Перейти к содержанию
Место для вашей рекламы

 

Активность

Лента обновляется автоматически

  1. Последний час
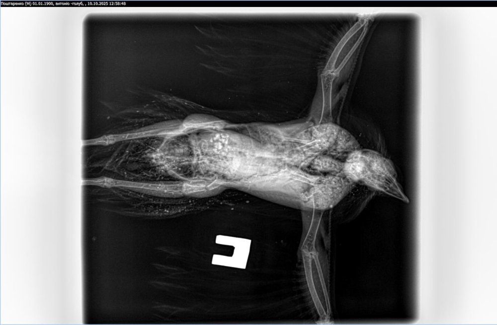
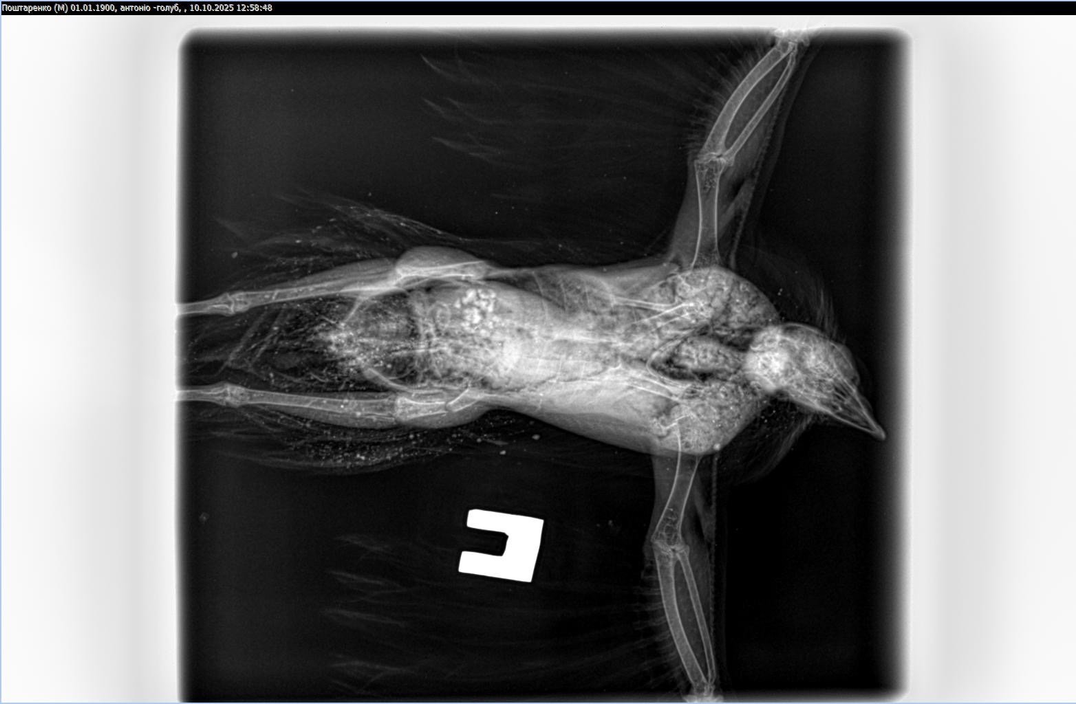
  2. Добрый день, 10.10 проезжая на машине, на дороге увидела в луже голубя( махал крыльями, влететь не мог). Подобрала и увидела, что одна лапа повисла ( там перелом бедра), вторая лапа в тонусе но тоже с переломом бедра . Голубь истощен, Киль была с гематомой, гематомы на лапах. Дышит будто одной стороной ( боюсь что может быть пневмоторакс). Глаза, клюв, глотка чистые, с глазами все хорошо. Голубь активный, есть (даю вареную гречку/ пшеничную кашу/ крупы) пьет воду. Помет жидкий зелкно-коричневый. Никаких ран и крови небыло. Отвезла к ветеринару (орнитологов нету и повезти никуда не могу), назначили траумель по схеме: 1 день в течении 2 часов каждые 15 минут давать по несколько капель, со второго дня давать 3 раза в день по несколько капель. Боюсь, что этого мало, не знаю как еще помочь Прикоепляю рентген и фото птицы 1 и 2-3 день Помогите вылечить, мне кажется надо что-то добавить по лечению… Даю еще дополнительно кальций в ампулах
  3. Здравствуйте! Спасибо за тему) информация была полезной. Очень хотелось бы узнать, как прошел ваш опыт в заведении птицы и кого вы выбрали? Уже много лет прошло с момента написания. У дочки тоже аллергия на млекопитающих (кошки, собаки, лошади, хомяки - это список тех с кем контактировала и была реакция) и вот теперь мы планируем взять попугая монаха с очень большой надеждой, что реакции не будет. Побывали у заводчицы, реакции не было, на пух перо сдавали тест - отрицательный. На яйца аллергии тоже нет.
  4. Сегодня
  5. Если кто-то может дать рекомендацию про приют "Зеленый попугай", пожалуйста, напишите. Я сейчас звонила, могут взять вороненка, но, совсем ничего не знаю про это место.
  6. вообщем, из хороших новостей - птица немного стала есть сама, из рук не берет, положила 3 семечки перед носом, съел сам! передвигается за счет клюва, подтягивает остальную тушку, почему то к краю клетки тянет его, не хочет посередине сидеть. Воду даю из шприца с толченой скорлупой и маленькой капелькой меда. Настроение кажется получше, по сторонам даже смотрит, но на ногах не стоит. Крылья хотя бы стал держать ближе к бокам, а то такая уж поза была вчера кошмарная с распластанным крылом(( Завтра озон обещал привезти спрей от насекомых, можно ли его будет обработать уже?
  7. Пожалуйста, помогите! Сейчас случилась трагедия: Цыпа очень сильно ободрала затылок, рана и очень страшная! Она по- прежнему сильно бьётся в вертячке, головой вертит все время, а ещё часто крутится вся, бьётся о стенки коробки, выворачивает шею, крылья, голову, и вот во время такого верчения это случилось. Меня не было дома буквально 20 минут, когда пришла, то увидела это, я е представляю, как это могло произойти, вчера увеличила высоту коробки, может, она зацепилась за край коробки как-то, следов крови в коробке немного, они, как будто от касания раной о стенки, я не могу определить место, где она поранилась. Ну да коробку теперь поменяю на полностью ровную и сделаю мягкие стенки. Как лечить такую огромную рану? Выживают ли вообще с такой? Я обработала хлоргексидином и наложила повязку с левомеколем, дала Ибупрофен 1/8 таб 400 мг развела в 5 мл и дала однократно 0.3 мл такого раствора. Что делать дальше, я не представляю. Какой- то воротник, чтобы не билась головой? Как его сделать? Почему такая жуткая вертячка, я никогда не видела такой ни у уличных голубей, ни в интернете. Я лечу по схеме от трихономоза, дозировки все с форума, кормлю жидкой кашей по 10-12 мл примерно 5 раз в день и два раза колю глюкозу по 3 мл вместе с физраствором. От вертячки парацетам, глицин, витамины группы В раз в день поочередно. Позавчера отпала шишка рядом с клювом небольшая, я ее раньше к замечала, она была под перьями. Я решила, что это трихомонозный нарост, раньше их не видела. Помет нормальный, но глюкозу колю, потому, что она очень похудела, до 166 гр с 200. Лечение от трихономоза сегодня 11 день, от вертячки 7 день, за все это время вертячка только усиливается, я в отчаянииэто отпавший нарост
  8. Светаша

    Помогите вылечить канарейку

    К сожалению, сегодня нет возможности куда-то везти. Можно ли дать еще мелоксикам, или могу сделать только хуже?
  9. @Светаша здравствуйте , везите на очный прием, рентген в Москву
  10. smolenov

    Повреждено крыло

    Большое спасибо за пояснение дозировки.
  11. маленький принц

    Жидкий помет у голубенка с улицы

    Можно ли пожалуйста фото на белом листе бумаге при хорошем освещении без фотовспышки чтобы избежать искажений цветов?
  12. Жёлтая линяла, возраст месяцев 9, серая не линяла ещё возраст 6 месяцев.
  13. Ольга_с

    Повреждено крыло

    это что значит? что за части, у меня большая ампула Диоксина и маленькие Новокоин, У Вас диоксидин 1% , новокаин 2% . Соответственно берете 1,5 части диоксидина на 1 часть новокаина. То есть, если например новокаина берете 5 мл, то диоксидина нужно 7,5 мл (в 1,5 раза больше). На весь объем ампулы диоксидина лучше сделать, диоксидинт10 мл, новокаин 6,7 мл. Как хранить - написано. Подсохло, но не зажило.
  14. Добрый день. Извините, не знаю в какой раздел писать. У канарейки сегодня посинел сустав. Лапа поджата, совсем не облакачивается на нее. Что делать? Пожалуйста подскажите, что делать. Лечение было несколько дней назад прекратила, мелаксикам 10 дней и левомеколь мазь.
  15. Светаша

    Помогите вылечить канарейку

    Добрый день.! Срочно нужна помощь. Птичке стало хуже. Сегодня посинел сустав на одной из лап, что делать? Птица начала ее иногда клевать. Что я могу сделать сейчас. Лечение было мелаксикамом 10 дней и мазь левомоколь,около 14 дней. Несколько дней без лечения.
  16. @маленький принц пожалуйста ответьте 🙏. Я пока молюсь, чтобы это был обычный дисбактериоз.
  17. smolenov

    Повреждено крыло

    укол поставил, вопрос по дозировкам выше написал. Так выглядит рана сейчас, уже все подсохло. Может уже и нет смысла смесями омывать? Уточните пожалуйста.
  18. @маленький принц Не нашла никаких наростов. Фото на сегодня. Уже крыло не обрабатываю и не мажу. Дала синуксол сегодня
  19. Дать мезим, если долго еда не уходит, но на неопустошившийся зоб нет смысла кормить. Это как МП скажет, менять не менять. Колоть если что подкожно. Не вместо, а то же ДВ ципрофлоксацин, название препарата просто другое. Концентрация у него выше, чем у инфузионного человеческого, 50 мг/мл. По инструкции и в/м можно кому то, но про птиц нет информации. Также нужен ответ МП. Да, как раз капли для глаз и дают, на форуме есть инфа, в поиске задаете тауфон. Оговорюсь сразу, я не консультант, назначения делать не имею права. Просто делюсь информацией, которую знаю. По поводу ципровета позвоните сперва. Узнать наличие и продадут ли без рецепта. Т. к. ветпрепараты в отличие от человеческих только по рецепту.
  20. Зоя Садовская

    Подскажите, пожалуйста

    Живём возле города, этой осенью очень много синиц, больших и лазоревок. Сегодня одна синичка прилетела на балкон, наша кошка её схватила, помяла (лежало несколько перьев), но я успела отобрать синичку. Пока держала её в руке, синичка очень сильно ущипнула меня за палец клювом. Не до крови, только щипок. Улетела на дерево нормально. Я теперь боюсь, они не разносят бешенство? Спасибо за ответ
  21. YanaSunspot

    Кормление канюка

    Погадка была сегодня утром, небольшой плотный комочек. После этого покормила суточными цыплятами. Аппетит к нему вернулся!))
  22. smolenov

    Повреждено крыло

    По нистатин, четверть таблетки за раз? размолоть, растворить в воде и споить или как, не совсем понял По нистатин, четверть таблетки за раз? размолоть, растворить в воде и споить или как, не совсем понял И по смеси#1 это что значит? что за части, у меня большая ампула Диоксина и маленькие Новокоин,
  23. Добрый день! Опытные и знающие, помогите советом, пожалуйста! У меня за окном кормушка, обычно едят синицы, но я заметила новую птицу. Выяснила, что зяблик. Очень бойкий и наглый:) В подвесную кормушку не подлетает, ест только то, что падает на подоконник. Меня смущает его поведение. Он иногда открывает клюв и словно кричит, но совершенно беззвучно! Может быть, он болеет? Или это нормально? Я подумала, что из-за полного отсутствия голоса у него нет стаи, он не может их подозвать... Думаю приютить его, уже холодает. Поделитесь предположениями, пожалуйста!
  24. CyberCreator

    Нарост на лапе

    @маленький принц Спасибо за ответ. Купил мазь Ацикловир 5%, и таблетки дозировка 400мг, как я понял из соседней темы 400мг делить нужно на 1/6 за прием? В день 2 раза. Следовательно 2/3 таблетки в сутки получает птица?
  25. natalya.leverа

    Линька или болезнь

    Да периодами Спасибо сейчас вроде норм, периодами хохлится Периодами бывает
  26. Ростислав

    Кормление канюка

    Перья с крыльев надо полностью ощипывать - особенно для хищных птиц с истощением. А кости перевариваются, главное, чтобы острых осколков не было. Что там на сейчас, погадка есть? Обращайте внимание на погадки - это один из основных показателей состояния пищеварительного тракта. В норме погадка у канюка должна быть плотная и сухая. Без излишка слизи и неприятного запаха.
  27. Да я понимаю. Но если у него утром еще с вечера бывает не освобождается зоб… он утром может начать рваться вчерашней кашей… голодом морить его не решаюсь. Чтоб дождаться освобождения зоба. Насчет киселя поняла. Спасибо большое за информацию. Отварю ему киселик из пшеничной муки и из овсяной. Попробую подавать. Флуконазол человеческий инъекционный есть, да. Это не проблема приобрести. Как лучше поступить? Купить его? Как тогда колоть? И в таком случае Итраконазол переставать давать? А нистатин оставить? Ципровет. Это вместо ципрофлоксацина, я правильно понимаю? Антибактериальное. Тоже как тогда колоть? Насчет второго гепатопротектора. Дибикор я нашла. Его приобрести можно. А вот тауфон, если его проще давать… в какой форме? Я только капли глазные тауфон нахожу… Дибикор такой. Что в итоге мне нужно купить? -инъекционный флуконазол -ципровет -дибикор или тауфон так?
  1. Загрузить ещё активность

×
×
  • Создать...
© MyBirds.ru, 2003 - 2025

Все материалы данного сайта, в том числе структура расположения информации и графическое оформление (дизайн), являются объектами авторского права. Копирование информации на сторонние ресурсы и сайты сети Интернет, а также любое иное использование материалов сайта без предварительного согласия правообладателя НЕ ДОПУСКАЕТСЯ.

При копировании материалов сайта (в случае получения согласия правообладателя), размещение активной индексируемой гиперссылки на сайт обязательно.