Место для вашей рекламы
Активность
- Последний час
-
Гая подписался на Молодой грач со сломанным крылом
-
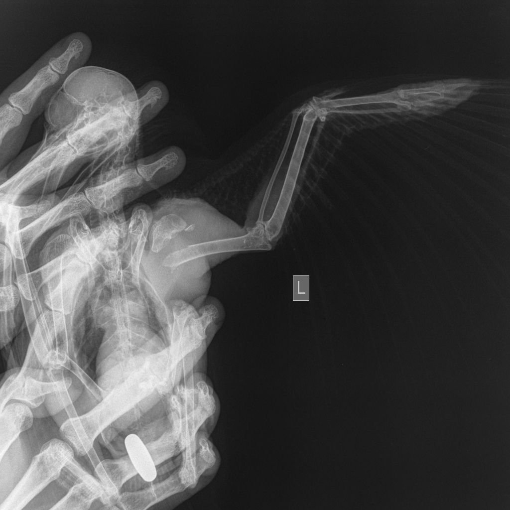
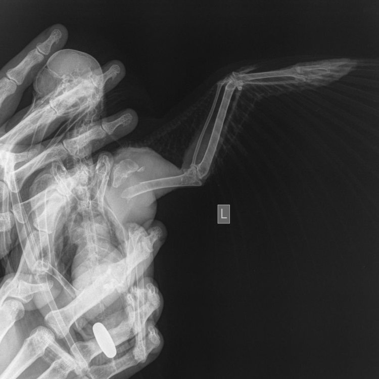
Добрый день, друзья. Вчера подобрали грачика со сломанным крылом. Сделали сразу рентген, правда в одной проекции, но ладно хоть нашли кто вообще согласился рентгенить птицу. Во многих клиниках отказ. Чувствует себя хорошо, помет жёлтый иногда белый и чуть с зеленцой. Ест творог, яйца, перловку, гречу, рис, полюбился ему виноград, также ел рябину, клюкву, семечки, орехи. Но вот мясо не ест. Совсем, ни вареное ни сырое. Тощий, киль торчит, но оперение шикарное. Крыло сломано в плечк, висит. Подрезали оперение. Прыгает, сидит на присаде. Спокойный, не кусается (в отличии от вороны). Вопросов много. У нас ещё живёт голубь. Есть ли опасность чем нибудь от грача ему заразиться? Нужны ли какие антибиотики грачу? Плечо опухшее, словно нарост, ран нет совсем, все сухо и чисто. Как быть с крылом? Подвязывать не получается, сам не подтягивает его. Оно ему мешает и задевает за все. Нужно ли в будущем ампутировать? Или как приучить к подвязывания. Грач спокойный очень, на удивление. Даёт гладить и чесать. Купался спокойно. Чуть чуть прикусывает, но больше из любопытства. Сейчас взвешу его. Модераторов просьба перенаправить тему в нужный раздел, если не правильно разместила.
-
сколько уже дней даёте?
-
@маленький принц Хорошо, спасибо большое! 🙏
- 44 ответа
-
- как лечить
- птенецголубя
-
(и ещё 2 )
C тегом:
-
разводить по инструкции после разведения у Вас получится 125 мг амоксиклава / 5мл = 25 мг/мл амоксилклава в цитате дозы для 50 мг/мл то есть вместо "в сутки 1,5 мл, по 0,75 мл два раза в день" на 300 грамм Вам нужно будет давать в сутки по 3 мл = 1.5 мл дважды в день
- 44 ответа
-
1
-
- как лечить
- птенецголубя
-
(и ещё 2 )
C тегом:
-
@маленький принц Жду пока точного ответа от нее, но как я понимаю да, давать то что вы написали и метронидазол с крапивой. Ощупал горло, ничего не нащупал, все мягенько каких то уплотнений или что то в этом роде не обнаружил @маленький принц Осмотрели на наличие наростов/шишек Шея чистая на ней нету ничего, голова тоже, под крыльями чисто, попа тоже чистая, нету никаких залысин или шишек на теле птицы, на глазах тоже, они не мутные без наличия наростов. По поводу этого, его разводить так же как у вас и написано? Он в виде порошка
- 44 ответа
-
- как лечить
- птенецголубя
-
(и ещё 2 )
C тегом:
-
очень осторожно ощупайте под нижней челюстью если сбоку смотреть что видно? написали? какой ужас! СРОЧНО осмотрите всё тело под перьями особое внимание на голову, попу и конечности
- 44 ответа
-
- как лечить
- птенецголубя
-
(и ещё 2 )
C тегом:
-
-
осмотрим, сделаем фото и отчитаемся.
-
оспенные наросты прижигают например бетадином если изменений нет то возможно что-то иное и лучше сделать свежие фото и показать @Zosia
- Сегодня
-
как лечить? Как я понял, Вы не были уверены в оспе и прислали нам репост об оспе к сведению/ ознакомлению, нет? С обнаружения прошло уже 18 дней, никаких радикальных изменений, новых симптомов нет. Это не может быть просто болячкой/ засохшим гнойником?
-
@маленький принц Да наросты только на языке обнаружил, горло у него чистое, но появились они крайне быстро, я обычно просматриваю ему горло периодически. Других наростов нигде не обнаружил, глаза, горло чистые, соплей нету. Запаха из рта не почувствовал У нас еще был ранее прописан Нистатин еще. От Зоси: Странная симметрия. Как будто нарост под языком... Цвет скорее оспенный, но форма ... Вообще на стрептококковый похож... Повторите предыдущую терапию. Напишите чем лечили. И напишите вес птицы, посмотрю что можно ещё добавить. — — — Пока такой ответ от нее получил. Немного не понимаю продолжать старое лечение или добавлять что вы написали... @маленький принц Нашел только такой, но он порошком идет, подойдет?
- 44 ответа
-
- как лечить
- птенецголубя
-
(и ещё 2 )
C тегом:
-
покажите
-
это на таблетках написано: Амоксициллин 500 мг + Клавулановая Кислота 125 мг лучше дать так как наросты могут задевать кровеносные сосуды трудно сказать так как Вы уже давали двухдельный курс который должен был прибить трихомоноз потому Вам наросты лучше показать Зосе наросты только на языке?
- 44 ответа
-
- как лечить
- птенецголубя
-
(и ещё 2 )
C тегом:
-
тогда заканчивайте фото? лучше всё-таки не рисковать а лечить
-
да, панкреатин полностью отменили 24 сентября срыгивание пропало больше месяца назад. 24 дня как он начал хорошо переваривать кашу в любых количествах. Голубенок принимает антибиотики 35й день, может уже не надо больше антибиотиков и отменяем их? после первой болячки через некоторое время нашли еще одну. Больше не находили. Если Вы про эту оспу: Куриная оспа (дифтерит птиц) — вирусное заболевание, которое поражает кожу и слизистые оболочки кур. Чаще всего болезнь встречается у птиц в возрасте 4–12 месяцев. vk.comnita-farm.ru Существует две формы заболевания: Кожная. На коже, гребне, серёжках и веках кур появляются сероватые узелки, которые со временем превращаются в бурые корочки. Дифтеритическая. Поражает слизистые оболочки рта, носа и глотки, вызывая образование плёнок и язв. , то мы не нашли общих симптомов. Голубь чувствует себя нормально, прыгает, учится летать. На время лечения жил в коробке почти без прогулок, этим оправдываем отставание в развитии.
-
тогда лучше довести до трёх недель на фото не "полужидкий" а "колбаски в воде" что уже не понос в поилку разбавленный пополам Боржоми (или иную минералку которую при почках дают) БЕЗ газа в качестве эксперимента попробуйте вывести на прогулку ещё раз через полчаса после огромной кучи и посмотреть размер помёта всё таки очень похоже на то что не хочет какать в гнезде
-
антибиотик ещё три дня плодавайте после антибиотика пимафуцин ещё неделю карсил ещё 7-10 дней после пимафуцина я правильно пониимаю что панкератин уже закончили? как сейчас оспа? рассыпьте утром на листе бумаги лакомства: щепотку кунжута, щепотку льна, щепотку риса и пяток семечек без кожуры и постучав по ним клюющими движениями пальца оставьте тренироваться на весь день также покажите видео с аппетитом кушающими голубями читайте ВНИМАНИЕ нужен именно именно спрей а НЕ капли у которых одна капля на кошку! (что для птицы будет передозировкой)
-
@маленький принц Хорошо спасибо вам большое, отвар из крапивы стоит опять давать или лишнее? @маленький принц И не подскажете от чего это могло у него появиться? Окна на балконе часто бывают открыты(но там стоят сетки или на верхнее проветривание) и на козырек иногда прилетают уличные голуби, возможно ли что заразу от них как то подцепил? И немного не понял дозировки тут 500+125мг это смешение двух лекарств?
- 44 ответа
-
- как лечить
- птенецголубя
-
(и ещё 2 )
C тегом:
-
чтобы язык из-за наростов не отвалился нужно будет добавить амоксиклав (если аналог то ОБЯЗАТЕЛЬНО с клавулановой кислотой в составе) если в течении пяти дней на метронидазоле улучшений не будет перейдите на ветеринарный Родиназол
- 44 ответа
-
- как лечить
- птенецголубя
-
(и ещё 2 )
C тегом:
-
@маленький принц Нет, не контактировал, он живет на балконе и других птиц в доме нету, только вот если кошка, но они всегда в разных помещениях. Курс лечения был 2 недели как вы назначали прием лекарств не пропускали, воду с яблочным уксусом пели, отвар из крапивы тоже пропили даже немного больше двух недель. Птица в принципе чувствует себя внешне хорошо, изредка кряхтит как то, но это прям моментами.
- 44 ответа
-
- как лечить
- птенецголубя
-
(и ещё 2 )
C тегом:
-
@маленький принц новости такие что надо будет дальше лечиться , амоксиклав довожу до 2 недель и бросаю, все равно помет полужидкий, проглистогоню, стопкокцидом прогона после антибиотиков и пойму помет сдавать Смотреть что там дальше давать ему давать Из хорошего просит всегда кушать аппетит хороший Вывожу какать, на газету в туалет, гадит огромным говном Ну с амоксиклава в любом случае получше, потому что на ципрофлоксацине вообще понос был
-
с кем-нибудь после того лечения контактировал? кроме метронидазола и нистатина больше ничего не давали? какой длительности был курс? это наросты? или налёт легко снимается?
- 44 ответа
-
- как лечить
- птенецголубя
-
(и ещё 2 )
C тегом:
-
Пришел еще и положительный анализ на микоплазмоз… из симптомов - периодически немного хрипит (просто было не особо понятно от чего именно) думаю, что доксициклин будет тяжелым для него в таком состоянии с одной стороны, а с другой - он и по кишечным бактериям бьет пока склоняюсь к азитромицину + паромомицину но тк про второй препарат я узнала только вчера, не знаю, насколько он будет «тяжелым» и не будет ли перегруза @маленький принц Да, они все были на амоксиклаве, включая Федора на протяжении двух недель но у федора особо не было никаких улучшений, ему продлили еще на неделю сейчас уже пропил амоксиклав 2,5 недели и я решила отменить, потому что становится только хуже микоплазма может как-то косвенно влиять?
-
у других на амоксиклаве улучшения имеются? если то ему тоже нужно начать курс амоксиклава
-
МэриПоппинс присоединился к сообществу
-
Вес 275гр, даем: амоксициллин + клавулановая кислота, пимафуцин, пробиотик с кашей, карсил. Голубенку 62 дня. Почти все лысые места заросли, появилось несколько фиолетовых и зеленых перьев, из трудностей: он сам не ест (клюет и выбрасывает зерна), пухопероеды.