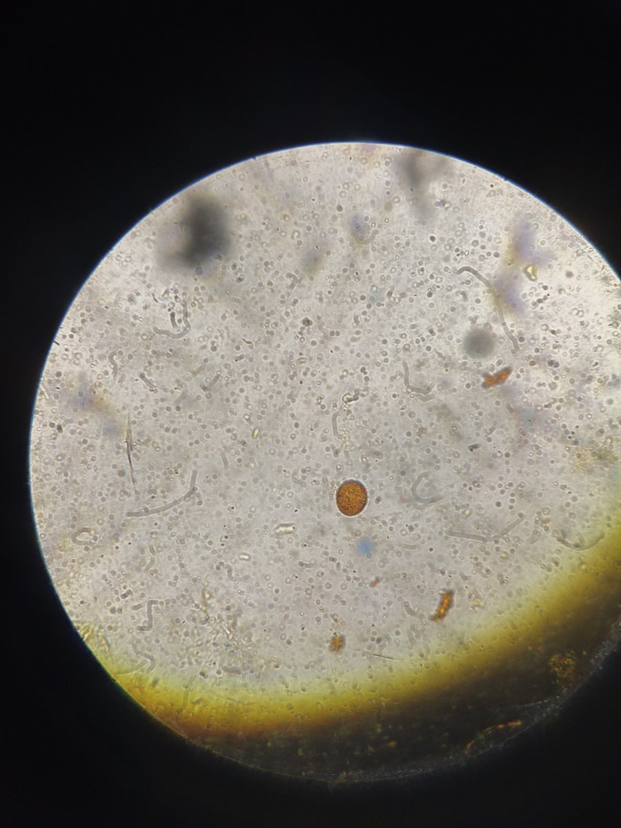
Здравствуйте. Помогите, пожалуйста, разобраться. Волнистый попугай, девочка, 3 года 5 месяцев. Лечили мегабактериоз, на вчерашней микроскопии ни одной мегабактерии, однако рвота и непереваренные зерна в помете остаются. Сделали рентген, орнитологи в замешательстве, у каждого свое отличное мнение по поводу преджелудка , печени и новообразовании в лёгких. В помете также нашли много пыльцы, однако возможно , что это глисты. Снова не понятно. Помогите , пожалуйста, разобраться с рентгеном и микроскопией. Фото прикладываю.
-
Софья Унагаева присоединился к сообществу
-
СРОЧНО! Голубя сбила машина. Вырван зоб!
Анжела Валентиновна ответил Анжела Валентиновна тема в Лечение голубей
Добрый день! Чувствительности в лапках голубки нет. Сама не стоит, валится на спину. Левая сторона осталась поврежденнои и не восстанавливается. "Высыхает", подскажите, пожалуйста, какие давать витамины, хондропротекторы.... Спасибо! -
annabar присоединился к сообществу
-
@Руфина 15 Вам с этой проблемой необходимо обратиться к модератору Основного раздела Зосе https://www.mybirds.ru/forums/profile/4292-zosia @Руфина 15 Вам с этой проблемой необходимо обратиться к модератору Основного раздела Зосе https://www.mybirds.ru/forums/profile/4292-zosia Попросить о консультации и дать ссылку на Вашу тему.
- Сегодня
-
Talka присоединился к сообществу
-
Неразлучники снесли 9 яиц. Что делать?
Дабб1 ответил ellarri тема в Семейная жизнь неразлучников: пары, кладки, птенцы
@ellarri , ищите дуплянку с двойным дном https://www.mybirds.ru/forums/topic/5222-domik-dlya-nerazluchnikov/ -
Прошу помощи с лечением уличного голубя
Дмитрий Байкальский ответил Дмитрий Байкальский тема в Лечение голубей
Добрый день! Выкладываю фото помета, что-нибудь можно по нему сказать, как состояние? Лечение продолжаем тоже самое: циклоферон, глицин, ноотропил, пробиотик, витаминный комплекс, кальция глюконат. Ест охотно, киль уже не прощупывается, поправился сизокрылый))) вертячка приступами, голову крутит на 180. Сидит в коробке, вылетать не пытается, но уже и не падает вроде бы. -
Ни за что на свете, усыпление не сделаю. По килю на картинке, ближе к 3. Ни за что на свете, усыпление не сделаю. По килю на картинке, ближе к 3. Она сама по себе не очень крупная, и весит примерно так всегда.
-
@маленький принц что это может быть?
- 206 ответов
-
- понос
- понос у голубя
- (и ещё 4 )
-
нет, к сожалению, возможности сейчас нет. как и анализы сдать. Нашел у себя Энроксил, начал курс (13 мг/кг 2 раза в день.)
-
основная проблема в том что он реагирует с кальцием у малыша ведь рахита не было?
-
физраствор подойдёт да так какая упитаннность по шкале? вес точный? если на приёме у ветеринара случайно окажется коновал предлагающий усыпление на усыпление НЕ соглашайтесь (бывают коновалы которые сразу придумывают надуманные причины для платного усыпления) купите инъекционный флукуназол и колите подкожно (как глюкозу) 1.5 мл - это суточно на 300 грамм по 1 мл на каждые 100 грамм веса для взрослого голубя это крайнее истощение ощупайте киль (там где у курицы грудка) и сообщите упитанность по шкале нужно посев на грибы и бакпосев с определением чувстительности к лекарствам на посев помёт и хорошо бы мазок из горла
-
потому что он считал для 160 а вес падал до 125 @Sobach Barabach Вы разницу между 0,07мл и 0,7мл понимаете? 0,8, 0,7, 0,6 мл нужно было давать в зависимости от веса. То, как Вы написали, получается в 10 раз меньше. Покажите на фото шприца по сколько флук даёте. Кормите детской кашей уже тогда хотя бы, она питательнее. Нормально же она переваривалась. И панкреатин долго нежелательно давать. Если каша нормально уходит, надо его снижать постепенно, резко его отменять нельзя. Фото упаковки каши сделайте пжлст, посмотреть состав, это важно, если доксициклин будете давать.
-
Вряд ли вы отличите по цвету дисбактериоз кишечника от "печёночного" помёта
- Вчера
-
..... в общем я понял, что основная проблема от докси то что он нагружает печень + он кислый мы можем мониторить нагрузку печени по цвету помета? тем более что сейчас вроде нормально в этом отношении выглядит? тем более мы даем гепатовет. мы можем давать докси с едой чтобы всасывание было равномернее? основной удар должен быть в первые дни, правильно? если помет начнет желтеть то тогда сразу отменим и все. это же видно. а клостридии не получится убить без докси. и если мы дадим ципрофлоксацин, разве клостридии не могут пойти в атаку? а вместе с этим мы можем получить кроссрезистентность.
-
не набирает и не теряет потому что он считал для 160 а вес падал до 125 желтое, варил подольше. но мне не понравилось что-то. мне показалось что ему тяжело очень от нее. зато она нежная. и диетическая. а у нас в желудке все плохо. я не знаю на самом деле падает вес или нет. потому что я ориентируюсь на зоб, пытаюсь прощупать. а при кандиде говорят у зоба утолщаются стенки? поэтому я пытаюсь ориентироваться и на вес и как зоб в пальцах ощущается. боюсь как бы не закисло там. поэтому с утра получается 130-135 и я тогда уже без лишнего беспокойства кормлю. хотя гречка вроде не закисает особо? тем более у него нистатин и флук. ну вот у меня на приеме ципрофлоксацина умирали. а на докси 2 живых летают. надо в общем про них почитать еще поискать. да это так
-
tasibai подписался на За одну ночь умерли все горлицы дома
-
@FocusNik на отраву все же похоже , а может и угорели, птицы и люди по разному воспринимают
-
FocusNik подписался на За одну ночь умерли все горлицы дома
-
4 горлицы у меня были давно, двум 8-9 лет, двум 6-7 лет. И вчера утром я их всех обнаружил мертвыми😢 Был в шоке, про вскрытие не подумал. Теперь ломаю голову, что же их убило всех за раз? Накануне ничего не предвещало, не были вялыми, ели пили, все как всегда. Корм не менялся. Ядов дома нет, к корму никто не прикасался. Птицы жили в небольшой коморке по соседству с кроликом декоративным и морской свинкой. Те оба живы и в порядке. Коморка эта находится на втором этаже, зимой топлю камин, от камина тепло поднимается и к ним в коморку тоже. Но в ту ночь не было уж супер жарко. Помет не менялся по цвету в последний день. Если это была какая-то инфекция, неужели могли все умереть сразу? Я как-то больше пеняю на камин, но дыма не было никакого. Сам сплю в соседней комнате, если бы был угарный газ, то мне бы тоже плохо было. 7 месяцев назад лечил их от микоплазмоза, итоговый анализ не сдавал, но тоже сомневаюсь что от него они могли все за раз умереть. Есть предположение что кролик или свинка могли быть носителями какого-то вируса, опасного для птиц. Но опять таки они вместе жили очень давно все и никто не умирал. Важно! Когда ложился спать в час ночи 2 птички начали издавать нехарактерные звуки (не воркующие, я больше кричащие). Видимо им уже стало плохо.
-
FocusNik присоединился к сообществу
-
@Sobach Barabach пипетку для кормления или что там у вас шприц ..==хорошо промывайте после каждого кормления кипятком и кипятите каждый следующий день прям в кипящей воде ..как в больницах инструменты кипятят \\ А шприцы для подачи лекарств промывайте кипятком после каждого кормления и меняйте через дня 3 хотя бы на новые ..я так делала бюджетный вариант ) потому что их тож особо не накупишься
-
Такой сгусток утром отрыгнул. Сейчас даю Нистатин, карсил, Бифидумбактерин. Если этот кусочек растереть, он по консистенции как пюре. Что это?
- 206 ответов
-
- понос
- понос у голубя
- (и ещё 4 )
-
@Ильяна )) ну так то да...блин не ошибиться бы если мне не изменяет память неделю вроде флук получает ..с субботы вроде мне кажется что возможно ципро будет получать и в весе может начать прибавлять
-
Не похож голубь из поста№1 на птицу с системным кандидозом
-
@Викуся-15 Поняла вас, тогда кашу убираю Он и «попал» к нам по упитанности в более менее состоянии, я подбирала прям суповые наборы, а этот хорошенький. Я думаю, он недолго нелетал, иначе в мороз + в центре города он бы не нашел пропитания, чтобы так хорошо сохраниться (еду по сути можно найти в помойках, но для этого на нее нужно забраться)
-
рентген сделать сможете? ВНИМАНИЕ за три часа до рентгена НЕ поить и НЕ кормить чтобы при манипуляциях не мог захлебнуться содержимым зоба в случае обнаружения в анализах СЭС постарается убить всех птиц хоть сальма и лечится
-
-
а там не системный кандидоз@Ильяна ?чтоб без флука
-
где что советовал? в теме ничего такого нет: я задал вопрос и Вы пропали и почему через 10 дней никого не спрашивая прекратили? где что советовал? в теме ничего такого нет: я задал вопрос и Вы пропали и почему через 10 дней никого не спрашивая прекратили?
